Los traumatismos faciales son frecuentes y se producen principalmente en el contexto de accidentes de tráfico y laborales, agresiones o caídas accidentales. Suponen un reto diagnóstico por la complejidad del esqueleto facial y la dificultad para conseguir imágenes sinclíticas, por lo que la radiología tiene un papel fundamental en su manejo.
La técnica diagnóstica de elección es la tomografía computarizada (TC) multidetector, que permite una rápida adquisición y su posterior evaluación mediante reconstrucciones multiplanares y volumétricas, fundamental para el diagnóstico y el manejo quirúrgico de las fracturas faciales y de las complicaciones asociadas. En este contexto, el objetivo de los estudios de imagen es definir el número y la ubicación de las fracturas faciales, con especial atención a la identificación de lesiones en estructuras funcionales de la cara y aquellas con repercusión estética, así como la posible afectación de la columna vertebral o el cráneo.
A continuación, se presenta un caso clínico que ilustra el manejo de un hemoseno maxilar como complicación de una reducción cerrada de fractura de arco cigomático.
Caso Clínico: Hematoma Orbitario Drenado a Través del Seno Maxilar
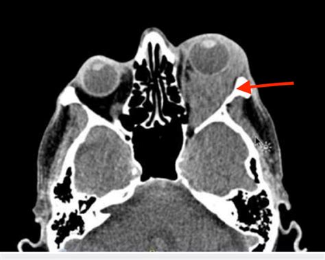
Paciente de 23 años, que tras sufrir un traumatismo facial izquierdo, presenta herida subpalpebral que fue suturada en urgencias, fractura de arco cigomático con hundimiento del mismo y fractura órbito-malar sin desplazamiento. De acuerdo con el paciente, se decide realizar tratamiento, de forma programada, de la fractura de arco cigomático mediante reducción cerrada con gancho de hueso. Dos días después de la fractura y bajo anestesia general, se incide con bisturí frío sobre la zona de la fractura, se introduce el gancho de hueso y una vez colocado por debajo de la fractura del arco, se realizan maniobras de tracción del arco cigomático para su reducción, tras varias manipulaciones se aprecia proptosis aguda con dificultad para la retropulsión del globo ocular izquierdo y hernia conjuntival izquierda.

Proptosis aguda y hernia conjuntival izquierda tras la manipulación quirúrgica.
Diagnóstico y Manejo
Como complicación de las maniobras quirúrgicas y/o movilidad de los focos de fractura, aparece un hematoma orbitario, que decidimos drenar de forma urgente, en el mismo acto quirúrgico, mediante una incisión en fondo de vestíbulo oral, desperiostización, apertura del seno maxilar mediante punción con una pinza tipo Crile, sin esperar al montaje y puesta en marcha del micromotor quirúrgico, e introducción de la cánula de aspiración a través de la apertura ósea, rápidamente se aprecia la aspiración de sangre y la resolución del hematoma, disminuyendo la proptosis y la hernia conjuntival. Colocamos un drenaje intraoral.
Elegimos la vía intraoral porque pensamos que es una vía rápida de acceso al hematoma, facilitado, en este caso, por la fractura del suelo de la órbita, aunque sin desplazamiento, que presentaba el paciente, lo que seguramente nos iba a facilitar el drenaje. Decidimos no abrir le herida traumática sobre el reborde orbitario que ofrecía, puesto que había sido suturada por otro profesional y no conocíamos su extensión.

Drenaje intraoral del hematoma orbitario.
Discusión
La reducción cerrada de fracturas de arco cigomático mediante un gancho de hueso, aunque no cumple algunos de los principios generales aceptados en el tratamiento de fracturas faciales (exposición de los focos de fractura, reducción anatómica, fijación interna rígida), es una de las técnicas admitidas para mantener la proyección lateral del tercio medio facial, aunque la garantía de exactitud y estabilidad que aporta, pueden llegar a ser difíciles de evaluar intraoperatoriamente: la primera depende principalmente de la valoración subjetiva del cirujano y la segunda de la integridad de las fijaciones periósticas.
Conociendo la anatomía de la órbita, entendemos su falta de flexibilidad y, por tanto, pequeños hematomas ya pueden crear un "síndrome compartimental" con aumento de la presión intraorbitaria, exoftalmos, compresión vascular y/o del nervio óptico de dramáticas consecuencias. Los signos que avisan intraoperatoriamente de un hematoma orbitario son: proptosis aguda con dificultad para la retropulsión, inflamación/hematoma periorbitario y dilatación de la pupila.
Se trata de una complicación que debemos tratar de inmediato, puesto que de la rapidez del diagnóstico y de la decisión de realizar un drenaje quirúrgico urgente, dependerá la recuperación funcional del ojo y la no pérdida de visión o incluso ceguera. La descompresión quirúrgica puede ser realizada por distintas vías, apertura de heridas locales si han existido tras el traumatismo, incisión en cola de ceja o sobre la misma, de acceso a suelo de órbita (transconjuntival, subciliar, siguiendo pliegues palpebrales o reborde infraorbitario), cantotomía lateral con cantolisis, endoscópica endonasal, vía Cadwel-Luc.
El tratamiento se completa con terapia médica, administrando altas dosis de corticoides e incluso diuréticos. Es fundamental una valoración posterior del oftalmólogo, estudiando el fondo de ojo, la función del nervio óptico y la presión intraocular.
Anatomía Radiológica y Clasificación de las Fracturas Faciales
El esqueleto facial está compuesto por 5 huesos impares: frontal, etmoides, vómer, esfenoides y mandíbula, y 6 huesos pares: cigomático, maxilar superior, nasal, cornete inferior, lacrimal y palatino. La región facial puede dividirse en 3 tercios: superior (hueso frontal), inferior (mandíbula) y medio (desde el reborde orbitario superior hasta el proceso alveolar del maxilar superior).
De especial importancia son los denominados contrafuertes o arbotantes, pilares óseos que mantienen las unidades funcionales de la cara y absorben y distribuyen las fuerzas generadas por un traumatismo. Existen 8 contrafuertes, 4 verticales y 4 horizontales.

Contrafuertes verticales y horizontales del esqueleto facial.
A continuación, se describen los contrafuertes faciales:
| Contrafuertes Verticales | Contrafuertes Horizontales |
|---|---|
| Maxilar Medial | Maxilar Superior |
| Maxilar Lateral | Maxilar Inferior |
| Mandibular Medial | Mandibular Superior |
| Mandibular Lateral | Mandibular Inferior |
Clasificación de las Fracturas del Tercio Medio Facial
En la división actual por subunidades del tercio medio facial se distinguen las siguientes fracturas: orbitarias, naso-órbito-etmoidales (NOE), nasoseptales, del complejo cigomático maxilar (CCM) y del segmento maxilar oclusor.
Fracturas Orbitarias: Se dividen en puras (paredes internas de la órbita sin afectación del reborde orbitario) e impuras (afectan también al reborde orbitario).
Fracturas Naso-Órbito-Etmoidales (NOE): Causadas por traumatismos en la raíz nasal, afectando huesos nasales, procesos frontales del maxilar, huesos lacrimales, etmoides, paredes de los senos frontales y tabique nasal.
Fracturas Nasoseptales: Fracturas de los huesos nasales, clasificadas según el tipo de impacto (lateral o frontal).
Fracturas del Complejo Cigomático Maxilar (CCM): Causadas por traumatismo directo sobre la eminencia malar, afectando las suturas frontocigomática, cigomático maxilar, temporocigomática y esfenocigomática.
Fracturas del Segmento Maxilar Oclusor: Consecuencia de un traumatismo producido por un golpe violento, causando dolor intenso y dificultad para encajar los dientes.
Los traumatismos faciales son frecuentes y se suelen producir en accidentes de tráfico y laborales, agresiones o caídas accidentales. Suponen un reto diagnóstico dada la complejidad anatómica y la limitación de la valoración clínica, en parte debido a las lesiones de partes blandas asociadas.
La tomografía computarizada multidetector es la técnica diagnóstica de elección, que permite una rápida adquisición y su posterior evaluación mediante reconstrucciones multiplanares y volumétricas, fundamental para el diagnóstico y el manejo quirúrgico de las fracturas faciales y de las complicaciones asociadas.
Manejo integral del paciente con Trauma facial 💀 con CMF Álvaro Albarrán Becerril
tags: #hemoseno #maxilar #tratamiento