En ocasiones, para conseguir un buen resultado con un tratamiento de ortodoncia, es necesario proceder a la extracción de alguna pieza dental. Específicamente, la extracción de dientes para ortodoncia con brackets es un tema que genera muchas preguntas y preocupaciones entre los pacientes. En este artículo, exploraremos en detalle cuándo es necesaria esta práctica, los beneficios que puede aportar y las consideraciones importantes antes de tomar una decisión.
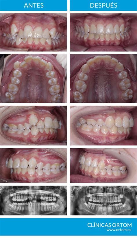
Hoy os explico un caso donde podéis ver el antes y después de un tratamiento de ortodoncia para el que se ha requerido la extracción de alguna pieza dental.

Antecedentes del Tratamiento de Ortodoncia con Extracciones
Muchos pacientes asocian los tratamientos de ortodoncia con la necesidad de realizar extracciones dentales, pero no siempre estas son obligatorias. Es fundamental que se realice un estudio integral del caso para evaluar si se está ante la necesidad de extraer alguna pieza o no.
Las extracciones de dientes en los tratamientos de ortodoncia requieren de mucha experiencia profesional y un diagnóstico acertado y preciso fruto de un estudio completo.
En Ortodoncia Borja tomamos la decisión después de realizar al paciente una cefalometría, radiografías, montaje de sus dientes en modelos especiales en articulador y toda una serie de fotos de la boca del paciente. También realizamos unos estudios virtuales llamados SET UP, que permiten visualizar el movimiento de los dientes en modelos virtuales, y el VTO, Virtual Treatment Objetives. Todo para conseguir nuestro máximo objetivo: una oclusión perfecta que garantice la salud buco dental del paciente a lo largo de toda su vida.
También analizamos la clase esquelética del paciente, cómo están colocados los huesos faciales; la clase dental, como muerde el paciente ya que tenemos 2 mordidas que hay que tener muy claras: la de contacto de todos los dientes y la de posición de reposo muscular o de relación céntrica; examinamos el perfil del paciente y por último determinamos su estado de crecimiento. Con este mapa exhaustivo de datos ya podemos tomar una decisión y empezar el tratamiento.
En el siguiente vídeo puedes ver cómo es una buena oclusión.
La Mordida Perfecta
El Tratamiento de Ortodoncia con Extracciones
La ortodoncia es la rama de la odontología que se dedica al diagnóstico y tratamiento de los problemas dentales en la forma, posición o relación de las estructuras de los dientes. Por ende, el ortodoncista debe prevenir, detectar y corregir los posibles problemas de posición dental para garantizar una boca funcional y sana. No solo es la posición de los dientes la que debe corregirse. También puede ser que la mordida esté desviada o que el paladar deba ensancharse. Otros datos importantes son la pericia y experiencia del profesional, por un lado, y la urgencia del tratamiento, por otro.
Antes de proceder con cualquier tratamiento de ortodoncia, es fundamental realizar un estudio completo de la boca del paciente. Este estudio incluye radiografías panorámicas y de perfil, fotografías intraorales y escaneado intraorales (antiguos modelos de escayola de la boca). Este análisis detallado ayuda al ortodoncista a determinar si es necesario realizar extracciones dentales para lograr los resultados deseados.
Las extracciones normalmente se realizan una vez que se han colocado los brackets para poder empezar a cerrar los espacios de extracción cuanto antes. Una vez finalizado el tratamiento, el espacio quedará totalmente cerrado y será imperceptible la ausencia de tales piezas.
Análisis Necesarios para la Decisión de Extraer Dientes
Los rayos X nos ofrecen una descripción completa de la estructura ósea del paciente, a través de ellos, podemos visualizar la estructura dental y también la conexión con la mandíbula. Es importante poder ver en forma integral la magnitud del problema a resolver para conocer a la perfección las zonas de apoyo, lo que se desea desplazar y hacia dónde dirigir esos movimientos.
Es importante contar con un buen registro de fotos que sirvan de referencia sobre cómo se ve la boca y la mordida; si a simple vista se nota alguna asimetría esquelética, se puede tomar registro de frente y perfil, con boca abierta y cerrada, entre otras opciones. Gracias a los avances tecnológicos, se pueden tomar fotos en diferentes ángulos y con distintas luces que garanticen una visión completa de cada perfil.
En base a moldes tomados al paciente, se realizan modelos de dentadura para tener una idea completa de la estructura dentaria y la forma de mordida que presenta.
El Porqué de las Extracciones en Ortodoncia
Si bien se debe realizar siempre un análisis exhaustivo de las características particulares de la boca a tratar, existen algunos padecimientos o particulares casos que se resuelven, en su gran mayoría, con la extracción de una o varias piezas dentales.
- Apiñamiento dental severo: Es una de las situaciones más comunes en las que se requiere una extracción dental en ortodoncia. Es decir cuando los dientes a simple vista se notan superpuestos o amontonados.Generalmente, en estos pacientes se decide realizar la extracción de algún premolar que proporcione un poco de espacio, ya que algunas piezas han invadido el lugar de otras. En pacientes con apiñamiento severo, se puede llegar a realizar la extracción de hasta 4 premolares. Con el fin de generar el espacio necesario para corregir el alineamiento de los dientes y la proporción de la mordida.
- Maloclusión: Otro caso en el que se puede precisar una extracción es en aquellos casos en los que hay una mordida incorrecta o maloclusión en la que el paciente no se quiere realizar cirugía ortognática, o bien no es un caso tan severo para entrar a quirófano, pero no es suficiente con elasticos y microtornillos para lograr una correcta mordida.
- Corrimiento de la línea media: Otra malformación que precisa con regularidad de la extracción de alguna pieza es cuando se presenta un corrimiento de la línea media. Es decir, que se ve a simple vista que los dientes que deberían continuar la línea de la nariz se han corrido para un costado o para el otro. En ocasiones, tanto la mordida de arriba como la de abajo tienen el mismo corrimiento, pero a veces, la asimetría es dispar y la mordida de abajo puede haberse corrido hacia un costado y la de arriba hacia el otro.
- Dientes con problemas: Por último, los dientes con problemas como caries, fracturas o exposición del nervio pueden requerir extracción antes de iniciar un tratamiento de ortodoncia.
Para solucionar este problema con el centro fuera de eje, por lo general se recurre a la extracción de las piezas que permitan correr hacia el lado que corresponda la línea media para lograr, así, la simetría en la sonrisa. Por lo general, los dientes a extraer son los premolares que se ubican delante de las muelas y detrás de los colmillos. Son los que primordialmente se eligen porque son piezas repetidas y que, por su ubicación estratégica, ofrecen ciertas ventajas en relación con el movimiento de los dientes delanteros.
En resumen, se debe evaluar el contexto integral de la boca que se está tratando para valorar si corresponde realizar una extracción y, en caso de que así sea, también se debe seleccionar adecuadamente cuál es la pieza que más conviene extraer.
¿Qué Dientes se Extraen?
Traducionalmente, en ortodoncia se suelen extraer los premolares para crear espacio y alinear correctamente los dientes en la boca. En adultos con apiñamiento inferior severo y mordida bien engranada, a veces optamos por extraer un incisivo inferior. En cualquier caso, la decisión final sobre qué pieza dental extraer va a depender del caso particular del paciente y de los objetivos del tratamiento ortodóncico.
Los dientes que se extraen con mayor frecuencia por motivos de ortodoncia son los primeros dientes bicúspides, los premolares. Estos son los dientes que se encuentran justo entre los caninos o colmillos y los molares o muelas.
Beneficios de la Ortodoncia con Extracciones
La ortodoncia con extracciones no solo mejora la estética dental sino también la funcionalidad. Al eliminar dientes, se crea espacio para que los demás se alineen correctamente, lo que facilita una mejor mordida y reduce el riesgo de problemas dentales futuros. Además, al alinear los dientes correctamente, se mejora la higiene bucal ya que es más fácil limpiar entre los dientes, reduciendo así el riesgo de caries y enfermedades de las encías.
Además, de la ventaja estética del perfil y la ventaja de inserción de los dientes dentro del hueso, el paciente tiene la ventaja de que las muelas del juicio superiores, que antes no tenían suficiente espacio para poder erupcionar de manera natural, ahora sí lo tienen.

Consideraciones Antes de Realizar Extracciones
Antes de decidir realizar extracciones, es fundamental realizar un estudio detallado de la estructura dental y ósea del paciente. Es necesario considerar la edad, el crecimiento de los huesos faciales y la cantidad de apiñamiento dental. Además, se debe evaluar el impacto estético y funcional de las extracciones en el perfil del paciente.
Siempre que realizamos extracciones intentamos que el perfil mejore o si está correcto que no se modifique.
Un profesional de comprobada especialización y vasta experiencia, podrá determinar la conveniencia de realizar extracciones en un tratamiento de ortodoncia.
¿Se Pueden Evitar las Extracciones Dentales?
Aunque no hay que tener miedo y son una buena solución, dentro del mundo de la ortodoncia, hay que señalar que un diagnóstico precoz es la mejor manera de evitar las extracciones dentales.
Actualmente, con los nuevos sistemas de ortodoncia, es posible evitar las extracciones dentales en la mayoría de los casos. Si existe una gran falta de espacio que no es posible corregir por otros sistemas, como la expansión de las arcadas, mediante la extracción de uno o dos dientes se puede conseguir el espacio suficiente para alinear correctamente el resto.
En algunos casos, sí. Dependiendo de la estructura ósea y el tipo de mordida, se pueden usar técnicas como disyuntores, stripping interproximal o microtornillos para ganar espacio sin recurrir a extracciones.
¿Si te Quitan Dientes Puedes Tener Problemas a la Hora de Comer o Hablar?
Las extracciones dentales requieren de un protocolo adecuado. No extraemos ninguno de los dientes implicados en alguna de las funciones básicas de la boca, así sólo quitamos los dientes premolares que son muelas pequeñas. Quedan intactos los incisivos que intervienen en el habla, los caninos que son fundamentales en la función masticatoria y los molares que son los encargados de triturar los alimentos. Siempre extraemos de 2 a 4 dientes para mantener la simetría de la boca y elegimos los que tienen una corona clínica más pequeña, los que están más dañados o desgastados, o los que nos van a ayudar más a realizar el tratamiento.
¿Después de las Extracciones Dentales se Nota que te Faltan Dientes?
En los tratamientos de ortodoncia las extracciones de dientes no nos deben asustar, primero porque no afectan a ninguna función de la boca y segundo porque no se notan en la sonrisa.
El Resultado del Tratamiento de Ortodoncia con Extracciones
Una vez finalizado el tratamiento conseguimos los objetivos marcados:
- Espacios de extracciones perfectamente cerrados: En todos los casos el espacio de las extracciones queda completamente cerrado y no se vuelve a abrir con el paso de los años. Sin riesgo de que vuelvan a abrirse con el tiempo.
- Corrección de la protrusión de los dientes superiores: Incisivos superiores en posición correcta y no salidos o adelantados. Llevar los incisivos superiores a su posición correcta ya que estaban al comienzo muy adelantados.
- Alineamiento correcto de los dientes superiores: Un alineamiento correcto.
- Corrección de la línea media y mejora de la sonrisa: Centrar la línea media superior hacia la derecha del paciente y que ésta coincidiese con la línea inferior.
Al finalizar el tratamiento, colocamos un retenedor removible de uso nocturno en la arcada superior y combinamos un retenedor fijo y otro removible también de uso nocturno en la arcada inferior.
Al ser un tratamiento con extracciones la posición de los dientes no está forzada y los resultados tanto en el plano estético como en plano funcional son los adecuados.
