¿Quieres una sonrisa perfecta? Descubre tus opciones en carillas aquí. Esta guía te proporcionará toda la información necesaria sobre los tipos de carillas dentales y precios, para que tomes decisiones informadas y ajustadas a tu presupuesto y expectativas estéticas.
En Clínica Ferrus & Bratos, entendemos que elegir un procedimiento de estética dental es una elección relevante. Por ello, hemos preparado esta guía detallada sobre los tipos de carillas dentales y sus precios, con el fin de ayudarte a decidir según tus necesidades estéticas y capacidad presupuestaria.
¿Conoces los TIPOS de CARILLAS DENTALES? ✨ El mejor tratamiento ESTÉTICO para tu sonrisa👄
¿Qué son las Carillas Dentales?
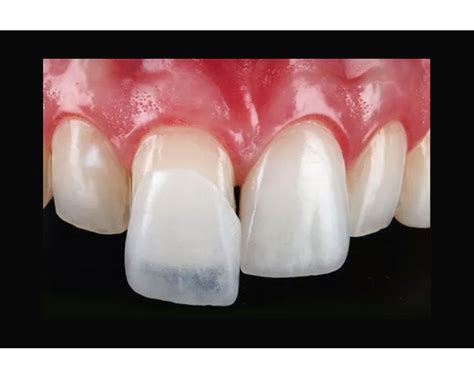
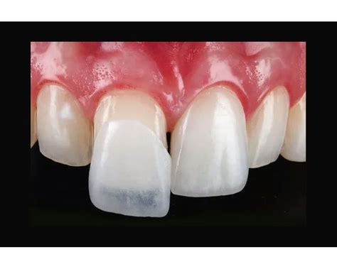
Las carillas dentales son unas finas láminas que se adhieren a la superficie frontal (visible) de los dientes con el objetivo de mejorar su apariencia. Estas láminas pueden estar hechas de diferentes materiales, como la porcelana, el composite o el disilicato de litio, y se diseñan a medida de cada paciente.

¿Para qué sirven las carillas dentales?
Las carillas dentales sirven para corregir pequeños defectos que afectan al color, el tamaño, la forma o la posición de los dientes. Entre las imperfecciones que pueden solucionar podemos destacar las siguientes:
- Dientes amarillos o con manchas
- Desgastes en el esmalte
- Diastemas (espacios entre los dientes)
- Leves malposiciones dentales
- Fisuras o fracturas
En cualquiera de los casos anteriores es necesario que el odontólogo realice una valoración del paciente para determinar si las alteraciones de sus dientes pueden ser corregidas con carillas.
¿Cuándo es recomendable ponerse carillas en los dientes?
A continuación, te detallamos los casos concretos en los que puede resultar recomendable ponerse carillas para mejorar la apariencia de la sonrisa:
- Dientes amarillos o con manchas: Las carillas se pueden utilizar en pacientes que presentan dientes amarillos, decolorados o con manchas. Esto puede deberse a distintas circunstancias (alimentación, tabaco, envejecimiento, fluorosis, consumo de tetraciclinas…).
- Resistencia al blanqueamiento dental: Las carillas son un excelente complemento al blanqueamiento. Cuando las tinciones son muy severas, el blanqueamiento puede no ser capaz de eliminarlas por completo. Por tanto, en muchos casos resulta recomendable ponerse carillas en los dientes después del blanqueamiento.
- Dientes desalineados: Las carillas también pueden ofrecer un buen resultado estético a los pacientes que tienen ligeras malposiciones dentales, ya que en ocasiones permiten disimularlas. Eso sí, hay que tener en cuenta que para corregir la mayoría de las maloclusiones dentales es necesario recurrir a la ortodoncia.
- Dientes con formas o tamaños irregulares: Las carillas se utilizan para corregir pequeños defectos que afectan a la forma de los dientes. Por ejemplo: unos caninos (colmillos) demasiado puntiagudos, un diente más pequeño de lo normal, etc.
- Diastemas: Las carillas también están recomendadas para disimular los diastemas o espacios entre los dientes.
- Dientes desgastados: Las carillas se pueden colocar en dientes que presentan desgastes en el esmalte. Esto puede tener su origen en una mordida inadecuada o en el bruxismo. Sin embargo, en estos casos suele ser necesario utilizar ortodoncia o colocar una férula de descarga previamente, dependiendo del caso. De no hacerlo, los desgastes volverán a aparecer.
- Dientes fisurados o fracturados: Las carillas también pueden estar indicadas en determinados casos de fisuras o fracturas leves en los dientes.
Tipos de Carillas Dentales
Cuando se trata de transformar una sonrisa, es fundamental identificar qué clase de carillas dentales están disponibles. Existen diferentes tipos de carillas dentales en función del material y la técnica empleados en su confección. Cada una de ellas tiene sus ventajas, y la elección dependerá del caso concreto y las necesidades del paciente.
- Carillas de composite: recomendadas para quienes buscan una alternativa rápida, económica y con buenos resultados visuales.
- Carillas de porcelana: ideales para quienes desean un acabado más natural y de larga duración.
Ambas opciones se utilizan en función de las condiciones clínicas de cada paciente, siempre tras la evaluación individualizada de nuestros expertos.

Carillas de Composite
Las carillas de composite son una alternativa demandada entre nuestros pacientes en Madrid. Su ventaja principal es que se colocan en una sola sesión y permiten mejorar pequeñas imperfecciones sin modificar en exceso el diente original. Además, su coste reducido en comparación con otras opciones las convierte en una elección popular entre quienes buscan optimizar su sonrisa sin un gran desembolso. Son particularmente útiles en casos donde se busca una transformación notable pero asequible.
Las principales ventajas de las carillas de composite son su proceso de colocación sencillo, que no requieren tallar los dientes y su precio. El composite se aplica directamente sobre el diente, normalmente en una única sesión. Son más económicas que las carillas de porcelana o disilicato de litio, pero también suelen durar menos tiempo.
Carillas de Porcelana
Las carillas de porcelana simbolizan la excelencia en estética dental. En nuestra clínica colaboramos con laboratorios de prestigio para diseñar piezas totalmente individualizadas. Su resistencia y similitud con el diente natural las convierten en la opción ideal para quienes desean una sonrisa armónica y de larga duración. Su proceso de fabricación incluye la selección de tonalidades, simulaciones digitales y un tallado preciso, garantizando un resultado estético superior. Aunque su inversión es mayor, su durabilidad y naturalidad respaldan el coste.
Estas carillas están fabricadas con disilicato de litio, un material que se caracteriza por su alta calidad, resistencia y naturalidad. El principal beneficio de las carillas de mínima invasión es que su proceso de planificación, diseño y fabricación es guiado y 100% digital.
Este protocolo disminuye el tiempo total de tratamiento, reduce el margen de error humano y permite que el tallado del esmalte sea mínimo (similar al grosor de un cabello). Por tanto, las carillas mínimamente invasivas requieren muy poca o ninguna preparación del diente antes de su colocación. Esto significa que el esmalte dental no se altera significativamente, lo que las convierte en una opción menos agresiva para el diente. Esto contrasta con el protocolo seguido en las tradicionales carillas de porcelana, que requieren un tallado mayor del diente.
Duración de las Carillas Dentales
Dado que las carillas dentales más utilizadas -y las que colocamos con mayor frecuencia en nuestra clínica dental de Madrid- son las de porcelana (e.max y Lumineers) y las de composite, vamos a detallar los beneficios e inconvenientes que presentan cada una de ellas.
Las carillas dentales de porcelana tienen una duración mayor que las de composite, pudiendo resistir en perfectas condiciones hasta 15 años, y además no pierden su color ni se tiñen. Esta duración depende en gran medida de que el paciente siga las instrucciones de su odontólogo relativas a mantenimiento y cuidados.
En contraposición, la duración de las carillas dentales de composite es de un máximo de cinco años aproximadamente. Para llegar a este plazo, es necesario acudir a revisiones de mantenimiento y que el dentista realice el pulido de las carillas dentales. Además, será más fácil que las carillas dentales duren cinco años en buen estado si el paciente sigue unos buenos hábitos en cuanto a higiene y dieta.
Precios de las Carillas Dentales
El coste de las carillas dentales en Madrid puede variar significativamente dependiendo del material, la cantidad de piezas y la técnica empleada. En nuestra clínica, ofrecemos una relación calidad-precio clara que asegura resultados sobresalientes. En Ferrus & Bratos, cada tratamiento se personaliza para adaptarse a tu sonrisa y expectativas.
¿Quieres saber cuánto cuestan las carillas dentales? El precio de las carillas puede variar en función del material, la cantidad de dientes tratados y la complejidad del caso. Además, contamos con planes de financiación para facilitar el acceso a los tratamientos. A continuación, puedes ver los precios de las carillas dentales:
| Número de Carillas | Pago Único | Financiación |
|---|---|---|
| 6 | 1.107€ | Importe mínimo: 432 € |
| 8 | 1.396€ | Importe mínimo: 576 € |
| 10 | 1.671€ | Importe mínimo: 720€ |
Nota: Los importes mínimos de financiación son ejemplos y pueden variar según las condiciones de cada paciente. Consulta con la clínica para obtener información detallada sobre las opciones de financiación disponibles.
Una de las dudas más comunes que recibimos es: ¿cuánto cuesta colocar carillas en todos los dientes visibles? El presupuesto total dependerá del número de carillas requeridas (normalmente entre 8 y 10 por arcada) y del material elegido. En Ferrus & Bratos, cada procedimiento es único. Nuestros tratamientos incluyen una planificación detallada y simulaciones digitales estéticas.
Esta es otra consulta frecuente entre nuestros pacientes. En realidad, no hay una única “mejor” alternativa, sino la que mejor se adapte a tu situación particular. En Ferrus & Bratos te orientamos con claridad y profesionalismo para que elijas con seguridad.
¿Qué tipo de carillas dentales son las más recomendadas? Depende de tus necesidades. Oscila entre 250 € y 1200 € por unidad.
Consideraciones Adicionales
Hoy en día, podemos decir que, gracias a los avances y a las últimas tecnologías en Odontología Estética, las carillas dentales no dañan los dientes.
Tradicionalmente, las carillas dentales de composite siempre han exigido tallar menos el diente que las de porcelana. Dicho esto, la necesidad de realizar el tallado depende de dos factores: la posición y el color. Si ambos aspectos son adecuados, no será necesario hacerlo. En cambio, si el diente se encuentra excesivamente adelantado o tiene un color muy amarillo sí que es necesario “tocar” la pieza dental. En estos casos, se llevará a cabo un tallado dental bajo anestesia local.
No, las carillas dentales no se pueden blanquear. Por ello, antes de colocarse una carilla es necesario asegurarse de que el color es el adecuado. Esto se consigue mediante las pruebas que realiza el odontólogo al paciente, en las que se determina cuáles son el color, la forma, el tamaño o la posición más adecuados. Además, a la hora de pensar en el color también es importante tener en cuenta el grosor de la carilla.
La mayoría de las carillas estéticas que colocamos en nuestra clínica dental de Madrid son E-max o Lumineers. Esto quiere decir que tienen un grosor mínimo y que, además, son translúcidas para aportar naturalidad. Por tanto, si el color de nuestros dientes es amarillo y colocamos la carilla encima, este tono se transparentará y la sonrisa tendrá un aspecto amarillento.
Ventajas de las Carillas Dentales
El tratamiento de carillas dentales ofrece una serie de beneficios que hemos ido desgranando en este artículo. A grandes rasgos, podemos decir que lo mejor de las carillas es que ofrecen una mejora estética de la sonrisa a corto plazo.
Las principales ventajas de las carillas dentales son las siguientes:
- Versatilidad: Las carillas son muy versátiles ya que permiten corregir múltiples problemas que afectan al aspecto estético de los dientes.
- Mejora de la estética: Al corregir los pequeños defectos de los dientes, las carillas dentales aportan a la sonrisa un aspecto más saludable, juvenil, cuidado y armónico.
- Mínimamente invasivas: Este es uno de los grandes beneficios que ofrecen algunas carillas actuales. Por ejemplo, las de composite no necesitan tallado.
- Mantenimiento sencillo: En términos generales, podemos decir que las carillas dentales no requieren cuidados difíciles o especiales. Es necesario mantener una buena higiene oral, tener precauciones al comer alimentos duros y acudir al dentista entre una y dos veces al año.
Además, en la mayoría de los casos será necesario usar una férula de descarga para dormir. Esto ayudará a proteger las carillas de los desgastes y contribuirá a que duren más tiempo.
Contraindicaciones de las Carillas Dentales
Hay personas que están interesados en llevar carillas dentales para mejorar su sonrisa pero tienen malposiciones muy severas. Esto hace que los profesionales recomienden al paciente la posibilidad de llevar ortodoncia. Cuando el paciente no tiene una buena mordida (clase II, clase III, mordida cruzada…) las carillas dentales también pueden estar contraindicadas porque hay riesgo de rotura.
Aunque en muchas ocasiones el hecho de padecer bruxismo se presente como una contraindicación, lo cierto es que en Ferrus&Bratos tratamos a pacientes que tienen este hábito y llevan carillas estéticas. No contar con una adecuada higiene bucodental no solamente es perjudicial para la salud dental, sino también para usar carillas dentales. La acumulación de sarro conlleva la aparición de inflamaciones en las encías o filtraciones.
A pesar de que las carillas están recomendadas en una gran cantidad de situaciones, lo cierto es que también presentan alguna contraindicación. Las más relevantes son las siguientes:
- Mordida borde a borde: En este tipo de mordida, los dientes superiores chocan directamente contra los inferiores cuando la persona cierra la boca. Es decir, los dientes superiores no quedan por delante de los inferiores, como ocurre en una oclusión correcta. La mordida borde a borde, por tanto, provoca que las carillas se rompan y se caigan. En estas situaciones, al igual que en otros casos de maloclusión, será necesario recurrir a la ortodoncia antes de colocar las carillas.
- Bruxismo que no recibe tratamiento: Algo parecido sucede con el hábito de apretar y/o rechinar los dientes. Los pacientes con bruxismo tienden a presentar grandes desgastes en sus piezas dentales, lo que las debilita y hace más propensas a fracturas. Por ello, una persona que padece bruxismo debe tratarlo antes de someterse a un tratamiento con carillas.
Si aun crees que las carillas están contraindicadas o pueden resultar un problema para ti, lo más adecuado es que acudas a un dentista especializado en Estética Dental avanzada. De esta manera, podrás saber con certeza cuál es el tratamiento que más se adapta a tus necesidades.
Esperamos que esta guía te haya servido para resolver tus dudas acerca de las carillas o saber si es el tratamiento que quieres llevar a cabo. Reserva tu valoración gratuita hoy mismo en Ferrus & Bratos y transforma tu sonrisa. Nuestro equipo está listo para ayudarte a lograr el cambio que deseas.
En Ferrus & Bratos nos guiamos por unas pautas editoriales que aseguran la veracidad de toda la información que publicamos.
Dr. Jorge Ferrús es fundador de la Clínica Dental Ferrus & Bratos, donde ejerce de periodoncista e implantólogo. Es licenciado en Odontología y se especializó a través del Máster en Periodoncia e Implantes de la Universidad Complutense de Madrid.