El frenillo labial es una banda de tejido fibroso que une el labio superior con la encía, justo encima de los incisivos centrales superiores. Este frenillo puede variar en longitud y grosor, pudiendo ser demasiado corto en algunos pacientes. Cuando el frenillo labial superior es corto, puede provocar una serie de problemas en las actividades cotidianas.

¿Qué es el Frenillo Labial y Cuál es su Función?
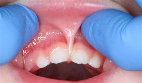
El frenillo labial es una banda de tejido fibroso que parte de la cara interna del labio y va a insertarse sobre la línea media de la encía adherida. Tenemos dos frenillos labiales en la cavidad bucal: el superior y el inferior.
- Frenillo labial superior: Es una banda de tejido fibroso que parte de la cara interna del labio y se inserta sobre la línea media de la encía adherida interincisal del maxilar superior.
- Frenillo labial inferior: Es un repliegue de la mucosa bucal, situado en la línea media, cuya función es conectar el labio inferior con la encía adherida y la papila interincisal inferior.
En el caso del superior, en el nacimiento, este frenillo alcanza la papila palatina (la encía que se encuentra entre los incisivos centrales). Poco a poco, con el crecimiento del niño, el frenillo se mueve progresivamente y se localiza en la zona más superior a los dientes.
El frenillo labial superior une el labio superior con la encía del maxilar en la línea media y da movilidad al labio.
Problemas Causados por el Frenillo Labial Superior Corto
Un frenillo labial superior hipertrófico puede provocar un espacio entre los incisivos centrales más grande de lo habitual. Esto, dará lugar a lo que conocemos con el nombre de diastema interincisal.
Además, junto con un frenillo labial superior hipertrófico, en ocasiones también podemos observar que existe una limitación del movimiento del labio superior o un labio superior corto. Los signos clínicos, junto con un diastema interincisal de 1 a 6 mm o superior, son un labio superior corto y bermellón elevado. En realidad consiste en que el frenillo superior está inflamado.
A veces también ocurre una limitación del movimiento del labio superior, o problemas de autoclisis en el vestíbulo entre el labio y la encía. Es decir, los movimientos involuntarios de la lengua, los labios y los flujos de la saliva que tienen lugar normalmente después de la masticación y la deglución y que provocan el fenómeno de una higiene bucal automática, desaparecen por la falta de espacio en el vestíbulo entre el labio y la encía.
En CIRO, clínica dental en Madrid, conocen de primera mano las consecuencias de esta condición, por lo que nos aseguramos de diagnosticar y realizar la cirugía lo antes posible.
Frenillo Superior en Bebés ¿Operación? ¿Lactancia? 🤱🏽
Estos son los principales problemas que se relacionan con el frenillo labial:
- El frenillo labial superior hipertrófico tiene lugar cuando este se desarrolla en exceso y se une a la parte central del paladar, detrás de los dientes. La mayoría de las veces, a medida que se va desarrollando el hueso, el frenillo se va desplazando hacia la encía hasta perder la unión con el paladar.
- La hipertrofia o un frenillo labial demasiado corto son dos posibles desencadenantes de un frenillo labial superior inflamado. La señal más evidente de esta problemática es una limitación en el movimiento del labio superior o inferior, o bien un labio corto.
- El principal inconveniente de un frenillo más grande de lo normal es que crea un abultamiento entre los dos incisivos centrales, que impide que se unan cuando erupcionan los dientes.
- Igualmente, es posible tender a la respiración bucal por no poder respirar por la nariz.
- Por último, además de la hipertrofia, el frenillo puede romperse. Un golpe o una caída pueden provocar una rotura del frenillo labial, lo que es bastante habitual durante la infancia. Sin embargo, estas lesiones no suelen ser complicadas de tratar. A su vez, este tipo de contusiones también pueden causar dolor en el frenillo labial superior o inferior.
Estas problemáticas del frenillo labial, a largo plazo, pueden comportar ciertas secuelas para la salud bucodental del paciente si no son tratadas de la manera adecuada, como maloclusión dental: una incorrecta alineación de las piezas dentales.
Consecuencias del Frenillo Labial Corto
- Dificultad para pronunciar palabras y sonidos: Un frenillo corto puede limitar el movimiento del labio superior, impidiendo pronunciar correctamente ciertos sonidos y letras. Los sonidos labiodentales (palabras con las letras f y v), bilabiales (palabras con las letras p y b) y aquellas letras que implican el movimiento del labio superior hacia arriba, como la u, no pueden ser pronunciadas correctamente.
- Problemas de alimentación en bebés: Los bebés que tienen un frenillo labial corto pueden tener dificultades para succionar la leche materna, derivando en una serie de problemas: dolor e incomodidad en el periodo de lactancia; ingesta insuficiente de leche; y frustración de la madre por los problemas de alimentación.
- Separación entre los dientes frontales superiores: El frenillo labial corto puede ejercer una tracción sobre los dientes frontales superiores, causando una separación anormal entre ellos, conocida como diastema. Por otro lado, el diastema también puede contribuir a la acumulación de placa entre los dientes y dificultar la masticación y la pronunciación de ciertos sonidos.
- Molestias o dolor al hablar o comer: Un frenillo labial corto puede causar incomodidad o dolor al mover el labio superior en el día a día al hablar, sonreír o comer por la tensión excesiva del labio superior.
¿Cuándo Operar el Frenillo del Labio?
La presencia de un frenillo superior prominente y un diastema (espacio entre los dientes) es motivo de preocupación en muchos padres. Sin embargo, esta situación es considerada “normal” en Odontopediatría en la mayoría de los casos.
Generalmente a partir de los 8-10 años, con la erupción de los incisivos y caninos, la presencia de un diastema y un frenillo de inserción baja en la papila palatina puede ser motivo de valoración quirúrgica, en cuyo caso se recomendaría la cirugía del frenillo labial superior.
Otras indicaciones son la dificultad en la higiene bucal y la afectación del periodonto, es decir, del tejido que sostiene los dientes. En ocasiones, el frenillo puede producir una recesión gingival. La prueba clásica que se lleva a cabo para valorar este tejido es levantarlo tirando del labio hacia arriba, en cuyo caso la zona se verá con una coloración “blanquecina” por la isquemia que se produce.
Este test recibe el nombre de “test de isquemia o maniobra de Graber” y suele ser la prueba de elección por los clínicos. Aunque, sin duda, la última palabra siempre la tendrán el Odontopediatra o especialista infantil, el Pediatra y el Logopeda, valorando el caso en su globalidad.
Necesidad de Realizar un Diagnóstico Diferencial
Además, el odontopediatra o dentista infantil, deberá realizar un diagnóstico diferencial con otras causas como:
- dientes supernumerarios (mesiodens),
- succión digital (produce inclinación hacia delante por lo que también podría ser la causa de un diastema),
- quiste fisurario del conducto naso-palatino,
- aumento del perímetro maxilar, o
- agenesias dentarias, es decir, un desorden heterogéneo determinado genéticamente que se manifiesta con la ausencia congénita de uno o más dientes. De hecho, esta última, es una de las anomalías cráneo-faciales más comunes en el desarrollo humano y ocurre especialmente en los dientes incisivos laterales.
Tratamientos del Frenillo Labial Superior Corto
Todas las anomalías mencionadas tienen solución si se realiza la cirugía del frenillo labial superior. Afortunadamente, para esta intervención existen, hoy en día, interesantes avances científicos que reducen los efectos quirúrgicos y post-operatorios a mínimos, gracias al uso de la tecnología láser.
¿Cómo se quita el frenillo del labio? La frenotomía del frenillo en el labio es una simple incisión sin llegar al periostio y la frenectomía del frenillo labial es la incisión y eliminación de todo el frenillo.
En caso de que el frenillo labial inferior sea corto, también se produciría la limitación del movimiento del mismo, produciendo inflamación del frenillo labial inferior y generando problemas de autoclisis en el vestíbulo entre el labio inferior y la encía. La solución a todas las disfunciones mencionadas es la frenectomía labial inferior, que también puede solucionarse a través de procedimiento operatorio con tecnología láser.
El frenillo labial corto se puede corregir a través de un procedimiento quirúrgico conocido como frenectomía labial. En CIRO no solo trabajamos con los mejores especialistas, también con la última tecnología y técnicas mínimamente invasivas, por lo que nos aseguraremos de que el procedimiento sea lo más indoloro y rápido posible.
¿En qué Consiste la Cirugía del Frenillo Labial?
La cirugía del frenillo labial es un proceso operatorio que debe ser realizada por un profesional preparado. Hoy en día, existe la opción de tratar el frenillo labial mediante algún tipo de tecnología láser, como sustitución a la cirugía tradicional. Disponemos de unos periodos de recuperación más cortos y menos traumáticos para el niño o joven, al ser éste un proceso basado en la odontología mínimamente invasiva.
En Odontopediatría, la aproximación de la cirugía oral es distinta a la que se realiza por parte del resto de profesionales odontológicos, puesto que las técnicas de guía de conducta que se emplean en niños y jóvenes, permiten poder afrontar mejor estos tratamientos, tales como la cirugía del frenillo labial superior o la frenotomía labial inferior, que, a ojos de papás y pacientes son complejos y generan cierto miedo o respeto.
La corrección del frenillo labial corto es crucial para mejorar la función oral y evitar problemas futuros. Un frenillo inadecuado puede limitar el movimiento del labio, afectando la alimentación, el habla y la salud dental general. Este tipo de intervención quirúrgica puede prevenir complicaciones relacionadas con el crecimiento dental y la alineación.
Pasos de la Frenectomía Labial Superior

En este caso, la frenectomía labial superior solo requiere una sesión en la que se siguen los siguientes pasos:
- Administración de la anestesia local: se administra la anestesia para adormecer la zona y evitar que el paciente sienta dolor durante la operación.
- Liberación del frenillo: se realiza una pequeña incisión en la base del frenillo labial para liberar la tensión y permitir el movimiento del labio superior. Este pequeño corte se puede realizar con tijeras quirúrgicas, láser o un bisturí, según la preferencia del profesional.
- Sutura de la herida: se cose la incisión una vez se ha liberado al frenillo labial. Este paso no es estrictamente obligatorio, ya que dependerá del tipo de frenillo.
- Instrucciones postoperatorio: una vez ha finalizado la intervención, el paciente recibe una serie de indicaciones para el cuidado de la zona operada. Normalmente el especialista recomendará el uso de enjuagues bucales específicos y la aplicación de cremas antibióticas que faciliten la cicatrización de la herida.
Tras este procedimiento quirúrgico, es muy importante programar revisiones para controlar la curación del área.
Recomendar la cirugía láser del frenillo labial si ninguno de estos diagnósticos diferenciales existe, entonces el odontopediatra probablemente recomendará la cirugía del frenillo labial superior, que como ya hemos mencionado, tiene un impacto quirúrgico y post-operatorio en el niño o adolescente muy inferior con el uso de la tecnología láser.
Beneficios de la Frenectomía Labial
Tratar el frenillo labial corto con la frenectomía labial ofrece una serie de beneficios significativos para la salud bucal y la calidad de vida del paciente:
- Prevención de problemas dentales.
- Alivio de molestias y dolor.
¿Qué Hacer si se Rompe el Frenillo Labial Superior?
En general, la rotura del frenillo no supone una pérdida funcional grave - muchas personas ni notan diferencias tras la curación - pero el evento en sí puede ser doloroso y alarmante. Las causas más comunes de un frenillo labial superior roto son traumáticas.
Causas Comunes
- Caídas y golpes accidentales: Especialmente en niños pequeños, las caídas con la boca abierta o golpes contra objetos duros suelen causar este desgarro.
- Traumatismos deportivos: Un balonazo en la boca, un choque durante un partido o cualquier impacto en el labio superior puede ocasionar la rotura en personas de cualquier edad.
- Mordeduras o manipulación excesiva: A veces, morderse el labio superior por accidente (por ejemplo, durante una caída o al masticar) puede desgarrar el frenillo.
- Piercings o cirugías previas: Un piercing mal colocado en el labio o encía, o una cirugía bucal cercana, podrían debilitar el frenillo y hacerlo más propenso a romperse.
Primeros Auxilios
- Detener el sangrado: Lava tus manos, toma una gasa limpia (o un paño limpio) y presiona suavemente pero con firmeza la zona del frenillo roto. Mantén la presión constante unos 5-10 minutos hasta que la hemorragia pare.
- Limpiar la herida: Si es posible, enjuaga delicadamente la boca con agua fría o suero fisiológico.
- Aplicar frío: Coloca hielo envuelto en una tela limpia o una bolsa de gel frío sobre el labio superior (por fuera de la boca). Aplícalo de forma intermitente, por ejemplo 10 minutos sí y 10 minutos no.
- Observar y decidir próxima acción: Tras detener el sangrado inicial, evalúa la situación. Si la herida es pequeña y el sangrado ha cesado, probablemente puedas manejarlo en casa con cuidados básicos.
En cualquier caso, la rotura suele ocurrir de forma abrupta.
Cuándo Buscar Atención Profesional
- Sangrado abundante o prolongado.
- Herida muy extensa o profunda.
- Dolor intenso o signos de infección.
- Duda sobre daños adicionales.
- El frenillo no sana bien con el tiempo.
Conclusión
El frenillo labial superior corto puede generar diversas complicaciones que afectan la salud bucal y la calidad de vida. Sin embargo, con un diagnóstico adecuado y un tratamiento oportuno, como la frenectomía labial, es posible corregir esta condición y prevenir problemas futuros. No dudes en consultar a un odontopediatra o especialista para evaluar tu caso y recibir el tratamiento más adecuado.
Referencias
- Boj JR, Català M, Mendoza A, Planells P, Cortés O. Odonto Pediatría. Bebés, niños y adolescentes. Odontología Books, 2019. Pages 325 - 335.
- Boj JR., González P., Hernández M., Cortés O. Odontopediatría. Dudas y Aclaraciones. Odontología Books, 2019.
- Boj JR, Espanya A. “Concerns of Settings Used for Low Level Therapy Laser”, Pediatric Dentistry, 2021/1/1, Volume 43, No 1, pages 7-7. Editor American Academy Pediatric Dentistry.
- Boj JR., Poirier C., Hernandez M., Espasa E., Espanya A. “Laser soft tissue treatments for paediatric dental patients.” European archives of paediatric dentistry, 2011/4, Volume 12, No 2, pages 100-105, Editor Springer-Verlag.
- Boj JR, Poirier C, Hernandez M, Espasa E, Espanya A. “Case Series: Laser treatments for soft tissue problems in children.” European Archives of Paediatric Dentistry, 2011/4/1, Volume 12, No 2, pages 113-117, Editor Springer-Verlag.
- Boj JR. “The Future of Laser Paediatric Dentistry.” Journal of Oral Laser Applications, 2005/6/1, Volume 5, No 3.