Conoce cómo es la extracción de las muelas del juicio con tu Clínica dental Urbina. La extracción de una muela del juicio es el tratamiento quirúrgico por el que se quita alguno de los terceros molares o muelas cordales. Las muelas del juicio son las últimas muelas en aparecer, en torno a los 18 años, y se localizan al final de la mandíbula, tanto superior como inferior.
En primer lugar, es importante entender qué implica la extracción muela del juicio como un procedimiento dental común que, a pesar de su frecuencia, genera muchas dudas y temores. Este artículo te ofrece una guía completa con información detallada sobre cuándo es necesaria la extracción, cómo prepararte, los tipos de procedimientos y los cuidados posteriores.

Posiciones de las muelas del juicio.
¿Qué son las muelas del juicio?
Las muelas del juicio, también llamadas cordales, son los terceros molares que nacen generalmente en la etapa de madurez entre los 14 y 25 años. Aunque esto puede variar. En ocasiones también puede que no aparezcan nunca o que empiecen a desarrollarse antes de la edad establecida.
Reciben su nombre debido a que cuando estas empiezan a aparecer las personas ya poseen un juicio más desarrollado que cuando aparece el resto de la dentadura definitiva. La mayoría de las personas suelen tener cuatro, dos arriba y dos abajo, una en cada cuadrante de la boca. Se encuentran en la última posición de la línea dental y su tamaño es variable.
Síntomas comunes durante la aparición de las cordales
Estas no siempre nos revelan síntomas; sin embargo, cuando quedan retenidas por el poco espacio y no crecen con normalidad, pueden llegar a infectarse. La infección puede llevar a dañar otros dientes y se puede manifestar de la siguiente forma:
- Encías hinchadas.
- Sangrado de las encías.
- Dolor de cabeza.
- Mal aliento.
- Sabor desagradable en la boca.
Indicaciones para la extracción de las muelas del juicio
Las muelas del juicio pueden desarrollarse en ángulo hacia el segundo molar, contra la parte posterior de la boca. También pueden crecer de forma horizontal, empujando al diente más cercano, es decir, aparenta estar acostada en el maxilar, o de manera recta hacia arriba o hacia abajo. O puede quedar retenida de forma parcial o total dentro de la encía. No atender a tiempo la salida de estos dientes puede traer como consecuencia serias complicaciones y enfermedades bucales graves:

Extracción de las muelas del juicio.
Posiciones de las muelas del juicio. Cuando aparecen las muelas del juicio, pueden darse tres situaciones diferentes:
- Que tengan espacio suficiente para erupcionar (salir) y colocarse en su posición correcta - si es así, las muelas del juicio serán una muela más y no habrá que hacer nada diferente al cuidado dental habitual.
- Que erupcionen parcialmente- esta situación puede generar infecciones recurrentes, por la dificultad de limpiar adecuadamente la zona. De las tres posibilidades, es la que más molestias genera y el tratamiento suele ser la extracción.
- Que no tengan espacio para salir, quedando atrapadas dentro del hueso maxilar - en este caso, se habla de «muelas incluidas», a las que hay que ir estudiando su posición y sus posibles complicaciones a lo largo del tiempo.
En los dos últimos casos, las muelas pueden comenzar a “empujar” en cualquier momento para intentar erupcionar, lo que puede producir dolores en la zona.
Infecciones recurrentes
Las muelas de juicio, al quedar retenidas, son más propensas a padecer de caries que otros dientes ya que son las más difíciles de limpiar. Además, los alimentos y bacterias quedan atrapados entre la encía y la muela que creció. Las encías hinchadas pueden crear bolsillos entre los dientes que ayudan al crecimiento de bacterias y formación de caries.
Daño a dientes adyacentes
Cuando la muela de juicio hace presión en un segundo molar puede dañarlo y aumentar el riesgo de infección en esa zona. También puede causar el apiñamiento de los otros dientes, lo que en ocasiones causa dolor e incomodidad. Por lo que necesitarás ortodoncia para poder mejorar la posición de las piezas dentales afectadas.
Problemas ortodónticos y de alineación
Por ser las últimas piezas en crecer, a veces la boca no tiene un lugar libre para ellas. Por lo que en muchos casos presionan a otros dientes y su aparición causa dolor. También si salen torcidas, su desarrollo puede afectar a otros dientes empujándolos y moviéndolos, incluso si ya te habías hecho alguno de los tratamientos de ortodoncia y ortopedia maxilar. Por lo general causan muchas molestias y requieren de cirugía para extraerlas.
Quistes y otras patologías asociadas
Los terceros molares se forman en un saco dentro de la mandíbula, y este se puede llenar de líquido formando un quiste que puede dañarla, junto con los dientes y los nervios. Esta última es una afección inflamatoria e infecciosa de las encías, es común que se desarrolle en la cavidad de las muelas del juicio.
El dentista debe revisar la forma de tu boca y la posición de tus dientes para tomar una decisión sobre si extraer o no las muelas de juicio. Además, también toma en cuenta tu edad al momento de decidir.
¿Cómo prepararte para quitar muela juicio?
Antes de sacar muela juicio es fundamental que sigas ciertas recomendaciones para garantizar que el procedimiento sea lo más cómodo y seguro posible.
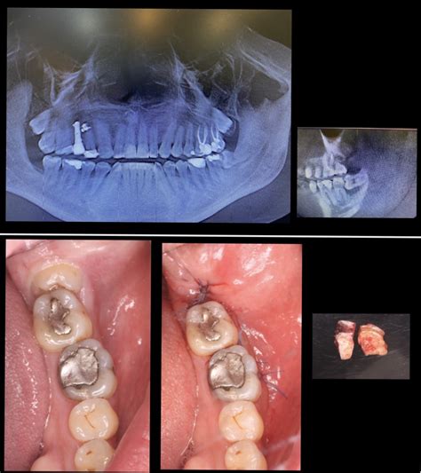
Primero, consulta a tu dentista para obtener un diagnóstico preciso. Esto generalmente incluye una radiografía panorámica para determinar la posición exacta de las muelas y evaluar la complejidad de la extracción.
Asegúrate de informar sobre cualquier condición médica o medicamentos que estés tomando antes de hacer el tratamiento, ya que esto podría influir en el procedimiento o en la recuperación.
El día de la extracción, llega bien descansado y con ropa cómoda. Es recomendable que te abstengas de comer al menos 6 horas antes si te administrarán anestesia general.
También puedes preparar en casa un espacio con almohadas y todo lo necesario para tu recuperación.
Cómo es la extracción de las muelas del juicio
Como mencionamos, las muelas de juicio son las últimas en crecer. Estas son iguales y tan útiles como las otras muelas, solo si van creciendo de forma adecuada y el tejido de encía que se encuentra alrededor de ellas es saludable. Si, por el contrario, están causando problemas, deben extraerse siguiendo este procedimiento:
Evaluación preoperatoria
El proceso para ser retiradas puede variar, ya que cada muela es única y de ellas dependerá el procedimiento. La duración de esta cirugía también depende de su estado, de ahí la importancia de asistir a una evaluación preoperatoria.
Exodoncia COMPLEJA tercer molar incluido - Video 3D paso a paso
Tipos de extracción
En la mayoría de los casos es más fácil extraer las muelas de juicio superiores que las inferiores. La extracción de muelas de juicio no impactadas es más simple y la opción estándard. Se opta por esta cuando las muelas ya han erupcionado y son visibles en la encía.
Los casos más complicados se dan cuando es necesaria una extracción parcial por muela impactada, es decir, que el diente sigue incrustado en la mandíbula de forma parcial. También puede ser completa o total por impacto óseo, que es cuando el diente está completamente atascado en la mandíbula y no ha erupcionado.

Tipos de extracción de muela del juicio.
Anestesia y sedación utilizadas
El dentista o cirujano maxilofacial puede usar distintos tipos de anestesia:
- Anestesia local: aplican una o más inyecciones en la zona adyacente a la muela de juicio a extraer. Esto adormecerá esa zona y no sentirás dolor, aunque si cierta presión, estarás despierto durante el procedimiento.
- Sedación: si estás muy ansioso por el procedimiento, la sedación quizás sea la mejor opción, ya que estarás dormido, no sentirás dolor ni recordarás la cirugía.
- Anestesia general: si el procedimiento es más complejo, por ejemplo, si se necesitan eliminar las 4 muelas de juicio a la vez, el cirujano puede recurrir a anestesia general. En este caso deberá estar presente un anestesiólogo.
Procedimiento
El procedimiento toma alrededor de 45 minutos y generalmente puede hacerse en el consultorio odontológico. Los pasos son los siguientes:
- El dentista realizará una incisión en el tejido de la encía para acceder a la muela y el hueso.
- Posteriormente, elimina el hueso que impide llegar hasta la raíz y de ser necesario empieza a dividir la muela por secciones porque así resulta más sencillo retirarla.
- Una vez que haya retirado todos los pedazos de muela y limpiado el área, cose la herida mediante algunos puntos de sutura.
- Colocará un poco de gasa para controlar el sangrado y permitir que se cree un coágulo sanguíneo.
Posterior a la operación, luego de un período de recuperación de pocos días, tal vez debas acudir al especialista para que retire los puntos de sutura. Aunque hoy en día utilizan técnicas y materiales que permiten que el cuerpo los absorba. Incluso en ocasiones no es necesario hacer ningún tipo de sutura.
En cualquiera de los dos casos debes ser cuidadoso en el proceso de recuperación y seguir las indicaciones del especialista para evitar complicaciones.
Postoperatorio
Tras la extracción de una muela del juicio y dependiendo de la dificultad y duración del procedimiento, se pueden sufrir unos días de inflamación y molestias, que se controlarán con analgésicos y antiinflamatorios. El uso del hielo inmediatamente después de la extracción es muy recomendable. Pero pasadas las primeras 24h tras la extracción, lo recomendable es poner calor y cremas antiinflamatorias, que ayudan a bajar la inflamación y a mejorar la movilidad.
Es muy importante mantener una higiene estricta, ya que al ser una zona difícil de limpiar puede infectarse si no se cuida adecuadamente. Los enjuagues antisépticos a base de clorhexidina son muy convenientes. Hay seguir las instrucciones del dentista y tomar la medicación siguiendo la pauta prescrita tras la cirugía. No se debe fumar en las 48-72 h.
Riesgos
La extracción de las muelas del juicio no causa complicaciones en la mayoría de los casos. Pero cuando el procedimiento se realiza en una pieza impactada, existe la probabilidad de que se presenten los siguientes casos:
- Dolor, sangrado, hinchazón y moretones en la zona.
- Desarrollo de infección del alveolo causada por bacterias de restos de alimentos que quedan atrapados entre los dientes.
- Resequedad del alveolo. Esto causa muchas molestias y dolor.
- Posibles lesiones en la superficie, nervios o en el maxilar en las piezas dentales más cercanas a la muela.
Recomendaciones después de la extracción de las muelas de juicio
Después de la extracción de las muelas del juicio debes cumplir con una serie de cuidados que el especialista te indicará. Inmediatamente después, considera que debes necesitar que alguien te acompañe a casa, ya que no podrás conducir.
Es importante que tomes los medicamentos que te indica el dentista. No se deben realizar enjuagues hasta un día después de la cirugía. Tampoco puedes cepillarte los dientes. Se podrá realizar un cepillado 48 horas después de la operación, y con extrema delicadeza.
Si hay sangrado después de las 24 horas es normal. Posteriormente, se forma un coágulo y no hay sangrado. Para disminuirlo y acelerar la coagulación puedes morder muy suave con la encía, una gasa antiséptica mojada en agua fría, por 45 minutos. Si el sangrado no se detiene después de dos días, lo mejor es que llames a tu dentista.
Es normal que inmediatamente después de la extracción se inflame ese lado de la cara. Para solucionar esto puedes apoyar la zona en una bolsa con hielo durante 30 minutos cada 3 horas. La inflamación bajará más rápido.
Evita fumar y consumir alcohol. El humo del tabaco irrita las heridas bucales y el alcohol impide que los antibióticos hagan efecto. Si masticas tabaco, evita hacerlo por lo menos durante una semana, ya que este retrasa la cicatrización.
Toma abundante agua, sobre todo justo después de la intervención. No lo hagas con pajillas la primera semana de recuperación, ya que la succión podría afectar el coágulo sanguíneo de la cavidad.
Otro aspecto que debes tener en cuenta es la alimentación. Asegúrate de consumir solo alimentos blandos. Puedes empezar a comer algunos semiblandos cuando puedas tolerar el dolor. Para disminuir la hinchazón puedes colocarte compresas frías en las mejillas.
Y Finalmente, restríngete de hacer actividades físicas o extenuantes hasta que te hayas recuperado por completo.
¿Cuándo llamar a tu dentista?
Si notas la presencia de algunos de los síntomas que te nombraremos a continuación, debes llamar a tu médico. Estos podrían indicar que tienes una infección.
- Sangrado excesivo.
- Mucha dificultad y molestias a la hora de tragar o incluso respirar.
- Mucho dolor (no se calma con analgésicos).
- La hinchazón empeora o no mejora después de los 3 días posteriores a la extracción.
- Aparición de pus o algún fluido extraño dentro de la cavidad.
- Sabor persistente y desagradable en la boca.
- Fiebre.
Preguntas frecuentes sobre la extracción de las muelas del juicio
¿Es siempre necesaria la extracción?
Un mito de muelas del juicio es que siempre debes sacarlas. Expertos recomiendan que, si la muela se queda dentro del hueso, no es necesario extraerla. Puesto que al realizar una extracción sin motivos se estaría tratando de un procedimiento invasivo. Además, no es coherente hacer que un paciente pase por todo ese proceso sin necesidad.
Sin embargo, como ya se ha explicado antes, muchas veces ocurren problemas y es necesario extraerlas. En el caso de las muelas del juicio retenidas no hay forma de prevenirlas. Por tal motivo debes visitar a tu dentista periódicamente y, si es posible, realizarte radiografías por lo menos una vez al año. Estas suelen presentar problemas por lo que es común que las extraigan, incluso cuando el paciente no ha presentado ningún síntoma.
Por otro lado, si las muelas salieron de forma saludable, completamente, en su lugar correcto y tienes una mordida alineada no habrá que extraerlas.
¿Cuál es la mejor edad para extraerlas?
Las muelas de juicio se extraen generalmente entre los 15 y 22 años. En esta edad toma menos tiempo la recuperación que más adelante, porque las raíces no se han formado completamente y el hueso de la mandíbula es menos denso.
¿Cuánto tiempo dura la recuperación?
La recuperación de la extracción de las muelas de juicio toma una o dos semanas, la mayoría retoma sus actividades entre tres y cinco días tras el procedimiento. Aunque el tiempo exacto puede variar según la complejidad de la cirugía y la capacidad de curación de cada persona.
Cuidados esenciales después de la extracción de una muela del juicio
Después de quitar muela juicio, el cuidado adecuado es importante para evitar complicaciones y acelerar la recuperación.
En las primeras 24 horas, es normal experimentar sangrado leve, hinchazón y algo de dolor.
Para controlar estos síntomas, sigue las recomendaciones de tu dentista: aplica compresas frías en la zona afectada, evita enjuagarte con fuerza y no consumas alimentos calientes o duros.
Mantén una higiene oral adecuada, pero ten cuidado de no cepillar directamente sobre el área tratada. Usa enjuagues suaves con agua salada después de las comidas para mantener la herida limpia.
En adición, evita fumar o consumir alcohol durante al menos una semana, ya que estos hábitos pueden interferir con el proceso de cicatrización.
¿Cuánto tiempo tarda en sanar una extracción de muela del juicio?
El tiempo de recuperación tras una extracción muela del juicio varía según la complejidad del procedimiento y tu salud general.
En casos de extracciones simples, el dolor y la inflamación suelen desaparecer en unos 3 a 5 días, y la herida cicatriza completamente en unas dos semanas.
Sin embargo, si se trata de una extracción quirúrgica, el proceso puede extenderse a varias semanas. Es importante seguir todas las indicaciones de tu dentista para evitar infecciones o complicaciones que puedan prolongar la recuperación.
Para acelerar la recuperación tras sacar muela juicio, es imprescindible descansar adecuadamente y evitar actividades físicas intensas durante al menos 48 horas.
Asegúrate de mantener la zona limpia con enjuagues suaves de agua tibia con sal y evita el uso de pajillas.
Consejos para evitar dolor al sacar muela juicio
El dolor después de una extracción muela del juicio es normal, pero existen formas de minimizarlo.
Aplica hielo en el área afectada durante las primeras 24 horas y sigue las pautas de medicación indicadas por tu dentista. Evita masticar del lado afectado y consume alimentos blandos.
Incluso, mantener la cabeza elevada mientras descansas para reducir la inflamación. Si el dolor persiste más allá de unos días o aumenta de forma repentina, consulta de inmediato a tu dentista.
¿Qué pasa si no realizas una extracción de la muela del juicio cuando es necesaria
Ignorar la necesidad de una extracción puede derivar en problemas graves. Las muelas retenidas pueden causar infecciones recurrentes, daños en los dientes vecinos e incluso quistes o tumores en casos extremos.
Por otro lado, el dolor y la inflamación pueden volverse crónicos, afectando tu calidad de vida.
Si sospechas que necesitas quitar muela juicio, no postergues la visita al dentista. Un diagnóstico temprano puede prevenir complicaciones y garantizar un tratamiento más sencillo y efectivo.
Postergar este tratamiento, también puede provocar un desgaste innecesario en los dientes cercanos debido a la presión ejercida por las muelas mal posicionadas.
Esto no solo afecta la salud de tus dientes, sino que también puede aumentar la complejidad del tratamiento en el futuro. Actuar a tiempo es clave para evitar problemas mayores.
¿Qué alimentos puedes consumir tras una extracción muela del juicio?
Tras una extracción muela del juicio, elegir los alimentos adecuados es clave para evitar molestias y acelerar la recuperación.
En los primeros días, lo ideal es consumir alimentos blandos y fríos, que no requieran masticación ni irriten la zona tratada. Algunas opciones recomendadas son:
- Purés de vegetales, como calabaza o patata.
- Yogures naturales sin azúcar y sin trozos.
- Sopas y caldos tibios, evitando temperaturas muy altas.
- Batidos de frutas sin semillas, como plátano o mango.
Evita alimentos duros, pegajosos o picantes, ya que pueden dañar la herida o causar dolor. A medida que te sientas mejor, introduce progresivamente alimentos más sólidos, pero siempre con precaución.
Cómo saber si tu extracción de muela del juicio está cicatrizando bien
La cicatrización adecuada tras una extracción implica observar ciertos signos positivos durante la recuperación. Durante los primeros días, es normal experimentar hinchazón leve, dolor controlado con medicamentos y la formación de un coágulo en la herida.
A medida que pasan los días, deberías notar una disminución en la inflamación y un alivio gradual del dolor, tras la extracción muela del juicio.
Si notas signos de alarma, como fiebre, mal olor en la boca, pus o un dolor que empeora con el tiempo, es posible que se trate de una infección o alveolitis seca. En estos casos, acude a tu dentista de inmediato para una evaluación y tratamiento.
Coste de la extracción de muelas del juicio
El precio de la extracción de una muela del juicio puede variar dependiendo de varios factores, como la complejidad del caso, la ubicación geográfica de la clínica dental y el tipo de anestesia utilizada. En general, una extracción simple puede costar entre [precio] y [precio], mientras que una extracción quirúrgica puede oscilar entre [precio] y [precio].
Es importante tener en cuenta que estos precios son solo estimaciones y pueden variar según la clínica y el profesional que realice el procedimiento.
| Tipo de Extracción | Precio Estimado |
|---|---|
| Extracción Simple | [precio] - [precio] |
| Extracción Quirúrgica | [precio] - [precio] |
Precios estimados para la extracción de muelas del juicio.
Después de leer acerca de cómo es la extracción de las muelas del juicio, la única forma segura de conocer en qué estado se encuentran, es contactar al dentista. Pide tu cita con nosotros y te daremos el diagnóstico adecuado para que no te creen un problema a futuro.