Muchos pacientes acuden a consulta porque perciben un cambio de color en algún diente en particular. Entiendo que ver dientes negros u oscurecidos puede ser alarmante. Los dientes negros o más oscuros son algo más común de lo que creemos y genera inquietud ya que afecta de forma importante la apariencia de la sonrisa.
En este artículo te explicaré qué hay detrás de lo que muchos llaman la “enfermedad de los dientes que los pone negro”, cuáles son sus causas más comunes - desde caries avanzadas hasta necrosis pulpar - y, lo más importante, cómo prevenir y tratar este problema.
Existen diversas razones por las que un diente puede oscurecerse hasta verse negro. La tonalidad del diente se va modificando de blanco a gris claro o incluso negro. En general, las causas se dividen en extrínsecas (manchas superficiales externas en el esmalte) e intrínsecas (problemas internos del diente que cambian su color desde dentro).

Causas Comunes del Oscurecimiento Dental
Blanqueamiento dental en Casa. ¿ Cómo se hace? Así de fácil!!
Puede ocurrir que un diente que estaba sano empiece a cambiar de color y a ponerse oscuro o ennegrecido. Este problema puede deberse a varias causas, como un golpe que daña el diente y causa la lesión del nervio dental, o bien una pulpitis o caries profunda.
1. Caries Dental Avanzada
Una caries dental (cavidad) es una infección causada por bacterias que destruyen el esmalte y la dentina del diente. Cuando la caries está en etapas iniciales, puede verse como una mancha blanquecina o marrón; pero si progresa lo suficiente, la zona afectada adquiere un color marrón oscuro o negro. Es común observar un agujero negro en el diente cuando la caries es muy profunda. ¿Por qué una caries produce dientes negros? Básicamente, al destruir el esmalte (que normalmente es blanco) se expone la dentina, que es más oscura. Además, la descomposición del tejido dental crea pigmentos y zonas necrosadas de color negro.
Un diente con caries avanzada puede presentar dolor al comer, sensibilidad dental e incluso un absceso si la infección alcanza el nervio. Es vital tratar las caries temprano para que no lleguen a este estado. En estos casos con un tratamiento restaurador mediante composite, suele ser suficiente.

2. Necrosis Pulpar
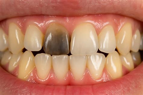
La necrosis pulpar ocurre cuando el tejido pulpar (el “nervio” del diente, que contiene nervios y vasos sanguíneos) muere. Al perder vitalidad, la pulpa deja de aportar sangre al diente y este comienza a cambiar de color, volviéndose primero grisáceo y luego, con el tiempo, un diente muerto puede volverse negro. Varias situaciones pueden llevar a una necrosis pulpar: una caries muy profunda que infecta el nervio, un trauma severo, o incluso una fractura dental que expone la pulpa.
Cuando el nervio muere, a veces el paciente nota que el dolor intenso que tenía (por ejemplo, debido a pulpitis) desaparece súbitamente - lo cual puede parecer un alivio, pero en realidad es mala señal, porque significa que el diente ha perdido sensibilidad por completo. Un diente con necrosis pulpar no siempre duele, pero puede desarrollar infección en el ápice (extremo de la raíz), formando un granuloma o quiste, e incluso un flemón en la encía.
La necrosis pulpar no tiene solución en casa: si notas que un diente se ha oscurecido tras un golpe o una caries extensa, es probable que necesite tratamiento profesional (habitualmente una endodoncia, de la que hablaremos en la sección de tratamiento).
3. Traumatismo Dental
Un traumatismo dental (por ejemplo, al caer o recibir un impacto practicando deporte) puede dañar seriamente la pieza afectada. Una de las principales razones del oscurecimiento de un diente ya que el nervio del mismo se suele ver afectado en caso de golpe. Incluso si el diente no se rompe, el golpe puede lesionar los vasos sanguíneos de la pulpa o el ligamento periodontal.
Cuando un diente se pone negro por un golpe, suele ser indicio de necrosis pulpar interna. A veces, tras el golpe el diente puede lucir rosado o marrón inicialmente (por sangrado dentro de la cámara pulpar) y con los meses volverse negro. Al principio, se puede observar una tonalidad rojiza o rosada, pero con el tiempo, la sangre se degrada y aparecen tonalidades marrones, anaranjadas, azuladas o negras.
Además del cambio de color, un traumatismo fuerte puede generar dolor al morder, y si hay fractura interna puede aparecer movilidad en el diente. En niños es bastante frecuente que, después de un golpe en un diente de leche, este se oscurezca al cabo de un tiempo.
4. Sarro Dental (Cálculo)
El sarro dental es placa bacteriana calcificada que se adhiere fuertemente a los dientes. Otra de las más comunes del ennegrecimiento de los dientes es la formación de sarro o cálculos en el interior del diente, que le da un tono amarillento a la superficie del mismo. Inicialmente, el sarro suele ser de color amarillo claro o beige; sin embargo, cuando el sarro se acumula debajo de las encías (sarro subgingival) puede tomar un color marrón oscuro, verde oscuro o negro.
Este sarro negro se forma porque debajo de la encía el sarro entra en contacto con sangre y otros componentes (como el líquido crevicular de las encías), que le aportan pigmentos oscuros. La presencia de sarro negro indica que ha habido higiene oral deficiente por un tiempo prolongado, permitiendo que la placa se endurezca. Suele asociarse con problemas de encías: es común en personas con gingivitis o periodontitis (infecciones de las encías) que sangran; la sangre se incorpora al cálculo dental y lo ennegrece.
A diferencia de las manchas por caries o necrosis (que afectan la estructura del diente), el sarro negro es un depósito externo: el diente en sí no está muerto, pero está “cubierto” por esta capa oscura. Es importante señalar que el sarro, una vez formado, no se puede eliminar con el cepillado normal. Ni el mejor cepillo ni enjuague removerán el cálculo duro; se requiere una limpieza dental profesional (profilaxis) para quitarlo.
Si notas manchas negras en la base de tus dientes que no se desprenden con la higiene habitual, probablemente se trate de sarro y debes acudir a una limpieza con tu dentista o higienista dental.
5. Manchas Extrínsecas
No siempre un diente negro significa que esté enfermo por caries o necrosis; a veces se debe simplemente a manchas externas en el esmalte causadas por lo que comemos, bebemos o nuestros hábitos. Según van pasando los años, el tiempo y los diferentes hábitos, pueden crear manchas negras en los dientes.
Ciertos alimentos y bebidas con pigmentos intensos pueden teñir gradualmente los dientes si se consumen con frecuencia. Por ejemplo, el café, el té negro, el vino tinto, los refrescos de cola, los arándanos, salsa de soja, curry y otros condimentos pueden dejar manchas oscuras en los dientes con el tiempo. El tabaco es otro gran villano de la coloración dental. Fumar cigarrillos o usar tabaco de mascar expone los dientes a la nicotina y al alquitrán, sustancias que producen manchas amarillo-marrones muy tenaces. En fumadores de muchos años, los dientes pueden volverse de un color marrón oscuro tirando a negro.
Otros factores externos que pueden causar manchas negras incluyen algunos enjuagues bucales medicados (por ejemplo, los colutorios de clorhexidina usados por tiempo prolongado pueden oscurecer el esmalte) y los suplementos de hierro líquidos (a menudo administrados a niños o embarazadas), los cuales pueden dejar manchas negro-verdosas en la superficie dental.
Las manchas extrínsecas son depósitos de pigmento en el esmalte. Por sí solas no debilitan el diente ni provocan dolor, pero afean la sonrisa. La buena noticia es que este tipo de manchas se pueden prevenir y tratar fácilmente: una limpieza dental profesional y procedimientos de blanqueamiento dental pueden devolver el color original.

6. Empastes de Amalgama Metálica
Otra causa de que un diente luzca negro puede no ser una enfermedad actual, sino el resultado de tratamientos dentales previos. Por ejemplo, los empastes de amalgama (aquellos empastes metálicos de color plata que se usaban mucho antiguamente) pueden con el tiempo pigmentar la estructura dental circundante de gris oscuro o negro. Los empastes de amalgama metálica pueden comenzar con plata, pero pueden empañarse u oxidarse, volviéndose negros.
La amalgama contiene plata y otros metales que, tras años, generan sulfuro de plata, oscureciendo la dentina del diente obturado. Asimismo, un empaste en mal estado o filtrado puede causar decoloración. Si una restauración (ya sea amalgama o resina compuesta) tiene filtraciones, puede acumular tinciones en sus bordes. En algunos casos, las manchas negras que ves podrían estar en el material del empaste viejo y no en el diente en sí. La solución para estos casos suele ser renovar la restauración: reemplazar el empaste deteriorado por uno nuevo de resina del color del diente, o cambiar esa corona metálica antigua por una corona libre de metal.
7. Fluorosis Dental
La fluorosis dental es una alteración en el esmalte causada por una ingesta excesiva de flúor durante la formación de los dientes (es decir, en la infancia, cuando se están formando los dientes permanentes dentro del hueso). Un poco de flúor es beneficioso para prevenir caries, pero demasiado puede alterar el desarrollo del esmalte. Las personas con fluorosis severa tendrán varios dientes con esas manchas oscuras desde que erupcionan. No es que el diente se haya “muerto”, sino que nació ya con ese esmalte manchado y débil.
Esta condición suele darse en zonas donde el agua tiene concentraciones muy altas de flúor natural, o en niños que ingirieron suplementos de flúor sin necesitarlos o grandes cantidades de pasta dental con flúor mientras sus dientes se formaban. La fluorosis es otra posible explicación a dientes de color oscuro casi negro, sobre todo si se presenta de forma simétrica en varios dientes. Su manejo es principalmente estético (veremos en tratamientos cómo se puede mejorar el color de estos dientes, por ejemplo con carillas).
8. Medicamentos (Tetraciclinas)
Algunos medicamentos pueden causar coloraciones intrínsecas en los dientes en formación. También los antibióticos de tetraciclina. pueden manchar los dientes del niño si son tomados por la madre durante el embarazo o por el niño menor de 8 años. El caso clásico es el de los antibióticos tetraciclinas: si una mujer embarazada o un niño pequeño (con dientes aún desarrollándose) toma tetraciclina, este fármaco se incorpora al diente en desarrollo y luego, al erupcionar, esos dientes presentan una coloración gris oscura o marrón que puede ser muy intensa.
Los dientes manchados por tetraciclina pueden verse prácticamente negros en casos severos. Otros medicamentos como la minociclina (un antibiótico derivado de la tetraciclina) pueden pigmentar los dientes ya erupcionados en adultos con tratamientos prolongados (por ejemplo, para el acné resistente). Además, determinadas enfermedades metabólicas muy raras o trastornos genéticos del esmalte/dentina (como la amelogénesis imperfecta o dentinogénesis imperfecta en ciertas formas) pueden hacer que los dientes salgan con colores anómalos, incluyendo tonos marrones oscuros.
9. Otros Factores
- Higiene oral inadecuada: Una higiene bucal deficiente puede llevar a la acumulación de placa y sarro, lo que eventualmente puede oscurecer los dientes.
- Envejecimiento: Con el tiempo, el esmalte dental se desgasta y la dentina amarilla subyacente puede volverse más visible, lo que provoca la decoloración de los dientes.
- Defectos del esmalte: Algunos defectos en la formación del esmalte dental como la amelogénesis imperfecta o la hipoplasia del esmalte, pueden causar decoloración.
- Factores genéticos: Algunas personas tienen dientes naturalmente más oscuros debido a la variación en la densidad y grosor del esmalte. El grosor y la suavidad del esmalte están determinados genéticamente. El esmalte más delgado permite que se muestre más el color de la dentina.
¿Cómo Saber Si Un Diente Negro Indica Un Problema Serio?
El principal signo, por supuesto, es el cambio de color visible. Un diente que pasa de su color blanco natural a un tono marrón grisáceo o negro es motivo de atención.
- Manchas negras puntuales: pequeños puntos negros o líneas negras en la superficie del diente (a menudo cerca de la encía o en fisuras de muelas). Pueden ser sarro cromógeno o caries incipientes.
- Mancha o área marrón oscura que progresa a negro: suele indicar una caries en expansión. Al inicio la mancha puede ser café y con el tiempo volverse más negra y eventualmente cavitar (formar un agujero).
- Oscurecimiento general de un diente entero: cuando todo el diente toma un color opaco grisáceo o negro respecto a los demás, es típico de necrosis pulpar o de un traumatismo antiguo. A veces comienza por el borde del diente y luego abarca toda la corona dental.
- Agujero negro visible en el diente: indica que la estructura se destruyó (caries avanzada).
- Cambios en la textura o integridad: un área negra que además se siente hueca o blanda al sondaje es señal de caries.
- Dolor o sensibilidad: un diente oscuro que además duele con alimentos fríos, calientes o dulces sugiere caries cerca del nervio. Si duele al morder o de forma espontánea intensa, puede haber pulpitis (inflamación del nervio) antes de necrosarse.
- Encía inflamada o fístula: la presencia de una bolita de pus en la encía cerca de ese diente, o inflamación gingival localizada, indica infección (posible absceso dental).
En cualquier caso, un cambio de color notable en un diente es ya un síntoma suficiente para buscar ayuda profesional, haya o no dolor. Muchas personas se confían si no sienten dolor, pero la ausencia de dolor no significa que todo esté bien - por ejemplo, un diente necrótico puede no doler pero estar infectado.

Prevención del Ennegrecimiento Dental
La buena noticia es que muchas de las causas de dientes negros son prevenibles con hábitos adecuados de higiene oral y cuidado dental.
- Higiene bucal rigurosa: Cepíllate los dientes al menos dos veces al día (por la mañana y antes de dormir) usando una pasta de dientes con flúor. El flúor fortalece el esmalte y previene las caries, reduciendo la posibilidad de manchas oscuras por cavidades. Dedica unos 2 minutos a cepillar todas las superficies de los dientes con técnica adecuada. Complementa el cepillado con hilo dental o cepillos interdentales una vez al día para limpiar entre los dientes donde el cepillo no llega (así evitarás placa escondida que forme sarro o caries entre dientes). Si tu dentista te lo recomienda, puedes usar un enjuague bucal antibacterial por las noches para reducir bacterias.
- Alimentación equilibrada y baja en azúcares: La dieta juega un papel fundamental en la salud dental. Limita el consumo frecuente de alimentos y bebidas azucaradas o muy ácidas (golosinas, refrescos, jugos industriales), ya que el azúcar alimenta a las bacterias causantes de carieswho.int. Intenta reservar los dulces solo para las comidas principales en vez de picar a cada rato, y cepíllate después de tomarlos. Por otro lado, incorpora a tu dieta abundantes frutas y verduras frescas - su alto contenido en fibra y en vitaminas ayuda a limpiar los dientes y fortalecer las encías. Al masticar alimentos fibrosos (como una manzana, zanahoria, apio) favoreces la autolimpieza mecánica de los dientes. También asegúrate de obtener suficiente calcio mediante lácteos o alternativas fortificadas, ya que fortalece dientes y huesos.
- Evitar el tabaco: Si fumas o masticas tabaco, considera seriamente dejar este hábito. Además de los riesgos enormes para tu salud general (cáncer, problemas pulmonares, cardiovasculares, etc.), el tabaco arruina la salud bucal: no solo mancha los dientes de negro, sino que aumenta el riesgo de enfermedad periodontal (de las encías) y cáncer oral.
- Modera alimentos y bebidas cromógenas: No es necesario evitar por completo tu café o té diario, ni dejar de tomar vino tinto o curry ocasionalmente, pero sé consciente de su efecto en los dientes. Moderar su consumo y tener ciertos cuidados ayuda: por ejemplo, después de tomar café, enjuágate la boca con agua; si bebes refrescos de cola, utiliza una pajita (popote) para minimizar el contacto con los dientes; espera 20-30 minutos y luego cepíllate para remover pigmentos (esperar es importante para no cepillar cuando el esmalte está reblandecido por ácidos).
- Visitas periódicas al dentista: Acude a revisiones dentales regularmente, idealmente cada 6 meses o al menos una vez al año, aunque no sientas molestias. En estas visitas, el dentista puede detectar caries incipientes antes de que se vuelvan manchas negras visibles o causen dolor, y tratarlas a tiempo con un pequeño empaste. También es importante realizar limpiezas dentales profesionales con la frecuencia que tu dentista aconseje (generalmente una o dos veces al año). En la limpieza, eliminarán el sarro y las manchas superficiales, manteniendo tus dientes brillantes y previniendo que el sarro amarillo se convierta en sarro negro subgingival.
- Protección ante traumatismos: Si practicas deportes de contacto o actividades de riesgo de golpes (como boxeo, hockey, artes marciales, patinaje, ciclismo de montaña…), utiliza un protector bucal deportivo. Un golpe fuerte puede matar el diente y oscurecerlo, así que más vale prevenir la lesión usando férulas depor...
Tratamientos Disponibles Para Dientes Oscuros
En función del motivo y tonalidad que tenga el diente, el odontólogo planificará un tratamiento u otro.
Ya sabes que si tienes este problema, solo un profesional puede aplicar el tratamiento adecuado. La solución dependerá de las causas de los dientes oscuros y la gravedad del problema.
- Eliminación de caries: Si la causa de los dientes negros es la presencia de caries, el primer paso será realizar la eliminación de la caries dental. Este proceso implica la remoción del tejido afectado y la posterior restauración del diente con un material dental adecuado.
- Endodoncia: Es la mejor forma de eliminar el problema de raíz si existe una necrosis pulpar. Si es así, significa que no es posible salvar el diente. Cuando el origen es una caries y esta no ha afectado la raíz, se puede hacer una endodoncia para eliminar infección. Después de limpiar y sellar se pasa a la restauración estética, que puede hacerse mediante una carilla o corona. Los traumatismos en los que no se haya producido fractura radicular también se pueden solucionar con una endodoncia, que se completa con una rehabilitación dental. Luego se hace un blanqueamiento interno para devolver la tonalidad blanca.
- Blanqueamiento dental: El blanqueamiento dental es un tratamiento que aclara los dientes y ayuda a eliminar las manchas y la decoloración. El blanqueamiento dental es una opción a considerar si la decoloración de los dientes se debe a factores extrínsecos, como manchas superficiales o acumulación de placa. Sin embargo, es importante tener en cuenta que el blanqueamiento dental no es recomendado en niños muy pequeños, ya que sus dientes aún están en desarrollo. Cuando esto sucede, el blanqueamiento dental tradicional no suele ser la solución, pero sí se puede realizar un blanqueamiento dental interno. Para las coloraciones se aplican procedimientos mecánicos, como la higiene profunda. Si la causas de los dientes negros son extrínsicas, es decir, debido al consumo de algunas bebidas o comidas, o por hábitos, un blanqueamiento dental puede ser una solución. Aunque tras este sería importante mejorar los hábitos, para evitar que se manchen de nuevo.
- Restauraciones estéticas: Cuando los dientes negros presentan daños estructurales o decoloración intrínseca persistente, las restauraciones estéticas pueden ser una opción adecuada. Las restauraciones pueden incluir carillas dentales, coronas o reconstrucciones dentales que mejoran tanto la apariencia como la función dental. En su lugar, querremos cubrirlo con una corona dental o una carilla para darle una apariencia brillante y hermosa de nuevo. Si el paciente tiene manchas intrínsecas, sin embargo, los tratamientos pueden incluir colocación de carillas y blanqueamientos dentales. Las carillas también pueden ser una solución para mejorar tu sonrisa.
- Extraer el diente: En caso de que no haya mejor solución porque ha afectado a una gran parte de la pieza y no es posible su restauración. Una vez extraído se puede colocar un implante dental para sustituir la pieza dañada.
Dientes Negros en Niños
Los dientes negros en los niños son una preocupación muy frecuente entre los la mayoría de padres y madres. Cuando pasa, puede ser algo impactante y generar cierta inquietud, ya que los dientes de los pequeños normalmente representan salud y bienestar. En este artículo, explicaremos las posibles causas que producen los dientes negros en los niños, así como las opciones de tratamiento que existen y lo que podemos hacer para poder prevenirlos.
Los dientes negros en niños pueden ser el resultado de causas distintas y cada una de las cuales requiere una evaluación cuidadosa para determinar el tratamiento adecuado.
- Caries dental: La caries es una de las principales causas de los dientes negros en niños.
- Traumatismos: Los golpes o impactos en los dientes pueden dañar la pulpa dental, lo cual puede resultar en una coloración negra o grisácea.
- Medicamentos: Algunos medicamentos administrados durante la infancia pueden causar cambios en el color de los dientes.
- Mala higiene oral: Una higiene oral deficiente puede dar lugar a la acumulación de placa bacteriana y a la formación de caries.
Es importante destacar que identificar la causa de los dientes negros en niños es clave para poder realizar el tratamiento adecuado.
Cuando se trata de los dientes negros en niños, es clave contar con opciones de tratamiento efectivas y adaptadas a las necesidades específicas de nuestros hijos.
Como hemos explicado anteriormente, la prevención es fundamental en la salud bucal de los niños y puede ayudar a evitar la aparición de dientes negros.
- Correcta higiene oral: Es fundamental enseñar a los niños desde temprana edad la importancia de cepillarse los dientes al menos dos veces al día con pasta dental fluorada.
- Limitar el consumo de alimentos azucarados: El consumo excesivo de alimentos y bebidas azucaradas aumenta el riesgo de caries dental, lo que puede conducir a la aparición de dientes negros.
- Visitas regulares al dentista: Las visitas periódicas al dentista son esenciales para detectar y tratar problemas dentales en etapas tempranas.
Igualmente es importante educar también a los padres sobre la importancia de la salud bucal infantil y promover buenos hábitos desde temprana edad.
tags: #ennegrecer #los #dientes