La estética es hoy en día una referencia de salud, lo que nos lleva a realizar cambios significativos en nuestros hábitos de vida. Cada vez son más los pacientes que buscan una mejor imagen, y los dientes no se escapan de esta realidad.
Las alteraciones en la pigmentación de las piezas dentales se pueden deber a distintas causas y no necesariamente han de venir unidas a un problema de salud bucodental. Aún así, la importancia de la estética dental para nuestra imagen y el hecho de relacionar una boca sana con piezas dentales blancas y regulares hace que, en caso de que se originen, queramos hacerlas desaparecer.
El cambio de color de los dientes que se produce a consecuencia de sustancias de la circulación sistemática durante el desarrollo dental se define como pigmentación endógena o intrínseca. Se trata de alteraciones congénitas en las que las tinciones suelen conllevar un tratamiento más complejo.

Diferentes tipos de manchas en los dientes y sus posibles causas.
Causas de la Pigmentación Dental Endógena
Diversas condiciones y sustancias pueden causar pigmentación endógena en los dientes:
- Consumo de tetraciclina: Los dientes son susceptibles de teñirse con tetraciclina desde los 6 meses de gestación hasta los 12 años de vida. Al inicio esta pigmentación es amarilla, pero con la luz toma un color marrón (café).
- Incompatibilidad Rh (eritoblastosis fetal): Origina pigmentación endógena en los dientes primarios. Debido a la rotura de los glóbulos rojos fetales por los anticuerpos maternos, los productos de la desintegración de la sangre (bilirrubina) se depositan en los dientes primarios en desarrollo, los cuales tienen color de verde a café.
- Porfirina congénita: Los trastornos innatos del metabolismo de las porfirinas son también causa potencial de pigmentación endógena.
- Enfermedades de hígado: Enfermedades como atresia biliar y hepatitis neonatal pueden producir pigmentación en los dientes de leche. En la atresia biliar, los dientes muestran coloración verdosa.
Otros Tipos de Alteraciones Dentales
Además de la pigmentación endógena, existen otras alteraciones en la estructura y apariencia de los dientes:
- Hipocalcificación: Hay una alteración en la calidad del esmalte de modo que se ve más opaco, de manera más localizada o difusa.
- Hipoplasia: Alteración en la cantidad de esmalte de manera que el existente no es suficiente para cubrir la superficie de la pieza. Su causa puede ser genética, por una infección en los dientes temporales que daña los dientes permanentes, por enfermedades como la rubeola, raquitismo y viruela, por alergias, falta de vitaminas, nacimientos prematuros, entre otras. Esta alteración puede ocasionar sensibilidad.
- Fluorosis: Es un tipo de hipoplasia producida por una ingesta excesiva y prolongada de flúor. Se puede presentar como manchas de aspecto moteado, también puede haber pérdida de esmalte, y al quedar expuesta la dentina, se facilita la tinción del diente con sustancias que se depositan sobre él.
- Hemorragia del diente: Por ejemplo, en una fractura, también por recibir un tratamiento de conducto (endodoncia) mal realizado. La tinción es de apariencia negruzca.
- Necrosis pulpar: Se puede producir una tinción de color marrón grisáceo, cuando se “muere el diente”, proceso conocido como necrosis pulpar. Esto puede ocurrir, por ejemplo, cuando la pieza recibe un fuerte golpe.
Blanqueamiento Dental: Una Solución Estética
El blanqueamiento dental es un tratamiento de estética dental que permite aclarar en varios tonos el esmalte de los dientes. Es un procedimiento no invasivo y de aplicación clínica segura.
El blanqueamiento que se lleva a cabo en la clínica dental es el más eficaz en la reducción de tonos en el color de los dientes, dándoles un aspecto más claro.
La mejor manera de blanquear los dientes

Blanqueamiento dental con luz LED para resultados más rápidos y efectivos.
Tipos de Blanqueamiento Dental
- Blanqueamiento dental con luz fría o LED: Esta técnica ofrece los resultados más espectaculares en estética dental. Es el procedimiento más rápido y eficaz para blanquear los dientes oscurecidos. Los resultados son visibles tras una sesión, y se consigue minimizar el riesgo de pulpitis y sensibilidad dentinaria.
- Blanqueamiento dental en el domicilio: Se realiza mediante el uso de férulas o cubetas y la aplicación de un agente blanqueador (supervisado por el odontólogo). Se elaboran férulas transparentes a medida de la boca donde se aplicará un gel blanqueador de peróxido de carbamida. Este tratamiento lo realizas en tu domicilio, pero está en todo momento supervisado por un dentista especializado en Estética Dental.
Consideraciones Importantes sobre el Blanqueamiento
- Supervisión profesional: Es crucial que cualquier tratamiento de blanqueamiento dental sea supervisado por un odontólogo. A diferencia de los kits que venden en la farmacia y/o televisión, en los que no existe ninguna supervisión, el blanqueamiento supervisado garantiza la seguridad y eficacia del procedimiento.
- Efectividad en tinciones específicas: El blanqueamiento dental está indicado en ciertos tipos de tinciones, como las producidas por tetraciclina (tipos I y II), debido a la menor gravedad de las tinciones. En estos casos, es más efectivo realizar el blanqueamiento dental en consulta, continuado con un tratamiento ambulatorio, ya que estas tinciones están más relacionadas con la dentina.
- Mantenimiento: Después del tratamiento, el paciente tiende a repetir la coloración. Estas manchas o pigmentaciones también pueden ser reducidas utilizando pastas dentales blanqueadoras que contienen sustancias abrasivas suaves y compatibles con el esmalte.
Agentes Blanqueadores
- Peróxido de hidrógeno: En contacto con la saliva y la estructura dentaria actúa como un fuerte agente oxidante y puede formar radicales libres y moléculas de oxígeno reactivas.
- Peróxido de carbamida: En contacto con el agua se descompone en peróxido de hidrógeno y urea.
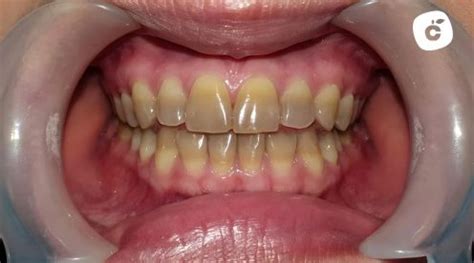
Tinciones por Minociclina
Las tinciones por minociclina, un derivado de la tetraciclina empleado en adolescentes y pacientes para el tratamiento del acné, se forman por depósitos de la misma en dentina secundaria a través de la red vascular dentaria y asimismo por penetración externa desde la saliva.

Tinciones por tetraciclina antes y después del tratamiento de blanqueamiento.
Manchas Extrínsecas
Las manchas extrínsecas también pueden afectar la apariencia de los dientes.
- Fijación inicial: Su fijación inicial se realiza a través de puentes de hidrógeno a las proteínas de la placa dental depositada y fijada al diente mediante puentes de calcio. En este estadio inicial pueden ser eliminados fácilmente con el cepillado.
- Fijación avanzada: En esta fase el cepillado no las consigue hacer desaparecer y solo una limpieza profesional o el uso de abrasivos puede eliminarlas. Sin embargo estas tinciones son muy susceptibles a ser blanqueadas por los peróxidos, lo que las hace aparentemente desaparecer de áreas de difícil eliminación mecánica como fosas, fisuras y defectos superficiales.
Riesgos y Beneficios del Blanqueamiento Dental
Es fundamental conocer los riesgos y beneficios del blanqueamiento dental antes de someterse a cualquier tratamiento.
Algunos productos blanqueadores pueden ser muy abrasivos con el esmalte, por lo que su uso puede favorecer la aparición de hipersensibilidad dental. Sin embargo, con una supervisión adecuada y el uso de productos apropiados, se pueden minimizar estos riesgos.
Los avances en el tratamiento de las tinciones han avanzado en gran medida en los últimos tiempos. Si sufrís algún problema de este tipo, no dudéis en consultar a un especialista.
Aquí hay una tabla con un resumen de los tipos de tinciones y sus posibles tratamientos:
| Tipo de Tinción | Causa | Tratamiento |
|---|---|---|
| Endógena por Tetraciclina | Consumo de tetraciclina durante el desarrollo dental | Blanqueamiento dental profesional, a veces combinado con tratamiento ambulatorio |
| Endógena por Eritroblastosis Fetal | Depósitos de bilirrubina en dientes primarios en desarrollo | Blanqueamiento dental profesional |
| Tinción por Minociclina | Depósitos de minociclina en dentina | Blanqueamiento dental profesional |
| Extrínseca | Acumulación de placa y pigmentos de alimentos y bebidas | Limpieza dental profesional, pastas dentales blanqueadoras |
| Fluorosis | Ingesta excesiva de flúor | Microabrasión del esmalte, blanqueamiento dental |
tags: #eritroblastosis #fetal #dientes