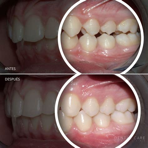
Después de finalizar un tratamiento de ortodoncia, es común que el dentista recomiende el uso de una férula dental. Este paso, muchas veces subestimado, es fundamental para conservar los resultados obtenidos tras meses o incluso años de llevar brackets.

¿Qué es una Férula Dental Post Ortodoncia?
Una férula dental post ortodoncia es un dispositivo no fijo, transparente y completamente personalizado que se coloca sobre los dientes una vez finalizado el tratamiento con brackets. Este aparato puede parecer sencillo, pero su rol es esencial.
El tejido periodontal que sostiene los dientes necesita tiempo para estabilizarse después del movimiento ortodóncico. Durante ese periodo, los dientes están más susceptibles a volver a su posición inicial, lo que se conoce como recidiva.
Tipos de Férulas Dentales
Dentro del mundo de las férulas dentales, existen dos categorías principales: rígidas y flexibles.
Férulas Rígidas
Las férulas rígidas están confeccionadas con materiales duros como el acrílico o plásticos termoformados de alta resistencia. Estas son ideales para casos en los que se requiere una sujeción fuerte, como pacientes con alto riesgo de recidiva o que hayan tenido un tratamiento ortodóncico complejo.
Férulas Flexibles
En cambio, las férulas flexibles se elaboran con materiales más blandos y maleables. Son más cómodas, discretas y fáciles de adaptar. Están indicadas principalmente en casos leves o como complemento temporal mientras se fabrica una férula definitiva.
Las férulas post ortodoncia siempre deben ser personalizadas. Esto significa que se fabrican a partir de una impresión digital o física de la dentadura del paciente, lo que garantiza un ajuste preciso y eficaz.
Fundas Dentales Post Ortodoncia: Una Alternativa a las Férulas
Tras finalizar un tratamiento con brackets, los ortodoncistas pueden recomendar tanto férulas como fundas dentales removibles. Las férulas dentales son dispositivos transparentes, elaborados a medida, que cubren toda la arcada dental y se usan sobre todo por la noche.
Por otro lado, las fundas post ortodoncia (también conocidas como “aligners de retención” o “retenedores tipo funda”) se asemejan a las férulas, pero suelen fabricarse con materiales algo más rígidos y con un diseño que cubre menos superficie del diente. Algunas fundas están diseñadas específicamente para estabilizar sectores concretos de la arcada o facilitar una transición progresiva en el proceso de retención. Ambos sistemas tienen el mismo objetivo: evitar que los dientes se desplacen después de retirar los brackets.
Las fundas dentales post ortodoncia son una alternativa frecuente a las férulas tradicionales como método de retención. Se recomienda el uso de fundas tras los brackets cuando el ortodoncista considera que el paciente necesita un sistema más compacto, con menor cobertura del paladar o de las encías, o cuando se busca una opción más rígida para estabilizar zonas específicas. También pueden ser aconsejadas en fases intermedias de la retención, por ejemplo, tras unos meses con férula completa.
Después de meses o incluso años de tratamiento, los dientes tienden a regresar a su posición inicial. Durante los primeros meses sin brackets, los dientes están especialmente propensos a moverse.

Retenedores Dentales: Fijos y Removibles
Después de someterse a un tratamiento de ortodoncia, mantener los dientes en su posición óptima es fundamental para preservar los resultados obtenidos. Los dientes se mueven a lo largo de toda la vida, incluso después de un tratamiento de ortodoncia exitoso.
Esta tendencia natural se debe a varios factores, como la presión ejercida por los músculos de la boca y la mandíbula, así como la acción de masticar y la deglución. Al usar retenedores dentales de manera regular y siguiendo las indicaciones del profesional, se puede asegurar que los dientes conserven su nueva posición y se mantengan alineados correctamente.
En la etapa de retención dental, se pueden emplear dos tipos de retenedores dentales: fijo y removible.
Retenedor Dental Fijo
El retenedor dental fijo se compone de un arco metálico que se adhiere a la cara interna de los dientes, desde colmillo a colmillo en la zona lingual. La ventaja de este tipo de retención es su permanencia en la boca las 24 horas del día, lo cual lo convierte en una opción adecuada para aquellos menos constantes en el uso de dispositivos dentales. Sin embargo, su punto débil es que puede dificultar la higiene bucal en la zona donde se encuentra, propiciando la aparición de manchas o sarro debido a la limitada accesibilidad para el cepillado.
Retenedor Dental Removible
El retenedor dental removible se presenta como una férula transparente que puede ser retirada y colocada en los dientes según sea necesario. Además, al ser transparente, resulta más estético. Esta opción brinda un mayor control sobre la higiene bucodental, lo que ayuda a prevenir la acumulación de sarro y bacterias, así como posibles patologías asociadas.
¡ Cuidado de retenedores ! ✨
Consejos para el Cuidado de tus Retenedores
- Es recomendable colocar y retirar los retenedores de un lado a la vez para equilibrar el desgaste y evitar posibles fisuras o roturas.
- Al manipular los retenedores, hazlo con cuidado y suavidad. Evita aplicar fuerza excesiva que pueda dañarlos.
- Guarda siempre tus retenedores en su caja cuando no los estés usando, especialmente durante las comidas para evitar la acumulación de restos de alimentos y bacterias.
- Limpia tus retenedores después de cada uso. Enjuaga el retenedor con agua tibia y cepillalo suavemente con un cepillo dental suave y jabón neutro para eliminar cualquier residuo de comida o placa bacteriana.
- Realiza inspecciones periódicas de tus retenedores para detectar cualquier signo de desgaste o daño.
- Programa visitas de seguimiento regulares con tu ortodoncista para verificar la condición de tus retenedores y realizar ajustes si es necesario.
¿Por Qué son Importantes los Retenedores?
Los retenedores dentales ayudan a mantener los resultados obtenidos después de un tratamiento de ortodoncia al evitar que los dientes se desplacen nuevamente a su posición original.
Los dientes pueden comenzar a moverse poco después de retirar el tratamiento de ortodoncia, pero el tiempo exacto varía según cada persona.
El tiempo recomendado para usar retenedores durante el sueño puede variar según el caso individual de cada paciente y las instrucciones del ortodoncista.
Limpieza Adecuada de los Retenedores
Para limpiar los retenedores dentales, se recomienda enjuagarlos con agua tibia después de cada uso y cepillarlos suavemente con un cepillo dental suave y jabón neutro. Evita el uso de productos abrasivos que puedan dañar los retenedores.
¿Qué Hacer en Caso de Problemas con tu Retenedor?
Mantén la calma. Es importante no entrar en pánico. Evita tocar el retenedor. Contacta a tu ortodoncista.
Si se ha descementado en algunos de los dientes, además de las consecuencias descritas, podrías sufrir heridas en tejidos blandos como la lengua o el labio por el fragmento de alambre despegado.
Revisa en el espejo, tacto con la lengua. Mantener el retenedor en buen estado es crucial para garantizar que los resultados del tratamiento de ortodoncia se mantengan a largo plazo. No dudes en buscar atención profesional ante cualquier problema con tu retenedor. La rápida intervención puede prevenir complicaciones y asegurar una sonrisa saludable y bien alineada a lo largo del tiempo.
Tipos de Férulas Dentales y sus Costos Aproximados
Existen diferentes tipos de férulas dentales, cada uno diseñado para cumplir una función específica:
- Férulas de Ortodoncia Invisible: Alineadores dentales transparentes y removibles para alinear los dientes gradualmente. Precio: 1.500€ - 3.000€ aproximadamente.
- Férula Oclusal o de Descarga: Para evitar el contacto directo entre los dientes y reducir el desgaste dental derivado del bruxismo. Precio: 200€ - 400€ aproximadamente.
- Protectores Bucales: Para proteger los dientes durante la práctica de deportes de alto impacto. Precio: 10€ - 30€ aproximadamente.
- Férula de Retención: Para evitar que los dientes se muevan a su posición inicial después de un tratamiento ortodóntico. Precio: 100€ - 600€ aproximadamente.
- Férulas de Blanqueamiento Dental: Para usar con un agente blanqueador como parte de un tratamiento de blanqueamiento dental en casa. Precio: 40€ - 200€ aproximadamente.
- Férula Antirronquidos: Para desplazar la mandíbula hacia adelante y mejorar la entrada de aire en pacientes con ronquidos y apnea del sueño. Precio: 100€ - 600€ aproximadamente.
Estos precios son una referencia y pueden variar dependiendo de la clínica o los materiales utilizados.

¿Cómo Obtener una Férula Dental?
Lo primero es visitar a un profesional para que examine tu caso y te asesore en el tipo de férula más adecuada para ti. Dependiendo del tipo de férula, generalmente, el proceso puede ser:
- Análisis del caso: Se realiza un exámen de la boca del paciente y se toman imágenes que ayuden a crear una férula personalizada.
- Fabricación: La férula se fabrica a medida en un laboratorio dental.
- Ajuste de la férula: El dentista ajusta la férula dental en la boca del paciente para asegurar un encaje adecuado y cómodo.
Mantenimiento y Limpieza de las Férulas Dentales
Es crucial mantener las férulas limpias para evitar infecciones y prolongar su vida útil. La limpieza debe incluir:
- Cepillado diario: Limpia la férula con agua fría o tibia y jabón neutro.
- Limpieza profunda semanal: Usa pastillas limpiadoras aprobadas por tu dentista.
- Almacenamiento: Guarda la férula en su estuche cuando no la estés usando. Limpia el estuche regularmente, ya que puede acumular bacterias que pasarán a la férula y, en consecuencia, a la boca.
Recuerda no morder la férula hasta que esté correctamente colocada ya que, de lo contrario, esto podría crear ralladuras que dificulten su limpieza.
Referencias Bibliográficas
- Graber, L. W., Vig, K. W. L., Vanarsdall, R. L., Huang, G. J. (2017). Ortodoncia: Principios y técnicas actuales.
- Proffit, W. R., Fields, H., Larson, B., Sarver, D. M. (2019). Ortodoncia contemporánea.
- CORTÍNEZ, L. C.; FIGUEROA, S. M.; CHAMORRO, P. S.; ZAFE, B. F. & GALLARDO, S. V. Retenedores de ortodoncia y su efecto sobre la salud periodontal. Revisión de la literatura. Int. J.