Como dentista especializado en condiciones dentales complejas, entiendo la importancia de proporcionar información clara sobre temas como la hiperdoncia, también conocida como dientes supernumerarios. Los seres humanos adultos tenemos una dentadura compuesta por 32 piezas dentales. Sin embargo, en el desarrollo de la dentadura pueden darse diversos fenómenos que pueden modificar o variar su imagen. Una de estas anomalías más curiosas es la hiperdoncia, que se caracteriza por la erupción de dientes de más que no tienen ninguna función específica en nuestro sistema bucodental.
La hiperdoncia es una condición rara en la que aparecen dientes adicionales, llamados supernumerarios, además de los normales. Estos dientes supernumerarios pueden llegar a causar algunos problemas bucodentales o en el resto de sistemas colindantes, ya que algunos no erupcionan y, por tanto, no salen a la superficie.

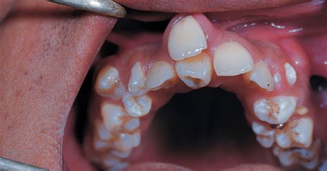
¿Qué son los Dientes Supernumerarios?
Un diente supernumerario es una pieza dentaria adicional a la formula normal (20 dientes en la dentición temporal y 32 en la permanentes). Los dientes supernumerarios son dientes extra de la dentadura habitual, pero no tienen la forma de diente tal y como la conocemos. Estos dientes pueden presentarse en las diferentes etapas del desarrollo humano, tanto en la dentición temporal como en la mixta y permanente; constituyen uno de los factores que se asocian a la etiología de las maloclusiones y ocasionan alteraciones en la línea media, retención de piezas dentarias, apiñamientos, resorción radicular, diastemas y malformación de otros dientes. Se encuentran en cualquier región del arco y sólo se pueden visualizar radiográficamente.
La hiperdoncia es una condición rara en la que aparecen dientes adicionales, llamados supernumerarios, además de los normales. Estos pueden surgir en cualquier área de la boca, afectando tanto la estética como la funcionalidad de la dentadura.
Tipos de Dientes Supernumerarios
De entrada, hay que diferenciar entre los supernumerarios, que son dientes en exceso pero no tienen la forma del diente habitual y suelen presentar forma microdóntica, por ejemplo, forma de cono. Los dientes supernumerarios suelen tener una forma muy diversa, diferente a la forma habitual del diente, y suelen sufrir migraciones, es decir, suelen tener direcciones de erupción muy diversas.
De acuerdo a la forma de los dientes supernumerarios, Primosch los clasifica en:
- Suplemental o eumórfico: Es una duplicación de la serie dental normal; el suplementario más común son los incisivos laterales maxilares permanentes, premolares y molares. También se le da el nombre de «inciformismo».
- Rudimentario o dismórfico: Son aquellos que tienen forma y tamaño anormal, además son más pequeños. Estos pueden ser:
- Cónicos
- Tubercular
- Molariformes
Respecto a la morfología de los dientes, Magallanes N. y asociados clasifican a los supernumerarios en suplementarios y en rudimentarios. Los dientes suplementarios son aquellos que se presentan en la dentición caduca, no poseen ninguna variabilidad anatómica y raramente están impactados. Los rudimentarios tienen una mayor variabilidad anatómica y se presentan en la dentición permanente.
De acuerdo con su localización pueden clasificarse en:
- Mesiodens: Éstos se encuentran entre los incisivos centrales superiores, puede ser único, múltiple, unilateral o bilateral, erupcionado o impactado, vertical, horizontal o invertido; suelen presentarse también en la zona mandibular. Los supernumerarios más habituales son el mesiodens, que es un diente que sale entre los incisivos centrales superiores. Dientes supernumerarios mesiodens: se trata de un diente extra que nace en la región de los incisivos centrales superiores o un diente que sale en el paladar. Puede nacer solo o con un compañero y, por lo general, tiene forma de cono.
- Paramolar: Molar supernumerario pequeño y rudimentario, situado bucal o lingualmente a un molar maxilar o en el espacio interproximal entre el segundo y tercer molar.
- Distomolar: Se localiza en la cara distal del tercer molar, es pequeño, rudimentario y raramente impide la erupción normal de los dientes. También se conoce como “cuarto molar”. Cuando la muela de más se encuentra detrás de la muela del juicio.
Causas de los Dientes Supernumerarios
Aunque la causa exacta de los dientes supernumerarios no siempre está clara, se cree que factores genéticos pueden jugar un papel importante. Dentro de los factores etiológicos de los dientes supernumerarios se encuentran varias teorías:
- La teoría filogenética: Ésta es una de las teorías más antiguas, es un retorno a los antropoides, que tenían una fórmula dental con mayor número de dientes.
- Teoría de la hiperactividad de la lámina dental: En la etapa de iniciación del desarrollo de la dentición, los dientes supernumerarios posiblemente se forman como resultado de las alteraciones en la hiperactividad de la lámina dental, esta teoría es la más aceptada. En primer lugar, la hiperactividad de la lámina dental (primer paso para desarrollar los dientes) es uno de los motivos principales.
- Teoría de la dicotomía del folículo dental: Según esta teoría, el folículo se divide en dos partes iguales o diferentes, lo que da lugar a dos dientes iguales o uno igual y otro dismórfico.
- Factores genéticos: La herencia juega un papel muy importante en la aparición de los dientes supernumerarios, se asocia a un gen recesivo autosómico dominante, asociado al cromosoma X, y su prevalencia es mayor en hombres que en mujeres. La segunda hipótesis incluye el factor genético hereditario.

Los dientes supernumerarios también se relacionan con diferentes síndromes como:
- Apert
- Disostosis craneofacial o síndrome de Crouzon
- Displasia cleidocraneal o disostosis cleidocraneal
- Labio y paladar hendido
- Síndrome de Down
- Gardner
- Hallermann-Streiff
- Síndrome orofaciodigital tipo I y tipo III
- Síndrome del leopardo o síndrome de lentigos múltiples
- Síndrome tricorrinofalángico
- Ellis Van Creveld
- Síndrome de Nance Horan
- Síndrome Kippel-Trenaunary-Weber
- Síndrome de hipertricosis
- Síndrome de Zimmermann-Laband
- Síndrome de fucosidosis
- Síndrome de Ehlers-Danlos tipo III
- Sturge-Weber
- Fabry-Anderson
- Larsen
- Fibromatosis hereditaria asociada con pérdida auditiva y dientes supernumerarios
Diagnóstico de los Dientes Supernumerarios
Identificar un diente supernumerario puede ser muy complicado. La mayoría de estos dientes no llegan a asomar en la encía o el paladar, por lo que se recomienda realizar una radiografía de vez en cuando para identificar este problema de forma prematura. Su diagnóstico se realiza mediante un estudio radiológico (radiografía panorámica). El diagnóstico temprano de los dientes supernumerarios es importante para evitar que se presenten complicaciones. Éste puede realizarse a través de la exploración clínica y radiográfica y su tratamiento dependerá de la posición y clase de supernumerario, así como el efecto sobre el diente temporal o permanente.
Tratamiento de los Dientes Supernumerarios
Tanto si el diente supernumerario erupciona, como si se queda dentro de la encía o del paladar, se debe extraer este diente lo antes posible. Después del diagnóstico radiológico de los dientes supernumerarios se procede a realizar el tratamiento quirúrgico.
Si la extracción o el tratamiento quirúrgico de los dientes supernumerarios no se realiza, pueden provocar complicaciones como:
- Dientes retenidos.
- Erupción ectópica.
- Malposición dentaria y problemas oclusales.
- Problemas funcionales.
- Interferencias con el tratamiento de ortodoncia.
- Diastemas.
- Desplazamiento del diente permanente.
- Quistes derivados de folículos supernumerarios.
- Caries de los dientes vecinos por el aumento de retención de placa dentobacteriana por el diente supernumerario.
- Rizolisis (reabsorción prematura dental y lesiones periodontales por la compresión sobre las raíces de los dientes adyacentes).
- Pérdida de vitalidad dental.
- Diagnóstico diferencial con odontoma, tumor adenomatoide, cementoblastoma.
En caso de que los dientes supernumerarios afecten a un niño que se encuentra inmerso en el proceso de recambio dentario, la presencia de los mismos puede retrasar la erupción de las piezas definitivas. De este modo, tras la realización de las citadas exodoncias, suele ser necesario abordar tratamientos de ortodoncia para corregir los distintos problemas de oclusión y conseguir, de este modo, una sonrisa óptima.
Sabemos que cada caso de dientes supernumerarios es único. Si sospechas que puedes tener dientes supernumerarios o tienes alguna duda relacionada con este tema, no dudes en contactarnos. Estamos aquí para ayudarte y cuidar de que tu sonrisa sea tan saludable como bonita.
Si tienes dudas o sospechas, recomiendo realizar una evaluación completa cuanto antes. En la clínica dental IOVolpe, estamos aquí para orientarte y garantizar que tu salud bucal esté en las mejores condiciones. ¿Te gustaría profundizar en algún aspecto o conocer más sobre el tratamiento que mejor se adapte a tu caso?

La EXTRACCIÓN DENTAL o exodoncia - Cómo se realiza y cuándo es necesario sacar un diente ©
tags: #dientes #supernumerarios #suplementarios