La estomatitis es el término general para describir una boca inflamada, dolorida y con presencia de úlceras bucales. Es una de las enfermedades con origen en la boca que más prevalencia tienen. La realidad es que no existe un rango de edad para sufrir esta alteración, ya que las heridas que produce pueden formarse en cualquier momento de la vida. Por lo tanto, estamos ante una patología que afecta del mismo modo a niños y a adultos.
Se entiende por estomatitis la inflamación de la mucosa que aparece en cualquiera de las estructuras de la boca. Puede afectar a la lengua, las encías, el paladar, la cara interna de las mejillas, los labios e, incluso, a la garganta. Genera dolor y molestias, que dificultan los actos de masticar, tragar, hablar e incluso bostezar.
La estomatitis aftosa es una patología oral bastante prevalente que suele dar la cara a través de la formación de aftas bucales. Las llagas aparecen en diferentes zonas de la boca, como la lengua, la cara interna de las mejillas, los labios o, incluso, las encías.
Con nuestros consejos aprenderás a averiguar cuáles son los síntomas de la estomatitis, lo que te permitirá actuar con celeridad y prevención. En nuestra clínica dental abogamos por la odontología conservadora, con el fin de asegurarte una salud bucodental de hierro. Para nuestro equipo médico, la prevención es fundamental.
Las aftas bucales, también conocidas como úlceras orales o aftas recurrentes, son lesiones que se producen en la mucosa de la boca. Aunque son comunes y, en la mayoría de los casos, no son graves, pueden ser molestas y dolorosas.
¿Cómo eliminar las aftas bucales? Dra Mailyn te lo explica🤔🦷

¿Qué son las aftas bucales?
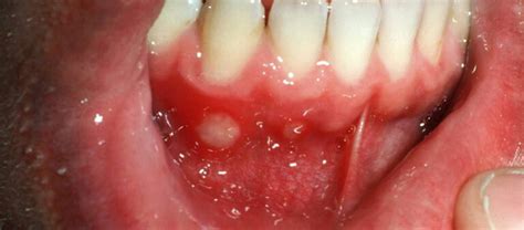
Las aftas en la boca tienen el aspecto de pequeñas heridas redondas u ovoides, de aproximadamente 5 mm de diámetro. Estas lesiones están cubiertas por una pseudomembrana amarillo-grisácea y rodeadas por un fino halo rojo. Aparecen aproximadamente 24 horas después de la primera sensación de hormigueo.
Tipos de Aftas Bucales
- Aftas menores: Son el tipo más común de aftas bucales y suelen medir menos de un centímetro de diámetro. Se encuentran en la mucosa bucal y suelen ser dolorosas pero no representan un riesgo para la salud.
- Aftas mayores: Son menos comunes que las aftas menores y suelen ser más grandes, con un diámetro de más de un centímetro. Se localizan en la parte posterior de la boca y pueden ser muy dolorosas, lo que dificulta hablar, comer y beber.
- Estomatitis aftosa recurrente: Es un tipo de afta bucal que se caracteriza por la aparición de múltiples lesiones en la boca. Pueden ser pequeñas o grandes y se localizan en diferentes partes de la boca, como la lengua, el paladar o las encías.
La aparición simultánea de varias aftas en diferentes áreas de la mucosa oral da lugar a un cuadro denominado estomatitis aftosa. El término «estomatitis aftosa recidivante» (EAR) debe emplearse únicamente en caso de apariciones recidivantes de aftas en la mucosa oral no relacionadas con enfermedades sistémicas.
Causas de la Estomatitis Aftosa
No se conocen con precisión las causas de este tipo de estomatitis, aunque estudios realizados en gemelos sugieren que hay algún tipo de condicionante genético.
La causa de la estomatitis aftosa parece ser una alteración del sistema inmune, desencadenada por traumatismos en la cavidad oral, cambios hormonales durante la menstruación, alergias alimentarias o estrés.
Hasta ahora, se desconoce la etiología de las aftas. Hasta un 40% de las personas afectadas tienen una historia familiar positiva. En gemelos univitelinos la concordancia es muy elevada en comparación con gemelos bivitelinos en los que la concordancia es mucho menor.
En la bibliografía se han descrito diversos factores desencadenantes que pueden variar de caso a caso. Muchos afectados señalan como factores desencadenantes determinados alimentos o aditivos como nueces, queso, piña, tomates, cítricos, chocolate, gluten o conservantes.
Otros factores de riesgo:
- Nutrición deficiente: Si sufres bajos niveles de hierro o de vitamina B, el riesgo a padecer estas lesiones es superior.
- Dentadura postiza: el uso de dentadura postiza, conocida como prótesis dental removible, podría ocasionar estomatitis.
- Ortodoncia: los aparatos dentales, sobre todo las ortodoncias con brackets, también son un factor de riesgo para la aparición de lesiones aftosas en las mucosas de la boca.
- Quimioterapia: algunos tratamientos contra el cáncer, como la radioterapia o la quimioterapia, están detrás de la estomatitis.

Síntomas de la Estomatitis Aftosa
Antes de aparecer las ampollas que luego producen la úlcera al romperse, la estomatitis aftosa se manifiesta con una sensación molesta de ardor o quemazón en la zona donde aparecerán al cabo de uno o días.
Aparición de llagas en la boca, sobre todo, en las zonas de las mucosas orales. La estomatitis aftosa se caracteriza por pequeñas úlceras redondas u ovaladas (conocidas como aftas), que pueden aparecer en las mejillas, lengua, paladar o alrededor de la base de las encías. Estas úlceras pueden aparecer individualmente o en grupos. Son blancas en el centro, enrojeciéndose hacia el borde exterior.
Los cambios en el color de la mucosa oral son uno de los signos de la estomatitis. Cuando la mucosa está sana, su color es más o menos rosado. Un enrojecimiento de la mucosa y la presencia de hinchazón pueden indicar inflamación que puede deberse a la estomatitis. Cuando la estomatitis es causada por un hongo como Candida albicans, pueden aparecer manchas blanquecinas en la superficie de la lengua. En algunos casos, la lengua se vuelve completamente blanca, lo cual puede extenderse al interior de las mejillas y al resto de la cavidad oral.
Tipos de Estomatitis
- Estomatitis aftosa: Se caracteriza por la presencia de úlceras blancas o amarillentas con un anillo externo rojo.
- Estomatitis herpética: Se caracteriza por la presencia de llagas llenas de líquido que se producen en o alrededor de los labios. Rara vez se forman en las encías o en el paladar.
- Estomatitis angular: También conocida como queilitis angular es una condición que causa manchas rojas e inflamadas en las comisuras de la boca donde los labios se juntan y forman un ángulo.
En los casos graves, con recidivas frecuentes y lesiones generalizadas en todas las mucosas de la boca, puede haber adenopatías cervicales, halitosis y dificultad para tragar.
Las aftas son generalmente de tamaño pequeño y forma redondeada y una coloración blanquecina o amarillenta.
Diagnóstico de la Estomatitis Aftosa
La estomatitis es una patología oral que podemos diagnosticar con facilidad, debido a que su sintomatología es bastante clara. El diagnóstico de la estomatitis aftosa se basa básicamente en el análisis de los síntomas y la historia clínica del paciente (anamnesis). El diagnóstico de la EAR se basa en su cuadro clínico característico y en la anamnesis.
Al elaborar la historia clínica, el odontólogo interroga al paciente acerca de algunos antecedentes relevantes. Entre ellos figuran el consumo de medicamentos, las posibles alergias, el contacto con personas infectadas y el régimen de alimentación. También indaga acerca de los síntomas y su duración.
La revisión de la boca suele ser suficiente para localizar e identificar las lesiones. Sin embargo, en los casos de estomatitis herpética, conviene que te realicen algunas pruebas para confirmar la presencia del virus.
Tratamiento de la Estomatitis Aftosa
Para curar la estomatitis es importante que visites a un especialista en salud oral. Lo primero que hacemos es revisar tu sonrisa con detenimiento, detectando las causas de la afección. Si las heridas te están generando daños serios en la boca, nuestro objetivo será acelerar su cicatrización.
Cuando las ampollas y úlceras aparecen de forma aislada, en la mayoría de los casos no se requiere ningún tipo de tratamiento, ya que suelen desaparecer por sí solas al cabo de un máximo de siete o diez días. No obstante, existen medicamentos de uso tópico que ayudan a calmar las molestias que causan las aftas, al igual que sucede con ciertos tipos de enjuagues bucales. Raramente se necesita el uso de antiinflamatorios.
El tratamiento se enfoca en aliviar los síntomas y tratar la causa subyacente. Pero si la causa se desconoce, el tratamiento debe ir encaminado a aliviar los síntomas.
Se desconoce su causa exacta. Por el momento, no existe una cura definitiva para la estomatitis aftosa; sin embargo, los pacientes pueden recurrir a diversos remedios sintomáticos.
Para acelerar el proceso de curación y obtener alivio del dolor, existen tratamientos sintomatologicos locales. Algunos cambios en el estilo de vida también pueden ayudar. Evita alimentos picantes y muy ácidos. Es posible que necesites hacer cambios en tu rutina de higiene bucal, como usar un cepillo de dientes de cerdas suaves para reducir el malestar al cepillarte los dientes.
Es importante destacar es que cuando se ha identificado algún factor de riesgo concreto, se pueden adoptar medidas para evitar la recurrencia o reducir el número de episodios.
Opciones de Tratamiento
- Clorhexidina en colutorio o en gel. Disminuye incidencia, gravedad y duración del afta además de tener efecto analgésico y prevenir complicaciones por sobreinfección de la misma. Es el más utilizado.
- Antiinflamatorios como son los corticoides tópicos (triamcinolona, dexametasona). La aplicación de estos antiinflamatorios reduce el componente inflamatorio de las erosiones orales existentes, dando lugar a una mejora rápida y eficaz de la sintomatología.
- Otros: carbenoxolona tópico (no usar si está en tratamiento con corticoides de aplicación en la boca), bencidamida colutorio.
- Anestésicos locales como la lidocaína, benzocaína o tetracaína.
- Ácido hialurónico.
- Antibiótico como la tetraciclina en forma de solución extemporánea al 2.5% para la realización de enjuagues bucales pueden dar buenos resultados en los casos de estomatitis aftosas recurrentes y de úlceras bucales severas.
| Tipo de Afta | Características | Localización | Curación |
|---|---|---|---|
| Menor | Diámetro inferior a 5 mm | Mucosa móvil, no queratinizada (labios, mejillas, lengua) | 10-14 días sin cicatriz |
| Mayor | Diámetro superior a 10 mm, mayor profundidad | Mucosa labial, parte posterior de la cavidad oral (paladar, arcos palatinos) | Hasta 12 semanas, a menudo con cicatriz |
| Herpetiforme | Múltiples aftas pequeñas (1-3 mm), hasta 100 aftas | Mucosa móvil, no queratinizada (bordes de la lengua, suelo de la boca, paladar, encías) | Aproximadamente 2 semanas |
Además, te ofreceremos pautas para que puedas prevenir la presencia de este tipo de lesiones en las mucosas de la boca. Con el fin de minimizar riesgos, nuestro consejo es que sigas buenos hábitos de higiene bucodental.
¿Y cuando la inflamación ha sanado? Asegúrate de continuar cuidando tu higiene bucal, que es la mejor manera de mantener tus dientes sanos y prevenir trastornos bucales como periodontitis, gingivitis y mal aliento (¡recuerda no presionar demasiado con tu cepillo de dientes!).
Pide cita en AM Odontología si detectas síntomas compatibles con estomatitis. Nuestro equipo médico se encargará de revisar tu sonrisa, con el objetivo de evitar daños en tu boca y asegurarte una salud oral impecable.
tags: #estomatitis #aftosa #tratamiento