La gingivitis es una fase temprana de la enfermedad periodontal muy común en todo el mundo. Como sabes, la gingivitis es una enfermedad periodontal (de las encías) que provoca síntomas muy molestos en la boca y que, si no recibe el tratamiento adecuado, puede causar otros problemas futuros. La gingivitis es una afección tratable y prevenible que, si se aborda a tiempo, puede evitar complicaciones graves como la periodontitis. Recuerda mantener una rutina adecuada de higiene bucal, realizar visitas regulares al dentista y adoptar hábitos de vida saludables son esenciales para preservar la salud de tus encías.

¿Qué es la Gingivitis?
El término técnico para la inflamación de las encías es gingivitis. La gingivitis es una inflamación de las encías causada principalmente por la acumulación de placa bacteriana en los dientes. Se trata de una infección de las encías por gérmenes de la cavidad bucal. La gingivitis se produce por una acumulación de la placa bacteriana en la parte de las encías que rodea la base de los dientes. Este sarro acumulado puede ocasionar una infección bacteriana que da lugar al problema.
En esta primera fase de la enfermedad periodontal, el daño es reversible porque el hueso y el tejido conectivo que sujetan los dientes no se están afectados. En esta primera etapa de la enfermedad, el daño puede revertirse, ya que el hueso y el tejido conectivo que sostienen los dientes todavía no han sido afectados.
Si los dientes y los espacios interdentales no se limpian a fondo y con regularidad, se acumula placa, sobre todo en la línea de las encías. Las bacterias y otros gérmenes pueden propagarse y multiplicarse maravillosamente en esta placa. A continuación, atacan las encías.
La inflamación relativamente inofensiva de las encías, la gingivitis, se confunde a menudo con la periodontitis, mucho más grave. La gran diferencia: En la gingivitis, la inflamación sólo afecta a las encías. En la periodontitis, la inflamación se extiende también a los huesos. No sólo se retraen las encías, sino también los huesos maxilares. La pérdida de dientes no es la peor consecuencia de la periodontitis. Las bacterias pueden entrar en el torrente sanguíneo a través de las encías y llegar así también al corazón y al cerebro.
GINGIVITIS TRATAMIENTO y SÍNTOMAS - ENCIAS INFLAMADAS
Causas de la Gingivitis
Es por todos conocido que algunos hábitos como no cepillarse, no usar hilo dental o no enjuagarse, pueden causar la enfermedad periodontal o gingivitis , pero esta inflamación de las encías también tiene otras causas menos conocidas o incluso sorprendentes. La gingivitis se desarrolla principalmente debido a la acumulación de placa bacteriana en los dientes. La placa es una película que se forma constantemente en los dientes y encías. La mala higiene bucal es una de las principales causas de la gingivitis.

Las causas más comunes de la enfermedad periodontal son las siguientes:
- La placa: La principal causa de la enfermedad periodontal o gingivitis es la placa, una gruesa película de bacterias que se forma sobre las encías y los dientes y que se puede eliminar con una rutina diaria de cepillado, hilo dental y enjuague.
- El tabaquismo: El tabaco interfiere en el funcionamiento normal de las células del tejido de las encías y deja la boca vulnerable a las infecciones, por eso también es una posible causa de la enfermedad periodontal.
- Los cambios hormonales: Los altibajos hormonales como ocurren durante el embarazo, el ciclo menstrual, tratamientos hormonales, etc… pueden dejar las encías más vulnerables a la enfermedad periodontal.
- Los medicamentos: Un efecto secundario de algunos medicamentos es reducir la producción y el flujo de la saliva, lo que deja una boca seca en la que las bacterias pueden proliferar rápidamente.
- Las deficiencias nutricionales: Es importante tomar la cantidad diaria de vitaminas recomendada, ya que la deficiencia de vitamina C puede ser especialmente perjudicial para las encías.
- Los dientes torcidos: Si tus dientes, como pasa con frecuencia, se superponen o bien están torcidos o girados, esto puede ser una causa de la enfermedad periodontal. Esto se debe a que una mala alineación de los dientes crea más espacios donde la placa puede acumularse y dañar tus dientes y encías.
- Los antecedentes familiares: Si tienes antecedentes de enfermedad periodontal en la familia, díselo al dentista, ya que esto puede plantear un riesgo ligeramente mayor de padecer una infección bacteriana.
Además, existen una serie de factores de riesgo. Una gingivitis, e incluso una gingivitis crónica, pueden tener su razón de ser en:
- Mala higiene oral.
- Fumar o masticar tabaco.
- Mala alimentación.
- Cambios hormonales.
- Mala colocación de las piezas dentales.
Síntomas de la Gingivitis
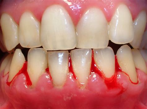
La gingivitis puede ser una afección silenciosa, ya que sus síntomas iniciales a menudo son leves y pueden pasar desapercibidos. La gingivitis es una inflamación de las encías y, por tanto, esta es la principal señal que te indicará que puedes estar sufriendo esta enfermedad periodontal. El primer signo suele ser el sangrado de las encías: Cuando te cepillas los dientes, la pasta que escupes no es blanca, sino de color rojizo. Morder una manzana deja un regusto metálico y marcas rojas.

Los síntomas incluyen encías rojas e inflamadas, sangrado al cepillarse, mal aliento y sensibilidad dental. Para saber si tienes gingivitis presta atención a estos síntomas:
- Encías rojas o inflamadas: Si tus encías están rojizas o irritadas, puede que tengas gingivitis.
- Encías que sangran: Aunque pase muy a menudo y parezca algo muy normal, lo cierto es que no es común ni saludable que las encías sangren durante el cepillado o el uso del hilo.
- Mal aliento: El mal aliento es la consecuencia directa de la acumulación de placa en la lengua, lo que supondría que las bacterias no están siendo eliminadas correctamente y, por lo tanto, la higiene bucal no es la mejor.
- Dolor y sensibilidad: Los síntomas de la gingivitis podrían empeorar si no se tratan a tiempo, lo que podría dar lugar a la periodontitis.
- Encías retraídas: Las encías retraídas son relativamente comunes y también aparecen cuando se tiene sensibilidad dental. Pero en algunos casos son indicativo de gingivitis.
Uno de los síntomas más comunes de la gingivitis es la inflamación de las encías. Las encías pueden aparecer rojas, hinchadas y sensibles al tacto. También es frecuente el sangrado al cepillarse los dientes o al usar hilo dental, un signo claro de que las encías están irritadas. Otro síntoma es la retracción de las encías, donde las encías se alejan de los dientes, haciendo que estos parezcan más largos. Esto puede ser una señal de que la gingivitis está avanzando y causando daño a las estructuras de soporte de los dientes.
Diagnóstico de la Gingivitis
El diagnóstico temprano de la gingivitis es importante para prevenir su progresión y otras complicaciones graves. El diagnóstico de la gingivitis se realiza mediante una evaluación dental completa, que incluye un examen físico de las encías y radiografías para evaluar la salud del hueso subyacente. Durante el examen físico, nuestro dentista inspeccionará tus encías en busca de signos de inflamación, enrojecimiento, sangrado y sensibilidad. Utilizamos tomografías computarizadas (TAC dental) para evaluar la salud de los huesos que sostienen los dientes.
Tratamiento de la Gingivitis
El primer paso en el tratamiento es una limpieza dental profesional, que elimina la placa y el sarro acumulados en los dientes y debajo de las encías. En casos más severos, puede ser necesario realizar un raspado y alisado radicular. En SJD Dentistas, enseñamos a nuestros pacientes técnicas efectivas de cepillado y uso de hilo dental o cepillo interdental para asegurar una limpieza adecuada de los dientes.
¿Cómo Prevenir la Gingivitis?
Prevenir la gingivitis es clave para mantener una buena salud bucal y evitar complicaciones mayores. Para prevenir la gingivitis se debe mantener una adecuada higiene bucal, cepillarse los dientes al menos dos veces al día, usar hilo dental diariamente y visitar al dentista regularmente para limpiezas dentales y revisiones.

La inflamación aguda de las encías desaparecerá por sí sola. Sin embargo, hay algunas cosas importantes que debes tener en cuenta para evitar daños mayores en las encías. Durante la gingivitis, cepíllate los dientes como de costumbre dos veces al día durante unos tres minutos, idealmente después del desayuno y justo antes de acostarte. Si sus encías ya están inflamadas e irritadas, debería utilizar un cepillo especialmente suave. Evite los dentífricos con agentes blanqueadores agresivos, abrasivos para el esmalte e ingredientes como el SLS (laurilsulfato sódico).
Además, no te olvides de usar colutorio para llegar a aquellos lugares de la boca donde no puede limpiar el cepillo de dientes. Usar colutorio dos veces al día puede suponer un gran cambio en tu salud bucodental.
Aquí hay algunos consejos adicionales para prevenir la gingivitis:
- Visitar al dentista periódicamente para limpiezas y revisiones.
- Controlar la alimentación, limitando el consumo de grasas y azúcares.
- Adoptar prácticas de higiene bucal saludables.
Complicaciones de la Gingivitis
Si no se trata adecuadamente, la gingivitis puede llevar a complicaciones graves que afectan más allá de la salud bucal. La inflamación crónica de las encías también puede tener otras repercusiones. La gingivitis también puede afectar la calidad de vida, causando mal aliento persistente y encías dolorosas o sangrantes, lo que puede hacer incómodo comer, beber y hablar.
| Aspecto | Gingivitis | Periodontitis |
|---|---|---|
| Inflamación | Limitada a las encías | Se extiende a huesos y tejidos |
| Daño | Reversible | Irreversible |
| Pérdida de dientes | No común | Posible |
| Tratamiento | Higiene bucal y limpieza profesional | Tratamientos más complejos y, a veces, cirugía |