El dolor dental es uno de los problemas más frecuentes a nivel mundial, afectando a miles de millones de personas. De acuerdo con la Organización Mundial de la Salud, su incidencia en el mundo occidental se estima entre un 70-89% en hombres y un 77-97% en mujeres. Este dolor puede surgir cuando se inflama la parte interior del diente, conocida como pulpa dental.

Causas Comunes del Dolor Dental
- Caries: Infección bacteriana que se desarrolla dentro del diente.
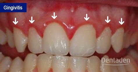
- Gingivitis y Periodontitis: Problemas que afectan los tejidos de soporte del diente.
- Abscesos Periodontales: Acumulación de pus debido a una infección bacteriana.
- Neuralgia: Dolor agudo causado por una lesión en los nervios.
La mejor forma de prevenir el dolor dental es mantener una buena higiene bucal y cuidar los dientes y las encías. Sin embargo, cuando la inflamación ya está presente, medicamentos como el Espidifen pueden ser de gran ayuda.
¿Qué puedo tomar para el dolor de muelas?
Si padeces de esta molestia, seguramente te estés preguntando qué puedo tomar para el dolor de muelas. La mejor opción es acudir a un profesional, no obstante, hasta tu consulta, los medicamentos y remedios caseros pueden ayudarte a disminuir el dolor.
Medicamentos para el Dolor de Muelas
En lo que respecta a los medicamentos más recomendados para aliviar las molestias en la boca, se encuentran:
Ibuprofeno
Se trata de uno de los medicamentos más recomendados y utilizados cuando nos preguntamos qué puedo tomar para el dolor de muelas. Este analgésico y antiinflamatorio no solo alivia el dolor, sino que también reduce la inflamación. La dosis habitual para adultos es de 400 a 600 mg cada 6 a 8 horas.
Paracetamol
Por su parte, si eres alérgico a los AINES o, si por otra razón no puedes tomar antiinflamatorios como el ibuprofeno, el paracetamol es otra opción recurrente. Para aquellos que se preguntan qué puedo tomar para el dolor de muelas sin causar irritación estomacal, el paracetamol es suave, pero eficaz en el alivio del dolor.
Analgésicos locales
Otro tipo de medicación recomendada para aliviar el dolor de muelas incluye el uso de anestésicos locales, como geles de benzocaína. Estos productos adormecen temporalmente el área afectada, proporcionando un alivio casi instantáneo.
Antibióticos
Además de posibles irritaciones o problemas relacionados con las muelas del juicio, el dolor de muelas también puede estar relacionado con las infecciones. Para tratarlas, el dentista podría recetar antibióticos, cuyas dosis se podrían complementar con analgésicos o antiinflamatorios si el dolor persiste. Sin embargo, debes recordar que los antibióticos no son una opción de automedicación, sino que debe ser un profesional quien lo dictamine.
💥 7 REMEDIOS CASEROS para el DOLOR de MUELAS 🦷
Remedios Caseros para Aliviar el Dolor de Muelas
Aplicación de Frío Local
Además de la medicación anteriormente mencionada, también es posible aliviar el dolor de muelas con ciertos remedios caseros. Uno de los remedios caseros más efectivos para el dolor de muelas y la inflamación es el uso de una compresa fría. Para ello, puedes colocar una bolsa de hielo sobre la zona externa de la mandíbula para adormecer la molestia.
¿Cuándo Visitar al Dentista?
Es importante recordar que estos remedios y medicamentos son soluciones temporales para quienes se preguntan qué puedo tomar para el dolor de muelas cuando es muy intenso. No obstante, si el dolor persiste o empeora, lo mejor es acudir al dentista para un diagnóstico adecuado.
El Ibuprofeno y su Rol en el Tratamiento de la Inflamación de Encías
El ibuprofeno es un medicamento comúnmente utilizado para aliviar el dolor y reducir la inflamación en diferentes partes del cuerpo, incluidas las encías. Es un AINE (antiinflamatorio no esteroideo) que inhibe la producción de prostaglandinas, sustancias químicas que juegan un papel clave en la inflamación.

Beneficios del Ibuprofeno para las Encías Inflamadas
- Reducción del Dolor: Alivia el dolor asociado con la inflamación de las encías.
- Disminución de la Inflamación: Reduce la inflamación en enfermedades periodontales como la gingivitis.
- Alivio Rápido: Proporciona un alivio rápido y efectivo en la inflamación de las encías.
Volumen de Uso y Dosis Recomendada
El volumen de uso del ibuprofeno para las encías inflamadas varía según la gravedad de la condición y las indicaciones del profesional de la salud. La dosis usual para adultos es de 200 a 400 mg cada 4 a 6 horas, según sea necesario. Generalmente, se utiliza a corto plazo para aliviar los síntomas.
La Importancia del Ibuprofeno en el Tratamiento de Encías Inflamadas
El uso de ibuprofeno es de suma importancia en el tratamiento de la inflamación de las encías debido a su acción antiinflamatoria y analgésica. La inflamación de las encías puede ser causada por diversas enfermedades bucales, como la gingivitis, y el ibuprofeno ayuda a prevenir complicaciones más graves como la periodontitis.
Beneficios Clave del Ibuprofeno
- Acción Antiinflamatoria: Inhibe la producción de prostaglandinas, reduciendo la inflamación.
- Alivio del Dolor y Malestar: Reduce el dolor y el malestar asociados con la inflamación.
- Prevención de Complicaciones: Ayuda a prevenir la progresión de la inflamación crónica a condiciones más graves.
- Complemento de Otros Tratamientos: Se puede utilizar como parte de un enfoque de tratamiento integral.
Uso Seguro y Efectivo del Ibuprofeno para Encías Inflamadas
El ibuprofeno es un medicamento ampliamente utilizado y seguro que puede ser beneficioso en el manejo de las encías inflamadas. Además de reducir la inflamación y aliviar el dolor, también puede desempeñar un papel en la prevención de esta condición bucal.
Usos Seguros del Ibuprofeno
- Reducción de la Inflamación: Ayuda a reducir la inflamación en las encías.
- Alivio del Dolor: Alivia el dolor y el malestar asociados con la inflamación.
- Control de la Inflamación Crónica: Puede ser utilizado de forma preventiva en personas propensas a la inflamación crónica de las encías.
- Complemento de una Buena Higiene Oral: El uso de ibuprofeno no reemplaza la importancia de una buena higiene oral.
Precauciones y Advertencias
Aunque el ibuprofeno es generalmente seguro, puede provocar efectos secundarios en algunas personas. Los efectos secundarios más comunes incluyen malestar estomacal, náuseas, acidez, mareos y somnolencia. En casos raros, pueden ocurrir reacciones alérgicas graves, como erupciones cutáneas, dificultad para respirar y hinchazón de la cara, los labios o la lengua.
Causas de la Inflamación de las Encías
La inflamación de las encías es un problema muy frecuente. Según la Sociedad Española de Periodoncia y Osteointegración (SEPA), el 95% de la población de la zona mediterránea tiene problemas con sus encías.
Causas Comunes
- Irritación por cuerpo extraño.
- Reacción a medicamentos o sensibilidad a pastas o enjuagues bucales.
- Infecciones por virus u hongos.
- Deficiencias nutricionales.
- Desequilibrios hormonales.
- Aparatología dental.
- Enfermedades sistémicas.
Enfermedades de las Encías
- Gingivitis: Inflamación de la gingiva o encía debido a la acumulación de placa bacteriana.
- Periodontitis o piorrea: Infección que llega hasta el hueso, poniendo en peligro el soporte de los dientes.
- Periimplantitis: Inflamación alrededor de los implantes dentales.
Alternativas al Ibuprofeno y Medidas Adicionales
Si bien el ibuprofeno puede ser efectivo en el alivio del dolor de encías, existen algunas alternativas que se pueden considerar en combinación con el tratamiento recomendado por un dentista.
Alternativas al Ibuprofeno
- Compresas frías o calientes: Aplicar compresas frías o calientes en el área afectada puede proporcionar alivio temporal.
- Consulta con un dentista: Si el dolor de encías persiste, es importante buscar la opinión de un dentista.
Medidas Adicionales para Cuidar las Encías
- Evita el tabaco: Fumar o masticar tabaco daña las encías y puede provocar enfermedades periodontales.
- Controla el estrés: El estrés afecta la salud bucal.
- Programa visitas regulares al dentista: Acude a controles dentales periódicos para una evaluación y limpieza profesional.
El Espidifen: ¿Qué es y para qué se utiliza?
El Espidifen es un medicamento ampliamente conocido y utilizado, principalmente por sus efectos analgésicos y antiinflamatorios. El componente activo principal del Espidifen es el ibuprofeno, un antiinflamatorio no esteroideo (AINE) que ayuda a reducir la inflamación y aliviar el dolor.
Usos del Espidifen
- Aliviar el dolor leve o moderado.
- Reducir la inflamación.
- Dolor de cabeza.
- Dolor dental.
- Dolor menstrual.
- Dolores musculares.
Dosis Recomendada
La dosis recomendada de Espidifen para adultos suele ser de uno o dos sobres cada 6-8 horas, dependiendo de la intensidad del dolor y de la respuesta individual al tratamiento. Sin embargo, es fundamental no exceder los 6 sobres (1200 mg de ibuprofeno) en 24 horas.
Preguntas Frecuentes
- ¿Cuánto dura el dolor de muela por infección? La duración del dolor de muelas causado por una infección puede variar significativamente dependiendo del grado de la infección y la respuesta individual al dolor.
- ¿Cuál es el calmante más fuerte para el dolor de muelas? Algunos de los analgésicos más comúnmente utilizados para el dolor de muelas incluyen el ibuprofeno y el paracetamol. En casos de dolor intenso, un dentista puede prescribir medicamentos más fuertes como los corticoides.
- ¿Qué es mejor para el dolor de muelas: paracetamol o ibuprofeno? Tanto el paracetamol como el ibuprofeno son analgésicos efectivos para el dolor de muelas. El paracetamol es un analgésico que puede aliviar el dolor, mientras que el ibuprofeno es un antiinflamatorio no esteroideo que puede aliviar tanto el dolor como la inflamación.
- ¿Por qué me duele la muela por la noche? El dolor de muelas puede empeorar por la noche por varias razones. Cuando nos acostamos el flujo sanguíneo hacia la cabeza aumenta, lo que puede intensificar cualquier dolor de muelas. Además, al intentar dormir, hay menos distracciones, por lo que puedes ser más consciente del dolor.
- ¿Por qué no se puede quitar una muela con dolor? La extracción de un diente infectado puede propagar la infección y aumentar el riesgo de complicaciones. Además, hay situaciones en las que el dolor dental puede ser aliviado con tratamientos menos invasivos que la extracción, como el tratamiento de conducto radicular.
- ¿Qué empeora el dolor de muelas? Algunos alimentos y bebidas, especialmente los que son extremadamente calientes, fríos, dulces o ácidos, pueden desencadenar o intensificar el dolor de muelas. El bruxismo o rechinar los dientes, especialmente durante el sueño, también puede empeorar el dolor de muelas.
Esperamos que esta información te haya sido útil para entender cómo el Espidifen y el ibuprofeno pueden ser utilizados para tratar la inflamación de las encías y aliviar el dolor dental. Recuerda siempre consultar a un profesional de la salud dental para un diagnóstico y tratamiento adecuados.
tags: #espidifen #encias #inflamadas