Las carillas dentales se han convertido en un tratamiento estético muy popular, especialmente entre los famosos que buscan una sonrisa impecable de manera rápida y mínimamente invasiva. Una sonrisa blanca y natural, con proporciones y formas que se ajusten al rostro, es el resultado que ofrecen las carillas dentales.

¿Por Qué los Famosos Recurren a las Carillas Dentales?
Las carillas dentales ofrecen múltiples beneficios estéticos y de salud, además de ser fáciles de colocar. A continuación, exploramos las principales razones por las que este tratamiento es tan popular entre las celebridades:
Corrigen Alteraciones en los Dientes
Las carillas dentales pueden corregir diversas alteraciones en el aspecto y la forma de los dientes. Son capaces de enmascarar dientes fracturados, leves deformaciones y alteraciones en la disposición de las piezas dentales. Así, son una solución para pequeños problemas de oclusión o de separación entre dientes. Por ejemplo, las carillas dentales se pueden utilizar en casos no demasiado pronunciados de diastema, que es la separación entre los dientes delanteros.
En el caso de dientes muy pequeños, las carillas consiguen modelar su forma y darles unas proporciones armónicas con el rostro.
Tapan Defectos de Forma de los Dientes
Existen varios problemas relacionados con la fractura o forma de un diente que pueden solucionarse con las carillas dentales. Basta con pulir el diente y colocar la carilla en la pieza dañada para lograr un resultado perfecto en una sesión.
En los famosos españoles con fundas dentales de composite, se aplica directamente el conglomerado de resinas sobre la superficie y se va moldeando la forma deseada para la pieza dental. Las carillas dentales son seguras para nuestras encías, no ocasionando ningún daño en el tejido gingival.
En problemas como el bruxismo, las carillas dentales son una buena solución al desgaste en nuestros dientes que produce el rechinar de dientes propio de esta enfermedad. Una vez corregidos con carillas, poner una férula de descarga para pacientes con bruxismo protegería y evitaría la fractura de las carillas dentales.
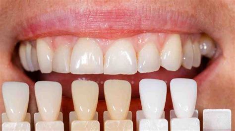
Corrigen el Color de los Dientes
Las carillas dentales permiten enmascarar manchas y el color amarillento de las piezas dentales, siendo esta una razón de peso por la que los famosos recurren a las carillas dentales. Se está trabajando en nuevos materiales que permiten ajustar el color del diente para que la carilla dental se mimetice con el resto de tu sonrisa. De esta forma no se podrá apreciar qué piezas llevan carillas y cuáles no.

Mejoran el Aspecto de la Sonrisa
Las carillas dentales aportan brillo y conservan la translucidez original de nuestros dientes. Permiten tener una sonrisa de un color blanco radiante sin que resulte artificial. En este sentido, las de porcelana son las que nos permiten lucir un aspecto más natural.
Gracias a estas carillas dentales podemos eliminar manchas y devolver el color original a nuestros dientes teñidos por causa del tabaco, alimentos ricos en colorantes u otras causas. No obstante, se deben evitar este tipo de alimentos y llevar a cabo una correcta higiene bucodental.
Corrigen Problemas Leves
Las carillas dentales se convierten en una buena alternativa a la ortodoncia en casos de oclusión leve o separación entre los dientes, siempre que estas alteraciones sean muy pequeñas.
Las carillas de composite son un tratamiento de estética dental, es una fina capa de resina sintética que se adhiere al diente. Es un tratamiento económico, con respecto a las carillas de porcelana, y es una material que puede durar entre 5 y 7 años. Las carillas de composite son un tratamiento estético poco agresivo y muy seguro. Se utilizan para mejorar el color de los dientes, la forma o el tamaño. Está indicado para aquellos pacientes que quieran mejorar su sonrisa y eliminar los pequeños defectos o anomalías de los dientes.
¿Conoces los TIPOS de CARILLAS DENTALES? ✨ El mejor tratamiento ESTÉTICO para tu sonrisa👄
Tipos de Carillas Dentales
Existen principalmente dos tipos de carillas dentales:
- Carillas de Composite: Se realizan con resina sintética y se aplican directamente sobre el diente. Son más económicas y fáciles de retocar, pero pueden durar entre 5 y 7 años.
- Carillas de Porcelana: Ofrecen un aspecto más natural y son más duraderas. Requieren un proceso de fabricación en laboratorio y son más costosas.
Cuidados y Mantenimiento de las Carillas de Composite
Las carillas de composite requieren ciertos cuidados para alargar su vida útil:
- Higiene Bucodental: Es importante llevar una rutina higiénica estricta para cuidar las carillas.
- Revisiones Dentales: Para poder comprobar el estado de las carillas es necesario acudir al odontólogo cada 6-12 meses.
- Alimentación: A pesar de que las carillas son un material resistente, existe una serie de alimentos que pueden dañar o fracturar las carillas de composite.
Tratamiento con Carillas Dentales en Madrid: Rápido, Estético y Sin Dolor
El tratamiento con carillas dentales en Madrid es mínimamente invasivo y se realiza en pocas sesiones. En nuestras clínicas ofrecemos:
- Primera valoración personalizada → estudio digital y planificación del caso.
- Diseño de sonrisa → el paciente visualiza cómo quedará su sonrisa antes de empezar.
- Colocación de carillas dentales → en tan solo 2-3 sesiones obtienes un resultado natural, funcional y estético.
Además, con las carillas sin tallado en Madrid, es posible mejorar la sonrisa sin desgastar el esmalte, preservando la salud dental y evitando el dolor.
¿Por Qué Elegir una Clínica Especializada en Carillas Dentales en Madrid?
Para realizar el tratamiento de carillas dentales en Madrid es imprescindible acudir a un profesional. Esto se debe a que la zona bucodental es muy importante no solo de manera física, sino para todo, ya que es el conducto principal para la alimentación y la comunicación, entre otros.
- Especialistas en carillas en Madrid: Nuestro equipo cuenta con formación avanzada y experiencia en técnicas innovadoras, lo que nos permite ofrecer los mejores resultados.
- Tecnología de última generación: Gracias a herramientas digitales, mostramos al paciente el diseño de su sonrisa antes de iniciar el tratamiento.
- Resultados naturales y duraderos: Las carillas dentales permiten corregir el color, la forma y el tamaño de los dientes, logrando un acabado totalmente natural.
DentaLARROQUE: Su Clínica Dental de Confianza en Boadilla del Monte y Majadahonda
En DentaLARROQUE, ubicadas en Boadilla del Monte y Majadahonda, no somos simplemente una clínica dental, sino un lugar diseñado para brindarte una experiencia personalizada en un entorno excepcional. Somos un equipo de profesionales apasionados, dinámicos y experimentados que se esfuerzan por ofrecer un enfoque innovador, siempre persiguiendo la excelencia.
Confía en nuestros expertos odontólogos, preocupados tanto por la funcionalidad como por la belleza de tu sonrisa. Juntos, alcanzaremos el equilibrio perfecto entre salud oral y una estética envidiable. ¡Sonríe con confianza! Descubre la libertad de sonreír como siempre has deseado. En DentaLARROQUE, nos dedicamos a crear sonrisas perfectas que reflejen tu verdadera belleza. Por lo tanto, nuestros expertos en odontología trabajarán contigo de cerca para entender tus deseos y necesidades únicas. Desde la corrección de imperfecciones hasta la restauración completa, te ayudaremos a alcanzar la sonrisa de tus sueños. Definitivamente, recupera tu confianza.
Tratamientos Dentales en DentaLARROQUE
Nuestras clínicas DentaLARROQUE ofrecen una amplia gama de servicios dentales que abarcan desde el cuidado bucal de rutina hasta tratamientos más complejos y específicos, como la estética dental, ortodoncia, cirugía y periodoncia, entre otros. De hecho, contamos con técnicas avanzadas y tecnología de vanguardia que permiten a nuestros profesionales ejercer su profesión con la máxima precisión. Por esto mismo, nos enorgullece poder ofrecer una atención personalizada y adaptada a tus necesidades.
Nuestros servicios incluyen:
- Ortodoncia
- Prótesis Dental
- Periodoncia
- Endodoncia
- Bruxismo
- Ronquidos y Apnea del sueño
Valores que Nos Definen
- Atención personalizada: Comprometidos a escucharte atentamente y establecer una relación de confianza mutua.
- Un servicio a medida: Durante tu primera cita nos enfocaremos en conocerte, entender tus necesidades y diseñar un plan de tratamiento personalizado que se adapte a ti.
- Trato exclusivo: Garantizamos la confidencialidad absoluta en cada uno de nuestros servicios. Además, estamos orgullosos de ofrecer una experiencia de atención de primer nivel.
- Siempre en busca de la excelencia: Contamos con un servicio que garantiza resultados excepcionales para nuestros valiosos pacientes.
| Beneficio | Descripción |
|---|---|
| Corrección de Alteraciones | Enmascaran dientes fracturados y deformaciones leves. |
| Corrección de Color | Enmascaran manchas y amarilleamiento. |
| Mejora del Aspecto | Aportan brillo y translucidez natural. |
| Corrección de Problemas Leves | Alternativa a la ortodoncia en casos de oclusión leve. |
En clínica dental DentaLARROQUE, la excelencia es nuestro estándar.