La piorrea, también conocida como periodontitis, es una enfermedad inflamatoria crónica que afecta las encías y las estructuras de soporte de los dientes. Es una afección común que puede tener graves consecuencias si no se trata a tiempo.

¿Qué es la Piorrea?
La piorrea es una enfermedad que también se llama periodontitis. La piorrea o periodontitis aguda es una infección en las encías, lo que supone un problema grave de salud. Afecta a la estructura de la dentadura, provocando una inflamación y el deterioro del hueso. Esta enfermedad periodontal acaba con los tejidos de soporte dentario, provocando una pérdida de los dientes.
La piorrea empieza como una enfermedad inflamatoria que va, poco a poco, destruyendo el hueso que sostiene los dientes. Cuando una encía sufre de piorrea o periodontitis, nuestra boca se encuentra en peligro y requiere de un tratamiento y unos cuidados específicos.
Causas de la Piorrea
Existen muchos factores que influyen en la piorrea y por eso siempre se ha dicho que es una enfermedad multifactorial. La primera de las causas de la piorrea es por una higiene dental es pobre, aparece la piorrea. El origen de la piorrea suele estar en una gingivitis no tratada.
La principal causa de la piorrea es una higiene oral deficiente, que provoca una acumulación de placa bacteriana y sarro. En un gran porcentaje de casos, la piorrea tiene su origen en la falta de cepillado dental. Por ello, es imprescindible cepillarse los dientes después de cada comida durante, al menos, dos minutos. Además, la proliferación de bacterias puede darse por una técnica de cepillado incorrecta.
Se produce principalmente por las bacterias Aggregatibacter actinomycetemcomitans, Tannerella forsythia y Porphyromonas gingivalis que hacen que tanto la velocidad de la pérdida ósea, como su respuesta al tratamiento básico sea desfavorable. En la boca existen más de 300 tipos diferentes de bacterias y muchas de ellas son potencialmente lesivas para el periodonto. Cuando las bacterias crecen sobrepasando un cierto nivel, son capaces de producir lesiones en los tejidos periodontales.
Otros factores que contribuyen a la piorrea:
- Mala higiene: La mala higiene es fundamental, pues la placa dental debe eliminarse por completo para reducir en lo posible la carga bacteriana de la boca y prevenir la periodontitis aguda o piorrea.
- Tabaco: Este es uno de los principales factores que producen la piorrea. Fumar se relaciona directamente con la enfermedad periodontal y, por tanto, es esta una buena razón para dejar para siempre este mal hábito. El tabaco es uno de los principales causantes más influyentes, pues crea alteraciones locales en la respuesta inflamatoria general y altera los gérmenes, haciéndolos más patógenos. Además de causar, una vez en tratamiento de piorrea, el hábito de fumar puede reducir el efecto de este.
- Genética: Existe una causa genética que, en caso de ser un riesgo, debe ser una invitación a prestar mayor atención a la salud de las encías. Los antecedentes familiares juegan un papel fundamental en la piorrea.
- Cambios hormonales: Las encías se pueden volver mucho más sensibles cuando se producen cambios hormonales en las mujeres. Las encías se pueden volver mucho más sensibles cuando se producen cambios hormonales en las mujeres. Todo empieza como una gingivitis y, poco a poco, se desarrolla la enfermedad.
- Diabetes: Los enfermos diabéticos tienen más riesgo de tener piorrea. La diabetes y la periodontitis tienen una relación bidireccional importante y si no se controlan de manera conjunta, pueden llegar a ser contraproducentes para una buena salud y una mejor vida. Así como también los enfermos de cáncer y de SIDA, tanto si están como si no están en tratamiento para combatir estas enfermedades.
- Medicamentos: Hay muchos medicamentos que reducen el flujo de saliva y, por tanto, dejan la boca sin protección. De esta forma, se puede producir la infección de las encías o piorrea. Además, algunos medicamentos hacen que el tejido de las encías crezca más de lo normal, de forma que es más complicado tener las encías limpias.
- Malos hábitos: Hay algunos hábitos que pueden hacernos propensos a padecer enfermedades periodontales, y son una de las causas de la piorrea, como por ejemplo, fumar, consumir mucho alcohol, malos hábitos alimentarios, el sobrepeso.
- Malposiciones dentales: En personas que tienen un gran cuidado con su boca, las malposiciones no conllevan un mayor riesgo de padecer periodontitis, pero en personas menos atentas a su boca, los dientes mal colocados pueden favorecer la aparición de problemas de la encía, tanto gingivitis como periodontitis, porque la higiene se dificulta en estos casos y las bacterias crecen mejor.
- Otros factores: Existen además una serie de factores que pueden potenciar como son los embarazos, tratamientos de ortodoncia, ya que mueven los dientes, etc.
Síntomas de la Piorrea
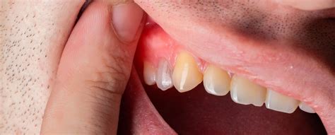
La piorrea puede ser difícil de detectar en un inicio, puesto que algunos de sus signos son leves y poco visibles. Además, no todos los pacientes experimentan los síntomas más característicos. El principal y primer signo que alerta de que algo está pasando es: El sangrado de encías, espontáneo o durante el cepillado, y el enrojecimiento. Que la encía sangre no es normal.

Otros síntomas incluyen:
- Mal aliento.
- Hipersensibilidad al frío.
- Pérdida de encía o percepción de dientes más largos.
- Movilidad o separación de los dientes.
- Aparición de abscesos o flemones en la encía si la enfermedad sigue avanzando, pues estos últimos son ya una manifestación de una periodontitis en una fase avanzada.
- Sangrado de encías. Dicho sangrado puede manifestarse al comer o lavarse los dientes.
- Retracción de encías.
Sin embargo, en personas fumadoras, la enfermedad suele diagnosticarse más tarde, pues el tabaco reduce el flujo sanguíneo, por lo que, en ocasiones, el sangrado de encías no se manifiesta hasta fases más avanzadas de la enfermedad. Por ello, es conveniente que los fumadores presten una especial atención a la salud de sus encías, además de intentar dejar de fumar, pues las personas que fuman tienen hasta tres veces más riesgo de padecer periodontitis.
Si observas cualquiera de estos síntomas es sinónimo de una posible piorrea dental o periodontitis. Si percibes la aparición de alguno de estos síntomas, te recomendamos que consultes a tu odontólogo dentista, periodoncista o higienista dental. Todos ellos profesionales de la salud bucodental te ayudarán a identificar el problema, solucionar cualquier duda que tengas y te aconsejarán el tratamiento más adecuado.
Complicaciones de la Piorrea
La piorrea también afectar al estado de salud general, pues existe evidencia científica sobre la relación de esta enfermedad con el aumento del riesgo vascular, la descompensación de la diabetes, infecciones respiratorias o incluso el parto prematuro.
- Diabetes: Como cualquier otra patología infecciosa, la periodontitis altera el estado metabólico-endocrino de las personas. Así pues, el paciente diabético tiene más riesgo de sufrir periodontitis y la periodontitis puede iniciar o aumentar la resistencia a la insulina, como así lo demuestran múltiples estudios científicos, complicando o dificultando el control de la glucemia. Además, la periodontitis destruye el tejido que soporta los dientes, provocando reabsorción ósea y produciendo cambios sobre células inmunocompetentes y sobre otras que participan en la prevención de las inflamaciones. Las personas diabéticas también padecen una reducción en el flujo salival, lo que conlleva la aparición de un mayor acúmulo de placa dental y, por ello, más caries, infecciones y enfermedades periodontales. Además, son más susceptibles a las infecciones en general y a la periodontitis en particular, debido a la resistencia de los tejidos a la acción de la insulina y los cambios vasculares. Un control en los niveles de glucosa hará que se controlen mejor dichas infecciones.
- Enfermedad cardiovascular: La periodontitis es un factor de riesgo para el desarrollo de enfermedad cardiovascular arterioesclerótica. La arterioesclerosis es una enfermedad fundamentalmente inflamatoria y está comprobado que focos infecciosos o inflamatorios no controlados, como los causados por la periodontitis, la hacen progresar, pudiendo llegar a desencadenar procesos más agudos, como síndromes coronarios graves. Se han encontrado algunos de los gérmenes causantes de la enfermedad periodontal presentes en las placas de ateroma de los vasos sanguíneos. Esto se explica porque, cuando hay una periodontitis no tratada, puede darse una liberación al torrente sanguíneo de bacterias, toxinas y otros elementos inflamatorios que pueden provocar problemas en otras partes del cuerpo. La presencia de estos elementos en las arterias coronarias desencadena un proceso de obstrucción, aumentando el riesgo de infarto. Así mismo, ambas enfermedades comparten factores de riesgo modificables (tabaquismo u obesidad, entre otros) y que están asociados al estilo de vida. Por tanto, en el contexto de una terapia periodontal integral sería muy positivo integrar programas para ayudar a los pacientes a dejar de fumar y un asesoramiento sobre posibles modificaciones del estilo de vida: dieta y ejercicio, que mejorarían tanto la salud general como la de las encías.
Tratamiento de la Piorrea
El tratamiento de la piorrea tiene como finalidad combatir la infección. El tipo de tratamiento a seguir dependerá de cuánto se ha extendido el problema. El objetivo principal del tratamiento de la piorrea dental es reducir la inflamación. La clave para frenar la progresion de la periodontitis es la higiene oral, conseguir que haya la menor cantidad de bacterias patogenas en la boca.
Su tratamiento se fundamenta en tres pilares: La fase básica del tratamiento de las encías incluye el raspado y el alisado radicular (limpieza manual por debajo de las encías) junto a la enseñanza de instrucciones en higiene específicas y su cumplimiento. En determinados casos, se hace necesario pasar a una segunda fase de tratamiento en la que son necesarias pequeñas cirugías de las encías para corregir los defectos que pueda haber dejado la enfermedad. Por último, es imprescindible seguir un programa de mantenimiento o seguimiento para prevenir o controlar la posible aparición de recaídas, aún más si persiste la presencia de factores de riesgo antes mencionados.
El dentista es el profesional que posee la capacitación para diagnosticar y tratar los problemas de encías, así como para aconsejar sobre las medidas preventivas que ayuden a mantenerla en óptimas condiciones de salud, pudiendo ocuparse también de la reconstrucción de los tejidos perdidos a consecuencia de la enfermedad. En ocasiones, el dentista o el mismo paciente pueden solicitar la colaboración de un periodoncista para tratar aquellos casos más complejos y avanzados.
DIAGNÓSTICO. PLAN DE TRATAMIENTO. Los datos obtenidos nos permitiran determinar el pronostico para cada diente y elaborar un plan de tratamiento. Este plan de tratamiento por lo general consiste en realizar una limpieza dental profunda (raspados), normalmente con anestesia local, para eliminar todo el sarro que se ha formado alrededor los dientes y debajo de las encias.
MANTENIMIENTO. A las seis semanas se realizara una segunda valoracion para decidir cada cuanto sera necesario efectuar un mantenimiento de este tratamiento, normalmente cada 3, 4 o 6 meses en funcion de las necesidades de cada paciente.
Opciones de tratamiento:
- Limpieza profunda: Consiste en el raspado y alisado de las encías. En este tratamiento, se remueve el sarro y se alisan las áreas ásperas donde se puedan estar acumulando gérmenes. En la primeras sesiones se practicará un raspado periodontal, lo que permitirá eliminar todo el cálculo acumulado, cerrará en la mayoría de ocasiones al máximo las bolsas y permitirá reducir la infección. Una vez se ha realizado esta parte el paciente será examinado primero cada 3/4 meses en función de la gravedad y luego irán ampliandose las visitas al periodoncista. Se puede usar también un método con láser, el cual implica menores inflamación y sangrado. El curetaje dental o raspado de encías es necesario para eliminar las bacterias y restos en las encías y poder tratar así la piorrea.
- Medicamentos: Pueden usarse como complemento del tratamiento antes indicado, aunque todo dependerá del diagnóstico. En algunos casos recomendamos a nuestros pacientes el uso de medicamentos que se ponen en las encías y los dientes. Entre los principales, encontramos el enjuague y antibiótico. La primera fase del tratamiento es la fase básica, tratando la piorrea con antibióticos y, si posteriormente es necesario, con una cirugía.
- Cirugía: Puede ser de dos tipos. La primera es la de colgajo, que se hace para remover los depósitos de sarro de las encías. La cirugía consiste en levantar las encías, limpiarlas y, luego, coserlas para que vuelvan a su lugar. Es posible que se requiera abrir y limpiar las bolsas profundas en las encías y brindar soporte a los dientes flojos. En casos más complejos, se puede tratar con injertos de hueso o de tejido. En este caso, el dentista puede regenerar los tejidos perdidos con injertos de hueso sintético o natural en la zona de pérdida de hueso. Cuando todo lo anterior no ha funcionado, la cirugía permite levantar totalmente las encías para limpiarlas bien por dentro y vaciar el sarro de las bolsas periodontales. En los casos en los que la piorrea ya se encuentra en un estado avanzado, puede incluso requerir tratamiento quirúrgico.
Es importante hacerse una limpieza dental completa que puede involucrar el uso de diversos instrumentos o aparatos para aflojar y remover la placa y el sarro de los dientes. En algunos casos recomendamos a nuestros pacientes el uso de medicamentos que se ponen en las encías y los dientes.
El tratamiento de la piorrea debe incluir un control de la placa bacteriana en casa del paciente. Para ello, la persona tiene que mejorar sus rutinas de higiene oral. En algunas ocasiones, tras el raspado y alisado radicular también es necesario el uso de tratamiento antibiótico. La cirugía periodontal es un paso que tampoco requieren todos los pacientes con piorrea. Se recurre a ella cuando el raspado y alisado radicular no consiguen retirar por completo el sarro y las bacterias, lo que puede ocurrir en casos de bolsas periodontales muy profundas.
| Tratamiento | Descripción | Cuándo se utiliza |
|---|---|---|
| Limpieza Profunda (Raspado y Alisado Radicular) | Eliminación del sarro y alisado de las áreas ásperas de las encías. | Casos incipientes y como tratamiento inicial. |
| Medicamentos (Enjuagues y Antibióticos) | Complemento al tratamiento principal para combatir la infección. | Según el diagnóstico y la severidad de la infección. |
| Cirugía (Colgajo e Injertos) | Remoción de depósitos de sarro profundos e injertos para regenerar tejidos perdidos. | Casos complejos con pérdida ósea significativa. |
Prevención de la Piorrea
La prevención es la medida más efectiva ante la periodontitis. La piorrea es una enfermedad de las encías que, no tratada a tiempo, puede acarrear graves problemas dentales e incluso provocar la pérdida de dientes. Una vez más la higiene bucal correcta es la forma más efectiva de prevenirla.

Diez consejos para prevenir la aparición de periodontitis:
- Lávate los dientes todos los días: Debes adquirir el hábito de cepillarte los dientes cada día; hazlo durante dos minutos y al menos dos veces al día, prestando especial dedicación al cepillado de la noche, que nunca debes olvidar. Y procura que tus hijos adopten también este hábito.
- Más allá del cepillo: Además del cepillado diario, es recomendable el uso del hilo dental o algún otro método de limpieza interdental, pues solo con el cepillado no se puede llegar a todos los rincones de tu boca. Cepilla también tu lengua cada día, pues en su superficie se retienen bacterias.
- Refuerza la limpieza con el enjuague: Complementa la limpieza con un enjuague bucal en caso de que sea necesario y siempre siguiendo las recomendaciones de tu dentista.
- Evita ciertos alimentos…: Los alimentos ricos en azúcar, incluidas las bebidas refrescantes con gas, no ayudan a la salud bucodental. Las bacterias que habitan en la boca transforman los azúcares en ácidos y estos, a su vez, atacan el esmalte dental y provocan la aparición de la caries y otras enfermedades bucales.
- …Y apuesta por otros: La alimentación también puede ayudar a mejorar tu salud bucodental. Podríamos decir que algunos de los alimentos más sanos para tu boca son algunas frutas (arándanos, kiwi, uvas) y todos aquellos alimentos ricos en grasas insaturadas Omega 3, como el pescado azul (salmón, caballa) y los frutos secos (nueces). También, bebidas como el té verde, por sus propiedades antioxidantes.
- No picotees entre horas: No picotear entre comidas es sano para tu salud, en general, y también para tu salud bucodental y más aún si después de comer algo no puedes cepillarte los dientes. En concreto, evita sobre todo los dulces, bollería, zumos industriales y snacks, por su potencial cariogénico. En todo caso, puedes tomar fruta natural, como la manzana, o un lácteo.
- Cuídate si estás embarazada: Si te encuentras embarazada o planeas estarlo, pide cita con tu dentista, porque durante estos meses los cambios que experimentará tu cuerpo también pueden repercutir en tu boca y acarrearte ciertos problemas.
- Máxima precaución ante ciertas enfermedades: Vigila especialmente tu salud oral o si eres una persona diabética o sufres alguna enfermedad cardiovascular. Estudios científicos han demostrado la relación directa entre estas dos patologías y los problemas periodontales.
- Presta más atención si tienes predisposición genética: En algunos casos, los problemas dentales tienen un componente hereditario. Si es tu caso, debes prestar una especial atención a tu dentadura para prevenir desde edades tempranas cualquier atisbo de problema y actuar de forma adecuada y rápida.
- Destierra el miedo a ir al dentista: La periodontitis (o piorrea, como se la conoce popularmente) es la forma más grave de las denominadas enfermedades periodontales y suele ser consecuencia de una gingivitis (inflamación de las encías) no tratada. Si se mantiene una buena higiene dental se puede eliminar en su mayor parte con el cepillado y el uso del hilo dental, pero aún así lo habitual es que no se llegue a eliminar en su totalidad aun cuando se aplique correctamente las técnicas de cepillado y de limpieza de los espacios interdentales. Cuando esto sucede solo una limpieza profesional realizada por un higienista dental puede eliminar el sarro. Es por ello que se recomienda una limpieza de este tipo al menos una o dos veces al año, dependiendo de cada persona y de sus hábitos. También hay que tener en cuenta que existe otros factores que pueden favorecer tanto la aparición de la gingivitis como de la periodontitis, como son el hábito de fumar, los cambios hormonales propios de la mujer, enfermedades como la diabetes y el uso de cualquier medicamento que reduzca la producción de saliva, esencial para controlar la cantidad de bacterias que se alojan en la boca. Si esta forma leve de enfermedad periodontal no se trata adecuadamente, la placa de sarro continuará su crecimiento por debajo de la línea de las encías, formando bolsas que lentamente se extienden hacia la raíz del diente.
Es muy aconsejable realizar limpiezas dentales profundas a manos de un especialista, al menos una vez al año. Si necesitas realizar una revisión, en Gross Dentistas estamos a tu entera disposición. Recuerda que prevenir hoy será clave para evitar la piorrea dental en un futuro.
Enfermedad Periodontal, ¿Tiene cura? ¿Se pueden caer mis dientes? Terapia Lanap - Odontología Láser.
tags: #enfermedad #piorrea #dientes