Las enfermedades periodontales son un conjunto de infecciones bacterianas que afectan las encías y las estructuras de soporte de los dientes. Estas enfermedades, producidas por bacterias provenientes de la placa bacteriana, se clasifican principalmente en gingivitis, que se limita a las encías, y periodontitis, que se extiende a tejidos más profundos.

La periodoncia, rama de la odontología que se encarga de la prevención, diagnóstico y tratamiento de enfermedades periodontales, ha experimentado notables avances en las últimas décadas. El campo de la periodoncia se encuentra en constante evolución, y es fundamental que los profesionales de la salud bucal se mantengan actualizados sobre los últimos avances.
Clasificación de las Enfermedades Periodontales
La clasificación de las enfermedades periodontales ha evolucionado con el tiempo. Inicialmente, la Asociación Americana de Periodoncia clasificaba estas enfermedades en gingivitis y periodontitis (suave, moderada, severa y refractaria), según la región periodontal afectada. En 1989, el World Workshop on Clinical Periodontics introdujo nuevas entidades nosológicas. Posteriormente, el Primer Workshop Europeo de Periodoncia (1993) propuso una clasificación más simple basada en factores causales y la respuesta del hospedador.
En 1999, el International Workshop for a Classification of Periodontal Diseases and Conditions aprobó una nueva clasificación que se utiliza actualmente. Esta clasificación divide las enfermedades periodontales en varias categorías, incluyendo enfermedades gingivales inducidas por placa y diversas formas de periodontitis.

Enfermedades Gingivales Inducidas por Placa
El término "enfermedades gingivales" se usa para describir diversas enfermedades localizadas en la encía. Estas enfermedades se caracterizan por:
- Placa bacteriana que inicia o exacerba la severidad de la lesión.
- Reversibilidad al eliminar los factores causales.
- Posible papel como precursor en la pérdida de inserción alrededor de los dientes.
Clínicamente, se observa inflamación, contorno gingival alargado, coloración roja o azulada, temperatura sulcular elevada, sangrado al sondaje e incremento del sangrado gingival. Estos signos están asociados a periodontos con niveles de inserción estables.
Existen varios tipos de gingivitis inducida por placa, incluyendo:
- Gingivitis asociada a la pubertad: Inflamación gingival exacerbada debido a cambios hormonales.
- Gingivitis asociada al ciclo menstrual: Respuesta inflamatoria moderada previa a la ovulación.
- Gingivitis asociada al embarazo: Inflamación proliferativa y vascular con un amplio infiltrado inflamatorio celular.
- Gingivitis asociada a diabetes mellitus: La severidad está influenciada por el control diabético.
- Gingivitis asociada a leucemia: Tejidos gingivales inflamados y esponjosos con coloración que varía entre el rojo y el morado.
- Agrandamientos gingivales inducidos por fármacos: Asociados a anticonvulsivantes, inmunosupresores y bloqueantes de los canales del calcio.
Etiopatogenia de la Periodontitis Crónica
La periodontitis crónica está causada por infecciones mixtas producidas por un biofilm de bacterias subgingivales. No existe un único patógeno responsable de la etiopatología de la periodontitis. La respuesta inmune de anticuerpos a P. intermedia, B. forsythus y T. denticola también ha sido demostrada en este tipo de pacientes.
La enfermedad periodontal es un proceso infeccioso de la encía y del aparato de inserción adyacente, producido por diversos microorganismos que colonizan el área supra y subgingival. A diferencia de la gingivitis, se caracteriza por una pérdida estructural del aparato de inserción, producida por determinadas bacterias, éstas son también necesarias pero no suficientes para que se produzca la enfermedad, siendo necesaria la presencia de un hospedador susceptible.
En determinadas ocasiones, la enfermedad periodontal está relacionada con el sujeto, porque a pesar de la importancia de la placa en esta enfermedad, sólo algunas personas desarrollan una destrucción avanzada, y su progresión es continua, con breves episodios de exacerbación y remisión localizados. Por lo tanto, determinados individuos con defectos en su sistema inflamatorio o inmunitario pueden generar periodontitis; incluso, se podría llegar a demostrar cierta predisposición genética.
El término infección se emplea para referirse a la presencia y multiplicación de microorganismos en el cuerpo; por lo tanto denominamos infección periodontal a la enfermedad que, localizada en encía y estructuras de soporte del diente, ligamento y hueso alveolar, está producida por un grupo determinado de bacterias provenientes de la placa subgingival que funcionan normalmente individualmente o en biofims, cuando se produce un desequilibrio entre la carga microbiana de la bolsa periodontal y los mecanismos locales y sistémicos de la respuesta del huésped.
El papel que desempeñan estas bacterias en dicho desequilibrio, es el desarrollo de la periodontitis participando en la formación de la bolsa periodontal, destrucción del tejido conectivo y reabsorción del hueso alveolar a través de un mecanismo inmunopatogénico.
Características Clínicas de la Periodontitis Crónica
La periodontitis crónica tiene mayor prevalencia en adultos, aunque puede aparecer en individuos de cualquier grupo de edad. Se pueden hallar diversos signos y síntomas tales como:
- Edema
- Eritema
- Aumento o recesión de la encía
- Placa o cálculo supra y subgingival
- Factores locales que aumentan el acumulo de placa sangrado o supuración al sondaje o espontánea
- Mayor movilidad
- Apiñamiento o exfoliación dental
Todas estas circunstancias pueden afectar a un número variable de dientes en función de cada individuo, con tasas variables de progresión.
En el año 2000 se publicaron unos parámetros a partir de la clasificación del World Workshop de 1999, en el que otorgan a la periodontitis crónica de leve a moderada las siguientes características:
- Una pérdida de inserción que no supera un tercio de la longitud radicular.
- Si el diente presentara lesión furcal, ésta no superaría la clase I.
- La profundidad de sondaje determinada no debe ser mayor de 4 mm para afectaciones leves, ni mayor de 6 mm para clasificarlas como moderadas, es decir, las pérdidas de inserción no deben ser superiores a 4 mm.
En las periodontitis crónicas severas o avanzadas, podemos observar:
- Una pérdida de inserción por encima de los 5 milímetros y superior a un tercio de la longitud radicular.
- La existencia de afectaciones furcales de grado II y/o III.
- Profundidades de sondaje superiores a 6 milímetros.

Diagnóstico de la Periodontitis
El examen del estado periodontal de un paciente incluye la valoración de una serie de pruebas diagnósticas, basadas en parámetros clínicos, como la evaluación clínica de la inflamación, el nivel de inserción (NI) y profundidad de sondaje (PS), y a parámetros radiográficos para estimar la pérdida ósea. Las limitaciones de este tipo de mediciones es la falta de información sobre las localizaciones que están desarrollando un proceso en actividad; ya que este tipo de pruebas solo indican la destrucción tisular acontecida.
Para diagnosticar una periodontitis crónica debemos tener en cuenta las características clínicas presentes, incluyendo inflamación, sangrado al sondaje, pérdida de inserción clínica y evidencia radiográfica de pérdida ósea.
Tratamientos Periodontales
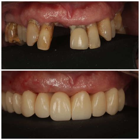
La forma de curar la enfermedad periodontal varía según en qué estado se encuentre. El tratamiento periodontal es la forma más habitual de curar las encías enfermas por piorrea. Con el fin de eliminar el cálculo y las colonias de agentes patógenos y bacterianos, el periodoncista realiza un raspado y alisado radicular. Se realiza bajo anestesia local para evitar cualquier molestia o dolor al paciente.
Tras estas citas, el paciente deberá acudir a una cita de reevaluación transcurridas de 4 a 6 semanas. En estados más avanzados de la enfermedad, cuando la profundidad de las bolsas periodontales supera los 6 milímetros, este tratamiento puede ser insuficiente. Dependiendo de si se ha producido pérdida ósea o de tejido blanco, es posible realizar un injerto de hueso, de encías o ambos.
Prevención de las Enfermedades Periodontales
A pesar de que no podemos tener control sobre los factores genéticos u otras enfermedades que afectan a la boca, es posible evitar las enfermedades periodontales. Cepillarse los dientes después de cada comida durante, al menos, dos minutos o enjuagarse con colutorio son actos que deben formar parte de nuestra limpieza oral diaria. Las bacterias van poco a poco acumulándose en nuestro cepillo, por eso es importante cambiarlo cada 3 meses.
La prevención es la mejor forma de evitar la aparición de enfermedades periodontales, así que recuerda acudir anualmente a tu dentista de confianza. En caso de haber padecido periodontitis con anterioridad, la frecuencia de las visitas suele ser más corta: entre 4 y 6 meses.
El Desconocimiento de la Periodontitis en la Población
Prácticamente la mitad de la población española, y también de otros países de referencia en Europa, no saben bien qué es la periodontitis y, por lo tanto, cabe esperar que tengan importantes dificultades para identificar sus síntomas. Este desconocimiento se asocia estrechamente con el nivel de estudios y, aunque en menor medida, con la renta, según se han observado en una macroencuesta llevada a cabo por Key-Stone entre la población europea.
En España, se aprecia una enorme diferencia en cuanto a los conocimientos sobre la periodontitis en función, sobre todo, del nivel de estudios y también de los ingresos del hogar de los encuestados.
🦷 ¿Qué es la Periodontitis o Piorrea? La enfermedad de las encías
“El conocimiento de la enfermedad es, en general, la base para concienciar a la población acerca de la adecuada valoración de los síntomas que, en este caso, podrían estar asociados a problemas de las encías y del tejido periodontal”, asegura el Dr. Nart. No cabe duda, según añade este experto, que “la prioridad de las instituciones, pero también de todos los profesionales de la salud bucodental, tendría que enfocarse en la difusión del conocimiento de estas enfermedades, sobre todo en aquellos segmentos de la población con menor nivel educativo que, además, suelen coincidir con las franjas de población con menos recursos económicos y con mayores posibilidades de enfrentarse a un deterioro grave de sus dientes”.
Enfoque de Salud Pública para las Enfermedades Periodontales
Existe consenso en que el abordaje de las enfermedades periodontales debe ir acompañado de un enfoque en la salud pública, dado que se reconoce que tanto la gingivitis como la periodontitis son un importante problema de salud pública a nivel global por su alta prevalencia, por ocasionar daños evidentes en las personas, por el alto costo de tratamiento y por ser susceptibles de ser prevenidas.
Por la relación existente con enfermedades crónicas no transmisibles y por compartir factores de riesgo comunes con ellas, y dado que a pesar de los esfuerzos del abordaje individual existe aún una alta prevalencia de estas enfermedades, el abordaje debería enfocarse hacia el fortalecimiento del nivel primario de salud, trabajo interdisciplinario e intersectorial, promoviendo estilos de vida saludables, hábitos de higiene oral, consejería antitabáquica y dietética, y detección precoz de la enfermedad.
tags: #enfermedad #periodontal #articulos #cientificos