En la búsqueda de una sonrisa perfecta y una salud dental óptima, existen diversos tratamientos innovadores que pueden transformar tu boca. Desde la ortodoncia invisible con Invisalign hasta las carillas dentales y la ortodoncia con extracciones, cada opción ofrece soluciones personalizadas para diferentes necesidades. A continuación, exploraremos en detalle estos tratamientos y cómo pueden beneficiarte.
Invisalign en Benimaclet: Ortodoncia Invisible para una Sonrisa sin Complejos
Si buscas una clínica en Benimaclet donde puedas someterte a un tratamiento de Invisalign con todas las garantías, Clínica Dental Pilar Rico es tu espacio. Invisalign es el nombre de un tratamiento con el que te ayudamos a corregir la distribución y dirección de tus dientes. Esto es posible gracias a que este sistema emplea una férula transparente que se fija perfectamente a tus dientes y que les ayuda a corregir su posición. Y todo ello sin ningún impacto estético sobre tu boca, pues, al ser invisibles, son casi imperceptibles, lo que te permite poder seguir sonriendo sin pudor.
Esta férula se realiza tras un estudio cuidadoso y profundo de tu boca para poder conseguir los resultados deseados por el cliente. Un trabajo que realizamos desde Clínica dental Pilar Rico con todos nuestros usuarios y usuarias, desde hace muchos años, con excelentes resultados.
El tiempo que dura este tratamiento hasta conseguir sus resultados es muy corto, aunque depende de cada paciente y de la cantidad de piezas que haya que enderezar o reconducir. Por lo que no podemos realizar un cálculo estimado a priori, sin conocer las particularidades de cada persona. Y es que durante este tratamiento es necesario que te realices diferentes chequeos, para comprobar que todo está funcionando adecuadamente.
Así pues, si quieres mejorar tu salud dental y, por extensión, tu estado de salud general, no lo dudes y ven a Clínica dental Pilar Rico. Estaremos encantados de atenderte y asesorarte sobre las acciones que necesitan tu dentadura y boca para estar perfectas. ¡No lo dudes y ven a conocernos!

Además, en Clínica dental Pilar Rico no solamente ofrecemos este servicio. Contamos con un amplio catálogo de intervenciones que nos permiten dar respuesta a cualquier de tus necesidades. Independientemente de la edad que tengas y sin necesidad de que acudas a otra localidad. Y es que sabemos lo importante que es contar con profesionales de gran calidad cerca de tu domicilio.
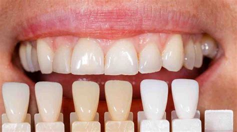
Carillas Dentales: Transforma tu Sonrisa con un Tratamiento Estético
Si estás buscando una sonrisa perfecta, es posible que hayas considerado las carillas dentales (también conocidas como facetas dentales). Las carillas dentales son finas capas de material que se colocan en la superficie frontal de los dientes para mejorar su apariencia. Hay varios tipos de carillas, incluyendo carillas de porcelana y carillas de resina.

Como odontólogos con más de 20 años de experiencia realizando carillas, podemos afirmar que el éxito a largo plazo de las carillas dentales depende en gran medida de una base sólida establecida por el clínico. Un diagnóstico preciso y la selección de la técnica adecuada son esenciales.
Cuidado y Mantenimiento de las Carillas Dentales
La higiene oral es crucial para quienes llevan carillas dentales y otros tipos de restauraciones como coronas o implantes:
- Cepillado: Cepilla tus dientes dos veces al día utilizando una pasta dental sin abrasivos.
- Hilo dental: Usa hilo dental diariamente para eliminar la placa entre los dientes y alrededor de las carillas.
- Evita alimentos y bebidas que manchen: Evita / reduce, el café, té, vino tinto, refrescos y tabaco, ya que pueden manchar tus carillas dentales.
- Precauciones adicionales: Evita morder bolígrafos, lápices, uñas u otros objetos duros.
- Protección deportiva: Si practicas deportes de contacto, usa protectores bucales para evitar daños a tus carillas.
- Bruxismo: Si aprietas o rechinas los dientes, consulta a tu dentista sobre opciones de tratamiento.
La adaptación y ajuste correctos de las carillas sobre los dientes del paciente, sin generar sobrecontorneados, facilitarán el acceso del cepillo eléctrico y la seda dental. El control del riesgo mecánico es otro aspecto crucial. Un buen control de la oclusión y la función, realizado por el equipo clínico, y en muchos casos, el uso de una férula de protección nocturna por parte del paciente, son medidas preventivas importantes. Además, es importante mantener una dieta que no sea muy ácida, tanto para aquellos que tienen carillas como para aquellos con dentición natural.
Las carillas dentales pueden ayudarte a lograr la sonrisa que deseas, pero es crucial cuidarlas adecuadamente para que duren lo más posible. Si necesitas más información o tienes preguntas sobre cómo cuidar tus carillas dentales, no dudes en visitar nuestra clínica dental Berbís Estela en Castellón.
Ortodoncia Autoligable: Un Tratamiento Dental Innovador
El tratamiento con ortodoncia autoligable alinea tus dientes mediante arcos con memoria elástica. Los dientes se mueven a través de un elemento intermedio que es el bracket ejerciendo la fuerza necesaria para el movimiento de las piezas dentales. Las ventajas de la ortodoncia autoligable son muchas, tanto para el paciente como para el ortodoncista.

🦷VENTAJAS Y DESVENTAJAS DE ESTOS TIPOS DE ORTODONCIAS I 🦷 2023 DRA. MINERVA FELIPE #dentalcare
Ortodoncia con Extracciones: Cuándo y Por Qué es Necesaria
En ocasiones para conseguir un buen resultado, es necesario proceder a la extracción de alguno de los premolares, antes de empezar con el tratamiento de ortodoncia en nuestras clínicas de Alicante o Benidorm. A continuación, se presenta un caso donde se puede ver el antes y después de un tratamiento de ortodoncia para el que se ha requerido la extracción de alguna pieza dental.
Antecedentes del Tratamiento
Se trata de una paciente de 16 años que vino a consulta para que valorásemos la situación de sus dientes. Ella indicaba que no le gustaba que estuvieran salidos hacia fuera y que tenía apiñamiento, principalmente en la arcada superior.
Tras el estudio concluimos que la paciente presentaba:
- Apiñamiento dental en la arcada superior.
- Protrusión de incisivos superiores. Esto es, inclinación de los incisivos superiores hacia delante.
- Compresión maxilar.
- Desviación de la línea media superior hacia la izquierda del paciente, que no coincidía con la línea media inferior.
El Tratamiento de Ortodoncia con Extracciones
Nuestra primera opción fue intentar hacer el tratamiento sin extracciones, pero en algunas ocasiones es necesario recurrir a ellas para que el resultado sea correcto, así como para conseguir una buena estabilidad en el mismo con el paso de los años. Pueden realizarse extracciones en la arcada superior, en la arcada inferior o en ambos maxilares, según crea más conveniente el ortodoncista.
Tras el estudio del caso confirmamos que el plan de tratamiento más adecuado para conseguir la mejor función y estética era la extracción de dos premolares en la arcada superior. Además, al tener la línea media superior desviada hacia la izquierda del paciente, se decidió realizar las extracciones asimétricas. Con lo que prescribimos la extracción del primer premolar superior derecho para centrar la línea media y el segundo premolar superior izquierdo para dejar la oclusión de forma correcta.
El Porqué de las Extracciones en Ortodoncia
En este caso se decidió extraer dos premolares superiores para conseguir:
- Un alineamiento correcto.
- Llevar los incisivos superiores a su posición correcta ya que estaban al comienzo muy adelantados.
- Centrar la línea media superior hacia la derecha del paciente y que ésta coincidiese con la línea inferior.
Siempre que realizamos extracciones intentamos que el perfil mejore o si está correcto que no se modifique. En todos los casos el espacio de las extracciones queda completamente cerrado y no se vuelve a abrir con el paso de los años.
Beneficios de la Ortodoncia con Extracciones
La ortodoncia con extracciones no solo mejora la estética dental sino también la funcionalidad. Al eliminar dientes, se crea espacio para que los demás se alineen correctamente, lo que facilita una mejor mordida y reduce el riesgo de problemas dentales futuros. Además, al alinear los dientes correctamente, se mejora la higiene bucal ya que es más fácil limpiar entre los dientes, reduciendo así el riesgo de caries y enfermedades de las encías.
Consideraciones Antes de Realizar Extracciones
Antes de decidir realizar extracciones, es fundamental realizar un estudio detallado de la estructura dental y ósea del paciente. Es necesario considerar la edad, el crecimiento de los huesos faciales y la cantidad de apiñamiento dental. Además, se debe evaluar el impacto estético y funcional de las extracciones en el perfil del paciente.
El Resultado del Tratamiento de Ortodoncia con Extracciones
Una vez finalizado el tratamiento conseguimos los objetivos marcados:
- Espacios de extracciones perfectamente cerrados, sin riesgo de que vuelvan a abrirse con el tiempo.
- Corrección de la protrusión de los dientes superiores, con incisivos superiores en posición correcta y no salidos o adelantados.
- Alineamiento correcto de los dientes superiores.
- Corrección de la línea media y mejora de la sonrisa.
Al finalizar el tratamiento, colocamos un retenedor removible de uso nocturno en la arcada superior y combinamos un retenedor fijo y otro removible también de uso nocturno en la arcada inferior.
Al ser un tratamiento con extracciones la posición de los dientes no está forzada y los resultados tanto en el plano estético como en plano funcional son los adecuados.
La Importancia de la Honestidad y el Asesoramiento Profesional
Es crucial seguir formándose y buscando soluciones reales y saludables que poder poner a servicio de las personas que confían en nosotras. Ser fiel a mi visión y a mi misión, siempre.
Testimonios de Pacientes Satisfechos
- “Empecé mi tratamiento con ellos hace un mes y el trato está siendo inmejorable y excelente. Ayer me colocaron los Brackets y no puedo estar más contento."
- “Médicos maravillosos recomendable para todo el mundo."
- “Atención inmejorable, personal súper atento y profesional."
- “El Dr. Ferrer lleva viéndome a mi, y a toda mi familia, desde que me alcanza la memoria y siempre ha sido un profesional excelente, atento, cuidadoso y cariñoso. Precios realmente competitivos y una calidad humana del equipo inmejorable. Se preocupan por el paciente, te hacen sentir seguro de estar en buenas manos y te resuelven inmediatamente cualquier duda o problema que surja."
- “El doctor Ferrer es dueño de mi sonrisa. El trato ha sido siempre maravilloso y los precios los mejores de Madrid. Me han puesto varios implantes y el resultado es super natural."