La ferulización dental es un procedimiento odontológico que consiste en unir dos o más piezas dentales para darles estabilidad y evitar su movilidad. Esta técnica se utiliza en diversos casos, desde el mantenimiento de los resultados de un tratamiento de ortodoncia hasta la estabilización de dientes afectados por enfermedades periodontales o traumatismos.
Existen diferentes técnicas y motivos para realizar una ferulización dental, y la elección de la técnica dependerá del tipo de tratamiento que se vaya a realizar.
FERULAS DENTALES: APRENDE Todo sobre la FERULIZACIÓN en Boca!
¿Cuándo está Indicada la Ferulización Dental?
- Tras finalizar el tratamiento de ortodoncia: Para impedir que los dientes corregidos vuelvan a su posición inicial.
- Tras traumatismo dental: Para estabilizar dientes que han sufrido una luxación.
- Dientes comprometidos periodontalmente: Para evitar la caída de dientes con movilidad debido a la pérdida de hueso y encía.
- Preparación para una cirugía ortognática: Para evitar movimientos en los dientes durante la cirugía de los huesos maxilares.

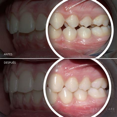
Ferulización dental después de ortodoncia.
Técnicas de Ferulización Dental con Resina
La técnica más empleada para la ferulización dental con resina es la colocación de un alambre, generalmente entre canino y canino, en la parte interior de los dientes. Este alambre se une a cada uno de los dientes mediante composite, creando un retenedor lingual que evita que los dientes se muevan.
Otra opción es utilizar una férula removible transparente, hecha a medida para cada paciente. Sin embargo, su eficacia depende de la colaboración del paciente, ya que si se deja de usar durante un tiempo, los dientes pueden moverse.
En casos de traumatismos dentales o dientes comprometidos periodontalmente, la ferulización puede realizarse mediante un alambre y composite, solo composite o fibra de vidrio.
Tipos de Férulas de Composite
- Extracoronarias íntegramente de resina: Reversibles, conservadoras y estéticas, pero con problemas de mantenimiento y poca resistencia a fuerzas de cizallamiento.
- Extracoronarias de alambre y composite: Reversibles y flexibles, pero pueden causar problemas oclusales y son menos estéticas que las de resina.
- Extracoronarias con composite y una red de polietileno entretejido reforzado: Sencillas y conservadoras.
- Extracoronarias de rejilla metálica y composite: Sencillas, conservadoras, reversibles y de estética aceptable.
- Extracoronarias de fibra de vidrio y composite (CRF): Buenas propiedades ópticas, permiten capas finas de composite y son muy estables.
- Intracoronarias de alambre y composite: Férulas fijas rígidas con mínima reducción de las piezas, buena estabilidad y estética aceptable.

Ferulización dental con composite y alambre.
Tabla Comparativa de Tipos de Férulas Extracoronarias de Composite
| Tipo de Férula | Ventajas | Desventajas | Indicaciones |
|---|---|---|---|
| Íntegramente de resina | Reversible, conservadora, estética | Problemas de mantenimiento, poca resistencia | Corto o medio plazo |
| Alambre y composite | Reversible, flexible | Problemas oclusales, menos estética | Sectores anterior y posterior |
| Red de polietileno y composite | Sencilla, conservadora | - | - |
| Rejilla metálica y composite | Sencilla, conservadora, reversible, estética aceptable | - | Temporal |
| Fibra de vidrio y composite (CRF) | Buenas propiedades ópticas, estable | - | - |
Cuidados y Mantenimiento de la Ferulización Dental
Como en todo tratamiento odontológico, es fundamental una buena higiene y un buen cuidado de la ferulización. En el caso de llevar alambre, es importante limpiar cuidadosamente alrededor del alambre y en la encía para evitar la acumulación de restos de alimentos y placa.
En cuanto a los retenedores removibles, es aconsejable limpiarlos con un cepillo de dientes diferente al que se emplea para la higiene bucodental, agua y jabón neutro cada vez que se quiten de la boca. Conviene secarlos tras su lavado para evitar la acumulación de sarro y saliva, así como el mal olor.
Además, es importante realizar visitas regulares al dentista o periodoncista para mantener la férula y asegurar el cuidado dental apropiado.
Ferulización Diente-Implante: Una Alternativa Terapéutica
En algunos casos, se plantea la posibilidad de unir protésicamente un diente y un implante. Sin embargo, es importante tener en cuenta las diferencias biomecánicas entre ambas estructuras. El diente consta de un elemento amortiguador que es el ligamento periodontal, mientras que el implante carece de este ligamento.
Existen diferentes diseños para la ferulización diente-implante, desde conexiones semirrígidas hasta conexiones rígidas. La elección del diseño dependerá de las necesidades de cada paciente y de la evaluación del profesional.

Ferulización diente-implante.
Conclusión
La ferulización dental con resina es una técnica efectiva para estabilizar dientes con movilidad causada por traumatismos, enfermedad periodontal o tratamientos de ortodoncia. Existen diferentes técnicas y materiales disponibles, y la elección dependerá de las necesidades de cada paciente. Es fundamental mantener una buena higiene y realizar visitas regulares al dentista para asegurar el éxito del tratamiento.