En el mundo del espectáculo y el deporte, la apariencia es fundamental. La búsqueda de una sonrisa perfecta ha llevado a un aumento de famosos con Invisalign. En los últimos años, el número de famosos con ortodoncia invisible se ha mantenido en auge. Son muchos los famosos con Invisalign, orientados a corregir problemas dentales.

Los famosos con Invisalign pueden obtener grandes resultados mientras disfrutan de la comodidad y la estética que ofrecen estos alineadores.
¿Por qué tantos famosos eligen la ortodoncia invisible?
A la hora de elegir un tratamiento ortodóntico, la preocupación por la estética es fundamental, especialmente para aquellos que están bajo el permanente escrutinio público. Simple, una sonrisa vale más que mil palabras, de ahí la importancia para los personajes públicos de cuidar su boca. De la misma manera que cuidamos nuestro cuerpo y lo mantenemos en buena forma durante todo el año, debemos hacer lo mismo con nuestra boca. Hoy en día, gracias a los tratamientos dentales, tener una sonrisa sana y perfecta es posible.
Los famosos con ortodoncia invisible encuentran múltiples beneficios que les permiten cuidar su imagen mientras corrigen sus sonrisas de manera eficaz.
Beneficios clave:
- Comodidad: A diferencia de los brackets, los alineadores son más cómodos y no generan irritaciones en la boca.
- Los alineadores de ortodoncia invisible están confeccionados de manera personalizada, lo que proporciona un ajuste cómodo.
- Estudios han demostrado que Invisalign puede ser igual de efectivo que los métodos tradicionales para corregir una variedad de problemas ortodónticos. Esto brinda confianza a quienes buscan una sonrisa perfecta sin dificultades.
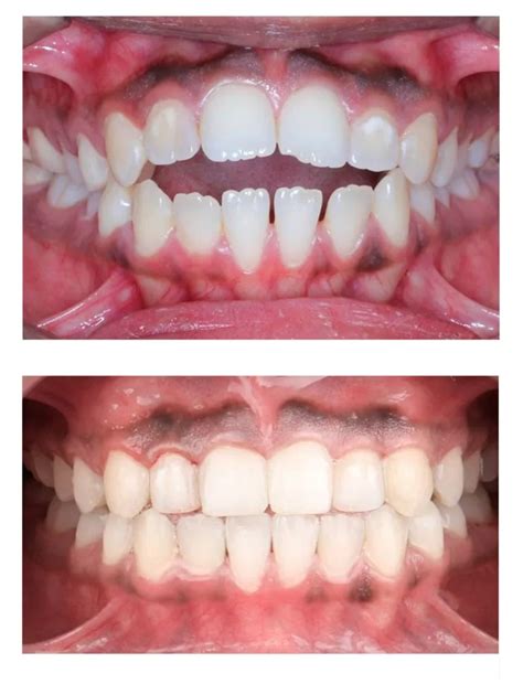
¿COMO FUNCIONA LA ORTODONCIA INVISIBLE INVISALIGN? ¡ASI MUEVEN LOS DIENTES LOS ALINEADORES DENTALES!
Casos Destacados de Famosos con Invisalign
Los resultados de un buen tratamiento dental son más perceptibles cuando lo hacen las personas populares ya que al estar expuestos constantemente a las continuas miradas, comprobar la ortodoncia antes y después famoso es más evidente. Actores, futbolistas, cantantes, personas de la realeza, personajes televisivos, tops models… son famosos con ortodoncia invisible.

Veamos algunos ejemplos concretos:
- Tom Cruise: Un ícono del cine, eligió el tratamiento de Invisalign para corregir la alineación de sus dientes. Su decisión fue impulsada por el deseo de evitar los brackets metálicos que podrían interferir con sus actuaciones. Tom Cruise nunca tuvo unos dientes perfectos.
- Justin Bieber: Uno de los artistas más influyentes de su generación, se ha sumado a la tendencia de famosos con Invisalign durante su adolescencia. Este tratamiento contribuyó a su característica sonrisa.
- Katy Perry: Conocida por su potente voz y su presencia escénica, también optó por Invisalign en su juventud.
- Zac Efron: Conocido por su atractivo, también se sometió a tratamiento con Invisalign. Su elección fue motivada por la necesidad de cerrar un diastema.
- Emma Watson: Reconocida por su papel en la saga de ‘Harry Potter’, también destaca en el listado de famosas con ortodoncia invisible.
- Serena Williams: La tenista Serena Williams también ha utilizado alineadores invisibles. Su sonrisa perfectamente alineada complementa su potente presencia en el deporte.
- Kendall Jenner y Khloé Kardashian: También forman parte de la lista de famosos con invisalign, conscientes de la importancia de su estética.
- La talentosa cantante Billie Eilish ha compartido abiertamente su experiencia con Invisalign.
Famosos españoles con Invisalign:
Algunos famosos españoles con Invisalign que no te imaginarías son:
- Amaia Salamanca: La actriz española, es una de los famosos con ortodoncia, que recurría además a un blanqueamiento dental para lucir una de las sonrisas más bonitas del país.
- Dani Martín: Este cantante también apostó en su día por ser uno de los famosos con ortodoncia invisible, apuesta de lo más acertada ya que ahora luce unos dientes perfectos.
- Mariló Montero, David Broncano y Nuria Roca: También han recurrido a Invisalign para mejorar su sonrisa de manera discreta.
- Incluso en la realeza, el rey Juan Carlos de España y la reina Máxima de Holanda han utilizado Invisalign.
Invisalign: ¿Qué es y cómo funciona?
Invisalign es un tratamiento diseñado para corregir diversos problemas dentales. Invisalign son unos alineadores transparentes hechos de plástico que se moldean según la alineación de tus dientes, mediante un escáner en 3D tomamos la impresión dental antes de fabricarlos.

A pesar de que los alineadores están hechos de plástico transparente, el material con el que están fabricados (SmartTrack) es sólido, de modo que puede aplicar presión a los dientes para obligarlos a moverse poco a poco y corregir la posición. Los alineadores de Invisalign se cambian cada 7-10 días aproximadamente. Esos alineadores aplicarán la presión necesaria esos días para que se vayan produciendo los movimientos hasta que tus dientes estén en la posición correcta.
Problemas dentales que corrige Invisalign:
- Los dientes torcidos son una de las razones más comunes para buscar tratamiento ortodóntico.
- La sobremordida ocurre cuando los dientes superiores sobresalen respecto a los inferiores.
- Los diastemas son espacios entre los dientes que pueden resultar en una sonrisa poco convencional.
El sistema invisalign famosos es, como decíamos, uno de los más reconocidos y usados entre las personas más influyentes de todo el mundo. Artistas y personalidades internacionales como Eva Longoria, Justin Bieber, Gisele Bündchen, Tom Cruise…, son muchos de los que se suman a esta tendencia cada vez más popular, Invisalign famosos, tratamiento que se está extendiendo a las personas de a pie, debido a su precio asequible y sobre todo a los resultados exitosos.
Más allá de Invisalign: Otros Tratamientos Dentales Populares entre Famosos
Además de Invisalign, existen otros tratamientos que los famosos utilizan para lograr una sonrisa perfecta:
Carillas Dentales
Las carillas dentales son finas láminas de porcelana o composite que se adhieren a la superficie de los dientes para corregir defectos estéticos como el color, la forma o el tamaño. Es probable que alguna vez hayas visto una alfombra roja o una historia en redes sociales y te hayas preguntado: ¿Cómo logran los famosos tener una sonrisa tan blanca, alineada y natural? El secreto está en las carillas dentales.

Algunos famosos apuestan por carillas ultrafinas (como las Lumineers), que apenas requieren tallado dental. Las carillas dentales también llamadas facetas dentales son unas pequeñas laminas que se pegan en la parte más externa de los dientes con el fin de mejorar la estética de la sonrisa. Es algo parecido a una pegatina que se pega al diente y se puede colocar tanto en los dientes superiores como inferiores. Requieren una mínima preparación y en algunos casos ni siquiera hace falta preparar el diente. Generalmente las que más se utilizan son las carillas de composite, que pueden realizarse directamente en la clínica dental y las carillas de cerámica que requieren una preparación en el laboratorio.
Blanqueamiento Dental
El blanqueamiento dental es un procedimiento no invasivo que ayuda a eliminar manchas y decoloraciones en los dientes, devolviéndoles su brillo natural. La cantante Miley Cyrus ha dejado atrás los dientes manchados y ha optado por un blanqueamiento dental para lograr una sonrisa radiante.
Implantes Dentales
Los implantes dentales son una solución duradera para reemplazar dientes perdidos. Consisten en la colocación de una raíz artificial de titanio en el hueso maxilar, sobre la cual se coloca una corona dental personalizada.
La Importancia de la Salud Bucal y la Estética Dental
La salud bucal y la estética dental juegan un papel crucial en la trayectoria profesional de los individuos. Una sonrisa bien alineada y cuidada no solo mejora la apariencia exterior, sino que también tiene un efecto notable en la autoestima. Esta autoconfianza puede ser un factor determinante para alcanzar metas profesionales y establecer relaciones laborales sólidas.
La primera impresión es fundamental en el ámbito profesional. Los compañeros de trabajo y clientes suelen valorar la estética, y una sonrisa atractiva puede facilitar la confianza en un profesional.
Consejos para mantener una sonrisa impecable:
- Realiza una buena higiene bucal en casa: Cepilla tus dientes al menos dos veces al día con una pasta dental de calidad, utilizando técnicas adecuadas de cepillado.
- Visita regularmente a tu dentista: Programa citas regulares con tu dentista para realizarte limpiezas profesionales y revisiones dentales completas.
- Evita malos hábitos que puedan dañar tus dientes: Evita morder objetos duros, como lápices o hielo, que puedan causar fisuras o fracturas en tus dientes.
- Adopta una alimentación saludable: Consumir una dieta equilibrada, rica en vitaminas y minerales esenciales para la salud dental, puede contribuir a mantener tus dientes y encías en buen estado.
Transformaciones Notables en Famosos Españoles
En el mundo de la fama, los famosos españoles también buscan tener una sonrisa perfecta. A través de tratamientos dentales como carillas, blanqueamientos, ortodoncia invisible e implantes dentales, han logrado transformaciones asombrosas en su aspecto dental. Una sonrisa perfecta es un atractivo indiscutible, y los famosos españoles no han pasado por alto este hecho.
Algunos ejemplos incluyen:
- La reconocida actriz Penélope Cruz ha pasado por un notable cambio en su aspecto dental.
- El carismático actor George Clooney también ha experimentado una mejora notable en su sonrisa.
- La actriz y modelo Paula Echevarría ha sido otra de las famosas españolas que ha decidido mejorar su sonrisa.
- El reconocido artista J Balvin también ha sido protagonista de una transformación en su aspecto dental.
El Caso de Cristiano Ronaldo: Una Transformación Integral
La imagen de Cristiano Ronaldo ha cambiado mucho desde que fuera canterano del Sporting de Portugal. El portugués ha pasado de ser un patito feo a uno de los hombres más deseados, y sigue siéndolo a sus 39 años. Su cuerpo y su cara son el reclamo de muchas firmas para que protagonice sus campañas publicitarias y es por ello que el portugués sabe lo importante que es su imagen en su carrera.

Consciente de que quería lucir unos dientes cuidados, se puso en manos del conocido dentista Miguel Stanley, que cuenta con una lista de clientes de lo más exclusiva en la que se encuentran los nombres de rostros tan conocidos como Kate Hudson, Gwyneth Paltrow, Cameron Diaz o Gisele Bündchen. En unos pocos meses consiguió convertir su dentadura desordenada en una sonrisa perfecta.
El odontólogo Iván Malagón ha explicado que Cristiano Ronaldo se realizó un tratamiento de ortodoncia previo, que no sólo consiguió que sus dientes lucieran más ordenados, sino que era necesario para que a este futbolista de élite no se le inflamaran tanto las encías por las cargas que estaba transmitiendo a sus dientes.
tags: #famosos #con #ortodoncia