En la odontología computarizada, ¿es posible diseñar el sistema dentario de oclusión ideal a partir de datos concretos del aparato estomatognático, como mediciones milimétricas? Para lograrlo, es necesaria la recolección de reglas geométricas y fórmulas matemáticas que permitan digitalizar la oclusión.
En esta búsqueda de la digitalización del aparato estomatognático, se investigan ramas de las ciencias odontológicas como la ortodoncia, la prostodoncia y la odontología legal y forense.
Como nos enseñó Begg, nuestros antepasados evolucionaron con un aparato estomatognático donde se perdía gran cantidad de volumen dentario por atricción, resultando en un plano oclusal recto y dientes anteriores en relación de borde a borde. Ésta sería la verdadera oclusión biológica evolutiva.
La oclusión ideal, en el concepto actual, intenta compensar la ausencia de atricción, presentándose solo en el 1% de la población. La maloclusión es la normalidad en el 99% restante y, por tanto, no es una verdadera enfermedad, salvo en casos muy graves. En nuestro intento de lograr la perfección del sistema, buscamos la oclusión ideal actual, dependiente de un fino equilibrio y adaptada a las condiciones presentes.
Ese problema, de ausencia de la verdadera oclusión biológica (de Begg), se ha configurado en muy pocos años, por el progreso de la civilización, y su diferente actividad masticatoria. Aunque hayan mejorado todos los ámbitos biológicos humanos, aumentando la esperanza de vida y su calidad, se ha provocado la necesidad de una distinta oclusión “biológica”, la llamada mutuamente protegida, como adaptación necesaria al nuevo medio -de alimentación blanda y omnívora-, realizándose una nivelación morfológica y funcional del aparato estomatognático, estableciéndose un delicado y fino equilibrio de compensación neuromuscular, articular y dental, donde existe un predominio de los determinantes posteriores y las guías anteriores, difícil de conseguir y mantener.
De aquí ha surgido la necesidad de relacionar la multitud de factores que influyen en ésta oclusión actual, con reglas y formulaciones matemáticas, para que podamos controlar y reproducir esta oclusión ideal y realizar el diseño oclusal, ahora, informáticamente, mediante la ayuda del computador.
En nuestros estudios, buscando la digitalización de este aparato, sus reglas, esquemas geométricos y fórmulas matemáticas de diseño, hemos comprobado las enormes ventajas que los medios actuales de alta tecnología nos aportan, con el escaneado tridimensional computarizado y la tomografía volumétrica computarizada. Se consigue así reunir una gran muestra de “cráneos vivos”, a partir de nuestros pacientes, medidos micrométricamente, fácilmente manipulables en la pantalla del ordenador, transparentizables, orientables hacia cualquier punto del espacio, con infinitas posibilidades de utilidad en cefalometría, odontometría y dentometría. Facilitando el estudio de las formas, tamaños, disposiciones y relaciones dentomáxilofaciales.
Las técnicas de la nueva odontología computarizada, con las estructuras máxilofaciales y modelos escaneados tridimensionalmente, van a permitir, de forma similar a los actuales análisis cefalométricos por software, la señalización de diferentes puntos o localizaciones predeterminados, sobre dichos registros concretos o virtuales, conseguidos en 3D, y obtener a partir de ellos -automáticamente-, un sistema dentario virtual completo en oclusión óptima; pudiendo - posteriormente- hacer las modificaciones que se consideren necesarias, y materializarlo por CAM (computer aided machining) o RP (rapid prototiping).
Para desarrollar el diseño y estudio matemático-geométrico de la oclusión, podemos indicar el análisis de sucesivos elementos, cada uno de ellos con su correspondiente relación con el resto de las estructuras (sistema neuromuscular y bases óseas con sus articulaciones):
- La forma y tamaño de las arcadas.
- Las curvaturas de compensación del plano oclusal.
- La posición y disposición de cada diente.
- La morfologia de las superficies oclusales.
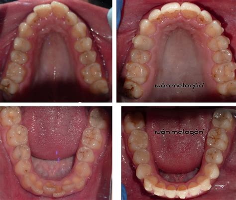
Material y Método: Investigación documental con revisión de la literatura y análisis de los registros de pacientes de ortodoncia, oclusión y rehabilitación, con sus modelos, fotos, radiografías y escaneado tridimensional.
Resultados
Comenzamos con el tamaño y forma de las arcadas dentarias. Son curvas originadas por la sección, más o menos inclinada, de un cono (resultando de ese corte una circunferencia, elipse, parábola o hipérbola); asimilándose con facilidad este concepto en odontología, por la aceptación histórica de las curvas de compensación -de Spee y Wilson-, trazadas sobre la superficie de una esfera (Monson), o un cono de base esférica cuya generatríz será su radio.
Pero nuestro interés se encuentra en corresponder a estos patrones geométricos, como curvas modelo, datos que los individualicen, relacionándolos con otras medidas craneomaxilares.
Así, para cada grupo, se propone una adaptación constitucional, relacionada con otras dimensiones cefalométricas, como los : meso, braqui o dolicoarquial; paralelas a las tipologías media, atlética y pícnica o leptosómica; o normal, cuadrada y estrecha, con otras variantes, abiertas -triangular- o cerradas -ovoidea-.
Como en los arcos pentamórficos de Ricketts, utilizados en la ortodoncia clásica, para comparación de las arcadas dentarias, por su semejanza a cinco formas: ovoide angosta, divergente, normal, ovoide y estrecha divergente. En cada caso, han sido establecidas sobre unos límites concretos, que las definen como tales curvas, en una relación o razón de dos longitudes: el alto -o profundidad anteroposterior- y el ancho de las arcadas (a distintos niveles, entre caninos o premolares o molares); como en la clasificación arquiográfica de Cervera; entendiendo su correspondencia cefalométrica, con el largo y ancho, como en el índice cefálico de Izard.
También varía, entre los distintos autores, la posición por la que se considera trazada la curva, por el centro de los rebordes alveolares o sobre los dientes: por las caras vestibulares, por las cúspides vestibulares, por los puntos de contacto interproximales, o por los centros de las caras oclusales -sobre incisales, surcos y fosas principales-.
Para nuestro estudio tridimensional hemos dispuesto que la curva de la oclusión ideal a confeccionar, debe ser ajustada a la disponibilidad de las bases óseas, estando los dientes formando una arcada que le pude ser paralela, con +3 ó -3mm de diferencia -en el sentido vestíbulo-lingual-, teniendo en cuenta el respeto que merece el espacio neutro para la reposición protética; así, a nivel mandibular, hemos considerado un espacio propio para el paso de la línea curva, comprendido entre la línea formada por la unión de los puntos de contacto y la línea establecida por las cúspides vestibulares (funcionales) posteriores y bordes incisales anteriores.
Hasta aquí las semejanzas geométricas solamente son descripciones, calificando cada arcada por su parecido a formas determinadas. Pero, en los últimos años, ha sido posible aplicar -también- ecuaciones matemáticas, que realizan un ajuste numérico, para formular las distintas curvas; habiendo sido comprobadas y destacadas para el tamaño y forma de las arcadas: las curvas exponenciales (por T. Hayasi, en 1957), las series de Fourier (por K.H.Lu, en 1965), las ecuaciones polinómicas de cuarto grado (de K.H.Lu, en 1966), y -más recientemente- las curvas de función cuadrática, curvas de función Beta, o las funciones polinómicas de sexto orden.
Revisando la literatura del tema y aplicando la comprobación a nuestros registros, nos decantamos por un trazado geométrico que también será desarrollado matemáticamente y con una concreta relación cráneomaxilar.
En un paciente dentado completa o parcialmente, las primeras referencias será los dientes presentes y los rebordes residuales, para -luego- aplicar los patrones de oclusión ideal, comenzando también por la forma y tamaño de arcada. En los totalmente desdentados, toda la oclusión se elabora de novo; siendo aquellos casos que nos sirven como muestra para la aplicación completa del procedimiento.
Por la clásica localicación de las curvas de compensación, sobre la esfera de Monson, podría comprenderse la disposición de las superficies oclusales mandibulares, en contacto con la base de un sector cónico de dicha esfera, desde cuyo centro -con una longitud canino-condilar- (o más próxima a la intercondilat), se dibujarán las citadas curvas de Spee y Wilson, mientras que la curva de la arcada de los dientes posteriores, desde una visión oclusal, se trazará con esa misma distancia, pero desde otro centro, situado al otro lado, desde la hemiarcada contralateral, y posicionado sobre la superficie de un cilindro horizontal -en el concepto más clásico de Spee-, cuyo plano curvo -cortando a la esfera de Monson- coincide con las dos hemiarcadas. Esos centros, derecho e izquierdo, distintos al de Monson -que representa su resultante-, los hemos comprobado en nuestros modelos tridimensionales, buscando una norma geométrica, inspirados en los procedimientos establecidos por otros autores: Carrea y Brader.
Carrea estableció, tras sus estudios cefalométricos en numerosos cráneos, una unidad de medida odontométrica: el Radio-Cuerda (RC), correspondiente al 1/6 de la distancia bicondilar, -que es uno de los lados del clásico Triángulo de Bonwill-. De esta forma, se puede edificar una oclusión completa desde la desdentación total o parcial, caminando desde los considerados universalmente determinantes posteriores, con el Dr. Peter Neff, hacia el posicionamiento de la bases dentales (cimientos dentales), y luego, las caras oclusales activas (sus techos).
Aquí pues, no partimos de considerar una medida universal o agrupada, única para el lado del triángulo, sino que lo individualizamos a la medida propia del paciente. En la mayoría de los articuladores semiajustables trabajamos con una distancia fija. En otros -como el Whip-Mix-, podemos escoger entre tres o más valores. Nosotros rogamos por la elección más exacta posible.
Comenzamos así con el elemento móvil y más duro del aparato: la mandíbula. Los puntos generatrices mandibulares de los que se originará el diseño del tamaño y forma de las arcadas, partiendo de los rebordes residuales, son los relacionados con los determinantes oclusales: anteriores (punto incisivo) y posteriores (cóndilos).
Buscamos el Triángulo equilátero de Bonwill, donde la Distancia Bi-Condilar -DBC - (eje funcional y lado menos móvil de dicho triángulo), nos relaciona la anchura cráneo-facial particular del paciente, con la forma y tamaño de su arcada dentaria ideal, limitada posteriormente por la base del Triángulo de Balkwill (equilátero que tiene dos lados en línea con el de Bonwill, siendo cualquiera de ellos, cuando se incluye hasta el tercer molar, igual a la mitad de la DBC); ambos triángulos se disponen formando una angulación de 20 a 30º abierta hacia distal, desde su vértice común en interincisal mandibular.
Está aquí la clave que nos permite comprobar la individualización del diseño, su correspondencia con el tamaño craneal. En el esquema, hemos analizado la utilidad de los trazados de Brader, combinando la circunferencia y la elipse, en su propuesta de curva trifocal, y las conclusiones exprimidas de las mediciones craneométricas de Carrea. Tomamos -como Carrea- una unidad de medida para todo el diseño: la Distancia Intercondilar o Bicondilar (DBC ó DIC). Consiguiendo de ésta, el denominado Radio-Cuerda (RC), como el sexto de la DBC.
Así, conociendo la DBC, mediante tomografía volumétrica, o por telerradiografía craneofacial frontal, se puede trazar una circunferencia, con su radio igual al sexto de dicha distancia, tangente a la posición media interincisal mandibular, o su equivalente sobre el reborde óseo, a nivel del borde superior del labio inferior -en reposo-, y marcar, con esa cuerda, la posición distal del canino. Se podrá corroborar aquí -si se requiere- la distancia entre las cúspides caninas mandibulares que debe ser similar a la máxima anchura ósea del orificio nasal anterior.
(El trazado de la curvatura de la arcada mandibular se realiza como proyección del triángulo de Bonwill sobre el plano oclusal, siendo éste, en su extensión y límites de la arcada, el llamado triángulo de Balkwill, o protésico de Gysi. Ambos triángulos - como vimos- forman entre sí, un ángulo abierto distalmente de 20 a 30º).
En ese plano oclusal, extendido lateralmente desde el triángulo de Balkwill, se localizarán los otros dos centros que dibujarán las curvaturas de la arcada dentaria para los dientes posteriores (premolares y molares). Desde distal de canino y vértice posterior del citado Balkwill, de cada lado, con la distancia canino-condilar, se determina el centro de la curva -correspondiente a los dientes multicuspídeos-, localizado en el lado contralateral.
Es así la longitud bicondílea: la distancia de la que partimos para el resto de la construcción oclusal. Junto a la altura labial inferior, en reposo, que nos mantiene como referencia el plano oclusal, por su ángulo de 20 a 30º con el eje intercóndilo- incisomandibular.
(Estas angulaciones nos dan -a su vez- la inclinación del incisivo mandibular, con su eje incisoapical a 65º del plano oclusal).
Conociendo estos orígenes generales, desarrollamos ahora el procedimiento de trazado de la arcada de forma progresiva.
Para establecer el lugar desde donde partir, nos apoyamos en las crestas residuoalveolares, y esta medida bicondilar, recorriendo los siguientes pasos:
1º) LADO DEL TRIÁNGULO DE BONWILL (L. Obtener en eje del giro, la longitud interarticular, o distancia bicondilar (DBC): lado del triángulo equilátero de Bonwill. Puede realizarse con compás externo, sobre las zonas preariculares, o entre los orificios auditivos, con los arcos faciales, restando el espesor existente hasta el centro condilar, de forma aproximada. O, exactamente, mediante telerradiografía frontal; mejorada aún más con otra lateral, que permitirá la comprobación del otro lado del Bonwill, a partir de la distancia entre el centro de la línea intercondilar e incisal mandibular, o distancia inciso-bicondilar (DIBC), (que tambien puede referirse, en su punto an...
El efecto Bowing ocurre cuando los dientes se inclinan hacia adentro, estrechando la arcada dental. Esto puede causar problemas de mordida, apiñamiento y dificultad para limpiar los dientes, aumentando el riesgo de caries y enfermedad de las encías.
Las causas del efecto Bowing pueden ser genéticas, hábitos como chuparse el dedo o usar chupete por tiempo prolongado, respiración bucal, o el uso incorrecto de aparatos de ortodoncia.
El tratamiento para el efecto Bowing generalmente implica el uso de aparatos de ortodoncia para expandir la arcada dental y alinear los dientes correctamente. En casos severos, puede ser necesaria la extracción de dientes para crear espacio.
Es importante diagnosticar y corregir el efecto Bowing a tiempo para evitar problemas a largo plazo. Un ortodoncista puede evaluar tu caso y recomendar el mejor plan de tratamiento.
Tabla comparativa de los tipos de arcadas dentales:
| Tipo de Arcada | Características | Relación Cefalométrica |
|---|---|---|
| Mesoarquial | Forma media | Tipología media |
| Braquiarquial | Forma cuadrada | Tipología atlética |
| Dolicoarquial | Forma estrecha | Tipología pícnica o leptosómica |
| Triangular | Forma abierta | - |
| Ovoidea | Forma cerrada | - |

Tipos de arcadas dentales
Corrección de una mandíbula retraída con ortodoncia: Caso clínico
tags: #efecto #bowing #ortodoncia