¿Has escuchado hablar de la sonrisa gingival? La expresión facial y la sonrisa son componentes clave de la comunicación no verbal. La sonrisa ejerce un papel muy importante en la determinación de la primera impresión de la persona. Si cuando sonríes notas que tus encías quedan muy expuestas, es posible que tengas una sonrisa gingival. Aunque se trata de una condición que no afecta la funcionalidad de la boca, sí puede ser un problema estético. Pero, ¿Qué es la sonrisa gingival? ¿Cómo saber si tengo una sonrisa gingival?
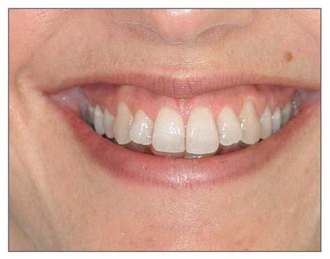
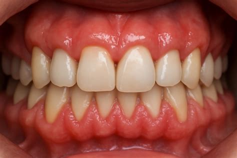
Una sonrisa estética o agradable está comprendida por tres componentes primarios: los dientes, el marco labial y la plataforma gingival. La sonrisa ideal, estética y agradable presenta las siguientes características:
- Mínima exposición gingival.
- Exposición simétrica y armónica entre la línea gingival superior y el labio inferior.
- Tejido gingival sano que rellena todos los espacios interproximales.
- Armonía entre los segmentos anterior y posterior (principio de graduación).
- Dientes con correcta anatomía y proporciones (forma y posición).
- Color y tono adecuado de los dientes.
- Labio inferior paralelo a los bordes incisales de los dientes anterosuperiores y a una línea imaginaria que transcurre por los puntos de contacto de estos dientes.

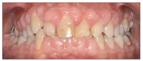
La expresión exposición gingival excesiva, comúnmente denominada sonrisa gingival, se emplea cuando durante la sonrisa se produce una sobreexposición de la encía superior. En casos severos, la sobreexposición se observa también con la boca y los labios en reposo. En general, cuanto más se exhiben los tejidos gingivales, menos estética resulta la sonrisa.
La prevalencia de la exposición gingival excesiva es del 10% en la población comprendida entre los 20 y los 30 años de edad, y se ve más en mujeres que en hombres. La incidencia de esta condición disminuye gradualmente con la edad como consecuencia de la caída de los labios superior e inferior, lo que a su vez conduce a una disminución de la exposición de los incisivos superiores y a un aumento de la exposición de los incisivos inferiores.


Al analizar una sonrisa, uno debe recordar que desde el punto de vista estético la exhibición de una cierta cantidad de tejido gingival se considera agradable, ya que ello aporta sensación de juventud.

Diagnóstico de la Sonrisa Gingival
Para un correcto diagnóstico, debe llevarse a cabo un examen exhaustivo. El primer paso para detectar una sonrisa gingival es acudir a nuestra consulta odontológica mediante la cual un dentista experto pueda realizar una evaluación física de la boca para medir la cantidad de tejidos en gingival y su posición con respecto a los dientes. También se revisa la movilidad y la longitud del labio superior, el cual debería medir entre 20 y 24 milímetros. Inferior a esto se considera un labio corto.
Examen Facial
- Simetría facial y proporciones frontal y lateral.
La valoración de la simetría facial se realiza respecto a la línea interpupilar. Esta línea horizontal divide la cara en mitades iguales. Las líneas horizontales accesorias son la línea ofríaca (línea que atraviesa las cejas) y la línea comisural. Estas líneas deben ser paralelas a la línea interpupilar, creando así una armonía global de la cara. Estas líneas pueden usarse también como líneas de referencia para orientar el plano incisal, el plano oclusal y el contorno gingival. Una línea perpendicular a la línea interpupilar debe dividir la cara en dos partes simétricas.
La altura facial normalmente se analiza dividiendo la cara en tercios. Los tercios medio e inferior son los que más se implican en la consideración estética del paciente. Cuando se miden en reposo, ambos deben ser iguales. El tercio inferior se puede subdividir en tercio superior y dos tercios inferiores, tomando como referencia el estomion.

- Longitud del labio superior en reposo.
La longitud del labio superior se mide desde el punto subnasal hasta el borde inferior del labio superior. La longitud media de este labio es de 20 a 24 mm en adultos jóvenes y tiende a aumentar con la edad.

- Exposición de los incisivos centrales superiores en reposo.
La exposición de los incisivos centrales superiores en reposo por termino medio es de 3 a 4 mm en mujeres jóvenes y de 2 mm en hombres jóvenes, y tiende a disminuir con la edad.
- Cantidad de exposición gingival durante el reposo, habla, sonrisa y risa.
Durante una sonrisa amplia, el labio superior debe descansar a nivel de los márgenes gingivales mediofaciales de los dientes anterosuperiores.
- Línea de sonrisa.
Este término expresa la posición del labio superior en relación con los incisivos superiores y la encía durante una sonrisa completa natural. Una línea de sonrisa alta es aquella que revela toda la corona del diente y una importante cantidad de encía (exposición gingival excesiva). En una línea de sonrisa promedio, se revelan un 75% a 100% de las coronas y la encía interproximal. Una línea de sonrisa baja es aquella en la que se revela menos de un 75% de las coronas. Las líneas de sonrisa bajas son características de los varones mientras que las líneas de sonrisa altas predominan en las mujeres.

- Contorno del margen gingival.
En los pacientes que presentan una exposición gingival excesiva, cualquier irregularidad o falta de armonía en el alineamiento de los márgenes gingivales puede ejercer un efecto importante en la estética de la sonrisa. Debe existir armonía entre la línea gingival de los segmentos anterior y posterior. El contorno de los márgenes gingivales debe ser paralelo tanto a los bordes incisales como a la curvatura del labio inferior. Los márgenes gingivales de los incisivos centrales superiores y de los caninos deben ser simétricos y deben situarse en una posición más apical que las de los incisivos laterales.
Examen Intraoral
- Plano oclusal.
El plano oclusal debe evaluarse tomando como referencia los puntos anatómicos que se emplean cuando se fabrica una prótesis completa. El plano oclusal debe coincidir puntualmente con la línea imaginaria que conecta las comisuras de los labios con dos tercios de la altura de la almohadilla retromolar. De esta manera, durante la sonrisa, se debe producir una leve exposición de las puntas de los caninos y premolares inferiores.
- Armonía de las arcadas dentales.
Los segmentos anterior (parte incisal) y posterior deben estar en armonía entre sí y no deben presentar discrepancias importantes.
- Anatomía, proporciones y color de los dientes.
La comparación entre la altura de la corona anatómica (borde incisal a unión amelocementaria [UAC]) y la altura de la corona clínica (borde incisal a margen gingival libre) ayuda a determinar si las coronas clínicas cortas son resultado de desgaste incisal o de una posición coronal del margen gingival de los dientes.
- Examen periodontal.
Debe medirse la anchura y el grosor de la encía adherida queratinizada, así como la profundidad de sondaje, el nivel de adhesión clínica y el nivel de cresta ósea respecto a la UAC. La posición de los márgenes gingivales libres en relación con la UAC también representa otro aspecto importante. El biotipo periodontal influye en la reacción de los tejidos gingivales al tratamiento periodontal y a la cirugía. Existen tres biotipos periodontales: fino y festoneado, normal, y grueso y plano. Esta información tiene una influencia crucial en las estrategias y las decisiones de tratamiento.
Un correcto diagnóstico de la exposición gingival excesiva, establecido mediante la cuidadosa evaluación de todos los aspectos antes mencionados permite al clínico seleccionar la modalidad de tratamiento más adecuada y conseguir un resultado clínico satisfactorio tanto para el paciente como para el profesional.
Etiología de la Exposición Gingival Excesiva y Modalidades de Tratamiento
¿Por qué se produce la sonrisa gingival? Las causas de la sonrisa gingival pueden ser diversas:
- Encía inducida
- Erupción pasiva alterada
- Extrusión dental
- Maxilar largo
- Labio superior corto
- Labio superior hiperactivo
- Musculatura facial elevada
- Labio superior asimétrico
- Factores genéticos que afectan el desarrollo óseo.
- Colapso posterior de la mordida, en cualquiera de sus causas.
- Inclinaciones incisivas que favorezcan su aparición o empeoramiento.
Aumento Gingival Inducido por Placa/Fármacos
En esta condición el problema radica en que los tejidos gingivales son hiperplásicos y cubren las coronas clínicas, lo que da lugar a un aspecto poco estético. La mayoría de las veces esta condición está relacionada con la presencia de placa dental y de inflamación pero también puede verse asociada a medicaciones como la fenitoína, la ciclosporina y bloqueantes de los canales del calcio. El tratamiento de estos casos debe enfocarse hacia la higiene oral meticulosa. A veces es necesario recurrir a cirugía periodontal para eliminar la excesiva cantidad de tejidos blandos.

Erupción Pasiva Alterada/Retardada
La erupción pasiva es un proceso normal por el cual, después de haberse producido la erupción completa del diente, los márgenes gingivales van retrayéndose hacia apical hasta el nivel de la UAC. Cuando se produce un fracaso de la retracción de los márgenes gingivales hasta la UAC, hablamos de erupción pasiva alterada. Como los tejidos gingivales quedan posicionados coronalmente a la UAC, los dientes aparecen como cortos y cuadrados.

Esta condición puede afectar a varios dientes o a un diente aislado. La incidencia de erupción pasiva alterada en la población general es de aproximadamente el 12%. El mecanismo fisiológico de la erupción pasiva continúa incluso en la tercera década de la vida; por lo tanto, el diagnóstico de la erupción pasiva alterada debe realizarse en relación con la edad.
En condiciones normales de salud la cresta alveolar debe encontrarse a nivel de la UAC o 1 o 2 mm apical a ella. Las radiografías paralelas ayudan a determinar el nivel de la cresta ósea en la zona interproximal, y el sondaje hasta el hueso determina su nivel en vestibular y lingual.
Coslet et al sugirieron una clasificación para la erupción pasiva alterada:
- Tipo 1A. Cantidad excesiva de encía queratinizada con relación normal cresta alveolar-UAC.
- Tipo 1B. Cantidad excesiva de encía queratinizada con cresta ósea a nivel de la UAC.
- Tipo 2A. Cantidad normal de encía queratinizada con relación normal cresta alveolar-UAC.
- Tipo 2B. Cantidad normal de encía queratinizada con cresta ósea a nivel de la UAC.
La erupción pasiva alterada se puede resolver mediante cirugía periodontal. La selección del procedimiento quirúrgico solo depende del tipo de erupción pasiva alterada.
Extrusión Dentoalveolar Anterior
La sobreerupción de los incisivos superiores con su complejo dentogingival conduce a una posición más coronal de los márgenes gingivales y a una exposición gingival excesiva. Estos casos pueden asociarse a desgaste dentario en la región anterior (sobreerupción de incisivos compensatoria) o a mordida profunda. En los casos en los que existe mordida profunda, suele haber una discrepancia en el plano oclusal entre los segmentos anterior y posterior.

El tratamiento de estos casos incluye la intrusión ortodóncica de los dientes afectados moviendo hacia apical el margen gingival, corrección quirúrgica periodontal con o sin tratamiento restaurador complementario o un plan de tratamiento interdisciplinar completo.
Exceso Vertical Maxilar (EMV)
En estos casos existe un sobrecrecimiento del maxilar en su dimensión vertical. Muchas veces se presentan acompañados de un síndrome de cara larga. El aumento de la altura facial aparece fundamentalmente en la mitad inferior de la cara, y a diferencia de los casos que presentan sobreerupción de los incisivos superiores, los segmentos anterior y posterior del plano oclusal son armónicos. Como el plano oclusal es relativamente más bajo de lo normal, los individuos con EMV presentan una exposición gingival excesiva con un labio inferior que cubre los bordes incisales de los caninos y los premolares superiores.
Estos hallazgos clínicos pueden conducir al clínico al diagnostico de EMV, lo que debe confirmarse con una cefalometría. En un grupo que presentaba sonrisa gingival se encontró que la distancia entre el plano palatino y el borde incisal de los incisivos superiores (altura facial anterior) era aproximadamente 2 mm más alta que la de individuos que no presentaban sonrisa gingival.


En la mayoría de los casos de EMV, la longitud del labio superior es normal, a pesar de que clínicamente suele parecer corto.
Garber y Salama introdujeron una clasificación de EMV en 1996 con tres grados de exposición gingival y sus correspondientes modalidades de tratamiento:
Impactación Maxilar (Sonrisa Gingival) Cirugía Ortognática
| Grado de Exposición Gingival | Modalidades de Tratamiento |
|---|---|
| Leve | Gingivectomía, Contorneado óseo |
| Moderado | Reposicionamiento labial, Cirugía ortognática |
| Severo | Cirugía ortognática |
Labio Superior Corto
En estos casos, el labio superior tiene una longitud inferior a 15 mm, medido desde el punto subnasal hasta el borde inferior del labio superior. Curiosamente, un buen número de estudios han demostrado que, en la mayoría de los casos de exposición gingival excesiva, la longitud del labio superior es normal a pesar de que clínicamente el labio pueda parecer corto.

Labio Superior Hiperactivo
Esta condición representa un aumento de actividad de los músculos del labio superior durante la sonrisa. De acuerdo con un estudio de Peck et al, los individuos con exposición gingival excesiva presentan una musculatura elevadora del labio superior más eficiente que la de los individuos con líneas de sonrisa normales. En este estudio, los pacientes con línea labial alta elevaban el labio superior durante la sonrisa una media adicional de 1 mm, o casi un 20% más que el grupo de referencia.
¿Cómo Corregir la Sonrisa Gingival? Principales Tratamientos
¿Cómo se quita la sonrisa gingival? El tratamiento de esta patología suele requerir un enfoque interdisciplinar. La sonrisa gingival siempre necesita de un abordaje multidisciplinar, aunque principalmente lo hacemos desde la odontología estética.
- Tratamiento prostodóncico y periodontal
- Cirugía ortognática
- Botox - Toxina botulínica
- Ortodoncia interceptiva: En niños, el uso de aparatología funcional como rejillas linguales o planos inclinados puede ayudar a corregir hábitos perjudiciales y redirigir el crecimiento óseo.
- Ortodoncia con brackets o alineadores: En adolescentes y adultos, los alineadores o brackets pueden corregirla mediante técnicas de intrusión o extrusión de dientes según el caso.
- Microtornillos ortodóncicos: En casos más complejos, se utilizan anclajes temporales para mover los dientes verticalmente de manera controlada.
- Aparatología funcional: Dispositivos como planos de mordida pueden ser útiles en pacientes en crecimiento para evitar que los incisivos superiores sigan descendiendo.
- Ortodoncia fija o alineadores: Se pueden realizar movimientos de intrusión de los incisivos superiores o extrusión de los dientes posteriores para corregir el problema, necesitando todo ello de un diagnóstico exhaustivo de la localización de la alteración del plano vertical así como de la estética del paciente.
Cirugía Ortognática
Este proceso quirúrgico se realiza bajo anestesia general, tras un estudio facial personalizado para la fabricación de unas guías a medida.
Botox - Toxina Botulínica
La hiperactividad de los músculos del labio superior hacen que el labio se eleve más de lo normal, en especial al momento de sonreír.