Todo el mundo desea tener una gran sonrisa y para conseguirla, seguir una buena higiene oral es importante. Si no es buena, podemos llegar a sufrir problemas dentales y médicos en el futuro como enfermedad de las encías, infección, pérdida ósea, enfermedades del corazón, derrames cerebrales y mucho más. Los chequeos regulares y las limpiezas bucales pueden prevenir estos problemas, así como proporcionar una buena higiene oral.
Aquí te presentamos los mejores consejos para conseguir una dentadura perfecta, pero no olvides que siempre podrás encontrar toda la información relacionada con tu boca, su salud y estética. Mostramos una lista de consejos de higiene dental a seguir para tener una buena higiene bucal:
1. Cepillado Adecuado

Aunque parezca obvio y llevemos toda la vida lavándonos los dientes, no está de más chequear si lo hacemos correctamente. Es una de las cosas más fáciles para ayudar a que los dientes se mantengan limpios. Al cepillarse los dientes, coloca las cerdas en un ángulo de 45 grados cerca de la línea de la goma. Tanto la línea de la encía como la superficie del diente deben estar en contacto con las cerdas. Cepilla las superficies externas de los dientes con un movimiento hacia adelante y hacia atrás, hacia arriba y hacia abajo, asegurándose de que se haga con suavidad para evitar el sangrado.
Para limpiar las superficies interiores de los dientes y las encías, vuelve a colocar las cerdas en un ángulo de 45 grados y repite el movimiento hacia adelante y hacia atrás, hacia arriba y hacia abajo. Por último, cepilla las superficies de la lengua y el techo de la boca para eliminar las bacterias y así prevenir el mal aliento. Intenta cepillarte al menos dos veces al día los dientes ara evitar la acumulación de ácido proveniente de la descomposición de los alimentos por bacterias. De no ser posible, enjuágate bien la boca con agua después de comer para minimizar la cantidad de alimento que serviría de sustrato para las bacterias. Lee este artículo si quieres saber cómo cepillarte los dientes correctamente.
2. Hilo Dental

Sabemos que es algo que se olvida muchas veces o que no hacemos por prisas o por irnos pronto a la cama. Sin embargo, el uso de hilo dental puede ayudar a eliminar las partículas de alimentos y otras sustancias perjudiciales que el cepillado normal no puede. El hilo dental permite limpiar profundamente entre los dientes, donde las cerdas del cepillo de dientes no pueden llegar o incluso el enjuague bucal no puede lavar. Recomendamos usar hilo dental al menos una vez al día.
3. Evita el Tabaco
Los dientes lo agradecen. Por un lado, prevenimos cáncer bucal y complicaciones periodentales. Además, te ahorrarás los efectos causados por los agentes utilizados para enmascarar el olor a tabaco. Por ejemplo, si fumas un cigarrillo, puedes usar dulces, té o café para enmascarar el aliento y el olor. Pero esto duplica la cantidad de daño causado. El tabaco es realmente perjudicial para la salud de tus encías y dientes.
4. Limita las Bebidas Gaseosas, Café y Alcohol
Aunque estas bebidas contienen un alto nivel de fósforo, que es un mineral necesario para una boca sana, demasiado fósforo puede agotar el nivel de calcio del cuerpo. Esto causa problemas de higiene dental tales como caries y enfermedad en las encías. Las bebidas que contienen aditivos como el jarabe de maíz y el tinte alimenticio pueden hacer que los dientes blancos y nacarados se decoloren. Es mejor elegir bebidas como la leche, que ayuda a fortalecer los dientes y a construir un esmalte más fuerte, dándole una sonrisa saludable, hermosa o como el agua, que hidrata tu cuerpo mejor que las bebidas azucaradas.
5. Consumir Calcio y Otras Vitaminas

Necesitas mucho calcio para tus dientes. Es esencial para los dientes, así como para los huesos. Es mejor beber leche, zumo de naranja y comer yogur, brócoli, queso y otros productos lácteos. También puedes tomar un suplemento de calcio, tomando diferentes dosis según la edad y las necesidades. El calcio y la vitamina D son necesarios para mantener la salud de las encías y los dientes. Un complejo de vitamina B también puede ser esencial para proteger las encías y los dientes de grietas y sangrado. El cobre, el zinc, el yodo, el hierro y el potasio también son necesarios para mantener una higiene dental saludable.
6. Visita a Tu Dentista
Debes visitar a tu dentista al menos dos veces al año para tener un tratamiento de higiene completo. Además, en estas citas, se realiza un examen completo con radiografías para ayudar a detectar y prevenir problemas dentales futuros. En nuestra clínica estaremos encantados de atenderte siempre.
7. Usa Enjuague Bucal
El enjuague bucal no es estrictamente necesario y no todos los enjuagues bucales son útiles. Los enjuagues bucales que contienen Listerine, dióxido de cloro, son muy útiles porque ayudan a matar y eliminar la bacteria de la boca. Puede ayudar a mantener una buena respiración, así como ayudar a mantener los dientes fuertes. Pero el enjuague bucal no puede hacer todo el trabajo. Por eso si los dientes ya están cepillados y el hilo dental pasado y visitas al dentista con regularidad, el enjuague bucal es la guinda del pastel de la higiene bucal.
8. Tener Dolor de Muelas
Si te duelen los dientes o la mandíbula, pide una cita tan pronto como sea posible. Tu dentista verá lo que ocurre y lo corregirá antes de que se convierta en un problema mayor.
9. Mira el Cuadro Grande
Todo el mundo sabe que hay que cuidar de los dientes para evitar dolores de muelas, por estética… Pero muchos otros, sin embargo, no entienden la importancia de la salud bucal. Los problemas dentales pueden conducir a diabetes, enfermedades del corazón, infecciones sistémicas, incapacidad para comer o hablar correctamente y otras enfermedades, algunas con riesgo para la vida. Los dientes torcidos pueden contribuir a tener una enfermedad que eventualmente puede conducir a la pérdida de los mismos. Los dientes rectos no son sólo por estética.
10. Limpia Tu Lengua
Limpia la superficie de tu lengua diariamente. Ya sea que te estás preguntando cómo hacer tu sonrisa más atractiva en general o quieres lucir sonrisa en Instagram, tenemos los consejos, los trucos reales y probados e incluso los tratamientos necesarios que convertirán tus sonrisa en poco tiempo. Para crear una sonrisa fotogénica, “las celebrities” suelen invertir mucho dinero en estos trucos.
¿Cómo Debe Ser una Dentadura Perfecta?
Tu sonrisa es una de las primeras cosas que la gente nota de ti, por lo que es importante tener una dentadura perfecta. Tener unos dientes perfectos no es algo natural, pero con el cuidado y el tratamiento adecuados, puedes acercarte. Cuando sonreímos, queremos que nuestros dientes luzcan lo mejor posible. Pero, ¿qué significa eso exactamente?
Para algunas personas, unos dientes perfectos pueden significar unos dientes perfectamente rectos y sin huecos. Para otros, puede significar unos dientes blancos y brillantes. Por supuesto, no todo el mundo nace con dentadura perfecta. Pero eso no significa que no podamos aspirar a la perfección. Con un poco de tiempo, paciencia y esfuerzo, todos podemos tener la dentadura perfecta de nuestros sueños.
Aspectos Clave de una Dentadura Perfecta
- Color Blanco: Unos dientes sucios, amarillentos o manchados pueden ser un problema estético, pero también de confianza y salud.
- Encías Firmes y Alineadas: Las encías deben estar firmes y alineadas, además de un color saludable, normalmente de tonalidades rosa claro.
- Simetría Dental: La simetría oral como otras muchas afecciones bucales tiene solución, por lo que no supondrá un problema a la hora de conseguir la mejor versión de tu sonrisa.
- Alineación Dental: Unos dientes alineados son una garantía de salud y estética dental. Los diferentes tipos de apiñamiento, diastema o mordida abierta pueden generar problemas de salud dental.
Tratamientos para Solucionar Problemas en las Encías
Las encías inflamadas pueden cambiar la línea de las encías y hacer que tu dentadura se vea antiestética porque pueden ser más oscuras, como grises, amarillas o marrones. La recesión de las encías indica que los dientes son demasiado largos e incluso las raíces de los dientes están expuestas, lo que también puede afectar la apariencia de los dientes. Para solucionar estos problemas se utilizan tratamientos como el injerto de encía o la gingivectomía.
Hábitos Saludables para una Dentadura Perfecta
- Buenos Hábitos de Higiene Bucodental: La placa o las caries pueden terminar en casos de halitosis, endodoncias o extracción de las diferentes piezas dentales.
- Revisiones Periódicas en el Dentista: Acudir a nuestro dentista de manera regular es la mejor forma de contar con una dentadura sobresaliente.
- Reduce el Consumo de Tabaco: El tabaco es uno de los peores enemigos de tu boca.
- Reducir el Consumo de Dulces: Los dulces tienen mucho daño en el esmalte dental y no se debe abusar de ellos.
- Evitar las Bebidas Azucaradas: Es importante reducir o evitar los refrescos, las bebidas gaseosas energéticas o cualquier líquido que contenga demasiada azúcar.
¿Qué Tratamientos Se Deben Realizar Para Tener Una Dentadura Perfecta?
Existen varios tratamientos que puedes considerar para lograr una dentadura perfecta:
Carillas Dentales

Los casos relacionados con la decoloración de los dientes, manchas y otras afecciones que puedan estar relacionadas con el color de tus dientes tienen solución. Una de ellas son las carillas dentales. Unas pequeñas “fundas” que tras una pequeña técnica quedarán ligadas a tus dientes de manera permanente. Las carillas dentales son fundas finas hechas a medida que cubren la superficie frontal de los dientes y están hechas de porcelana o resina compuesta (popularmente conocido como “composite”) que se adhieren a los dientes para mejorar su aspecto.
El proceso de tratamiento con carillas suele implicar dos o tres visitas a nuestras consultas clínicas. A continuación, preparamos los dientes eliminando una fina capa de esmalte para dejar espacio a las carillas. Los resultados del escaneo dental se envían a un laboratorio dental, donde las carillas se fabrican a la medida de sus dientes.
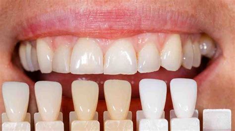
Blanqueamiento Dental

Los blanqueamientos dentales son otra de las fórmulas que tienes para luchar contra las manchas dentales. Es importante que consultes con tu especialista antes de decidirte por la mejor opción de blanqueamiento.
Con el tiempo, nuestros dientes pueden decolorarse y volverse más amarillos como resultado del desgaste del esmalte dental, pero también por nuestro estilo de vida o por los tratamientos con medicamentos fuertes.
Ortodoncia

Respecto a los problemas relacionados con el apiñamiento, la maloclusión o los dientes desalineados, la ortodoncia tradicional y sus diferentes propuestas pueden ofrecer diferentes alternativas. Como gran inconveniente es importante resaltar que se trata de un método de ortodoncia tradicional con brackets, lo que supone una gran barrera de acceso para muchos pacientes.
La ortodoncia es la rama de la odontología que trata la maloclusión. Es decir, los dientes no están correctamente posicionados cuando la boca está cerrada. Esto resulta en una mordida incorrecta y puede provocar grandes problemas tanto orales, como de la salud en general.
Ortodoncia Invisible
Sonrisas desalineadas, apiñamiento dental y maloclusión son las 3 grandes áreas sobre las que trabaja la Ortodoncia Invisible. Un proceso sencillo, tecnológico y eficaz con el que cubrir gran parte de las necesidades que tienes que cuidar para tener una sonrisa y una dentadura perfectas. Solo necesitarás realizar una primera cita reservando día y hora desde la web.
Después de tu primera visita, nos pondremos en contacto contigo y podrás conocer:
- Tu tratamiento de ortodoncia invisible: De 4 a 9 meses de media.
- Simulación de cómo quedará tu sonrisa.
- Cómo son y cómo funcionan los retenedores.
- Precio y condiciones de financiación.
- Los detalles de la app de seguimiento - Con cita presencial cuando lo necesites.
Diseño de Sonrisa
El diseño de sonrisa es un conjunto de técnicas odontológicas personalizadas cuyo objetivo es crear una sonrisa más estética, armónica y saludable. El diseño de sonrisa combina salud y estética: antes de mejorar la apariencia, me aseguro de que la boca esté sana (trato caries, encías, etc.), y luego empleo tratamientos cosméticos para la transformación estética.
Diseño de Sonrisa: La transformación de tu Sonrisa y tu vida
Con un diseño de sonrisa, puedes corregir o mejorar aspectos como: el color de los dientes (dientes amarillos o manchados), su forma y tamaño (dientes desgastados, astillados o desiguales), la posición y alineación (dientes torcidos o separados), e incluso la forma de las encías al sonreír.
Tipos de Diseño de Sonrisa
- Diseño de Sonrisa No Invasivo: Se aplica cuando la sonrisa solo necesita pequeños ajustes estéticos sin tratamientos agresivos.
- Diseño de Sonrisa con Ortodoncia: En casos donde la principal necesidad es alinear correctamente los dientes o corregir la mordida, el diseño de sonrisa se enfocará en la ortodoncia.
- Diseño de Sonrisa con Carillas Estéticas: Este tipo de plan se centra en las carillas estéticas para lograr cambios rápidos y dramáticos en la forma y color de los dientes frontales.
- Diseño de Sonrisa Digital: Utilizamos herramientas digitales para diseñar virtualmente la sonrisa antes de tocar un diente.
- Diseño de Sonrisa Integral: Requiere una transformación integral, combinando varios de los enfoques anteriores y añadiendo posiblemente procedimientos quirúrgicos.
Beneficios de un Diseño de Sonrisa Completo
- Sonrisa más estética y armónica.
- Aumento de la confianza y autoestima.
- Resultados personalizados y naturales.
- Mejora de la salud bucodental.