La ortodoncia fija, que consta de brackets metálicos o cerámicos, es uno de los tratamientos más efectivos y utilizados para corregir maloclusiones, alinear los dientes y mejorar la estética facial. Si tú o tu hijo estáis pensando en poneros ortodoncia, esta guía te ayudará a resolver tus dudas.

¿Qué son los Brackets?
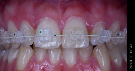
Los brackets son la aparatología fija que utilizamos en ortodoncia para la corrección de las maloclusiones en dentición definitiva. Son piezas cuadrangulares que se adhieren a los dientes mediante adhesivos especiales, unidos entre ellos por un arco. La ortodoncia es la especialidad de la odontología dedicada a corregir las maloclusiones dentales, tanto en dentición temporal como en permanente.
Tipos de Ortodoncia actualizado a 2024 ✅
Tipos de Brackets
Hoy en día, los brackets son pequeños y discretos, pegándose a cada diente. Existen diferentes tipos, entre ellos:
- Metálicos: Los tradicionales y más económicos.
- De zafiro: Más estéticos, transparentes y adaptan el color del diente.
- Porcelana: Otra opción estética, pero más costosa.
- Autoligables (Damon): No requieren ligaduras, son más cómodos y facilitan la higiene.
- Lingual: Se colocan en la cara interior del diente, haciéndolos invisibles.
- Invisalign: Férulas transparentes, cómodas e imperceptibles.

¿Necesito Brackets?
El dentista suele recomendar los aparatos para mejorar el aspecto físico «orofacial» del paciente. Mediante el tratamiento de ortodoncia se corrigen problemas como:
- Dientes torcidos o apiñados
- Sobremordida
- Protusión
- Posición incorrecta de la mandíbula
- Trastornos de las articulaciones mandibulares
Podrías necesitar brackets si:
- Tienes dientes apiñados o muy separados.
- Padeces maloclusión.
- Las piezas dentales están inclinadas o giradas.
- Alguno de los maxilares está muy salido.
¿Cuándo es el Momento Adecuado?
Las personas con problemas de ortodoncia pueden beneficiarse del tratamiento casi a cualquier edad. Sin embargo, dado que cualquier cambio en la apariencia puede ser traumático para un niño durante estos años tan delicados, los padres deben hablarlo detenidamente con sus hijos antes de proceder con los brackets.
Los brackets se pueden colocar a partir de los 10 u 11 años, cuando ya están todos los dientes permanentes. La ventaja de iniciar el tratamiento a esta edad es que las piezas se mueven con mayor facilidad que en un adulto, debido a que el hueso aún no está calcificado.
Y los brackets no son solo para niños. Son cada vez más los adultos que también llevan ortodoncia para corregir problemas menores y mejorar sus sonrisas. Los dientes se pueden mover y enderezar a cualquier edad, y los beneficios van más allá de la estética.

¿Cómo Prepararse para la Primera Cita?
Es importante que tu ortodoncista conozca tu historial médico y si tienes condiciones que puedan afectar el tratamiento. Debes indicarle si tomas algún medicamento, si tienes alergias y cualquier cirugía previa. También lleva detalles del historial dental, como tratamientos pasados y rayos X.
Haz una lista de preguntas sobre los planes de tratamiento, duración, tipo de brackets y qué esperar del tratamiento.
Procedimiento de Colocación de Brackets
La colocación suele durar entre 45 y 90 minutos. La colocación en sí no duele.
| Paso | Qué hace el ortodoncista | Qué siente el paciente |
|---|---|---|
| 1. Limpieza | Pulido y secado del esmalte | Nada |
| 2. Grabado + adhesivo | Preparar superficie | Sabor extraño |
| 3. Colocación | Posiciona brackets | Presión leve |
| 4. Fotopolimerización | Endurece cemento | Sin dolor |
| 5. Arco inicial | Inserta y fija el arco | Presión ligera |
¿Cuánto Tiempo Tendré que Llevarlos?
Eso depende del plan de tratamiento. Por lo general, cuanto más complicado sea el problema de espaciado o de mordida, y cuanto mayor sea la edad, más largo será el período de tratamiento. La mayoría de los pacientes tendrán que llevarlos entre 18 y 30 meses, seguido por el uso de un retenedor durante unos meses o hasta dos años para fijar y alinear los tejidos que rodean los dientes corregidos. Algunos pacientes podrían tener que llevar el retenedor de forma permanente para evitar que la mordida vuelva al estado original.
¿Será Incómodo el Tratamiento?
Los alambres de interconexión se tensan en cada visita al dentista, ejerciendo una leve presión sobre los brackets o bandas para desplazar los dientes o los maxilares, gradualmente hasta la posición deseada. Tus dientes y mandíbulas podrían estar ligeramente doloridos después de cada visita, pero las molestias duran poco. Recuerda también que puede ser necesario extraer algunas piezas dentales para hacer sitio a los dientes que se desplazan con los brackets y para una correcta alineación de los maxilares.
Al colocar un arco para unir todos los brackets, provocamos una inflamación leve en el ligamento periodontal, lo que puede provocar ligeras molestias un par de días. Por eso se recomienda dieta blanda al inicio, y como mucho tomar algún tipo de analgésico para solventar las molestias. El dolor es muy subjetivo a cada individuo.
¿Cuál es el Coste de la Ortodoncia?
Hoy en día, es posible costearse una ortodoncia sin arruinarse. Su coste varía en función de la extensión del trabajo necesario. El tratamiento completo con brackets metálicos cuesta entre 2000 y 3000 €, con brackets cerámicos entre 2500 y 4000 €. Por su parte, los brackets linguales son más costosos, entre 3000 y 7000 euros; mientras que los autoligables varían entre 3000 y 5000 €.
Consulta también con tu entidad de prestaciones sanitarias la posibilidad de utilizar el dinero de una cuenta de gastos flexibles o de un plan de ahorro sanitario para compensar cualquier diferencia de coste que no cubra el seguro.
Cuidado Bucal con Brackets
Seguir una rutina de cuidado bucal constante, tal y como te ha recomendado tu dentista, te ayudará a mantener tus dientes y encías sanos y a conservar tus aparatos en buen estado, a la vez que reducirá el riesgo de que se produzcan gastos adicionales por culpa de brackets o alambres dañados o rotos. La limpieza de los dientes te llevará más tiempo, pero merece la pena el esfuerzo. Recuerda que puedes limpiar tus dientes con brackets de forma más eficaz si utilizas productos especializados.
Existen unos cepillos específicos de ortodoncia, con una forma triangular en sus cerdas lo que permite acceder a las esquinas de los brackets. También hay un cabezal especial de ortodoncia para cepillos eléctricos. Además es necesario reforzar el cepillado con cepillos interproximales o hilo superfloss.

Alimentación con Brackets
Cuando tienes brackets debes ajustar tu forma de comer. Es posible que prefieras alimentos blandos para evitar las molestias los primeros días después de la colocación de la ortodoncia, pero más adelante ya puedes comer relativamente normal. Aunque durante todo el tratamiento te recomendamos evitar alimentos con mucha azúcar, gomosos y muy duros. La azúcar para evitar la caries, mientras que los gomosos y duros podrían afectar los brackets. Evita también comer alimentos a mordiscos, como la manzana. Puedes seguir comiéndolos, pero debes picarlos para que no se despeguen los brackets.
¿Quién se Encargará de mi Tratamiento?
Tu dentista es el responsable de coordinar el tratamiento dental, que podría abarcar cualquier plan de tratamiento de ortodoncia, incluyendo el diagnóstico, los exámenes y algunos procedimientos de ortodoncia.