La salud de nuestras encías es fundamental para mantener una boca sana. El primer síntoma que nos alerta de la presencia de gingivitis es el sangrado de las encías al cepillarnos los dientes. En la mayoría de los casos, el problema se debe a una higiene deficiente o a una técnica de cepillado inadecuada.

¿Qué es la Gingivitis?
El término técnico para la inflamación de las encías es gingivitis. Se trata de una infección de las encías por gérmenes de la cavidad bucal. Así es como se desarrolla normalmente la inflamación de las encías: Si los dientes y los espacios interdentales no se limpian a fondo y con regularidad, se acumula placa, sobre todo en la línea de las encías. Las bacterias y otros gérmenes pueden propagarse y multiplicarse maravillosamente en esta placa. A continuación, atacan las encías.
La acumulación de sarro sobre los dientes y las encías produce la inflamación de las mismas. Inicialmente el proceso es totalmente reversible, resolviéndose con una correcta eliminación del sarro depositado sobre los dientes en la clínica dental y con una correcta higiene dental. El higienista dental nos instruirá sobre como eliminar de manera más efectiva las bacterias que todos tenemos en la boca.
Diferencias entre Gingivitis y Periodontitis
La inflamación relativamente inofensiva de las encías, la gingivitis, se confunde a menudo con la periodontitis, mucho más grave. La gran diferencia: En la gingivitis, la inflamación sólo afecta a las encías. En la periodontitis, la inflamación se extiende también a los huesos. No sólo se retraen las encías, sino también los huesos maxilares.
En las Periodontitis ya no sólo tenemos una infección de la encía sino que la destrucción ya ha afectado al resto de los tejidos de soporte del diente.
Causas de la Gingivitis
La amarga verdad es que la causa más grave, con diferencia, es un cepillado dental inadecuado. Nuestra cavidad bucal es un auténtico biotopo para innumerables bacterias que se alimentan de restos de comida. Cuantos más restos de comida dejemos en la boca, más rápido se propagarán las bacterias. Producen una denominada biopelícula que cubre los dientes y la línea de las encías. Las bacterias están bien protegidas de las defensas del sistema inmunitario y pueden multiplicarse a las mil maravillas. Si esta placa no se elimina a fondo dos veces al día con un cepillo de dientes, las bacterias toman el control y segregan productos metabólicos, ácidos y toxinas que atacan las encías.
Además, las heridas en las encías también pueden causar gingivitis si las colonizan bacterias. Quien piense que está haciendo algo bueno al lavarse los dientes con todas sus fuerzas, lamentablemente se equivoca. A la hora de cepillarse los dientes correctamente rigen dos principios: a fondo y con suavidad. Si se cepilla con un cepillo duro, se corre el riesgo de herir las encías. Si las bacterias se propagan por la herida, la inflamación de las encías es inevitable. Además, los cepillos duros no pueden eliminar la placa por completo, ya que las cerdas son demasiado rígidas.
Otros factores que pueden contribuir a la gingivitis incluyen:
- El estrés y la tensión mental afectan a todo el organismo, ya que disminuyen las defensas inmunitarias y facilitan la propagación de la inflamación, lo que también es aplicable a la gingivitis.
- Ciertos medicamentos también pueden favorecer la inflamación de las encías.
- Cuando el equilibrio hormonal está alterado, esto repercute en el riego sanguíneo de las encías. La inflamación de las encías es especialmente frecuente durante el embarazo, la pubertad, la menopausia y la menstruación.
- Fumar dificulta la circulación sanguínea.
Síntomas de la Gingivitis
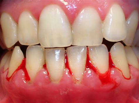
El primer signo suele ser el sangrado de las encías: Cuando te cepillas los dientes, la pasta que escupes no es blanca, sino de color rojizo. Morder una manzana deja un regusto metálico y marcas rojas. Y cuando te limpias entre los dientes, te sale sangre aunque no hayas apretado fuerte con el cepillo interdental ni te hayas resbalado con la seda dental. Si luego observas la zona sangrante, verás que las encías están rojas e inflamadas.
La gingivitis aguda no suele causar dolor y desaparece por sí sola en una o dos semanas si durante este tiempo se presta especial atención a un cuidado dental minucioso. Si no ha desaparecido, los médicos hablan de gingivitis crónica, que también puede causar dolor.

Tratamiento de la Gingivitis
En caso de gingivitis, lo más importante es un cuidado dental exhaustivo. Aunque sea desagradable e incluso pueda sangrar, una limpieza dental a fondo es una prioridad absoluta y el mejor remedio contra la gingivitis bacteriana. La inflamación aguda de las encías desaparecerá por sí sola. Sin embargo, hay algunas cosas importantes que debes tener en cuenta para evitar daños mayores en las encías.
El tratamiento de la gingivitis se centra en:
- Higiene bucal minuciosa: Cepillarse los dientes dos veces al día durante unos tres minutos con un cepillo suave.
- Uso de hilo dental o cepillos interdentales: Para limpiar los espacios entre los dientes donde se acumula la placa.
- Limpieza profesional: Un dentista debe eliminar la placa dura como una roca que alberga bacterias utilizando un equipo especial.
- Enjuagues bucales: El estándar de oro para tratar la inflamación de la boca es el principio activo clorhexidina, que en términos sencillos mata todas las bacterias de la cavidad bucal.
Fases del Tratamiento Periodontal
En casos de periodontitis, el tratamiento puede incluir varias fases:
- Fase 1: Eliminación del sarro depositado sobre los dientes en la clínica dental y con una correcta higiene dental.
- Fase 2: Raspado y alisado radicular, también llamado curetaje o raspaje, para eliminar las bacterias patógenas adheridas a las raíces de los dientes.
- Fase 3: A veces, se utilizarán también antibióticos específicos como apoyo.
- Fase 4: En casos en los que existen pérdidas óseas importantes, realizaremos un tratamiento periodontal regenerativo.
Es fundamental después del tratamiento inicial, hacer visitas de mantenimiento con el periodoncista cada 3 ó 6 meses según la severidad del caso, para controlar la infección de encías a largo plazo.
Abscesos en las Encías
Un absceso en la encía puede causar dolor intenso y ser una señal de infección. Es un problema que requiere atención inmediata para evitar complicaciones mayores. Un absceso es una acumulación de pus causada por una infección bacteriana. Puede formarse en diferentes partes de la encía y suele generar inflamación, dolor y malestar general.
FLEMÓN en una MUELA - Causas, TRATAMIENTO y remedios caseros para el ABSCESO dental | Dentalk! ©
Tipos de Abscesos
- Absceso gingival: Se desarrolla en la encía sin afectar los dientes.
- Absceso periodontal: Se forma en los tejidos de soporte del diente, como el hueso o el ligamento periodontal.
- Absceso periapical: Surge en la raíz del diente debido a una infección interna.
Causas de los Abscesos
Los abscesos gingivales no surgen de la nada. Detrás de ellos hay factores que, en muchos casos, puedes prevenir. Si cepillas tus dientes rápido, olvidas el hilo dental y no usas enjuagues, las bacterias se acumulan entre los dientes y las encías.
Otras causas incluyen:
- Enfermedades periodontales preexistentes, como la gingivitis o la periodontitis.
- Objetos extraños atrapados en la encía.
- Falta de higiene oral.
Síntomas de un Absceso
Te miras al espejo, notas una inflamación en la encía y ves una bolita blanquecina, como una especie de grano, que al presionarla suelta pus. El pus es una mezcla de células muertas, bacterias y fluidos corporales que se forma como respuesta del organismo a una infección.
Otros síntomas incluyen:
- Dolor intenso en la encía afectada, que puede irradiar a otras partes de la boca.
- Malestar general.
- Inflamación y enrojecimiento de la encía.
Tratamiento de Abscesos en las Encías
El tratamiento se centra en aliviar los síntomas y evitar que la infección se propague. Para ello, se realiza una incisión con el fin de drenar el pus. Esta solución es temporal y ayuda a calmar el dolor del paciente de manera inmediata.
El tratamiento puede incluir:
- Incisión y drenaje: El dentista hará una pequeña incisión en la encía para drenar el pus y aliviar la presión.
- Enjuagues: El dentista puede recomendar el uso de un enjuague específico durante unos días.
- Antibióticos: Se recetan solamente en casos puntuales, cuando la infección se ha extendido o presenta una mayor gravedad de la habitual.
- Tratamiento de periodoncia: Si existe una enfermedad de la encía, el tratamiento periodontal variará según su diagnóstico.
- Endodoncia: Si el origen está en una caries profunda o un traumatismo severo, se puede requerir una endodoncia.
- Cirugía periodontal: Se puede practicar en casos de periodontitis avanzada, cuando el tratamiento periodontal no permite retirar todo el sarro y las bacterias acumulados.

Prevención de Abscesos Periodontales
Lo más efectivo que puedes hacer para prevenir un absceso periodontal es, en primer lugar, mantener una buena higiene oral.
Medidas preventivas:
- Mantén una buena higiene oral, cepillándote suavemente para no irritar la zona.
- Evita tomar antibióticos por tu cuenta.
- Acude regularmente al dentista para revisiones y limpiezas profesionales.
Recuerda que estos consejos solo son un apoyo para aliviar temporalmente los síntomas y que no sustituyen el tratamiento profesional.
Si tienes problemas con un absceso gingival y estás en Tenerife, en Dental Estudio podemos ayudarte. Un absceso en la encía es una alerta de que algo no está bien en tu boca. Ignorarlo puede llevarte a complicaciones graves, como la pérdida de dientes o infecciones sistémicas.
tags: #gingivitis #pus #encias