La ortodoncia es una especialidad de la odontología que se encarga de corregir los problemas de oclusión y posición dental a través de diferentes técnicas. Gracias a los resultados que ofrece, es una excelente solución, tanto estética como funcional. Sin embargo, durante este proceso, pueden surgir algunas incomodidades, como que el alambre de los brackets se doble o se salga de su lugar. Aquí te ofrecemos una guía práctica para solucionar estos problemas y mantener tu tratamiento en el camino correcto.

Tipos de ortodoncia
Existen diferentes tipos de ortodoncia, cada uno con sus propias características:
- Brackets: Es la ortodoncia convencional, que consiste en pequeñas piezas metálicas o de materiales estéticos que se colocan en la cara externa de los dientes.
- Alineadores transparentes: También conocidos como ortodoncia invisible, son alineadores hechos a medida en un material termoplástico que no genera rozaduras. Son removibles, lo que permite comer y cepillarse los dientes sin restricciones.
¿Qué hacer cuando un alambre de los brackets te pincha?
Durante los tratamientos de ortodoncia existe la posibilidad de que los cables flexibles que forman parte de la aparatología puedan deslizarse fuera de las ranuras de los brackets. A lo largo del tratamiento de ortodoncia, los brackets y los alambres ejercen presión para mover los dientes a su posición correcta. Si por estos u otros motivos, unos de los alambres de tu ortodoncia te pincha y causa dolor, aquí tienes algunos consejos:

- Acude a tu clínica dental: En primer lugar, trata de acudir a tu clínica para que te lo coloquen bien.
- Usa la cera dental: Cubre la zona afectada con cera dental. Lava tus manos y dientes, coge una pequeña cantidad de cera del tamaño de un guisante, amásala y colócala sobre el alambre salido, presionando levemente. Retira la cera antes de comer o lavarte los dientes y coloca otra nueva. No te preocupes si la tragas, no es dañina.
- Utiliza un enjuague bucal: Limpia tu boca para tratar posibles cortes o llagas. Disuelve una cucharada de sal en agua tibia y enjuágate durante 60 segundos, repitiendo este paso 4-6 veces al día.
- Sigue una dieta de alimentos suaves: Evita alimentos ácidos, dulces o difíciles de comer. Incluye puré de patatas, sopas o yogures, y elimina temporalmente alimentos condimentados, chocolate, frutas cítricas, nueces, semillas y café.
- Toma bebidas frías: La temperatura de estas bebidas puede ayudar a aliviar el dolor, pero evita las bebidas frías con edulcorantes.
- Usa un anestésico bucal: Si el dolor es intenso, aplica una pequeña cantidad de gel anestésico sobre la llaga o corte con un bastoncillo.
¿Cómo usar la cera dental para brackets?

¿Cortar el alambre en casa?
Aunque parece una solución rápida, cortar el alambre de brackets en casa es una opción arriesgada que solo debe considerarse en casos de extrema urgencia y, preferiblemente, bajo las indicaciones de tu ortodoncista. Si decides hacerlo, asegúrate de desinfectar bien la herramienta que uses (como un cortaúñas pequeño), corta solo el extremo sobresaliente y realiza el corte en un ambiente limpio.
Guía de soluciones para incidencias comunes
Cuando empezamos a llevar aparato en los dientes es normal que surjan pequeños problemas. Aquí tienes una guía práctica para ello:
- Alambre que pincha: Coloca un poco de cera en la punta del alambre.
- Alambre que se sale del último bracket: Intenta doblarlo con unas pinzas de depilar y volver a introducirlo en el bracket. Si no lo consigues, ponte cera y acude a tu ortodoncista.
- Bracket o banda floja: Si aún está unido al arco, déjalo donde está y cúbrelo con cera. Si se ha soltado y salido del arco, retíralo y guárdalo para tu próxima cita.
- Molestias o presión: Toma algún analgésico. Recuerda que los primeros días debes tener un poco de paciencia.
- Llagas o heridas: Ponte cera sobre los brackets que más te molesten, sobre todo antes de irte a dormir.
Recuerda siempre limpiarte bien los dientes después de cada comida. Los tratamientos de ortodoncia podrán causar pequeñas incidencias al inicio del tratamiento, cuando los alambres son más flexibles y los dientes se mueven más. Lo ideal es no intentar cortar el alambre en casa. Siempre que tengas un problema con tu ortodoncia debes llamar a tu clínica para que te den cita.
Retención: La fase final de la ortodoncia
Después de la ortodoncia, los dientes tienden a volver a su posición inicial. Para evitar esto, la retención es un paso crucial. Existen dos tipos de retenedores:
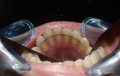
- Retenedor fijo: Un alambre muy fino que va cementado en la cara interna de los dientes, de canino a canino.
- Retenedor removible: Una férula transparente hecha a medida que se coloca, generalmente, durante las horas de sueño.

¿Qué hacer si tienes problemas con tu retenedor?
Mantener el retenedor en buen estado es crucial para garantizar que los resultados del tratamiento de ortodoncia se mantengan a largo plazo. Aquí te damos algunos consejos:
- Mantén la calma: Es importante no entrar en pánico.
- Evita tocar el retenedor.
- Contacta a tu ortodoncista.
- Higiene oral: Lávalo diariamente con un cepillo suave y agua tibia.
- Almacenamiento adecuado: Guárdalo en su estuche cuando no lo uses.
- Evita alimentos duros: Pueden dañar el retenedor.
Si practicas deportes de contacto, considera el uso de un protector bucal para evitar daños al retenedor y los dientes. Si se ha descementado en algunos de los dientes, además de las consecuencias descritas, podrías sufrir heridas en tejidos blandos como la lengua o el labio por el fragmento de alambre despegado. No dudes en buscar atención profesional ante cualquier problema con tu retenedor. La rápida intervención puede prevenir complicaciones y asegurar una sonrisa saludable y bien alineada a lo largo del tiempo.
La importancia de las revisiones periódicas
Acudir a revisiones periódicas es fundamental para asegurar el éxito del tratamiento de ortodoncia y la estabilidad de los resultados a largo plazo. Estas revisiones permiten:
- Detectar y solucionar problemas a tiempo.
- Ajustar la aparatología según sea necesario.
- Evaluar la higiene bucal y proporcionar recomendaciones.
- Verificar el estado de los retenedores y realizar ajustes si es necesario.