¿Estás preocupado por cuánto costará mejorar tu sonrisa con fundas dentales? ¿Te gustaría saber qué influye en los precios de fundas de dientes para tomar una decisión informada? En este artículo, descubrirás todo lo que necesitas saber acerca de los costos asociados con las fundas dentales, para que puedas planificar y decidir con confianza.
La importancia de conocer los factores que afectan los precios de fundas de dientes radica en la posibilidad de elegir el mejor tratamiento dental para ti. Cada persona tiene necesidades dentales únicas, y los costos pueden variar considerablemente. Entender estos factores no solo te ayudará a prever los gastos, sino también a valorar la calidad del servicio y los materiales utilizados.
La inversión en tu salud dental es crucial para mantener una sonrisa saludable y funcional, y este conocimiento te empoderará para hacer elecciones informadas.

Si estás buscando una Clínica Dental en Sevilla para mejorar tu sonrisa, en Clínica Dental Helident destacamos por nuestro enfoque integral y profesionalismo. Ofrecemos una amplia gama de tratamientos dentales personalizados, utilizando tecnologías avanzadas y materiales de alta calidad. No dudes en contactarnos; estaremos encantados de asesorarte y ayudarte a comprender mejor los precios de fundas de dientes y encontrar la mejor opción para ti. Nuestro equipo de expertos está listo para brindarte la atención que necesitas para mantener una sonrisa saludable y hermosa.
¿Qué son las Fundas para Dientes?
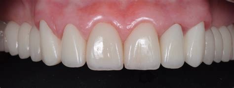
Las fundas para dientes son una opción cada vez más popular para aquellas personas que buscan mejorar tanto la funcionalidad como la estética de sus dientes. Estas cubiertas, también conocidas como coronas dentales, se colocan sobre un diente existente para restaurar su forma, tamaño, fuerza y apariencia. Ya sea que un diente esté desgastado, fracturado o simplemente no se vea como quisieras, las fundas para dientes pueden ofrecer una solución efectiva.
Hay varios materiales disponibles para las fundas dentales, cada uno con sus propios beneficios. Las fundas de porcelana son muy populares debido a su capacidad para imitar el color y la transparencia de los dientes naturales, haciendo que se vean muy reales. Las fundas de zirconia son conocidas por su durabilidad y resistencia, lo que las hace ideales para los molares que soportan mucha presión al masticar. Este tipo de funda, aunque más resistente, puede ser un poco más costosa, lo que influye en los precios de fundas de dientes.
Beneficios de las Fundas para Dientes
Las fundas para dientes son una solución dental versátil y eficaz que puede transformar tanto la salud como la apariencia de tus dientes. Estas cubiertas se utilizan no solo para restaurar dientes dañados, sino también para mejorar su estética. La colocación de una funda puede ayudar a resolver varios problemas dentales comunes, lo que la convierte en una opción popular entre pacientes y dentistas.
Uno de los principales beneficios de las fundas para dientes es su capacidad para proteger los dientes debilitados. Los dientes que han sufrido daño por caries, fracturas o tratamientos de conducto radicular pueden ser especialmente vulnerables a más daño. Las fundas actúan como una barrera protectora, fortaleciendo el diente y previniendo futuras fracturas. Esta protección es crucial para mantener la salud dental a largo plazo y evitar procedimientos dentales más extensos en el futuro.
Mejora Estética y Funcionalidad
Otro aspecto importante es la mejora estética que ofrecen las fundas. Si tienes dientes descoloridos, deformados o que presentan algún otro tipo de imperfección, las fundas pueden proporcionar una solución rápida y efectiva. Están diseñadas para imitar la apariencia de los dientes naturales, lo que las hace casi indistinguibles del resto de tus dientes. Esto puede aumentar significativamente tu confianza y mejorar tu sonrisa.
Las fundas también restauran la función dental normal, lo que es esencial para actividades cotidianas como masticar y hablar. Un diente dañado puede dificultar estas funciones, pero al colocar una funda, el diente recupera su forma y funcionalidad. Esto no solo mejora tu comodidad diaria, sino que también contribuye a una mejor salud oral general.
Los precios de fundas de dientes pueden variar según el material y el tipo de funda, pero la inversión vale la pena considerando los beneficios a largo plazo para tu salud dental y estética.

Tipos de Fundas para Dientes
Cuando se trata de restaurar y mejorar la apariencia de los dientes, las fundas dentales ofrecen una solución eficaz y duradera. Las fundas, también conocidas como coronas dentales, están diseñadas para cubrir completamente un diente dañado o estéticamente comprometido, devolviéndole su forma, tamaño y función. La elección del tipo de funda depende de varios factores, incluyendo la ubicación del diente, la preferencia del paciente y, por supuesto, los precios de fundas de dientes.
Una de las consideraciones más importantes al elegir una funda dental es el material del que está hecha. Los materiales varían en términos de durabilidad, apariencia y costo. Las fundas de porcelana y zirconia son muy apreciadas por su capacidad para imitar la apariencia de los dientes naturales, mientras que las fundas metálicas son conocidas por su resistencia y longevidad. Cada tipo de material ofrece diferentes beneficios y puede ser más adecuado para ciertas situaciones dentales.
El proceso de selección de la funda adecuada también implica considerar factores como la ubicación del diente y la fuerza de la mordida. Por ejemplo, los dientes delanteros, que son más visibles, pueden beneficiarse de fundas que imiten el color y la translucidez de los dientes naturales, como las de porcelana. En cambio, los molares, que soportan una mayor presión al masticar, pueden requerir fundas más robustas, como las de zirconia o metal.
Fundas de Porcelana
Las fundas de porcelana son populares debido a su apariencia natural. Son ideales para los dientes delanteros debido a su capacidad para imitar el color y el brillo de los dientes naturales. Sin embargo, pueden ser menos duraderas que otros materiales. Este tipo de funda tiene un costo que influye en los precios de fundas de dientes.
Fundas de Zirconia
Las fundas de zirconia son extremadamente duraderas y ofrecen una excelente estética. Son resistentes a las fracturas y pueden soportar grandes fuerzas de masticación. Este tipo de fundas suele tener un precio más alto debido a su calidad superior, lo que impacta los precios de fundas de dientes.
Fundas Metálicas
Las fundas metálicas, hechas de aleaciones de oro o platino, son muy duraderas y requieren menos desgaste del diente natural. Aunque no son estéticamente atractivas para los dientes delanteros, son una excelente opción para los molares debido a su resistencia. La elección de este material afecta significativamente los precios de fundas de dientes.
¿Qué es y cuánto cuesta una Corona Dental? | PRECIOS Corona circonio, porcelana y metálica.
Materiales Utilizados en las Fundas para Dientes
La elección del material para las fundas de dientes es un aspecto crucial que influye en la durabilidad, apariencia y costo del tratamiento dental. Las fundas, o coronas dentales, están diseñadas para restaurar la función y la estética de los dientes dañados. Los diferentes materiales utilizados en su fabricación ofrecen diversas ventajas y desventajas, lo que hace que sea importante seleccionar el material adecuado según las necesidades específicas de cada paciente.
El material de las fundas dentales no solo afecta su durabilidad, sino también su capacidad para imitar el aspecto de los dientes naturales. Por ejemplo, la porcelana es conocida por su excelente apariencia estética, mientras que la zirconia es altamente valorada por su resistencia. Cada uno de estos materiales tiene un impacto significativo en los precios de fundas de dientes, ya que la calidad y las propiedades del material determinan el costo final del tratamiento.
Además de la durabilidad y la apariencia, otros factores como la ubicación del diente y la fuerza de la mordida también juegan un papel importante en la elección del material de la funda. Los dientes delanteros, que son más visibles, pueden beneficiarse de materiales que ofrecen una apariencia natural, como la porcelana. Por otro lado, los dientes posteriores, que soportan más presión durante la masticación, pueden requerir materiales más fuertes como la zirconia o el metal.
Fundas de Resina Compuesta
Las fundas de resina compuesta son más económicas y pueden ser una buena opción para restauraciones temporales. Sin embargo, no son tan duraderas como las de porcelana o zirconia y pueden desgastarse con el tiempo, afectando así los precios de fundas de dientes. La resina compuesta es una opción práctica para situaciones en las que se necesita una solución rápida y económica, pero es importante tener en cuenta que su longevidad es menor en comparación con otros materiales más resistentes.
Procedimiento de Colocación de Fundas para Dientes
La colocación de fundas para dientes es un procedimiento dental meticuloso que generalmente se lleva a cabo en varias visitas al dentista. Este proceso asegura que el diente restaurado no solo se vea natural, sino que también funcione correctamente. Comprender cada paso del procedimiento puede ayudarte a estar mejor preparado y a saber qué esperar durante tus visitas al dentista. Además, cada etapa del tratamiento puede influir en los precios de fundas de dientes, por lo que es importante conocer todos los detalles involucrados.
Primera Visita: Preparación y Toma de Impresiones
En la primera visita, el dentista prepara el diente eliminando parte del esmalte para hacer espacio para la funda. Este paso es crucial para asegurar que la funda se asiente correctamente. Después de la preparación, se toman impresiones detalladas del diente preparado y de los dientes adyacentes. Estas impresiones son fundamentales para crear una funda que se ajuste perfectamente. La precisión en este paso es esencial y contribuye a los precios de fundas de dientes.
Segunda Visita: Colocación de la Funda
En la segunda visita, el dentista coloca la funda permanente en tu diente. Se asegura de que la funda encaje a la perfección y que no interfiera con tu mordida. El dentista puede hacer pequeños ajustes para garantizar la comodidad y funcionalidad del diente restaurado. Este ajuste final es una parte importante del proceso y también se refleja en los precios de fundas de dientes, ya que la atención al detalle es crucial para obtener un resultado exitoso.

Mantenimiento de las Fundas para Dientes
El mantenimiento adecuado de las fundas para dientes es fundamental para asegurar su durabilidad y funcionalidad a lo largo del tiempo. Las fundas dentales, aunque resistentes, requieren cuidados específicos para mantener su integridad y estética. Al seguir prácticas de higiene dental rigurosas y visitar regularmente al dentista, puedes prolongar la vida útil de tus fundas y evitar problemas futuros. Este cuidado continuo también influye en los precios de fundas de dientes a largo plazo, ya que el mantenimiento adecuado puede prevenir la necesidad de reemplazos o reparaciones costosas.
Es esencial cepillarse los dientes dos veces al día con un cepillo de cerdas suaves y usar hilo dental para eliminar la placa y los restos de comida que puedan quedar atrapados alrededor de la funda. Las fundas dentales pueden ser propensas a la acumulación de placa, lo que puede llevar a problemas como caries en los dientes subyacentes o enfermedades de las encías. Mantener una rutina de limpieza eficaz ayuda a minimizar estos riesgos y asegura que tus fundas se mantengan en óptimas condiciones.
Además de una buena higiene oral en casa, es crucial visitar al dentista para revisiones y limpiezas profesionales. Durante estas visitas, el dentista puede revisar el estado de las fundas y detectar cualquier problema en etapas tempranas. Estas revisiones regulares son una inversión en la salud a largo plazo de tus fundas, ya que el cuidado preventivo puede reducir significativamente los precios de fundas de dientes relacionados con tratamientos correctivos más adelante.
Consejos para el Cuidado de Fundas para Dientes
- Cepillarse regularmente: Use un cepillo de dientes suave para evitar dañar la funda. Es importante utilizar una pasta dental no abrasiva para proteger tanto la funda como el diente subyacente.
- Evitar alimentos duros: Evite morder objetos duros que puedan fracturar la funda. Los alimentos extremadamente duros, como caramelos o nueces, pueden causar daños significativos a las fundas, comprometiendo su integridad y funcionalidad.
- Visitas regulares al dentista: Realice revisiones periódicas para asegurarse de que la funda esté en buen estado. Durante estas visitas, el dentista puede realizar ajustes necesarios y proporcionar limpiezas profundas para mantener la salud de las encías y los dientes.
El cuidado adecuado de las fundas para dientes no solo prolonga su vida útil sino que también te ayuda a evitar gastos adicionales. Mantener una rutina de higiene dental consistente y seguir las recomendaciones de tu dentista son las mejores estrategias para asegurar que tus fundas dentales permanezcan en excelente estado por muchos años.
¿Cuánto Cuestan las Fundas para Dientes?
Las fundas para dientes son una opción popular para quienes buscan restaurar la funcionalidad y estética de sus dientes. Sin embargo, uno de los factores más importantes a considerar es el costo de este tratamiento. Los precios de fundas de dientes pueden variar considerablemente en función de varios elementos, como el tipo de material utilizado, la complejidad del caso específico y la ubicación geográfica de la clínica dental. Comprender estos factores te ayudará a tomar una decisión informada sobre qué tipo de funda es la mejor para tus necesidades y tu presupuesto.
El tipo de material es uno de los principales determinantes en el costo de las fundas dentales. Materiales como la porcelana y la zirconia, que ofrecen una excelente combinación de durabilidad y estética, suelen ser más caros que las fundas metálicas o de resina compuesta. Cada material tiene sus propias ventajas y desventajas, lo que también se refleja en su precio. Además, la complejidad del caso, como la necesidad de tratamientos adicionales o ajustes personalizados, puede aumentar el costo total del procedimiento.
Precios de Fundas de Porcelana
Las fundas de porcelana pueden costar entre 750 y 2,300 euros por diente. Este rango de precios refleja la calidad estética y la durabilidad del material, lo que influye en los precios de fundas de dientes. La porcelana es conocida por su capacidad para imitar el aspecto natural de los dientes, lo que la convierte en una opción popular para las fundas delanteras.
Precios de Fundas de Zirconia
Las fundas de zirconia suelen costar entre 900 y 2,800 euros por diente. Su mayor costo se debe a la resistencia y la apariencia natural del material, lo que impacta los precios de fundas de dientes. La zirconia es extremadamente duradera y biocompatible, lo que la convierte en una excelente opción para molares y premolares.