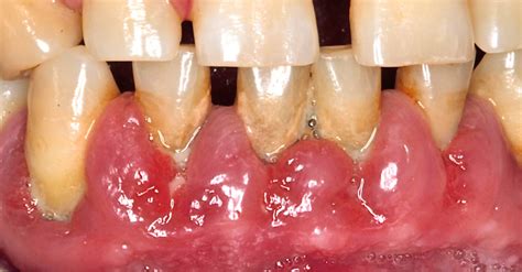
La hiperplasia gingival es un trastorno bucal que se caracteriza por un crecimiento excesivo del tejido gingival, es decir, de las encías. En los pacientes que padecen esta afección, las encías se inflaman y aumentan considerablemente de tamaño. En los casos graves, las encías pueden llegar a comenzar a cubrir los dientes. Es el aumento difuso y relativamente vascular, nodular o liso de las encías; con el paso del tiempo puede llegar a cubrir toda la dentadura.
Es importante destacar que la hiperplasia gingival no solo afecta la estética de la sonrisa, sino que también puede ocasionar molestias y complicaciones en la salud bucal. Algunos de los síntomas más comunes incluyen encías inflamadas, enrojecidas, sensibles y propensas a sangrar, así como la aparición de bolsas de tejido gingival excesivo alrededor de los dientes.
En Dental Care Barcelona sabemos que los problemas bucales pueden afectar significativamente nuestra calidad de vida, y uno de los trastornos que pueden presentarse es la hiperplasia gingival.

Causas de la Hiperplasia Gingival
Por el momento no se conoce con precisión la patogénesis de la hiperplasia gingival, siendo su etiología desconocida. Su desarrollo se ha relacionado con diversos factores, como: inflamación, uso de algunos fármacos, neoplasias, alteraciones hormonales, deficiencia de vitamina C, etc.
La hiperplasia gingival puede ir asociada a procesos inflamatorios, enfermedades subyacentes o a los cambios naturales en el cuerpo que se dan durante la pubertad y el embarazo. Si la hiperplasia es consecuencia de otros factores, es necesario estudiar el caso particular de cada paciente y comprobar qué la está provocando. La hiperplasia gingival provoca que el tejido fibroso crezca de forma anormal, pudiendo llegar a cubrir diversas zonas de las piezas dentales.
La hiperplasia también puede surgir debido al embarazo, como consecuencia de los cambios hormonales a los que normalmente está sometida la mujer embarazada. Cuando el estado inflamatorio gingival está causado por una de estas situaciones, se observará una regresión de la propia hiperplasia a medida que se trate y mejore la condición.
Entre las causas que agravan la hiperplasia gingival se encuentra la mala higiene bucal que provoca la acumulación de biofilm dental por encima y por debajo de las encías. En el acto de combatir la infección causada por el biofilm, las encías se agrandan hasta el punto de sangrar. La falta de higiene resultante de la incapacidad de mantener un cuidado adecuado de los dientes conduce a un aumento de la concentración bacteriana.
Uno de los factores de riesgo que contribuye al desarrollo de HG es la presencia de placa dental y gingivitis por una mala higiene bucal. Se ha comprobado que la hiperplasia se produce con mayor frecuencia en hombres jóvenes, especialmente si descuidan o realizan mal la higiene bucal diaria.
La hiperplasia gingival asociada a medicamentos es una reacción adversa relacionada con el uso sistémico de varios fármacos del tipo de la fenitoína, ciclosporina y antagonistas del calcio, especialmente nifedipino. Estos medicamentos son estructuralmente distintos, pero tienen en común la acción de inhibir la captación celular de calcio, mecanismo que se considera implicado en la patogenia de la hiperplasia gingival.
Existen también ciertos compuestos farmacéuticos como la ciclosporina, el nifedipino y la fenitoína han sido identificados como moléculas directamente responsables de la aparición de la hiperplasia gingival.
Cambios hormonales: Los cambios hormonales, especialmente durante la pubertad, el embarazo o la menopausia, pueden influir en el desarrollo de la hiperplasia gingival. Factores genéticos: La predisposición genética también puede desempeñar un papel en el desarrollo de la hiperplasia gingival.
Medicamentos que Producen Hiperplasia Gingival
Hiperplasia Gingival Inducida por Fármacos
La hiperplasia gingival de origen farmacológico se describió por primera vez en 1939 en un paciente epiléptico que recibía tratamiento prolongado con fenitoína. Con posterioridad, desde el inicio de los años 1980 y hasta nuestros días se describieron algunos casos asociados a la utilización de ciclosporina, nifedipino y otros medicamentos, en su mayoría relacionados con los anteriores.
En la hiperplasia gingival inducida por estos fármacos, las lesiones se presentan con características clínicas e histológicas similares, observándose una variación en la respuesta entre pacientes y dentro del mismo paciente, lo que sugiere la existencia de una posible predisposición genética. Apreciándose un aumento de la actividad fibroblástica con un incremento de la matriz extracelular del tejido conectivo gingival.
Fármacos Comúnmente Asociados
- ANTIEPILÉPTICOS: FENITOÍNA La hiperplasia gingival puede afectar hasta un 50% de los pacientes tratados con fenitoína. Se caracteriza por la presencia de inflamación y una importante respuesta fibrótica, sin que se identifique una mayor pérdida de hueso alveolar. Se manifiesta en los primeros meses de tratamiento y aparece con mayor frecuencia en niños. Se desconoce el mecanismo subyacente a su desarrollo, aunque se ha implicado al principal metabolito de la fenitoína, la 5-(4-hidroxifenil)-5-fenilhidantoína. Algunos autores relacionan el grado de agrandamiento con la dosis, duración del tratamiento y los niveles plasmáticos de fenitoína; sin embargo, otros no apoyan la existencia de esta correlación. La gravedad de la hiperplasia gingival se ha relacionado con la presencia de placa dental como consecuencia de una higiene bucodental defectuosa. Otros antiepilépticos que también se han asociado a hiperplasia gingival, son: ácido valproico, carbamazepina, fenobarbitona y vigabatrina. No obstante, la incidencia de presentación del cuadro parece mucho más baja que la descrita con fenitoína.
- INMUNOSUPRESORES: CICLOSPORINA Resulta bien conocida la relación entre la utilización de ciclosporina y desarrollo de hiperplasia gingival. Este agente inmunosupresor que actúa suprimiendo la respuesta celular inmune, se prescribe de forma frecuente para aumentar la supervivencia de pacientes sometidos a trasplante renal o de médula ósea, así como para el tratamiento de enfermedades autoinmunes como la artritis reumatoide y enfermedades dermatológicas. Aunque en una revisión se estimó una incidencia de hiperplasia gingival asociada a ciclosporina en torno al 30% de los pacientes trasplantados, los valores descritos en la bibliografía oscilan desde un 7% a un 70%. La presencia de placa dental puede agravar la hiperplasia gingival; siendo importante para prevenirla o minimizarla una buena higiene bucal. La hiperplasia gingival suele ser reversible después de reducir la dosis de ciclosporina o tras su retirada; si bien, esto no es posible en todos los casos, por lo que se recomienda la escisión quirúrgica. Algunos agentes antimicrobianos como metronidazol, claritromizina y azitromicina se han empleado para tratarla. En concreto, la azitromicina ha mostrado su eficacia en un estudio realizado en pacientes sometidos a trasplante renal; si bien, se precisa de más evidencia para poder establecer su papel en la terapéutica de esta enfermedad.
- ANTAGONISTAS DEL CALCIO: NIFEDIPINO La hiperplasia gingival es uno de los efectos adversos asociados con mayor frecuencia a la utilización de los antagonistas del calcio y, en especial a las dihidropiridinas: nifedipino, felodipino, amlodipino. Así, este grupo de antagonistas del calcio se contó entre los fármacos asociados con mayor frecuencia a hiperplasia gingival en la base de datos del Australian Adverse Drug Reactions Advisory Committee; siendo nifedipino, el que la origina en mayor número de casos, después de tratamientos de larga duración. En un reciente estudio epidemiológico controlado, realizado en pacientes tratados con nifedipino, la incidencia fue del 6%; si bien, en otros trabajos la hiperplasia gingival que aparece entre el primer y noveno mes de tratamiento se ha estimado entre 0,5% y 83%. El agrandamiento gingival se resuelve tras la retirada del fármaco, siendo la mala higiene bucal un factor agravante del cuadro. Otros antagonistas del calcio tales como diltiazem, verapamilo, amlodipino, felodipino, manidipino, nicardipino y nitrendipino también se han asociado a hiperplasia gingival, aunque con una menor incidencia. En un reciente estudio se ha señalado que, aunque la patogénesis de la hiperplasia gingival por antagonistas del calcio sea desconocida, existen evidencias que la relacionan con un proceso inflamatorio asociado al polimorfismo del gen MDR1. A la vista de lo anterior, reemplazar un antagonista del calcio por otro en muchas ocasiones no prevendría las recurrencias. Teniendo que considerar la utilización de alternativas de diferente grupo terapéutico que no se asocien a hiperplasia gingival.

Síntomas de la Hiperplasia Gingival
- Aparece el dolor, cuyo tipo e intensidad puede variar, el enrojecimiento del tejido gingival, el sangrado, etc.
- Este aumento crónico del volumen de los tejidos gingivales, que usualmente comienza a nivel de las papilas gingivales interdentales anteriores, para extenderse a continuación al sector posterior de la boca, adquiriendo la encía un aspecto lobulado.
- Después de algunos años, en algunos pacientes, la encía puede aumentar de volumen hasta recubrir casi todas las piezas dentarias.
- La hiperplasia gingival causa dolor en la masticación, alteración en la deglución, trastornos del habla, hemorragia gingival, alteraciones periodontales, oclusión dentaria y daños estéticos.
- En general, la hiperplasia gingival afecta de forma más importante al maxilar superior que al maxilar inferior.
- Uno de los síntomas más evidentes de la hiperplasia gingival es el crecimiento excesivo del tejido de las encías.
- Las encías afectadas por la hiperplasia gingival suelen presentar enrojecimiento e inflamación.
- Otra señal común de la hiperplasia gingival es el sangrado de las encías.
- La hiperplasia gingival puede causar sensibilidad y molestias en las encías.
Diagnóstico de la Hiperplasia Gingival
La detección temprana de la hiperplasia gingival es fundamental para un tratamiento efectivo. En Dental Care Barcelona, recomendamos a nuestros pacientes realizar revisiones dentales regulares para identificar cualquier signo temprano de hiperplasia gingival.
El diagnóstico de hiperplasia gingival de origen farmacológico es generalmente fácil, ya que suele tratarse de una afectación grave de la encía tras varios años de evolución. El aspecto clínico fibroso de la encía es característico independientemente del medicamento que la origine. Si bien, hay que descartar otras posibles causas de hiperplasia gingival, como: alteraciones hormonales, embarazo, ciertas neoplasias, algunas leucemias, entre otras.
La incidencia de hiperplasia gingival en la población general es de un 4% a un 7,5%.
Tratamiento de la Hiperplasia Gingival
La hiperplasia gingival requiere en todas sus formas un diagnóstico y un plan de tratamiento exhaustivos. Dado que en ciertas ocasiones se produce una remisión completa después de instruir al paciente en técnicas de higiene oral, de realizar varias sesiones de limpieza dental profesional y de incrementar su motivación, el tratamiento de la hiperplasia gingival no debería incluir a priori la adopción de medidas quirúrgicas.
Uno de los métodos más efectivos es combatir y controlar la razón de origen. Algunas personas optan por el láser, puesto que es menos doloroso y de rápida curación. Se opta por esta cuando la higiene es un elemento preocupante y el estado periodontal se ha transformado.
Cuando el estado inflamatorio gingival está causado por una de estas situaciones, se observará una regresión de la propia hiperplasia a medida que se trate y mejore la condición.
Si la hiperplasia es inducida por fármacos, la modalidad de intervención consiste en el control médico, con la reducción o interrupción del fármaco causante del agrandamiento y su sustitución por otro equivalente. Después, es necesario esperar entre 6 y 12 meses para que las encías vuelvan a su tamaño normal. La inflamación debe tratarse por separado mediante una terapia no quirúrgica.
La hiperplasia gingival originada por medicamentos es un proceso patológico que requiere un tratamiento combinado. En primer lugar es importante evitar cuando sea posible el empleo de los medicamentos que la originan o reemplazarlos por alternativas que presenten una eficacia similar. Así, la fenitoína podría sustituirse por un antiepiléptico que presente una baja incidencia de hiperplasia gingival (carbamazepina o ácido valproico), la ciclosporina se podría sustituir por tacrolimus y los antagonistas del calcio por otras alternativas que no se asocien a hiperplasia gingival.
Opciones de Tratamiento
- Terapia periodontal no quirúrgica: En los casos iniciales de hiperplasia gingival, podemos recomendar una terapia periodontal no quirúrgica como primera línea de tratamiento. El procedimiento no quirúrgico abarca una terapia antiinfecciosa con instrumentación subgingival como parte de una desinfección bucal completa. De ese modo se elimina minuciosamente la placa bacteriana de las bolsas periodontales y el cálculo supra y subgingival de las superficies de la corona y la raíz dentarias.
- Cirugía periodontal: En situaciones más avanzadas de hiperplasia gingival, puede ser necesario realizar una cirugía periodontal. Si la terapia no quirúrgica resulta insuficiente, el dentista puede recurrir a la gingivectomía o a la cirugía plástica mucogingival. La operación no suele tener ninguna contraindicación particular, y muestra un buen éxito cuando se utilizan técnicas especiales como el láser, que reduce la hemorragia local.
- Gingivectomía: A los tres meses conviene reevaluar la situación clínica y, en caso necesario, practicar una cirugía periodontal en forma de gingivectomía a bisel externo o a bisel interno. La fase desinflamatoria previa constituye otro factor esencial para el éxito a largo plazo del tratamiento mediante cirugía periodontal, dado que una intervención quirúrgica en el tejido inflamado puede provocar un sangrado excesivo y molestias postoperatorias. La gingivectomía es un procedimiento terapéutico que se engloba dentro de la cirugía periodontal. Se distingue entre dos variantes: gingivectomía a bisel externo y a bisel interno. En función de la gravedad de la hiperplasia gingival, la gingivectomía se puede llevar a cabo de forma localizada o generalizada.
- Corrección estética: Además de abordar los aspectos funcionales de la hiperplasia gingival, entendemos la importancia de la estética dental.

Consideraciones Adicionales
En los casos en los que no sea posible retirar o sustituir el medicamento que origine la hiperplasia gingival, puede realizarse una gingivectomía; no obstante, al no poder retirar el agente causal, tras la intervención quirúrgica pueden aparecer recidivas a los 3-6 meses o incluso al año. Por ello, los controles post-operatorios frecuentes de salud periodontal contribuirán a prevenir o minimizar la recurrencia de la lesión.
Prevención de la Hiperplasia Gingival
Aunque la asociación entre placa bacteriana y desarrollo/gravedad de la hiperplasia gingival es controvertida, las medidas higiénicas bucodentales estrictas y las visitas regulares al dentista para la limpieza del sarro, podrían reducir la gravedad de la hiperplasia gingival; considerándose estas medidas como coadyuvantes, pero nunca como determinantes en el tratamiento de la enfermedad.
Es importante informar a los pacientes del posible efecto adverso, así como de las medidas preventivas que estarían indicadas para reducir la gravedad de las lesiones, como: higiene bucodental estricta y revisiones dentales para la limpieza del sarro.
Algunos casos de poca gravedad se solucionan apostando por una adecuada higiene bucodental.
Tabla Resumen de Fármacos Asociados a Hiperplasia Gingival
| Fármaco | Grupo | Incidencia Aproximada |
|---|---|---|
| Fenitoína | Antiepiléptico | Hasta 50% |
| Ciclosporina | Inmunosupresor | 7% - 70% |
| Nifedipino | Antagonista del Calcio | 0.5% - 83% |
tags: #hiperplasia #gingival #tratamiento #natural