Los elásticos intermaxilares son elementos esenciales en el tratamiento ortodóntico. Su función principal es corregir la mordida, mejorar la oclusión y ayudar a alinear los dientes de manera efectiva.

La aplicación de elásticos intermaxilares en tratamientos ortodónticos es esencial para lograr una correcta alineación dental y funcionalidad mandibular. Estas gomas se pueden usar en todo tipo de ortodoncias y juegan un papel importante en tu tratamiento. Las gomas de la ortodoncia son pequeñas bandas elásticas que ayudan a corregir la mordida del paciente. Se usan cuando la ortodoncia sola no es suficiente, aplicando presiones y fuerzas.
El dentista decidirá si necesitas usar las gomas y cuándo llevarlas. Generalmente, se suelen utilizar dos tipos de gomas elásticas en la ortodoncia. Por un lado, tenemos las gomas elásticas o ligaduras y por otro lado, los elásticos intermaxilares.
Tipos de Gomas Elásticas en Ortodoncia
¿En qué se diferencia cada una de ellas?
Gomas Elásticas o Ligaduras
Este tipo de producto hace referencia a las gomas elásticas que se colocan alrededor de cada bracket. Su objetivo principal es asegurar que el arco, un alambre metálico que conecta los brackets, se sujete bien al bracket en cada pieza dental. Con la llegada de nuevos tipos de brackets, como los de autoligado, ya no se usan tanto estas ligaduras o gomas elásticas.
Estas gomas para brackets suelen estar disponibles en varios colores, aunque también existen transparentes o blancas, con las que podrás pasar más desapercibido. El dentista será quien coloque este tipo de gomas en los brackets. También te dirá cuándo debes ir a cambiar las gomas en las citas de seguimiento. Es importante mantenerlas en buen estado y comunicar cualquier problema que puedas ver.
El uso de las gomas en los brackets es diario, es decir, debes llevarlas para comer y para dormir. El tiempo total de su utilización en el tratamiento será determinado por tu profesional dental.
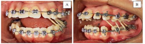
Elásticos Intermaxilares
Los elásticos intermaxilares son bandas elásticas algo más grandes que las anteriores. Se utilizan tanto en ortodoncia con brackets, como en tratamientos de ortodoncia invisible. Su función principal es ayudar a alinear el maxilar superior e inferior, permitiendo así el correcto encaje de los dientes. Igual que en el caso anterior, su uso será indicado por un profesional dental ya que dependen de cada caso.

La primera vez será el dentista quien coloque los elásticos intermaxilares sobre tu ortodoncia. Después, te enseñará cómo hacerlo para que seas tú mismo quien lo haga. Las bandas elásticas se estiran y se debilitan rápidamente. Es probable que tengas que cambiarlas al menos una vez al día pero, generalmente, su aplicación suele ser sencilla.
En el caso de los brackets, no tendrás más que engancharlas a la parte superior e inferior como te hayan indicado. En el caso de tratamientos con alineadores, existen dos formas para enganchar cada maxilar:
- Recortes: En el alineador, donde se juntan el diente y la encía, aparecerá una pequeña muesca en forma de “C”, tanto arriba como abajo, hecha para sujetar las gomas.
- Botones: En este caso será a través del cementado de unos botones dentales que se colocan en cada alineador.
La utilización de estos elásticos es diaria, incluyendo las horas de sueño. Únicamente deben quitarse para comer. En todo caso, este factor ha de ser indicado por el dentista encargado del tratamiento.
Función de los Elásticos Intermaxilares
La función principal de estos elásticos es corregir maloclusiones y mejorar la oclusión en general. Mediante la aplicación de fuerzas específicas, se busca realinear los dientes y permitir un cierre adecuado de la mordida. Los elásticos también juegan un papel fundamental en el cierre de espacios generados por la pérdida de dientes o en situaciones de apiñamiento.
Más allá de la estética, estos elásticos ayudan a estabilizar la mandíbula, garantizando una función masticatoria adecuada. Al corregir las posiciones dentales, se evita el desgaste desigual de los dientes y se minimiza el riesgo de trastornos en las articulaciones temporomandibulares.
Existen diferentes tipos de elásticos intermaxilares, cada uno diseñado para abordar necesidades específicas en los tratamientos ortodónticos. Estos elásticos se utilizan cuando la mordida posterior del paciente es adecuada. Su función principal es permitir la alineación de los dientes, ayudando a posicionar correctamente la mandíbula. Su aplicación es crucial en casos donde la mandíbula inferior está situada más atrás que la superior.
Este tipo de elástico está indicado cuando la mandíbula inferior se encuentra más adelantada en comparación con la superior.
Los elásticos intermaxilares se presentan en diferentes tamaños y niveles de resistencia. Es fundamental que el ortodoncista elija la variación correcta para cada caso, ya que esto influye en la eficacia del tratamiento.
Colocación y Uso Correcto
La colocación correcta de los elásticos intermaxilares es fundamental para asegurar la efectividad del tratamiento ortodóntico. Los elásticos intermaxilares se pueden utilizar con distintos tipos de brackets, siendo la técnica de colocación similar en ambos casos.
Para mantener la eficacia de los elásticos, es recomendable reemplazarlos cada 24 horas. Esto se debe a que pierden su elasticidad con el uso. El uso de elásticos también es posible con sistemas de ortodoncia invisible. Los elásticos se fijan a ganchos en los alineadores y botones cementados en los dientes, lo que asegura una sujeción eficaz durante el tratamiento.
La fijación adecuada de los elásticos influye en la fuerza aplicada y, por ende, en el movimiento dental.
La correcta utilización de los elásticos intermaxilares es esencial para maximizar los resultados del tratamiento ortodóntico. Para asegurar que el tratamiento resulte efectivo, es fundamental llevar los elásticos intermaxilares la mayor parte del día. Generalmente, se recomienda un uso de entre 18 a 20 horas diarias.
Es imprescindible retirar los elásticos antes de las comidas y al cepillarse los dientes. Esto no solo ayuda a mantener la higiene dental adecuada, sino que también previene cualquier daño a los elásticos. El éxito del tratamiento está directamente relacionado con la constancia en el uso de los elásticos. El incumplimiento de las recomendaciones puede prolongar el tiempo necesario para alcanzar los resultados esperados.
Posibles Molestias y Soluciones
El uso de elásticos intermaxilares puede provocar diversas molestias que los pacientes deben conocer. Al iniciar el tratamiento con elásticos, es común experimentar una sensación de presión en los dientes y la mandíbula. Esto se debe a las fuerzas ejercidas por las gomas, que están destinadas a mover y alinear los dientes.

Asimismo, algunos pacientes pueden sentir dolor muscular o articular, especialmente en la mandíbula. Este malestar puede surgir de la tensión generada durante el movimiento dental. Es esencial mantener una higiene bucal rigurosa. Si las molestias son significativas, es importante realizar consultas con el ortodoncista.
Las ligaduras o gomas en los brackets pueden causar molestias en los dientes al principio. En el caso de los elásticos intermaxilares, si la presión que ejercen te resulta incómoda, puedes probar a masajear la mandíbula. Cuando te quites las gomas para cambiarlas, puedes probar a activar y aliviar los músculos abriendo y cerrando la boca. Ante cualquier duda, lo recomendable es que se lo comentes a tu dentista.
Ligaduras vs. Elásticos Intermaxilares
Las ligaduras y los elásticos intermaxilares desempeñan roles distintos en el tratamiento ortodóntico. Las ligaduras son pequeñas gomas que se utilizan para sujetar los arcos a los brackets, asegurando que la fuerza se transfiera adecuadamente a los dientes. Por otro lado, los elásticos intermaxilares están diseñados para crear fuerzas entre la arcada superior e inferior, facilitando el movimiento de los dientes y la corrección de maloclusiones específicas.
La diferencia en el momento de uso de ambos tipos de gomas es igualmente significativa. La participación activa y constante del paciente juega un papel esencial en el éxito de cualquier tratamiento ortodóntico. El uso diario y correcto de los elásticos intermaxilares es crucial para el avance del tratamiento.
Rol del Paciente en el Tratamiento
La constancia del paciente asegura que las fuerzas aplicadas sobre los dientes y mandíbulas sean efectivas y continuas. La colaboración regular del paciente no solo influye en la mejora estética, sino que también determina la duración del tratamiento. Si se siguen las indicaciones del ortodoncista, se puede reducir considerablemente el tiempo necesario para lograr una mordida adecuada.
Tipos de Elásticos Intermaxilares
Los elásticos intermaxilares vienen en diferentes tipos, cada uno diseñado para cumplir con una función específica en el tratamiento ortodóntico. Los elásticos de Clase I se colocan entre dientes del mismo arco, generalmente para cerrar espacios o ajustar la posición de dientes individuales.
Por otro lado, los elásticos de Clase II se utilizan para corregir la sobremordida, ayudando a mover los dientes superiores hacia atrás y los inferiores hacia adelante. Esto es especialmente útil en pacientes con un perfil facial convexo, donde la mandíbula inferior está retruida.
Los elásticos de Clase III, por su parte, se utilizan para tratar la submordida, es decir, cuando los dientes inferiores están demasiado adelantados respecto a los superiores.
Además del tipo, los elásticos intermaxilares varían en tamaño y fuerza, lo que determina la cantidad de presión que aplican sobre los dientes. Los tamaños de los elásticos se miden en pulgadas o milímetros, mientras que la fuerza se mide en onzas o gramos. Un elástico demasiado débil puede no lograr el movimiento deseado, mientras que uno demasiado fuerte puede causar molestias o incluso dañar los dientes y las encías.
El uso de elásticos intermaxilares no es un proceso estático; requiere un seguimiento constante y, en muchos casos, ajustes durante el tratamiento. Es posible que sea necesario cambiar el tipo, tamaño o fuerza de los elásticos para continuar con el progreso.

¿Duele llevar gomas en la ortodoncia?
Llevar gomas elásticas en la ortodoncia no tiene por qué ser un obstáculo en tu día a día, pero es importante un uso y mantenimiento correcto. Recuerda lo siguiente:
- Cumple con las indicaciones de uso: es crucial seguir las instrucciones específicas del dentista sobre cuándo y cómo debes usar las gomas elásticas. Esto incluye la cantidad de tiempo diario que deben ser llevadas y la correcta colocación de las mismas.
- Una higiene bucal adecuada sigue siendo prioridad: el hilo dental o los cepillos interdentales pueden ser grandes aliados.
- Si las gomas de tu ortodoncia se desprenden de los brackets o se rompen, es importante que contactes a tu dentista.
En algunos tratamientos de ortodoncia, el ortodoncista puede recomendar el uso de elásticos como parte del tratamiento. Estas bandas de goma se usan durante la fase de alineación de la mordida del tratamiento de ortodoncia, cuando se está intentando corregir la forma en que se colocan los dientes dentro de las mandíbulas. Aunque los elásticos son importantes, no todas las personas con ortodoncias los necesitarán, el ortodoncista los recomendará de forma personalizada en función de la alineación de la mandíbula existente y del tratamiento corrector aplicado. Algunas veces las bandas de goma pueden romperse mientras están en la boca, lo que no significa que algo esté mal.

Otros tipos de elásticos utilizados en ortodoncia
- Elásticos de ortodoncia intraorales
- Elásticos de ortodoncia extraorales
- Cadenetas
- Hilos, cuñas y módulos
- Muelles
- Hilo elástico
- Ligadura en lazo
- Resortes sobre el arco
En resumen, los elásticos intermaxilares son una herramienta valiosa en la ortodoncia moderna. Con el cuidado adecuado y el cumplimiento de las instrucciones del ortodoncista, los pacientes pueden lograr una sonrisa saludable y bien alineada.
Uso de Elásticos Intermaxilares
tags: #hilo #elastico #ortodoncia