La estética dental ha avanzado significativamente, convirtiéndose en una de las especialidades más solicitadas dentro de la odontología. Hoy en día, las personas no solo acuden al odontólogo por cuestiones de salud, sino también para mejorar el aspecto de sus dientes. Si estás pensando en transformar tu sonrisa en República Dominicana, este artículo te guiará a través de las opciones más innovadoras y efectivas.

¿Qué es la Estética Dental?
La estética dental es la especialidad de la odontología que se encarga de mejorar el aspecto de los dientes del paciente. Para obtener la mejora estética deseada, el tratamiento se realiza de forma personalizada, escogiendo los procedimientos que mejor se adaptan a la situación individual de cada paciente. Sobre la base de un estudio detallado, el dentista diagnostica y realiza un plan de tratamiento, explicando los procedimientos necesarios para lograr los resultados deseados.
Prioriza tu Salud Bucodental
Antes de preocuparte por la estética, es fundamental priorizar tu salud bucal. Para someterse a cualquier tratamiento estético, la boca debe estar lo más sana posible. Si estás pensando en cambiar la forma de tu sonrisa y conseguir la dentadura que siempre has soñado, empieza por cuidar tu salud bucodental con los productos y accesorios adecuados.
Tratamientos Dentales Más Solicitados
Debido a los avances en tratamientos odontológicos, cada vez son más las intervenciones estéticas que se pueden llevar a cabo para lograr un diseño de sonrisa perfecto. A continuación, exploramos algunos de los tratamientos más populares:
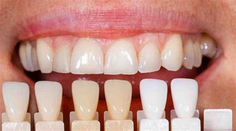
Blanqueamiento Dental
El blanqueamiento dental es el tratamiento estético más solicitado en los últimos años. El método más habitual consiste en el uso de una lámpara de luz fría y un gel blanqueador.

¿Qué tipos de blanqueamiento dental hay?
Ortodoncia Invisible (Invisalign)
Algunos tipos de tratamientos de ortodoncia también se catalogan dentro de la estética dental. El uso de ortodoncia invisible ha supuesto un gran avance en los tratamientos para corregir la posición de las piezas dentales.
La ortodoncia invisible o Invisalign consiste en una serie de alineadores prácticamente invisibles que se van cambiando cada dos semanas para conseguir los movimientos de los dientes de manera gradual. Con Invisalign, la revolucionaria alternativa a los brackets tradicionales, puedes lograr una sonrisa perfectamente alineada de forma discreta y cómoda. Invisalign es un sistema de alineadores transparentes y removibles que se personalizan para adaptarse a la forma única de tus dientes y encías. En muchas clínicas dentales, se enorgullecen de ofrecer a los pacientes la opción de transformar sus sonrisas de manera cómoda, discreta y efectiva con Invisalign.
Carillas Dentales
El uso de las carillas dentales poco a poco va ganando terreno entre los tratamientos estéticos de odontología. Las carillas consisten en una fina lámina de composite o de porcelana que se coloca en la parte visible del diente.

Implantes Dentales
La colocación de implantes dentales es también una técnica muy común para la corrección de la sonrisa. Esta prótesis tiene la misma función que el diente original, recuperando al mismo tiempo la estética del paciente.
Consideraciones Adicionales
Antes de llevar a cabo un tratamiento estético, debes asegurarte de que tu boca está sana. Un estudio previo y diagnóstico con toma de medidas, fotografías y radiografías son esenciales para un plan de tratamiento personalizado.
En algunas clínicas dentales, se ofrece la posibilidad de corregir la posición de los dientes con un tratamiento de ortodoncia con brackets metálicos o, si se prefiere, con brackets estéticos de zafiro, para mayor discreción.
A continuación, se presenta una tabla comparativa de los tratamientos más comunes:
| Tratamiento | Descripción | Ventajas | Consideraciones |
|---|---|---|---|
| Blanqueamiento Dental | Uso de lámpara de luz fría y gel blanqueador. | Mejora rápida del color de los dientes. | Puede causar sensibilidad dental temporal. |
| Ortodoncia Invisible (Invisalign) | Alineadores transparentes y removibles. | Discreto, cómodo y removible. | Requiere disciplina para usar los alineadores según las indicaciones. |
| Carillas Dentales | Láminas finas de composite o porcelana. | Mejora la forma y el color de los dientes. | Puede requerir el desgaste de una pequeña cantidad de esmalte dental. |
| Implantes Dentales | Prótesis que reemplaza el diente original. | Recupera la función y estética del diente perdido. | Procedimiento quirúrgico que requiere tiempo de recuperación. |