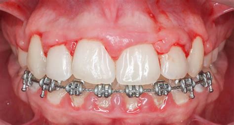
La hiperplasia gingival, también conocida como agrandamiento gingival, se manifiesta como un incremento en el volumen de la encía, afectando tanto su altura como su grosor. Este crecimiento anormal puede acarrear diversas complicaciones, tales como dolor al masticar, dificultades en la deglución, alteraciones del habla, sangrado gingival, problemas periodontales y modificaciones en la oclusión dental.

La hiperplasia gingival asociada a medicamentos es una reacción adversa relacionada con el uso sistémico de varios fármacos del tipo de la fenitoína, ciclosporina y antagonistas del calcio, especialmente nifedipino. Estos medicamentos son estructuralmente distintos, pero tienen en común la acción de inhibir la captación celular de calcio, mecanismo que se considera implicado en la patogenia de la hiperplasia gingival.
La hiperplasia gingival de origen farmacológico se describió por primera vez en 1939 en un paciente epiléptico que recibía tratamiento prolongado con fenitoína. Con posterioridad, desde el inicio de los años 1980 y hasta nuestros días se describieron algunos casos asociados a la utilización de ciclosporina, nifedipino y otros medicamentos, en su mayoría relacionados con los anteriores.
Uno de los factores de riesgo que contribuye al desarrollo de HG es la presencia de placa dental y gingivitis por una mala higiene bucal.
Patogénesis de la Hiperplasia Gingival
Por el momento no se conoce con precisión la patogénesis de la hiperplasia gingival, siendo su etiología desconocida; su desarrollo se ha relacionado con diversos factores, como: inflamación, uso de algunos fármacos, neoplasias, alteraciones hormonales, deficiencia de vitamina C, etc. En la hiperplasia gingival inducida por estos fármacos, las lesiones se presentan con características clínicas e histológicas similares, observándose una variación en la respuesta entre pacientes y dentro del mismo paciente, lo que sugiere la existencia de una posible predisposición genética.
Apreciándose un aumento de la actividad fibroblástica con un incremento de la matriz extracelular del tejido conectivo gingival. Este aumento crónico del volumen de los tejidos gingivales, que usualmente comienza a nivel de las papilas gingivales interdentales anteriores, para extenderse a continuación al sector posterior de la boca, adquiriendo la encía un aspecto lobulado. En general, la hiperplasia gingival afecta de forma más importante al maxilar superior que al maxilar inferior. Después de algunos años, en algunos pacientes, la encía puede aumentar de volumen hasta recubrir casi todas las piezas dentarias.
La hiperplasia gingival causa dolor en la masticación, alteración en la deglución, trastornos del habla, hemorragia gingival, alteraciones periodontales, oclusión dentaria y daños estéticos.
El agrandamiento del volumen de la encía aparece generalmente a partir de los tres meses del inicio de la administración del fármaco, y ocurre con más incidencia en la parte anterior mandibular, sobre todo en la encía marginal y en la papila, de forma que crecen ligeramente y sangran con facilidad. A medida que incrementa el tiempo de administración y/o la dosis del fármaco, el agrandamiento gingival será aún mayor, pudiendo producirse las alteraciones funcionales y estéticas anteriormente descritas.
Diagnóstico
El diagnóstico de hiperplasia gingival de origen farmacológico es generalmente fácil, ya que suele tratarse de una afectación grave de la encía tras varios años de evolución. El aspecto clínico fibroso de la encía es característico independientemente del medicamento que la origine. Si bien, hay que descartar otras posibles causas de hiperplasia gingival, como: alteraciones hormonales, embarazo, ciertas neoplasias, algunas leucemias, entre otras. La incidencia de hiperplasia gingival en la población general es de un 4% a un 7,5%.
Fármacos Asociados a la Hiperplasia Gingival
Antiepilépticos: Fenitoína
La hiperplasia gingival puede afectar hasta un 50% de los pacientes tratados con fenitoína. Se caracteriza por la presencia de inflamación y una importante respuesta fibrótica, sin que se identifique una mayor pérdida de hueso alveolar. Se manifiesta en los primeros meses de tratamiento y aparece con mayor frecuencia en niños. Se desconoce el mecanismo subyacente a su desarrollo, aunque se ha implicado al principal metabolito de la fenitoína, la 5-(4-hidroxifenil)-5-fenilhidantoína.
Algunos autores relacionan el grado de agrandamiento con la dosis, duración del tratamiento y los niveles plasmáticos de fenitoína; sin embargo, otros no apoyan la existencia de esta correlación. La gravedad de la hiperplasia gingival se ha relacionado con la presencia de placa dental como consecuencia de una higiene bucodental defectuosa.
Otros antiepilépticos que también se han asociado a hiperplasia gingival, son: ácido valproico, carbamazepina, fenobarbitona y vigabatrina. No obstante, la incidencia de presentación del cuadro parece mucho más baja que la descrita con fenitoína.
Inmunosupresores: Ciclosporina
Resulta bien conocida la relación entre la utilización de ciclosporina y desarrollo de hiperplasia gingival. Este agente inmunosupresor que actúa suprimiendo la respuesta celular inmune, se prescribe de forma frecuente para aumentar la supervivencia de pacientes sometidos a trasplante renal o de médula ósea, así como para el tratamiento de enfermedades autoinmunes como la artritis reumatoide y enfermedades dermatológicas.
Aunque en una revisión se estimó una incidencia de hiperplasia gingival asociada a ciclosporina en torno al 30% de los pacientes trasplantados, los valores descritos en la bibliografía oscilan desde un 7% a un 70%. La presencia de placa dental puede agravar la hiperplasia gingival; siendo importante para prevenirla o minimizarla una buena higiene bucal. La hiperplasia gingival suele ser reversible después de reducir la dosis de ciclosporina o tras su retirada; si bien, esto no es posible en todos los casos, por lo que se recomienda la escisión quirúrgica.
Algunos agentes antimicrobianos como metronidazol, claritromizina y azitromicina se han empleado para tratarla. En concreto, la azitromicina ha mostrado su eficacia en un estudio realizado en pacientes sometidos a trasplante renal; si bien, se precisa de más evidencia para poder establecer su papel en la terapéutica de esta enfermedad.
Antagonistas del Calcio: Nifedipino
La hiperplasia gingival es uno de los efectos adversos asociados con mayor frecuencia a la utilización de los antagonistas del calcio y, en especial a las dihidropiridinas: nifedipino, felodipino, amlodipino. Así, este grupo de antagonistas del calcio se contó entre los fármacos asociados con mayor frecuencia a hiperplasia gingival en la base de datos del Australian Adverse Drug Reactions Advisory Committee; siendo nifedipino, el que la origina en mayor número de casos, después de tratamientos de larga duración.
En un reciente estudio epidemiológico controlado, realizado en pacientes tratados con nifedipino, la incidencia fue del 6%; si bien, en otros trabajos la hiperplasia gingival que aparece entre el primer y noveno mes de tratamiento se ha estimado entre 0,5% y 83%. El agrandamiento gingival se resuelve tras la retirada del fármaco, siendo la mala higiene bucal un factor agravante del cuadro.
Otros antagonistas del calcio tales como diltiazem, verapamilo, amlodipino, felodipino, manidipino, nicardipino y nitrendipino también se han asociado a hiperplasia gingival, aunque con una menor incidencia. En un reciente estudio se ha señalado que, aunque la patogénesis de la hiperplasia gingival por antagonistas del calcio sea desconocida, existen evidencias que la relacionan con un proceso inflamatorio asociado al polimorfismo del gen MDR1.
A la vista de lo anterior, reemplazar un antagonista del calcio por otro en muchas ocasiones no prevendría las recurrencias. Teniendo que considerar la utilización de alternativas de diferente grupo terapéutico que no se asocien a hiperplasia gingival.

Prevención y Tratamiento
La hiperplasia gingival originada por medicamentos es un proceso patológico que requiere un tratamiento combinado. En primer lugar es importante evitar cuando sea posible el empleo de los medicamentos que la originan o reemplazarlos por alternativas que presenten una eficacia similar. Así, la fenitoína podría sustituirse por un antiepiléptico que presente una baja incidencia de hiperplasia gingival (carbamazepina o ácido valproico), la ciclosporina se podría sustituir por tacrolimus y los antagonistas del calcio por otras alternativas que no se asocien a hiperplasia gingival.
En los casos en los que no sea posible retirar o sustituir el medicamento que origine la hiperplasia gingival, puede realizarse una gingivectomía; no obstante, al no poder retirar el agente causal, tras la intervención quirúrgica pueden aparecer recidivas a los 3-6 meses o incluso al año. Por ello, los controles post-operatorios frecuentes de salud periodontal contribuirán a prevenir o minimizar la recurrencia de la lesión.
Aunque la asociación entre placa bacteriana y desarrollo/gravedad de la hiperplasia gingival es controvertida, las medidas higiénicas bucodentales estrictas y las visitas regulares al dentista para la limpieza del sarro, podrían reducir la gravedad de la hiperplasia gingival; considerándose estas medidas como coadyuvantes, pero nunca como determinantes en el tratamiento de la enfermedad.
Es importante informar a los pacientes del posible efecto adverso, así como de las medidas preventivas que estarían indicadas para reducir la gravedad de las lesiones, como: higiene bucodental estricta y revisiones dentales para la limpieza del sarro.
El tratamiento del agrandamiento gingival inducido por fármacos debe abordar diferentes aspectos:
- Higiene oral exhaustiva: Esta medida puede ser eficaz en pacientes con agrandamiento gingival leve o moderado. Se debe realizar en clínica dental, mediante raspado y alisado radicular, y en el domicilio, con buena higiene bucal y el uso de antisépticos con clorhexidina.
- Sustitución del fármaco: por otro de eficacia similar y menor riesgo de agrandamiento gingival, siempre y cuando sea posible. Así, la fenitoína podría sustituirse por carbamazepina o ácido valproico, la ciclosporina por tacrolimus y el nifedipino por otro antagonista del calcio con menor riesgo como el verapamilo. En cualquier caso, debe ser el médico quien realice la evaluación beneficio/riesgo de la posible sustitución. Es la medida más eficaz. Para algunas sustituciones, ha supuesto la regresión a la casi normalidad en 4 meses. Esta medida no siempre puede aplicarse ya que el buen control de otra patología con la medicación que ha provocado el agrandamiento puede hacer que no sea aconsejable su cambio.
- Gingivectomía: En casos más severos y cuando no sea posible aplicar las medidas anteriores, puede estar indicada la escisión del exceso de tejido y restauración del contorno gingival mediante una gingivectomía. Existe el riesgo de recidivas si no se retira la medicación que provocó el agrandamiento gingival en hasta un 40% de los pacientes.
La placa bacteriana o biofilm es un factor presente en todas las patologías que implican inflamación periodontal y su presencia exacerba los cambios en el contorno gingival, por lo que se considera un cofactor de riesgo en la hiperplasia gingival inducida por medicamentos. La gravedad del agrandamiento gingival está correlacionada con una higiene bucal deficiente. Hay que tener en cuenta que en los pacientes con agrandamiento gingival se hace más difícil llevar una correcta higiene bucal, por lo que el problema puede agravarse.
Además, existen otros factores de riesgo que pueden influir en la aparición y desarrollo del agrandamiento gingival como la edad (los niños y los adolescentes son más susceptibles) y la predisposición genética.

Se ha comprobado que la hiperplasia se produce con mayor frecuencia en hombres jóvenes, especialmente si descuidan o realizan mal la higiene bucal diaria. Entre las causas que agravan la hiperplasia gingival se encuentra la mala higiene bucal que provoca la acumulación de biofilm dental por encima y por debajo de las encías. En el acto de combatir la infección causada por el biofilm, las encías se agrandan hasta el punto de sangrar.
La hiperplasia también puede surgir debido al embarazo, como consecuencia de los cambios hormonales a los que normalmente está sometida la mujer embarazada. Cuando el estado inflamatorio gingival está causado por una de estas situaciones, se observará una regresión de la propia hiperplasia a medida que se trate y mejore la condición.
Existen también ciertos compuestos farmacéuticos como la ciclosporina, el nifedipino y la fenitoína han sido identificados como moléculas directamente responsables de la aparición de la hiperplasia gingival. Aparece el dolor, cuyo tipo e intensidad puede variar, el enrojecimiento del tejido gingival, el sangrado, etc.
La falta de higiene resultante de la incapacidad de mantener un cuidado adecuado de los dientes conduce a un aumento de la concentración bacteriana. Si la hiperplasia es inducida por fármacos, la modalidad de intervención consiste en el control médico, con la reducción o interrupción del fármaco causante del agrandamiento y su sustitución por otro equivalente. Después, es necesario esperar entre 6 y 12 meses para que las encías vuelvan a su tamaño normal.
La inflamación debe tratarse por separado mediante una terapia no quirúrgica. Si la terapia no quirúrgica resulta insuficiente, el dentista puede recurrir a la gingivectomía o a la cirugía plástica mucogingival. La operación no suele tener ninguna contraindicación particular, y muestra un buen éxito cuando se utilizan técnicas especiales como el láser, que reduce la hemorragia local.
Aquí tienes una tabla resumen de los fármacos asociados a la hiperplasia gingival y su incidencia:
| Fármaco | Indicación | Incidencia de Hiperplasia Gingival |
|---|---|---|
| Fenitoína | Anticonvulsivante | Hasta 50% |
| Ciclosporina | Inmunosupresor | 7% - 70% |
| Nifedipino | Bloqueante de los canales de calcio | 0.5% - 83% |
MANEJO MULTIDISCPILARIO DE AGRANDAMIENTO GINGIVAL EN ADOLESCENTES CON TRATAMIENTO DE ORTODONCIA FIJA
tags: #fenitoina #hiperplasia #gingival