¿Te ha aparecido un bulto en la encía? ¿Sabías que puede tratarse de una fístula dental? En este artículo, te explicamos cuáles son sus características, a qué se debe y qué tratamientos existen para eliminarla. La salud dental es una parte fundamental de nuestro bienestar general. En este artículo, examinaremos las causas por las que se producen las fístulas dentales, así como sus posibles consecuencias en caso de no ser tratadas adecuadamente.

¿Qué es una Fístula Dental?
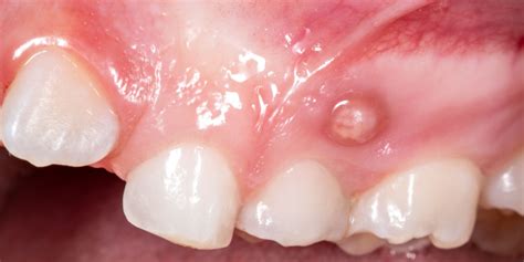
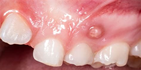
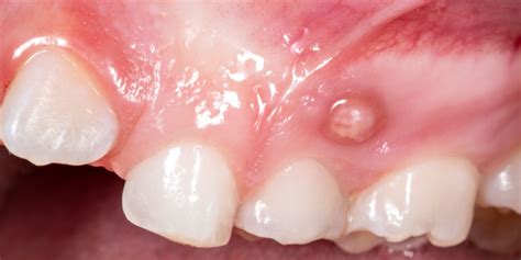
Una fístula dental es una afección oral que implica la formación de un conducto anormal entre el diente y el exterior de la boca. Una fístula dental es una pequeña abertura o canal anormal que se forma en la encía o en la región cercana a la raíz de un diente infectado. Una fístula es un canal anormal, formado entre dos órganos o entre un órgano y la superficie corporal. Cuando hablamos de una fístula de carácter dental, se refiere a la aparición de un canal que conecta algún tejido blando de la boca (encías, paladar blando, lengua, piso de la boca, labios, área periapical y región submandibular.) con superficies de la mucosa oral (superficie de las encías, superficie interna de los labios y de las mejillas, el paladar duro y blando, superficie de la lengua y el tejido bajo la lengua.), como el resultado de una infección desatendida, que se expandió desde los tejidos internos, hacia la salida exterior más próxima, para drenar el pus. La fístula dental tiene el aspecto de una ampolla llena de pus en la boca, similar a un grano de pus.
En Dental Care Barcelona, sabemos perfectamente la preocupación que puede generar una fístula dental en las personas. Este problema dental, que se caracteriza por una infección que crea un conducto entre el diente y el exterior de la boca, puede ser muy doloroso y preocupante para nuestros pacientes.
Una fístula dental es un pequeño bulto que aparece en la encía o el paladar como consecuencia de una infección oral. Con menos frecuencia, también puede surgir en la cara o el cuello. Asimismo, se caracteriza por la supuración de pus. Por último, puede ir acompañada de dolor o fiebre.
👉 ¿Sabes cómo se quita un BULTO en la ENCÍA? 👄 TIPOS de bulto y CÓMO ELIMINARLOS
Fístula o Flemón
Es posible que no tengas clara la diferencia entre estas dos afecciones que se caracterizan por un abultamiento en la encía.
Causas de la Fístula Dental
La formación de una fístula dental puede ser el resultado de distintos motivos y causas. Las fístulas dentales pueden tener varias causas, pero generalmente están asociadas con problemas de salud oral que han progresado sin tratamiento adecuado.
La creación de una fístula dental se produce debido a la propagación de una infección en el diente o en los tejidos circundantes. Normalmente, la infección se origina en el interior del diente, en la pulpa dental, donde se encuentra el tejido blando, los nervios y los vasos sanguíneos.

La caries dental es una de las principales causas de las fístulas dentales. Cuando las bacterias presentes en la placa dental interactúan con los azúcares y almidones de los alimentos, producen ácidos que erosionan el esmalte dental. Con el tiempo, esta erosión puede crear orificios en el esmalte, conocidos como caries. Si no se tratan, las caries pueden penetrar en las capas más profundas del diente, llegando a la pulpa dental, donde se encuentran los nervios y los vasos sanguíneos.
La principal causa de una fístula dental es la falta de tratamiento de una infección dental. Las caries no tratadas pueden dañar el esmalte y la dentina del diente, llegando hasta la pulpa dental, donde se encuentra el tejido blando y los vasos sanguíneos.
Infecciones bacterianas en la boca, como la periodontitis o la pulpitis, también pueden provocar la formación de fístulas dentales. La periodontitis es una enfermedad de las encías que afecta los tejidos que rodean y soportan los dientes. Si no se trata, puede provocar la destrucción del tejido óseo y la formación de bolsas periodontales que actúan como reservorios de bacterias.
Los traumatismos dentales, como golpes o caídas, también pueden desencadenar la formación de fístulas dentales. Un traumatismo en un diente puede dañar el tejido pulpar y provocar una infección que se propague a través de la raíz del diente hacia los tejidos circundantes.
Las fístulas están asociadas con enfermedades periodontales avanzadas que no han recibido el tratamiento adecuado. Este tipo de fístulas indican la presencia de pus debajo de la línea de las encías.
Están asociadas a infecciones en la pulpa dentaria, el tejido blando con vasos sanguíneos y nervios, que se encuentra dentro de cada diente y lo mantiene unido a la mandíbula.
En estos casos, las fístulas pueden formarse en la boca debido a la inflamación crónica y a las úlceras que caracterizan la enfermedad de Crohn.
Los traumatismos o golpes directos en la mandíbula pueden causar daños en la pulpa del diente y exponerla, pueden lesionar el tejido gingival, causar necrosis o darle movilidad al diente. En todos estos casos, es posible que se produzca una infección de los tejidos blandos de la cavidad bucal, específicamente de la pulpa o de las encías.
- Caries profunda: es la causa principal de la mayoría de fístulas dentales. La caries se va extendiendo hasta atravesar el nervio y llegar a la raíz del diente. Cuando el pus se acumula, busca un canal de salida hacia los tejidos blandos de la encía.
- Traumatismo: por último, recibir un golpe en la cara podría llegar a causar una infección y necrosis del nervio y una fístula.
Síntomas de una Fístula Dental
Una fístula dental puede manifestarse a través de varios síntomas que indican la presencia de una infección en el diente o en los tejidos circundantes. Es importante saber detectar estos síntomas para buscar atención dental inmediata y recibir el tratamiento adecuado. Una fístula dental puede manifestarse a través de varios síntomas que indican la presencia de una infección en el diente o en los tejidos circundantes.
El dolor es uno de los síntomas más característicos de una fístula dental. Puede manifestarse como un dolor punzante, pulsátil o constante en el área del diente afectado. Este dolor puede empeorar al masticar, hablar o aplicar presión sobre el diente comprometido.
Un absceso dental es una acumulación de pus causada por una infección bacteriana en el tejido dental. En el caso de una fístula dental, el absceso puede manifestarse como una protuberancia roja y dolorosa en las encías cerca del diente afectado. Esta protuberancia puede estar acompañada de sensibilidad al tacto y al calor, así como de hinchazón en el área circundante.
Los pacientes con fístulas dentales también pueden experimentar cambios en el sabor y olor de la saliva. Esto se debe a la presencia de pus y desechos bacterianos que se acumulan en el conducto de la fístula y se mezclan con la saliva.
Síntomas: Al principio, las encías se inflaman ligeramente y enrojecen. Con el tiempo, la fístula dental se llena de pus y aparece un dolor punzante. Si se aplica mucha presión, el pus drena hacia la cavidad oral.
Cuando se forma la fístula dental, aún no causa dolor. Al principio, la zona afectada se hincha. Las encías se enrojecen y hay una sensación de tensión en el diente. A continuación, se forma una ampolla en la encía, encima o debajo del diente afectado, que se llena de pus a medida que avanza. La fístula dental empieza a palpitar y doler. Puede que incluso se te hinche la cara del lado afectado y te duela la cabeza.
Consecuencias de no tratar una Fístula Dental
Las fístulas dentales pueden tener diversas consecuencias que afectan tanto la salud bucal como la calidad de vida del individuo.
Dolor e inflamación: Una de las primeras señales de una fístula dental es el dolor en la zona afectada. La infección en la raíz del diente puede provocar sensibilidad al calor y al frío, así como dolor constante o punzante.
Abscesos dentales: La presencia de una fístula dental puede dar lugar a la formación de abscesos dentales.
Mal aliento: La infección asociada a una fístula dental puede causar mal aliento persistente, también conocido como halitosis.
Movilidad dental: En algunos casos, las fístulas dentales pueden provocar una pérdida gradual de soporte dental, lo que resulta en una mayor movilidad de los dientes afectados.
Propagación de la infección: Si no se trata adecuadamente, las fístulas dentales pueden permitir la propagación de la infección a estructuras vecinas, como el hueso, los tejidos blandos o los dientes adyacentes.
Cuando primero se forma una infección, luego un absceso y por último este escala a una fístula, la atención médica dental debe ser inmediata, ya que se corre un alto riesgo de que la infección se propague a los tejidos adyacentes. Dependiendo del lugar donde apareció la fístula, los tejidos cercanos afectados podrían ser las mejillas, el cuello o la mandíbula.
La sepsis es la propagación de una infección no controlada hacia el torrente sanguíneo.
Diagnóstico de la Fístula Dental
Para diagnosticar esta afección, el dentista examinará el bulto y hará una radiografía oral para evaluar su tamaño y su alcance. El diagnóstico de una fístula dental generalmente se realiza mediante un examen clínico realizado por un dentista.
Durante el examen, el dentista examinará detenidamente su boca y buscará hinchazón, enrojecimiento, lesiones y otras anomalías en las encías. A continuación, realiza una prueba de frío para comprobar si la raíz o el nervio del diente siguen siendo plenamente funcionales o ya han muerto. Si el diente está sano, al paciente le resultará desagradable el frío y reaccionará en consecuencia. A continuación, se realiza una radiografía de la mandíbula para que el dentista pueda reconocer si los huesos maxilares ya están afectados por la inflamación y dónde se encuentra exactamente el foco inflamatorio.
Nuestro dentista examinará la cavidad oral y buscará signos de inflamación, abscesos o salidas de pus cerca de los dientes afectados.
En el examen físico, se revisan la boca, dientes y encías del paciente, en busca de signos que indiquen la presencia de infección, inflamación o daño.
Para identificar correctamente la presencia de pus o dolor, el dentista aplica presión en las áreas de mayor riesgo de infección, como las encías.
A través de la radiografía se examinan los dientes, las raíces de los dientes y el hueso alveolar subyacente a cada uno. En presencia de una fístula, la imagen de rayos X evidencia la extensión y profundidad de esta.
Tratamientos para la Fístula Dental
Una vez realizado el diagnóstico, el tratamiento dependerá de la causa subyacente y la gravedad de la infección. El tratamiento de una fístula dental se centra en eliminar la infección y restaurar la salud del diente afectado.

Cuando la causa de la fístula dental es una caries profunda que ha llegado al nervio, lo más probable es que el odontólogo recomiende llevar a cabo una endodoncia. Este tratamiento de conductos del diente tiene la finalidad de retirar el nervio y sellar los canales cuando la infección ha llegado al interior de la pieza dental.
En casos graves de fístula dental, donde el daño al diente es extenso o el tratamiento endodóntico no es posible, puede ser necesario extraer el diente afectado.
Si la fístula dental está causada por una caries, se procederá a tratarla mediante la eliminación del tejido afectado y la aplicación de un empaste. En casos en los que la infección ha afectado la pulpa dental y el tejido interno del diente, se puede requerir un tratamiento de conducto. En situaciones más graves, cuando el diente está severamente dañado o no es viable para el tratamiento, puede ser necesario extraerlo.
De forma paralela a estos tratamientos, el dentista podría prescribir antibióticos para tratar la infección subyacente. Si el origen de la fístula está relacionado con una enfermedad periodontal avanzada, el dentista realizará un tratamiento específico para eliminar la infección y otros focos de bacterias presentes en la boca. Por otro lado, si sufres una patología periodontal, es aconsejable que te hagas limpiezas profesionales o mantenimientos periodontales con cierta frecuencia.
- Eliminación de la fuente de infección: Si la fístula dental está causada por una caries, se procederá a tratarla mediante la eliminación del tejido afectado y la aplicación de un empaste.
- Tratamiento de conducto: En casos en los que la infección ha afectado la pulpa dental y el tejido interno del diente, se puede requerir un tratamiento de conducto.
- Extracción dental: En situaciones más graves, cuando el diente está severamente dañado o no es viable para el tratamiento, puede ser necesario extraerlo.
Tipos de Tratamientos
- Tratamiento de la infección: El dentista tratará la infección dental subyacente mediante la eliminación de la caries, el drenaje del absceso o la realización de un tratamiento de conducto en caso de infección en la raíz del diente.
- Extracción dental: En algunos casos, si el diente afectado está gravemente dañado o no se puede salvar, puede ser necesario extraerlo.
- Cirugía bucal: En situaciones más complejas, puede ser necesario realizar una cirugía bucal para eliminar la infección y reparar los tejidos dañados.
Durante una fístula dental, este tejido se infecta y rápidamente expande la infección hacia el tejido sano. Gracias a esto, el tratamiento de conducto es la primera opción para tratar fístulas que han afectado la raíz del diente.
La extracción es un tratamiento menos común porque implica la pérdida total del diente, a diferencia de la endodoncia que solo elimina el área afectada del diente, pero sin eliminarlo todo.
Después de una extracción dental, se le ofrecen alternativas al paciente para el reemplazo de esa pieza dental, de modo que evite perder la funcionalidad y esteticidad de la sonrisa.
Durante la intervención quirúrgica, se realiza una incisión en la zona inflamada donde se concentra el absceso y se drena el pus que este contiene, para detener la expansión de la infección.
Prevención de la Fístula Dental
El mejor modo de prevenir cualquier infección oral consiste en mantener una buena higiene dental a diario. De tal forma, se evita la acumulación de bacterias y, por lo tanto, la aparición de placa. Esta es la que, con el paso del tiempo, ocasiona sarro y aumenta el riesgo de padecer caries, gingivitis, etc.
La prevención es clave cuando se trata de fístulas dentales. Mantener una buena higiene oral es fundamental para prevenir la aparición de fístulas dentales y otras enfermedades orales.
Una limpieza correcta de los dientes implica el cepillado después de cada comida y el uso de hilo dental una vez al día. Además, es importante evitar el tabaco, el alcohol y el exceso de azúcares en la dieta.

Acudir al dentista de manera regular es fundamental para detectar y tratar cualquier problema dental a tiempo. Ante cualquier signo de dolor, inflamación o sensibilidad dental, es importante buscar atención dental de inmediato.
Las visitas regulares al dentista son esenciales para detectar y tratar problemas dentales en etapas tempranas, antes de que se conviertan en afecciones más graves como las fístulas dentales. El tratamiento oportuno de caries y enfermedades periodontales es crucial para prevenir la formación de fístulas dentales.
Además, es fundamental abordar rápidamente cualquier problema dental, como caries o lesiones, antes de que se vuelvan graves.
La frecuencia adecuada para visitar el dentista es, mínimo, una vez cada seis meses.
Mantener una buena higiene oral: Cepíllate los dientes al menos dos veces al día con un cepillo de dientes de cerdas suaves y utiliza hilo dental para eliminar la placa y los restos de alimentos entre los dientes.
Visitar regularmente al dentista: Acude a revisiones dentales periódicas, al menos cada seis meses, para un chequeo exhaustivo de tu salud bucal.
Tratar las caries y enfermedades periodontales de manera oportuna: Si se detecta una caries dental o enfermedad periodontal, es importante tratarlas de inmediato. Las caries sin tratar y la enfermedad periodontal avanzada pueden causar infecciones y provocar la formación de fístulas dentales.
Evitar el consumo excesivo de alimentos azucarados: Los alimentos ricos en azúcares y carbohidratos pueden aumentar el riesgo de caries dental.
Afortunadamente, tú mismo puedes hacer algo para prevenir la aparición de fístulas dentales. Las infecciones bacterianas responsables del desarrollo de fístulas dentales suelen estar causadas por una higiene bucal deficiente, ya que la placa no se elimina con regularidad o con la suficiente profundidad. Afortunadamente, tú tienes todo el control: puedes prevenir la caries, la gingivitis y la periodontitis prestando especial atención a una higiene bucal completa.
Al igual que las fístulas dentales, que al principio no causan ningún dolor, la inflamación de las encías y la caries . Si la gingivitis, la caries y la periodontitis se tratan a tiempo, no se formarán fístulas dentales.
También puedes someterte a una limpieza dental profesional una o dos veces al año.
Dado que los fumadores tienen un mayor riesgo de sufrir fístulas dentales, ahora es un buen momento para dejar de fumar e iniciar un estilo de vida más saludable.
Esto incluye una dieta sana con abundantes alimentos antiinflamatorios, como fruta y verdura, especialmente jengibre, cúrcuma, guindilla, cebolla y ajo.
Debe evitar en gran medida el azúcar y los llamados carbohidratos "rápidos" (como los que se encuentran en la harina blanca) porque favorecen la inflamación.
Alimentación y Fístulas Dentales
Una alimentación saludable es relevante para prevenir la formación de fístulas dentales y promover la salud bucal en general. La alimentación juega un papel crucial en la salud dental.
Evitar alimentos azucarados: Los alimentos y bebidas azucaradas aumentan el riesgo de caries y pueden contribuir al desarrollo de fístulas dentales.
Los alimentos y bebidas azucarados y ácidos promueven la formación de caries.
Consumir alimentos ricos en calcio y fósforo desde temprana edad aumentan las probabilidades de desarrollar dientes fuertes y un esmalte resistente.
Remedios caseros
Si siente un dolor intenso y necesita acortar el tiempo de espera hasta la cita con el dentista, puede tomar analgésicos sin receta que contengan el principio activo Ibuprofeno . Estos analgésicos tienen un efecto antiinflamatorio.
Algunas personas confían en los enjuagues bucales con té de manzanilla frío. También se dice que el aceite de clavo y el aceite de árbol de té ayudan con los síntomas de las fístulas dentales. Puedes enjuagarte la boca varias veces al día con agua tibia mezclada con dos o tres gotas de aceite.
El ajo y la cebolla tienen un efecto antibacteriano, antimicrobiano y antiinflamatorio. Puedes cortarlos en trozos pequeños y colocarlos sobre la zona afectada durante unos minutos para que se absorban.
Al igual que los remedios caseros, puede utilizar remedios homeopáticos como los glóbulos y las sales de Schüssler para complementar el tratamiento dental. Sin embargo, nunca pueden sustituir al tratamiento con cirugía y/o antibióticos.
¿Cuánto cuesta un mantenimiento periodontal?
En España, según la complejidad del caso, el precio de un mantenimiento periodontal parte de los 145 euros, aproximadamente. Este importe suele incluir un estudio periodontal previo y el curetaje. Sin embargo, el presupuesto puede variar dependiendo de las necesidades específicas del paciente.
| Procedimiento | Precio Aproximado (EUR) |
|---|---|
| Mantenimiento Periodontal (incluye estudio y curetaje) | 145+ |
| Endodoncia | Variable (según la complejidad) |
tags: #fistula #dental #consecuencias