La endodoncia, también conocida como tratamiento de conductos, es una técnica odontológica que permite conservar un diente cuando la infección ha alcanzado la pulpa dental. Este procedimiento consiste en eliminar el tejido pulpar, limpiar y sellar los conductos pulpares, y finalmente, reconstruir el diente para que mantenga tanto su funcionalidad como su estética.

Tipos de Dientes y Endodoncias
No todos los dientes son iguales, por lo tanto, el tratamiento de endodoncia varía según la pieza dental afectada. Podemos clasificar los dientes en:
- Unirradiculares: Incisivos y caninos, que presentan una sola raíz. La endodoncia unirradicular o de un conducto se realiza en piezas dentales con una sola raíz y, por lo tanto, tienen un único conducto.
- Birradiculares: Los dos primeros premolares superiores, que tienen dos raíces por pieza. La endodoncia birradicular o de dos conductos se realiza en piezas dentales que tienen dos raíces.
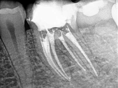
- Multirradiculares o Polirradiculares: Molares superiores, que presentan tres raíces por pieza. En este grupo encontramos a los molares superiores que presentan 3 raíces por pieza.
En cada raíz del diente puede haber uno o más conductos que, en el caso de realizar una endodoncia, habrá que limpiar, desinfectar, rellenar y sellar convenientemente. Los conductos pulpares presentan diversas formas, ramificaciones y derivaciones que hacen más compleja la labor del especialista en endodoncia.
►De la Endodoncia a la Restauración | Dr. Juan Carlos Paz Rodríguez
¿Qué es la Pulpa Dental?
La pulpa es lo que comúnmente se conoce como el nervio del diente. Esta pulpa contiene nervios y vasos sanguíneos, por lo que cuando se ve afectada, suele provocar dolor intenso y riesgo de infección. La pulpa es necesaria durante el crecimiento y desarrollo de los dientes. Una vez que el diente ya es maduro, puede sobrevivir sin ella, gracias a los tejidos que la rodean.
¿Por Qué se Realiza una Endodoncia?
La endodoncia es un tratamiento para dientes infectados o descompuestos gravemente cuya causa parte del nervio del diente. El tratamiento consiste en reparar y salvar los dientes eliminando la pulpa dental, para después limpiar y sellar el interior del diente. Realizar un tratamiento de endodoncia en dientes en este estado subsana los dientes se infectados y con abscesos, que son infecciones caracterizadas por inflamación y acumulación de pus. También es necesario cuando los dientes ya han llegado a este punto.
Tipos de Endodoncia
Para clasificar las endodoncias, es importante tener en cuenta que no todos los dientes tienen el mismo número de raíces ni de conductos radiculares. En las raíces de los dientes es donde se encuentran estos conductos radiculares.
- Endodoncia Unirradicular: Son los procedimientos endodónticos que se realizan en dientes con un solo conducto radicular.
- Endodoncia Birradicular: Son los procedimientos que se realizan a dientes con dos conductos radiculares.
- Endodoncia Polirradicular: Son las endodoncias realizadas a aquellos dientes que cuentan con tres o más conductos radiculares. Endodoncia Polirradicular: Indicada para dientes con más de dos raíces, con un precio alrededor de 280€ en la clínica dental medics del Dr. Ferrer.
Pese a que la mayoría de los dientes acostumbran a tener el número de conductos radiculares descrito en cada uno de los tipos, todos los dientes pueden tener variaciones anatómicas.

El Proceso de Endodoncia Multirradicular Paso a Paso
El tratamiento consta de cinco fases que comienza con una radiografía y diagnóstico del estado del paciente, y finaliza una vez que el diente ya está restaurado.
- Radiografía y Diagnóstico: El primer paso es realizar una radiografía que ayudará a valorar la posible afectación de la pulpa o del nervio del diente.
- Anestesia Local: El proceso de endodoncia comienza con la aplicación de anestesia local para adormecer la zona.
- Extracción Pulpar: Para acceder al nervio y a la cámara pulpar, se perfora el diente. Se elimina del diente tanto la pulpa como las bacterias y el tejido nervioso descompuesto. Después, se raspan y liman los lados de los conductos radiculares.
- Sellado Radicular: Con el diente completamente limpio y desinfectado, se sellan los conductos. Cuando se ha completado la limpieza total se debe realizar la obturación de los conductos, para ello se utiliza un material termoplástico: la gutapercha.
- Restauración del Diente: Habitualmente, los dientes que necesitan de una endodoncia también tienen alguna fractura o una caries extensa. Por último, habrá que reconstruir el diente con una corona, esto se hace como una obturación típica. Se usan composites con lo que se consigue un aspecto bastante anatómico y estético. En algunos casos se aconseja al paciente realizar una corona sobre la pieza que sea endodonciado cuando la cavidad que se ha hecho es muy grande y puede producir una rotura del diente. A menudo es necesario colocar una corona, un poste u otra restauración para proteger el diente y restaurarlo completamente.
Ventajas de la Endodoncia
Una endodoncia es un tratamiento que permite curar o sanar un diente original que tiene una infección o una descomposición. El tratamiento se lleva a cabo de manera rápida y sin apenas dolor, y tiene múltiples ventajas para el paciente que decide someterse a él. Tanto a corto como a largo plazo.
- Evita la extracción de un diente natural.
- Recupera la masticación sin molestias: Los dientes dañados pueden ser sensibles al estar expuestos a alimentos fríos o calientes y también al tacto o la masticación de ciertos alimentos.
- Es un tratamiento no doloroso: La endodoncia es un tratamiento que apenas produce dolor al paciente durante el proceso. La tecnología actual lo convierte en un tratamiento sin dolor, rápido y seguro.
- Evita la halitosis y otras consecuencias: Los dientes infectados pueden producir consecuencias más allá del daño del propio diente, como por ejemplo la halitosis.
- Previene tratamientos dentales más caros: Un diente descompuesto puede resultar en el movimiento de los dientes adyacentes.
¿Es Dolorosa una Endodoncia Multirradicular?
La endodoncia multirradicular no es un proceso doloroso ya que se realiza bajo anestesia local. Sin embargo, estos dolores deben ser solventados con medicación analgésica, siendo ésta indicada por el especialista.
Precio de una Endodoncia
El precio de una endodoncia va a depender fundamentalmente del número de conductos que el endodoncista tenga que tratar. El precio de la endodoncia multirradicular en nuestra clínica es de 280€.
En términos de costos en España, el precio de una endodoncia varía entre los 100 y 200€, dependiendo de la ubicación y el tipo de diente afectado.
Cuidados Después de una Endodoncia
Después de someterse a una endodoncia es recomendable seguir una serie de pautas:
- Esperar a que termine el efecto de la anestesia para empezar a masticar. Así evitaremos mordernos.
- No masticar alimentos duros durante el tiempo que transcurra entre la endodoncia y la reconstrucción final del diente. De este modo protegemos el diente de posibles fracturas indeseadas. Una vez que la reconstrucción final esté hecha, se puede volver a masticar con normalidad.
- Cuidado con el hilo dental. La higiene dental después de una endodoncia debe ser igual de rigurosa que la habitual. En cuanto al hilo dental, deberemos pasarlo con especial atención entre la reconstrucción provisional (si la hubiese) y el diente adyacente.
Los días inmediatamente posteriores a la endodoncia se puede notar una cierta sensibilidad en la zona. Incluso se pueden sentir molestias de diversa intensidad dependiendo de donde se produzca la reacción de inflamación. La zona periapical (tejido que rodea el final de la raíz) es una de ellas. Para aliviar los síntomas después de la endodoncia se debe tomar la medicación analgésica-antiinflamatoria prescrita por el odontólogo.
Cómo Prevenir la Necesidad de una Endodoncia
La mayoría de las veces la necesidad de las endodoncias viene causada por:
- Existencia de caries profunda que llega a la pulpa dentaria.
- Erosión o desgaste severo del diente que afecta al nervio.
- Traumatismo o golpe que provoca la necrosis del diente (pérdida de vitalidad de la pulpa).
Si prevenimos y tratamos cualquiera de las tres causas anteriores, podemos evitar la realización de una endodoncia.
La Importancia de las Revisiones Dentales
Como ya hemos comentado, diagnosticar a tiempo una caries o un desgaste dentario es fundamental para poder atajar el problema antes de que el nervio se vea comprometido (lo que obligaría a llevar a cabo un procedimiento de endodoncia).
Testimonios de Pacientes
La clínica dental medics del Dr. Ferrer está situada en el barrio de Chamberí en la Calle de Ramiro II, 10. 28003 de Madrid.
¿Te ha gustado?
- “Empecé mi tratamiento con ellos hace un mes y el trato está siendo inmejorable y excelente. Ayer me colocaron los Brackets y no puedo estar más contento."
- “Médicos maravillosos recomendable para todo el mundo."
- “Atención inmejorable, personal súper atento y profesional."
- “El Dr. Ferrer lleva viéndome a mi, y a toda mi familia, desde que me alcanza la memoria y siempre ha sido un profesional excelente, atento, cuidadoso y cariñoso. Precios realmente competitivos y una calidad humana del equipo inmejorable. Se preocupan por el paciente, te hacen sentir seguro de estar en buenas manos y te resuelven inmediatamente cualquier duda o problema que surja."
- “El doctor Ferrer es dueño de mi sonrisa. El trato ha sido siempre maravilloso y los precios los mejores de Madrid. Me han puesto varios implantes y el resultado es super natural."
tags: #endodoncia #multirradicular #pieza #46