Un tratamiento de ortodoncia con brackets generalmente dura entre 12 y 24 meses. Pero, ¿qué ocurre durante este tiempo para lograr una sonrisa perfecta, tanto estética como funcionalmente? Este artículo detalla las cuatro fases clave del tratamiento con brackets.

Fases del Tratamiento de Ortodoncia
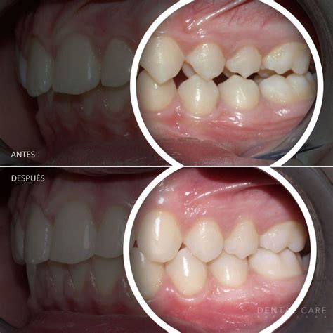
1. Alineación y Nivelación Inicial
Durante las primeras semanas, los dientes se alinean y nivelan gradualmente. Se utilizan fuerzas ligeras para corregir apiñamientos y discrepancias verticales. Esta fase suele ser rápida y gratificante, ya que los pacientes pueden ver mejoras visuales en la posición de sus dientes.
2. Corrección de la Mordida
Después de la alineación inicial, se corrige la mordida para asegurar que los dientes encajen en su posición óptima. De esta manera, encajamos los dientes en su posición óptima.
3. Cierre de Espacios
Una vez que la mordida es correcta, se procede a cerrar los espacios entre los dientes. Lo último que hacemos antes de retirar los brackets son pequeños ajustes de refinamiento con la finalidad de obtener un resultado final perfecto.
4. Refinamiento Final
Antes de retirar los brackets, se realizan pequeños ajustes de refinamiento para asegurar un resultado final perfecto. Lo último que hacemos antes de retirar los brackets son pequeños ajustes de refinamiento con la finalidad de obtener un resultado final perfecto.
5. Retención
Aunque a menudo se subestima, la fase de retención es crucial. Gracias a ella, conseguimos mantener en el tiempo los resultados obtenidos con el tratamiento de ortodoncia.

Duración del Tratamiento
Determinar la duración exacta del tratamiento es complejo y depende de varios factores:
- Edad del paciente
- Posición inicial de los dientes y huesos
- Tipo de tratamiento elegido
- Expectativas del paciente
En casos sencillos, el tratamiento puede completarse en 6 a 8 meses, especialmente en casos de leve apiñamiento o diastema. Sin embargo, casos complejos con maloclusión, mordida problemática o necesidad de extracciones pueden extenderse hasta 30 meses.

Por supuesto que hay casos complejos que pueden durar años, sin embargo, lo más frecuente es que el tratamiento de ortodoncia dure entre 12 y 24 meses.
Asimismo, cabe decir que no solamente verás los cambios en tus dientes, en ocasiones, debido a la mala alineación de la dentadura, la apariencia de los labios también se ve alterada.
En Dentisalut, recomendamos que lleves la retención el máximo de horas posible los 6 primeros meses, y después los uses mientras duermes mínimo dos años.
¿Cuándo se Notan los Resultados?
Desde el primer mes, muchos pacientes notan una mejoría significativa en su sonrisa. La posición ideal para hacer la fotografía es desde dentro de la cavidad oral, mostrando el arco dental. Verás qué rápido empiezas a notar esos cambios.

Tipos de Retenedores
Los retenedores son esenciales para mantener los resultados del tratamiento. Existen varios tipos:
- Retenedores fijos: Compuestos por un alambre colocado en la parte interna de los dientes, son discretos y permiten una vida normal.
- Retenedores removibles: Cómodos de quitar y poner, están formados por una base de plástico reforzada con un alambre.
- Retenedores transparentes: Fabricados con plástico resistente, son estéticos e invisibles.
Es importante decir que si no se usa de manera adecuada el retenedor dental, no habrá servido de nada que el paciente haya llevado ortodoncia.
😰¿TE PREOCUPA cuanto TIEMPO se usan los BRACKETS? Así es como se MUEVEN LOS DIENTES con los Brackets
El Dolor Durante el Tratamiento
Al inicio del tratamiento, es común experimentar dolor y molestias en los dientes y encías. Este dolor suele durar alrededor de una semana que puede mitigarse con la toma de analgésicos que el ortodoncista podrá prescribir. La mayoría de las personas se acostumbran a los brackets en aproximadamente un mes.
¿Cómo Funcionan los Brackets?
Los brackets son los aparatos más utilizados en la ortodoncia para corregir los defectos en la posición de los dientes, así como en las posibles alteraciones de los huesos en los que estos se insertan.
Para entender como los brakets alinean los dientes, es necesario que primero conozcamos sus partes, las forma en la que se colocan, y el efecto que estos tienen sobre tus dientes.
Partes de los Brackets
- La base: Es la pieza sobre la que se coloca el cemento especial para adherirlo a la superficie del diente.
- Las aletas: Son las partes que sobresalen hacia el labio, las cuales se encargan de sostener las ligaduras a su alrededor para formar lo que en odontología se conoce cómo el arco.
- El slot: Son los espacios que existen en cada una de las aletas.
Tipos de Fuerzas Aplicadas
Dependiendo de la forma del arco, y según se coloquen los brackets, estos puede ejercer sobre los dientes tres tipos de fuerzas, la cual generará un movimiento específico en la dentadura:
- Fuerza de primer orden: Proporciona ajustes horizontales.
- Fuerza de segundo orden: Permite ajustes verticales y correcciones de la inclinación axial de los dientes.
- Fuerza de tercer orden: Actúa sobre la posición de las raíces respecto a las coronas de los dientes en el sentido labio-palatino.
Con una planificación adecuada y constancia, el tratamiento de ortodoncia puede transformar tu sonrisa y mejorar tu salud bucal a largo plazo.