La Radiología Dental es la rama de la odontología especializada en la obtención de imágenes intra o extraorales empleando radiación ionizante. En muchos casos clínicos, para poder realizar un diagnóstico correcto, el profesional necesita recurrir a un equipo de rayos X y a las radiografías odontológicas.

Las características más demandadas de un equipo de Rayos X es la rápidez del tiempo de captura así como el sencillo y rápido uso y colocación del paciente. En esta categoría encontrará unidades de rayos X que garantizan unas exposiciones digitales extraordinariamente rápidas con una claridad, contraste y resolución de excelente calidad.
¿Cómo Funcionan los Rayos X?
La Radiología Dental, una disciplina especializada dentro de la odontología, se focaliza en la obtención de imágenes tanto intraorales como extraorales mediante el uso de radiación ionizante. Este campo es esencial para el diagnóstico preciso en numerosos casos clínicos, donde la utilización de equipos de rayos X y radiografías odontológicas se convierte en una herramienta fundamental para los profesionales de la salud bucal.
Efectividad de los Rayos X
La clave para un diagnóstico efectivo de un equipo de Rayos X reside en la capacidad de capturar imágenes de manera rápida y eficiente, así como en la facilidad de uso y la comodidad para el paciente durante el proceso. En la categoría de Radiología Dental, encontrará una variedad de unidades de rayos X diseñadas específicamente para satisfacer estas demandas cruciales.

¿Qué Ofrecen los Equipos de Rayos X?
Los equipos de rayos X están concebidas para ofrecer exposiciones digitales extraordinariamente rápidas, garantizando así una eficiencia óptima en el tiempo de captura de imágenes. Además, se destaca la claridad, el contraste y la resolución de excelente calidad que proporcionan, permitiendo a los profesionales de la odontología obtener detalles precisos para un diagnóstico más preciso.
Nuevas Tecnologías en Rayos X
La innovación en estas tecnologías ha llevado a desarrollar equipos que no solo cumplen con los estándares de seguridad en cuanto a radiación, sino que también optimizan la experiencia tanto para el odontólogo como para el paciente. La combinación de rapidez, facilidad de uso y calidad de imagen hace que estas unidades de radiología odontológica sean herramientas indispensables en la práctica clínica, facilitando el proceso diagnóstico y mejorando la atención al paciente.
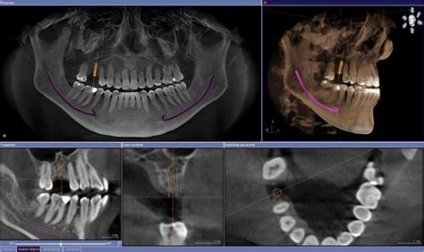
Rayos X CBCT
Los equipos de rayos X CDBC (Cefalometría 3D y 2D con Bomba de Cono) representan una avanzada tecnología en el ámbito de la radiología dental, especialmente en el campo de la ortodoncia y la cirugía maxilofacial. Estos equipos ofrecen capacidades tanto en 2D como en 3D, lo que los convierte en herramientas versátiles y completas para el diagnóstico y planificación de tratamientos dentales.

Cefalometría 3D
La funcionalidad de cefalometría 3D permite obtener imágenes tridimensionales de la cabeza y el cráneo, proporcionando a los profesionales una visión más detallada y precisa de las estructuras faciales. Esto resulta especialmente valioso en el diseño de tratamientos ortodónticos y cirugías maxilofaciales, ya que permite evaluar las relaciones óseas y dentales desde múltiples ángulos.
Cefalometría 2D
Por otro lado, la capacidad de realizar cefalometría en 2D agrega una dimensión adicional a la evaluación de la anatomía craneofacial. Estas imágenes bidimensionales son útiles para el análisis de perfiles faciales y la medición de estructuras específicas, ofreciendo información complementaria al enfoque tridimensional.
Focalización del Haz de Rayos X
La inclusión de una bomba de cono en estos equipos proporciona una mayor precisión en la focalización del haz de rayos X, permitiendo una radiación más enfocada y reduciendo la exposición a tejidos circundantes. Esto contribuye a mejorar la seguridad y minimizar la dosis de radiación para el paciente, un aspecto fundamental en la práctica odontológica moderna.
Los rayos X CDBC con capacidades de cefalometría 3D y 2D ofrecen a los profesionales de la odontología herramientas avanzadas para el diagnóstico y la planificación de tratamientos ortodónticos y maxilofaciales. La combinación de estas tecnologías proporciona una visión integral de la anatomía facial, permitiendo una toma de decisiones más informada y un enfoque más preciso en los procedimientos clínicos.
Equipos de Rayos X Dentales Portátiles
Una unidad de rayos X dental portátil es un dispositivo compacto y portátil utilizado para producir imágenes de rayos X dentales. Está diseñado para ser ligero, fácil de transportar y adecuado para su uso en diversos entornos clínicos, como clínicas dentales, unidades dentales móviles y lugares remotos. Los equipos portátiles de rayos X dentales ofrecen comodidad y flexibilidad, lo que permite a los profesionales dentales obtener imágenes radiográficas de diagnóstico con facilidad.
Esta unidad de rayos x dental de mano digital principalmente adecuado para el pre-tratamiento oral para el aprendizaje de la estructura organizativa interna, la profundidad de la raíz y así sucesivamente, es indispensable en la vida cotidiana equipo de la clínica, especialmente para la cirugía de implantes dentales. Tiene una calidad de imagen fiable, almacenamiento portátil.

A la hora de elegir un equipo de rayos X dental portátil, puede tener en cuenta los siguientes factores: seguridad, capacidad de obtención de imágenes, tamaño y portabilidad, fuente de alimentación, coste y garantía.
Ejemplos de Equipos de Rayos X Dentales
A continuación, se presentan algunos ejemplos de equipos de rayos X dentales disponibles en el mercado, con sus características destacadas:
- Morita: Equipos de Rayos X de alta resolución con opciones de panorámica, sistema 2D/3D y cefalometría. Baja radiación y posicionamiento cara a cara del paciente.
- Qualinx: Unidades de radiología odontológica de alta frecuencia con tecnología CD, que ofrece mayor calidad y menor exposición a la radiación.
- RAY: Equipos de Rayos X 3D Panorámica CBCT con y sin teleradiografía (cefalostato). Ofrecen enfoque de movimiento adaptable y eliminación de ruido.
- Woodpecker: Sensores captadores digitales radiográficos intrabucales con bordes curvos para una mejor adaptación bucal.
Tabla de Precios Aproximados de Equipos de Rayos X Dentales Portátiles
| Producto | Precio Aproximado (USD) |
|---|---|
| Unidades de Rayos X (1-3 unidades) | 369 |
| Unidades de Rayos X (>= 4 unidades) | 359 |
| Precio de muestra | 369 |
Estos precios son aproximados y pueden variar dependiendo del proveedor y las características específicas del equipo.
Equipos Adicionales
- Sensor Captador Digital Radiográfico: Sensor digital radiográfico intrabucal. Captura en tiempo real. Resolución 20 lp/mm. Bordes redondeados, fácil adaptación bucal. Conexión USB. Plug and Play. 2 tamaños. Incluye tableta.
- RAYFace Escáner Facial de RAY: Con un solo disparo de 0,5 segundos. visualiza la sonrisa más natural en 3D. Seis cámaras de alta resolución. Capturando al instante los contornos faciales y la dentición del paciente. Alineación Automática.
Estos equipos complementarios mejoran la capacidad diagnóstica y la planificación de tratamientos en la odontología moderna.