La práctica de la endodoncia sin radiografías es un tema de debate en la odontología moderna. Si bien la radiografía ha sido tradicionalmente una herramienta esencial para el diagnóstico y la planificación del tratamiento endodóntico, algunas tendencias recientes exploran alternativas y cuestionan su necesidad en todos los casos.
Este artículo examina las controversias en torno a la endodoncia sin radiografía, considerando las nuevas tendencias y factores clave que influyen en el tratamiento dental. Además, se incluye información relevante sobre el manejo de la avulsión dental, la salud general del paciente y otras condiciones médicas que pueden afectar el tratamiento endodóntico.
ENDODONCIAS VS IMPLANTES | ¿Es mejor salvar tu diente o extraerlo? | Costos 2019
Nuevas Tendencias en el Tratamiento de la Avulsión Dental
La avulsión dental, que implica la completa salida del diente de su alvéolo, es una lesión traumática que requiere atención inmediata. Aunque su prevalencia es baja (1-16% de todos los traumatismos), el pronóstico a largo plazo puede ser sombrío, con solo un 4-50% de los dientes avulsionados sobreviviendo más de diez años. El tratamiento de la avulsión presenta grandes retos para el profesional, siendo la reimplantación del diente el mejor enfoque posible.
El mantenimiento del diente en la arcada depende de múltiples factores, cada uno crítico para el éxito del reimplante. Los aspectos más importantes son los que se realizan inmediatamente antes del reimplante, ya que la reabsorción radicular es mayor si las células del ligamento periodontal están necróticas.
El objetivo principal del tratamiento es evitar o disminuir los efectos de las complicaciones que afectan al ligamento periodontal y la pulpa. Las alteraciones celulares del ligamento periodontal pueden agravarse según el tiempo y las condiciones en que el diente esté fuera de la boca. En dientes inmaduros es posible la revascularización, mientras que en dientes con ápice cerrado la necrosis es inevitable, requiriendo medidas terapéuticas para eliminar la infección del conducto radicular.
Factores Clínicos Clave
Los factores clínicos a tener en cuenta son:
- Tiempo que lleva el diente fuera de la boca (período extraoral).
- Estado del ligamento periodontal (medio de conservación).
- Grado de desarrollo radicular.
Para obtener las mayores probabilidades de éxito, es preciso que los fibroblastos se encuentren en el mejor estado. Por tanto, el factor que más repercute en el éxito es la rapidez en realizar el reimplante, idealmente en los primeros cinco a veinte minutos.
Medios de Conservación
Si el reimplante inmediato no es posible, el diente avulsionado debe ponerse rápidamente en un medio adecuado hasta que pueda realizarse en la clínica dental. A continuación, se presentan diferentes medios de conservación:
- Agua: No es el medio más adecuado, ya que al ser hipotónica desencadena la lisis celular.
- Saliva: No es muy idónea por su osmolaridad y pH, así como por contener gran cantidad de bacterias.
- Suero fisiológico: Es un medio de conservación a corto plazo aceptable, manteniendo la vitalidad celular de dos a tres horas.
- Solución de Hank: Evita la reabsorción radicular en un porcentaje alto (91%) y mantiene los fibroblastos vitales.
- Leche: Es el mejor medio de transporte dado que es fácil de conseguir, su pH y osmolaridad son compatibles con la vitalidad celular, y carece relativamente de bacterias.
Debido al carácter accidental de la avulsión y por la inaccesibilidad de otros medios de conservación, el mejor es la leche, preferiblemente desnatada, al contener menos cantidad de lípidos.

Representación de la avulsión dental y el proceso de reimplante.
Endodoncia y Salud General
Los problemas endodónticos pueden tener repercusiones sistémicas, especialmente en pacientes de edad avanzada con múltiples problemas médicos. Las enfermedades sistémicas también pueden interactuar con los tratamientos de conductos radiculares, afectando la tasa de éxito, la terapia y la necesidad de una protección antibiótica profiláctica.
Endodoncia y Diabetes Mellitus
La diabetes mellitus conduce a trastornos en el sistema inmunitario, microangiopatía, disminución de la función granulocítica, alteración del metabolismo tisular y retardo de la cicatrización. Los pacientes con diabetes presentan una prevalencia considerablemente superior de dientes endodonciados y lesiones periapicales.
Las probabilidades de éxito de los tratamientos endodónticos en dientes con periodontitis apical están muy limitadas en los pacientes de diabetes. Sin embargo, existen estudios en los que no se han observado diferencias significativas en las tasas de éxito en comparación con los pacientes sanos.

Relación entre la diabetes y las complicaciones endodónticas.
Endodoncia y Osteoporosis
Los bifosfonatos, utilizados para el tratamiento de la osteoporosis, impiden la reabsorción ósea y pueden resultar en necrosis óseas difícilmente tratables tras intervenciones dentales invasivas. El tratamiento endodóntico no quirúrgico es preferible a las intervenciones endodóntico-quirúrgicas o a las extracciones.
Endodoncia y Radioterapia
La irradiación en la zona de la cabeza y el cuello puede conducir a alteraciones de las propiedades del tejido dental duro, así como a alteraciones tisulares de la pulpa. Debido al riesgo de osteorradionecrosis, el tratamiento de conductos radiculares constituye el tipo de terapia más respetuoso y seguro en comparación con la extracción.
Endodoncia y Quimioterapia
Como consecuencia de una terapia citostática se debilita la respuesta inmunitaria de los pacientes afectados. Los dientes con necrosis pulpar o periodontitis apical deberían tratarse o extraerse antes de la terapia como focos de inflamación potenciales.
Endodoncia y VIH
La defensa inmunológica comprometida de este grupo de pacientes comporta un mayor riesgo de exacerbación aguda de inflamaciones perirradiculares. El tratamiento de conductos radiculares suele constituir la intervención más respetuosa. La existencia de una infección por VIH no constituye contraindicación alguna para un tratamiento de conductos radiculares.
Endodoncia y Alergias
Entre los alérgenos más extendidos que se utilizan también en la endodoncia se cuenta el látex, contenido en los guantes de goma y en el dique de goma. En caso de determinarse anamnésicamente la existencia de una alergia al látex, debería recurrirse a guantes y diques de goma sin látex.
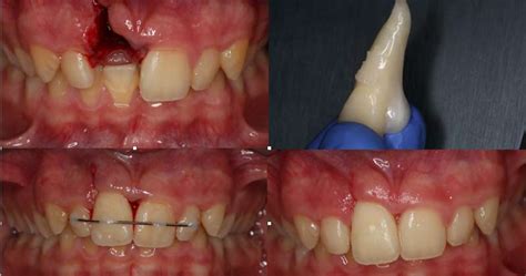
Extrusión Quirúrgica como Alternativa a la Exodoncia
La extrusión quirúrgica es una técnica que puede evitar la exodoncia en casos de fracturas corono-radiculares. Este procedimiento consiste en traccionar el diente hasta la reposición en la posición deseada, seguido de ferulización y tratamiento endodóntico.
Un caso clínico presentado en el Máster en Cirugía Oral, Implantología y Periodoncia de la Universidad Alfonso X El Sabio ilustra la aplicación exitosa de esta técnica en un paciente con fractura corono-radicular. Tras la extrusión quirúrgica, endodoncia y rehabilitación del diente, se observaron signos clínicos saludables durante un seguimiento de 12 meses.

Representación de la extrusión quirúrgica para salvar un diente con fractura.
En resumen, la endodoncia sin radiografía es un tema complejo que requiere una evaluación cuidadosa de cada caso individual. Si bien las radiografías siguen siendo una herramienta valiosa, las nuevas tendencias y alternativas pueden ofrecer opciones viables en ciertas situaciones. Es fundamental que los profesionales de la odontología se mantengan actualizados sobre las últimas investigaciones y enfoques para brindar la mejor atención posible a sus pacientes.
tags: #endodoncia #sin #radiografia