El fibroma oral es una entidad clínica que puede surgir en la cavidad bucal, presentándose como una lesión que, aunque generalmente benigna, requiere atención y evaluación por parte de profesionales de la salud dental.

¿Qué es un Bulto en la Encía?
¿Alguna vez has notado un bulto en la encía y te has preguntado qué podría ser? Los bultos en las encías pueden ser una fuente de preocupación para muchas personas, pero en la mayoría de los casos, no son una emergencia dental. En este artículo, exploraremos qué es un bulto en la encía, sus posibles causas, los diferentes tipos, los tratamientos disponibles y cómo prevenir su aparición.
Es muy habitual que el bulto en la encía aparezca de manera espontánea y sin previo aviso. Esto hace que quien lo sufre lo note rápidamente y su preocupación aumente. Para tranquilizarte, debes saber que estas heridas en los tejidos periodontales suelen ser leves, siempre y cuando se pongan en manos de un dentista especializado con rapidez.
Si has notado algún bulto en la boca es normal que el examen bucodental que realicemos sea algo más exhaustivo. El principal objetivo será el de analizar el motivo por el que se ha formado la herida y, así, poder ofrecerte un tratamiento dental a medida.
Causas Comunes de Bultos en las Encías
Existen diversas razones por las cuales puede aparecer un bulto en la encía. Una de las causas más comunes son las infecciones bacterianas. Una infección puede originarse a partir de una caries no tratada, una enfermedad periodontal o una herida en la boca. También puede deberse a un trauma o una irritación constante en la encía, como el uso de prótesis mal ajustadas o el hábito de morderse las mejillas, pueden causar la formación de bultos.
Tipos de Bultos en las Encías
Los bultos en las encías pueden variar en tamaño, consistencia y gravedad.
- Absceso dental: Es una acumulación de pus causada por una infección bacteriana. Puede ocurrir en la raíz de un diente o en las encías, y a menudo se acompaña de dolor, hinchazón y fiebre.
- Quiste dental: Es una bolsa llena de líquido que puede formarse en la encía o alrededor de la raíz de un diente muerto o afectado.
- Fibroma: Es un crecimiento benigno del tejido conectivo en las encías. Suele ser indoloro y puede ser causado por irritación o trauma constante.
- Granuloma piogénico: Es un crecimiento benigno que aparece como una masa roja y sangrante en la encía.

Fibroma Oral: Características y Diagnóstico
El fibroma oral es una masa de tejido fibroso que puede desarrollarse en varias áreas de la cavidad bucal. Aunque su origen preciso no siempre es claro, ciertos factores como la irritación crónica, el estrés mecánico o la presión constante pueden contribuir a su formación.
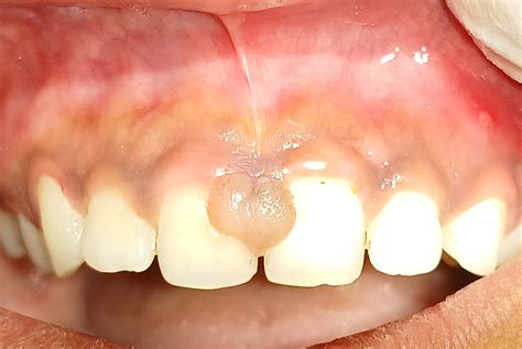
Apariencia y sensación: Se presenta como una masa sólida y firme, a menudo con una apariencia rosada o similar al color de las encías.
El fibroma bucal, también conocido como fibroma traumático o fibroma irritativo, es una lesión benigna de tejido conectivo caracterizada por una proliferación focal de fibroblastos y colágeno. Se presenta como una masa nodular bien delimitada en la mucosa oral y, habitualmente, aparece como respuesta adaptativa del tejido blando de la cavidad bucal frente a un estímulo irritativo crónico.
Los fibromas bucales suelen encontrarse en áreas propensas al trauma repetitivo, como la mucosa yugal (cara interna de las mejillas), el borde lateral de la lengua, el labio inferior y la encía.
A pesar de su denominación, el fibroma bucal rara vez corresponde a un tumor fibroso primario. En la mayoría de los casos, se origina como consecuencia de una respuesta hiperplásica del tejido conjuntivo frente a irritaciones físicas, químicas o mecánicas de carácter repetitivo.
El fibroma bucal se manifiesta clínicamente como una lesión nodular de tamaño variable que puede oscilar entre los 5 mm y los 2 cm de diámetro.
Sintomatología: Por lo general, asintomática. La inspección visual y palpación permiten identificar las características antes descritas.
Diagnóstico del Fibroma Oral
El diagnóstico del fibroma oral implica una evaluación exhaustiva por parte de un profesional, visitando tu clínica dental en Málaga.
- Revisar la historia clínica del paciente: Recopila información sobre la historia clínica del paciente, incluyendo la duración y cambios en la lesión, así como cualquier síntoma asociado.
- Examen clínico: Se realiza un examen clínico, visual y táctil de la lesión para evaluar su tamaño, textura y ubicación.
El examen histopatológico de una biopsia escisional constituye el método diagnóstico definitivo.
Tratamiento del Fibroma Oral
El tratamiento del fibroma oral puede variar según la naturaleza y tamaño de la lesión.
El tratamiento para un bulto en la encía depende de la causa subyacente. Para un absceso dental, el dentista puede realizar un drenaje para eliminar el pus y aliviar la presión y el dolor. Los quistes y fibromas pueden requerir una pequeña intervención quirúrgica para ser removidos. Esta cirugía es generalmente rápida y se realiza bajo anestesia local.
En casos de infecciones menores o irritaciones, el dentista puede recetar enjuagues bucales antibacterianos o antiinflamatorios para reducir la inflamación y prevenir infecciones adicionales.
El tratamiento de elección es siempre quirúrgico, acompañado de la eliminación de los factores causales para evitar recidivas. Consiste en la escisión completa de la lesión, habitualmente bajo anestesia local.
El control postoperatorio, y el seguimiento postquirúrgico, nos permitirá evaluar la correcta cicatrización y descartar complicaciones. Tras su escisión completa, el pronóstico del fibroma bucal es excelente.
👉 ¿Sabes cómo se quita un BULTO en la ENCÍA? 👄 TIPOS de bulto y CÓMO ELIMINARLOS
Tratamientos Específicos
- Fibroma u otros bultos benignos: Se solucionan con una pequeña cirugía ambulatoria. El dentista o cirujano oral adormecerá la zona con anestesia local y recortará el tejido fibroso del bulto. Es un procedimiento rápido y generalmente curativo (no suele reproducirse si se elimina el factor irritante).
- Absceso dental / flemón: Aquí el objetivo es drenar la infección y eliminar su origen. El dentista puede hacer una pequeña incisión en la encía para drenar el pus (o a veces el pus ya sale por la fístula). Seguramente te recetará antibióticos para controlar la infección bacteriana. Pero eso es solo el primer paso: luego hay que tratar el diente causante. Si el absceso vino de una caries profunda, habrá que realizar una endodoncia (tratamiento de conducto) para limpiar la infección dentro de la raíz, o en casos muy avanzados, extraer el diente si está destruido. Si el origen fue periodontal (de la encía), se hará un curetaje o limpieza profunda de esa bolsa periodontal infectada. Cada caso se evalúa individualmente. Lo importante: resolver tanto el síntoma (bulto de pus) como la causa (diente o encía enfermos).
- Quiste mucoso (mucocele): Si el mucocele no se va solo y está muy presente, el odontólogo puede extirparlo fácilmente. Se retira el saco mucoso y a veces la glándula salival implicada para que no reincida. Es una cirugía menor con anestesia local.
- Enfermedad periodontal: En caso de abscesos por gingivitis/periodontitis, el tratamiento consiste en una limpieza profesional exhaustiva. Se eliminan las placas de sarro y bacterias bajo la encía (raspado y alisado radicular). Esto suele resolver la infección local. Adicionalmente, se pueden recetar enjuagues antibacterianos o antibiótico sistémico dependiendo de la severidad.
- Lesiones sospechosas o inusuales: Si el dentista ve que el bulto tiene una apariencia atípica (por ejemplo, un crecimiento de tejido irregular, ulcerado, que sangra fácil), podría recomendar una biopsia. Esto implica tomar un pequeño fragmento del tejido bajo anestesia local y enviarlo al patólogo para análisis. Es la forma de descartar condiciones como lesiones pre-malignas o malignas.

Prevención de Bultos en las Encías
Prevenir la aparición de bultos en las encías es posible con buenos hábitos de higiene oral y cuidados preventivos. Por otro lado, es importante realizar chequeos dentales regulares, al menos cada seis meses, permite a tu dentista detectar y tratar problemas en etapas tempranas. Además, si usas prótesis dentales, asegúrate de que estén bien ajustadas y no causen irritación.
Medidas Preventivas
- Higiene oral rigurosa: Cepíllate los dientes después de cada comida (al menos dos a tres veces al día) con una técnica adecuada. No olvides cepillar la línea de la encía y la lengua. Usa hilo dental diariamente para remover la placa y restos entre dientes donde el cepillo no llega. Completa tu rutina con un enjuague bucal antibacterial (por ejemplo, con clorhexidina en periodos cortos, o enjuagues con flúor para protección anticaries).
- Visitas periódicas al dentista: Acude a revisiones dentales al menos una vez al año (mejor si son dos). Tu dentista puede detectar caries ocultas o signos iniciales de enfermedad de encías antes de que causen un flemón o bulto.
- Protección ante irritaciones: Si usas prótesis removibles, asegúrate de que estén bien ajustadas; acude a tu dentista si te rozan o provocan úlceras en la encía (así evitas fibromas por prótesis mal ajustadas). Si estás en ortodoncia y algún bracket o alambre te hiere la encía, no dudes en comunicarlo a tu ortodoncista; mientras tanto, utiliza la cera de ortodoncia sobre el aparato para minimizar el trauma.
- Alimentación y hábitos saludables: Llevar una dieta equilibrada, rica en vitaminas y minerales, fortalece tus tejidos y sistema inmune, ayudando a combatir infecciones. Evita el exceso de azúcar (reduce el riesgo de caries y abscesos).
Tabla Resumen: Causas, Características y Tratamientos de Bultos en Encías
| Causa del bulto | Características típicas | Tratamiento recomendado |
|---|---|---|
| Absceso dental (flemón) con fístula | Bulto blando con pus (punto blanco/amarillo), puede supurar líquido con mal sabor. A veces no duele por el drenaje, encía alrededor rojiza o hinchada. Suele asociarse a diente con caries profunda o infección. | Drenaje del absceso y antibiótico. Tratamiento del diente causante: endodoncia (si el diente es salvable) o extracción en casos extremos. Si es periodontal: limpieza profunda de encías. |
| Fibroma (lesión benigna) | Bulto duro y redondeado, de color rosado como la encía. Indoloro; molesta solo por su presencia. No supura ni cambia rápido de tamaño. Causado por irritación crónica (prótesis, brackets, mordeduras). | Extirpación quirúrgica ambulatoria (sencilla, con anestesia local) si crece o molesta. Eliminar el factor irritante (ajustar prótesis, evitar mordedura, etc.) para prevenir recidiva. |
| Quiste mucoso (mucocele) | Bultito blando, contenido líquido mucoso. Aspecto translúcido o azulado, puede cambiar de tamaño (a veces revienta y reaparece). No duele. Más frecuente en labio, pero posible en encía. | Puede reabsorberse espontáneamente en días/semanas. Si persiste, extirpación quirúrgica. |
Conociendo estos datos sobre el fibroma, podemos determinar que es una afección benigna que no requiere del uso de antibióticos. El tratamiento que se recomienda para curar el fibroma es su extirpación definitiva y su posterior limpieza. Pero, además, es necesario tener en cuenta que para evitar su reaparición es fundamental eliminar la causa de su origen.
En Dental Roca, estamos aquí para ayudarte a cuidar tu sonrisa y tu salud bucal. Llámanos cuando quieras.
En nuestra clínica dental en Toledo nos aseguramos de ofrecerte un tratamiento personalizado y a medida, que acabe con cualquier lesión oral que presentes.
El fibroma bucal constituye una lesión reactiva benigna muy frecuente en la práctica clínica odontológica y médica.
La eliminación quirúrgica, acompañada del manejo de los factores causales, asegura una resolución definitiva y previene recidivas.
Las lesiones benignas de la cavidad oral son motivo frecuente de consulta tanto en atención primaria como en odontología especializada. Entre ellas, el fibroma bucal se presenta como una de las proliferaciones benignas más comunes de los tejidos blandos orales.
La correcta gestión del fibroma bucal es esencial en el ámbito de la salud dental. La detección temprana y el seguimiento adecuado son factores clave para evitar complicaciones y garantizar el bienestar del paciente.
tags: #fibroma #encia #tratamiento #natural