¿Recuerdas los dientes separados en la infancia? Bien, pues esta facción, que es el diastema, ahora está en tendencia entre los famosos. El diastema dental, ese pequeño espacio entre los dientes, ha pasado de ser una «imperfección» a convertirse en una tendencia de moda. Desde celebridades hasta influencers, muchas personas lucen con orgullo sus sonrisas únicas. Pero, ¿qué es exactamente el Diastema y qué hay detrás de esta moda?
Si te preguntas por qué, lo cierto es que así son las modas, y más cuando las encuentras en ciertos círculos, pero estas, en ocasiones, pueden ocasionar algunas consecuencias que las convierten en preferencias peligrosas. En los últimos años, el diastema ha ganado popularidad gracias a figuras públicas como Madonna, Georgia May Jagger o Lara Stone, quienes han convertido esta característica en un símbolo de belleza única. Muchas personas incluso buscan formas de crear un diastema artificial para imitar este look.

Georgia May Jagger luce con orgullo su diastema.
¿Qué es el diastema?
Empecemos por el principio: si quieres saber qué es el diastema nosotros te lo resumimos de forma sencilla, y es que se trata de la separación de dos o más dientes dejando un pequeño hueco entre los mismos. El diastema es un espacio visible entre dos dientes, generalmente los incisivos superiores. Normalmente, es muy común entre los incisivos superiores centrales, más conocidos como “palas”.
¿Por qué se ha convertido en una tendencia?
Algunas de las modelos más conocidas, como Jessica Hart, Lara Stone, Lindsey Wixson o Georgia May Jagger, también supusieron un cambio en este terreno, y llegaron a convertirlo en tendencia entre las altas esferas artísticas. Al saludar a Georgia May se puede afirmar sin ningún tipo de duda que es imposible escapar del peso de la genética. Más aún si esos genes proceden de su excelentísima (y satánica) majestad, Mick Jagger. La modelo (Londres, 1992), que recibe a YODONA enfundada en un ajustadísimo vestido negro de la primera colección oficial de David Koma para Thierry Mugler, es el vivo retrato del cantante de The Rolling Stones en su juventud. Aunque la boca es el rasgo que más delata a su padre, y del que ella presume.
El diastema de Georgia May Jagger es la tilde en la sílaba tónica de su boca. "¿Lo que me gusta de mi cuerpo? Mis labios", responde sin dudar. En cambio, cuando se le pregunta por su famoso diastema (la separación entre dientes que algunas 'celebrities' se han llegado a provocar de forma artificial), ese que se ha convertido en su marca personal, contesta con cierto sarcasmo: "Obviamente, nunca he usado ortodoncia, ni tampoco voy a hacerlo".
Como francesísima que es, Lea Seydoux huye de la pluscuamperfección. El tono de sus dientes es natural y mantiene su diastema (el espacio entre las paletas). Hay gente convencida de que esa típica separación los incisivos frontales es síntoma de buena suerte. Otros la ven cómo el súmmum de una sonrisa sexy. Tanto, que algunos piden un tratamiento de ortodoncia específico para separar esos dos dientes.

Ejemplo visual de un diastema antes y después del tratamiento.
Causas del Diastema
El crecimiento de la dentadura es diferente en cada paciente. Algunos pueden sufrir la reducción de las piezas dentales con el tiempo, otros su separación y movimiento, y otros incluso su no aparición en absoluto. Entre todas estas situaciones, el diastema se produce por diferentes motivos relacionados con el movimiento y la falta de piezas, pues son el origen de que el resto empiecen a desplazarse creando ese espacio entre ellas.
Sus causas son variadas y el hueco puede deberse al tamaño de las piezas dentales, la falta de alguna, o problemas relacionados con un frenillo muy grande. Diferencia en el tamaño de la arcada. Microdoncia. Se trata de un desajuste en el tamaño de los dientes que hace que algunos sean más pequeños de lo normal. Falta de un diente. La falta de una pieza dental puede acabar favoreciendo la movilidad del resto de dientes anexos. Frenillo interdental.
Además, la desproporción de los dientes también es una de las razones por las que se produce el diastema; cuando estos son más pequeños de lo común, no ocupan todo el espacio destinado a su grosor y se crean huecos.
La causa más artificial: cirugía para arreglar tus dientes
Como ya hemos dicho, el diastema se ha convertido en tendencia entre los sectores artísticos, lo que ha hecho que muchas personas acudan a las clínicas a someterse a cirugías poco invasivas para crear el efecto en sus dientes. Pero, tal cual hemos dicho y como cualquier problema de la salud bucodental, este puede provocar afecciones posteriores que no se tienen en cuenta durante el proceso de cambio dental.
¿Tienes los dientes separados? DIASTEMA. Tratamiento.
Tratamientos para corregir el diastema
Recordemos que es esencial reiterar la importancia del amor propio y de la defensa de los defectos naturales para aprender a querernos a nosotros mismos, pero algunos como el diastema pueden tener efectos secundarios más adelante que debemos prevenir. Aunque el diastema puede ser una elección estética, en algunos casos es necesario corregirlo por razones funcionales o de salud bucal.
Y es que aún hoy se ofrecen multitud de tratamientos para eliminar ese hueco, para muchos todo un suplicio estético, que debe tratarse con ortodoncia, en la mayoría de los casos. El más recomendado es la ortodoncia que aplicamos en nuestra clínica en Barcelona. Para solucionar problemas de dientes separados, nuestra recomendación es la ortodoncia en nuestra clínica. Después, podemos usar el Diseño de Sonrisa.
En este caso, el diastema en los dientes puede tratarse con diferentes métodos, como un tratamiento de ortodoncia adaptado a la cavidad bucal, empastes que cubran la totalidad del hueco, o el uso de carillas o implantes si la pieza está muy dañada con el roce y el paso del tiempo.
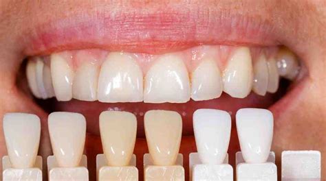
Las carillas dentales se presentan como una solución a los diastemas efectiva y popular. Aunque cerrar diastemas es una de las principales razones por las que se colocan carillas, estas finas piezas de porcelana o composite tienen otras aplicaciones fascinantes. Las carillas dentales son una solución efectiva y estética para corregir el hueco entre los dientes, ofreciendo resultados rápidos y duraderos.

Las carillas dentales ofrecen una solución estética y duradera para corregir diastemas.
Carillas Dentales: Aspectos a considerar
- De porcelana.
- Antes de proceder con las carillas dentales, es esencial asegurar la salud y preparación adecuada de tus dientes y encías para garantizar resultados óptimos y duraderos.
- Mordida y alineación: las carillas son ideales para correcciones estéticas menores, no para problemas significativos.
- El proceso para obtener carillas dentales es relativamente sencillo. Luego, preparamos tus dientes naturales, lo que puede incluir un ligero limado para asegurar un ajuste perfecto.
- Las carillas requieren cuidados similares a tus dientes naturales.
Diastema: ¿Corrección necesaria o rasgo distintivo?
Es importante señalar que los diastemas, per se, no revisten ningún riesgo para la salud bucodental, por lo que la decisión de corregirlos atenderá únicamente a criterios estéticos o a una causa subyacente que sí sea patológica. Muchas personas se sienten a gusto con sus diastemas y, en estos casos, no hay motivo para intervenir sobre ellos.
El Diastema dental o dientes separados es un fenómeno fascinante que combina estética, moda y salud bucal. Si bien puede ser una tendencia atractiva para algunos, es importante evaluar cada caso individualmente para garantizar una sonrisa sana y funcional.