Al pensar en problemas estructurales o pérdida total de un diente, el primer tratamiento que se viene a la cabeza de muchos es un implante dental. Sin embargo, no en todos los casos resulta ser la opción más viable. Muchas veces, en lugar de un implante dental, resulta mucho más conveniente el uso de perno y corona. El uso de perno y corona puede llegar a ser una mejor alternativa en algunos casos y te diremos todo lo que tienes que saber sobre este procedimiento.
La colocación de implantes dentales es uno de los procedimientos más demandados en el mundo de la odontología para problemas relacionados con el daño estructural de los dientes. Sin embargo, este procedimiento es principalmente recomendado para pacientes cuyo daño compromete parcial o totalmente la pieza dental.
No en todos los casos se dan los dientes por perdidos y, cuando aún se puede salvar la pieza dental real, es posible realizar algunos tratamientos para intentar restaurarlos. El tratamiento de perno y corona es uno de los más efectivos para lograrlo.
⚠️ PROBLEMAS con los IMPLANTES DENTALES : ¡𝗦𝗲 𝗺𝗲 𝗠𝗨𝗘𝗩𝗘 𝗹𝗮 𝗖𝗢𝗥𝗢𝗡𝗔 𝗱𝗲𝗹 𝗜𝗠𝗣𝗟𝗔𝗡𝗧𝗘! (SOLUCIÓN AQUÍ 👇)
¿Qué es el procedimiento de perno y corona?
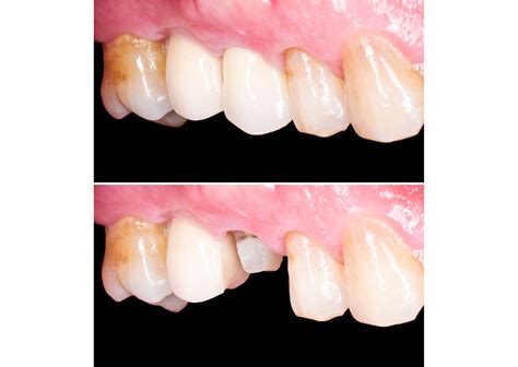
El tratamiento de perno y corona es un procedimiento odontológico utilizado para restaurar dientes severamente dañados, especialmente cuando la estructura coronaria está destruida, pero la raíz aún es viable. Este procedimiento combina la colocación de un perno dentro de la raíz del diente con la instalación de una corona que cubre y protege el diente reconstruido.
Este tratamiento preserva la raíz natural del diente, lo que es beneficioso para mantener la estructura ósea circundante, y ofrece una apariencia estética y funcionalidad naturales. Es una alternativa menos invasiva y generalmente más rápida que un implante dental completo, siendo una solución eficaz para restaurar dientes dañados.

Descripción del tratamiento de perno y corona
El tratamiento de perno y corona sigue pasos específicos para tener resultados óptimos. Te diremos cómo se lleva a cabo:
- Tratamiento de conducto (si es necesario): Si el diente tiene una infección en la pulpa o está gravemente dañado, se realiza un tratamiento de conducto (endodoncia) para eliminar el tejido nervioso y pulpar infectado o dañado. Este paso es crucial para asegurar que el diente esté libre de infecciones antes de proceder con el perno y la corona.
- Colocación del perno: Después del tratamiento de conducto, se inserta un perno en el conducto radicular del diente. El perno puede estar hecho de varios materiales, como metal (aleación de titanio o acero inoxidable) o fibra de vidrio. Este perno actúa como un refuerzo dentro de la raíz del diente, proporcionando estabilidad y soporte para la estructura del diente reconstruido.
- Reconstrucción del núcleo: El núcleo del diente, que ha sido debilitado por la caries o el daño, se reconstruye alrededor del perno. Se utiliza un material de reconstrucción (como resina compuesta) para crear una base sólida que pueda sostener la corona. Este núcleo sirve como la nueva estructura del diente sobre la cual se colocará la corona.
- Colocación de la corona: Finalmente, se fabrica una corona dental personalizada para adaptarse a la forma y el color del diente original. Esta corona se cementa sobre el núcleo reconstruido, restaurando la funcionalidad y estética del diente. La corona puede estar hecha de varios materiales, como porcelana, cerámica o una combinación de metal y porcelana.
Ventajas del tratamiento de perno y corona
Al no implicar la extracción del diente natural, este procedimiento presenta varias ventajas para el paciente:
- Preservación de la raíz natural: Este tratamiento permite conservar la raíz natural del diente, lo cual es beneficioso para mantener la estructura ósea circundante.
- Restauración funcional y estética: La corona proporciona una apariencia natural y permite que el diente funcione correctamente para masticar y hablar.
- Menos invasivo que un implante: Comparado con los implantes dentales, el tratamiento de perno y corona es menos invasivo y suele requerir menos tiempo y recursos.
¿Quiénes necesitan un tratamiento de perno y corona?
El tratamiento de perno y corona es adecuado para personas con dientes severamente dañados o debilitados, pero con raíces viables. Específicamente, este tratamiento es recomendado para distintas situaciones:
- Dientes con caries extensas: Cuando la caries ha destruido una gran parte de la estructura dental, pero la raíz aún está sana.
- Dientes fracturados: Si el diente está fracturado o astillado de manera significativa, pero la raíz sigue intacta.
- Dientes con tratamientos de conducto previos: Aquellos que han tenido un tratamiento de conducto (endodoncia) y necesitan refuerzo debido a la pérdida de estructura dental significativa.
- Dientes debilitados: Cuando un diente ha sido restaurado repetidamente con empastes grandes que han comprometido su integridad estructural.
- Rehabilitación dental: Pacientes que requieren una restauración robusta y duradera de la corona del diente para mejorar la función masticatoria y la estética.
Los candidatos ideales deben tener suficiente estructura radicular y salud periodontal adecuada para soportar el perno y la corona.
Partes de un implante dental
Los implantes dentales son una de las soluciones más avanzadas y duraderas para la restauración de dientes perdidos.
- El implante dental propiamente dicho es un pequeño tornillo de titanio que se inserta en el hueso de la mandíbula o el maxilar. Su función principal es proporcionar una base sólida para la restauración dental. El tornillo suele ser de titanio, un material ampliamente utilizado por su biocompatibilidad. Esto significa que es muy bien tolerado por el cuerpo y no genera reacciones adversas. Además, el titanio es muy resistente a la corrosión, lo que lo convierte en una opción duradera.
- El pilar, también conocido como conector, es la pieza que une el tornillo de titanio con la corona dental. El pilar tiene la tarea de conectar de manera segura el implante al diente artificial (corona). Los pilares pueden ser de titanio, cerámica o zirconia, dependiendo de la situación clínica y de las preferencias estéticas del paciente.
- La corona dental es la parte que reemplaza al diente perdido y es visible en la boca. La función principal de la corona es estética y funcional. Debe integrarse perfectamente con el resto de los dientes en apariencia y en su capacidad para morder y masticar alimentos de manera eficaz. Las coronas pueden estar hechas de porcelana, zirconia o combinaciones de metal-cerámica. La porcelana y la zirconia son opciones muy populares por su capacidad de imitar la apariencia de los dientes naturales. Las coronas requieren el mismo cuidado que los dientes naturales. Esto incluye cepillado, uso de hilo dental y visitas regulares al dentista.
- Los tornillos son piezas esenciales que aseguran que las diferentes partes del implante estén bien conectadas. Su función es mantener todo el sistema estable y evitar que las partes del implante se aflojen.
Cada una de las partes de un implante dental tiene un papel esencial en el éxito del tratamiento. Desde el tornillo de titanio que se integra con el hueso hasta la corona que imita la función de un diente natural, los implantes son una solución duradera y estética para la pérdida dental.
Técnicas de colocación: tradicional vs. Carga Inmediata
Existen diversas técnicas para poner implantes dentales. Entre las más populares están los implantes de carga tradicional y los de carga inmediata. Tienen la misma función, la diferencia es el tiempo que lleva realizar cada uno. Los de carga inmediata se colocan justo después de la extracción de la pieza dental.
El tratamiento lleva menos tiempo, mejora la función y la estética de inmediato, y es más cómodo y asequible. La duración de la implantación variará notablemente según la técnica seleccionada.
Se requieren dos intervenciones: la primera es la colocación del implante en el hueso. Por lo general, se extrae el diente, se colocan el implante y el diente provisional fijo el mismo día.
Para cumplir esta etapa hay que ejecutar una serie de pasos que conllevan a varias pruebas para la implantación de la corona definitiva:
- Prueba: el especialista verifica el encaje, oclusión y el color del diente.
- Cementado o atornillado: la corona se fija al implante con un material adhesivo o atornillada a un pilar.
Materiales de la Corona
Las coronas pueden estar hechas de diferentes materiales, cada uno con sus propias ventajas y desventajas:
- Metal y porcelana: combinan la resistencia del metal con la estética de la porcelana.
- Zirconio: son traslúcidas, resistentes y de apariencia natural. Ideal para zonas más visibles.
- Metal: son una aleación de oro, paladio, níquel o cromo.
- Porcelana: una de las más recomendadas por su apariencia natural. Son biocompatibles y no desencadenan alergias.
El monitoreo riguroso luego de la colocación del implante y la corona es crucial como la cirugía misma. De esto depende la durabilidad y funcionalidad a largo plazo del tratamiento.
| Material | Ventajas | Desventajas | Usos Recomendados |
|---|---|---|---|
| Metal y Porcelana | Resistencia, Estética aceptable | Puede mostrar línea oscura en la encía con el tiempo | Molares y premolares |
| Zirconio | Alta estética, Resistencia | Costo elevado | Cualquier diente, especialmente los frontales |
| Metal | Máxima resistencia | Poca estética | Molares posteriores donde la estética no es primordial |
| Porcelana | Excelente estética, Biocompatible | Menor resistencia comparada con el metal | Dientes frontales |

¿Cuánto tiempo esperar entre la colocación del implante y la corona?
El éxito de la colocación de los implantes y las coronas depende en parte del tiempo de espera. La integración va a depender de la salud bucal y general del paciente.
Los implantes son cada vez más frecuentes y seguros, con una gran tasa de éxito. La clave está en la osteointegración, que es un proceso biológico que permite la unión estructural y funcional entre el hueso y el implante. La ventaja principal es que ofrece una fijación tan fuerte que hace posible volver a tener plena funcionalidad.
Hay diversos factores que determinan cuánto tiempo pasará entre implante y corona. Influyen desde enfermedades de base hasta la calidad del hueso.
Etapas de cicatrización:
- Coagulación: en la primera etapa, luego de cirugía, se forma un coágulo de sangre que rodeará el implante. Aparece por la perforación del hueso y la inserción de la pieza.
- Inflamación: tras varias horas, comienza un proceso inflamatorio que se encarga de limpiar el área de tejidos, desechos y bacterias.
- Proliferación: es la fase de recuperación que abarca varias semanas y en la que se forma otra vez el hueso con la intervención de los osteoblastos.
- Remodelación: en la parte final, el hueso nuevo gana densidad y se integra completamente al implante, formando para la prótesis dental un soporte estable.
Más allá del procedimiento, se debe considerar otro punto clave para lograr la cicatrización: la regeneración ósea. Un hueso sano es fundamental para lograr un procedimiento exitoso.
Antes de proceder al tratamiento implantológico tendrás que realizarte pruebas de imagen para verificar el estado de tu boca.
En general, si no hay hueso suficiente y el implante ha quedado bien anclado, se pueden tomar medidas para colocar la corona sobre el implante a las 8 semanas.
Una vez tomadas las medidas para colocar la corona, se tienen que hacer normalmente pruebas intermedias para comprobar que el ajuste, el color y la forma de la corona son correctos.
Si no es posible, después de colocar el implante hay que esperar entre 2 y 6 meses para colocar la corona. Este tiempo de espera viene determinado fundamentalmente por si ha habido que hacer una regeneración de hueso simultánea a la colocación del implante.
En algunas situaciones, si hay hueso suficiente en el momento de la extracción, se puede colocar el implante en el mismo día de la extracción. Además, si se dan las circunstancias adecuadas, se puede poner a veces una corona provisional (el diente que va encima del implante) el mismo día o dentro de la primera semana tras la colocación del implante. Es lo que se llama “carga inmediata”.
Esta corona o coronas, son fijas y estéticas, aunque los pacientes tienen que tener cuidado a la hora de masticar durante las primeras semanas.
Y no olvides que antes de iniciar cualquier terapia de implantes, es preciso que se goce de una buena salud periodontal. Tener enfermedades como la periodontitis reducen drásticamente el éxito de esta terapia y acortan notablemente la ‘supervivencia’ de los propios implantes dentales.
Hay básicamente dos situaciones para colocar coronas sobre implantes:
- Suelen ser muelas o premolares. No es necesario poner anestesia. Colocamos el escanbody (cilindro que sobresale) y con la cámara intraoral tomamos un vídeo. Las ventajas del escáner intraoral son muchas: exactitud, comodidad, rapidez, etc. La corona va atornillada al implante por un tornillo (tornillo protésico) que pasa por el centro de la corona y se atornilla en el interior del implante. Para que la corona no se mueva, en la superficie del implante hay un hexágono que sobresale y se acopla a otro hexágono espejo (típico machi-hembrado) de la corona.
- Una corona sobre un implante cubierto por encía es otra situación que se puede dar. En estas situaciones suele ser necesario poner anestesia. A diferencia de la situación previa, en estos casos se necesitan tres visitas. La corona va atornillada al implante por un tornillo (tornillo protésico) que pasa por el centro de la corona y se atornilla en el interior del implante. Para que la corona no se mueva, en la superficie del implante hay un hexágono que sobresale y se acopla a otro hexágono espejo (típico machi-hembrado) de la corona. En estos casos no hay mucha diferencia entre que la encía cubra o no los implantes dentales. Cuando la encía cubre el implante en la primera visita retiramos la encía para llegar a los tornillos que cubren los implantes, pero si la encía no cubre los implantes no es necesario retirarla. En el procedimiento no hay dolor pero lleva más citas. SEGUNDA VISITA. El material rígido que se puso en la cita anterior se corta y se vuelve a unir en la boca posicionado. Una vez solidificado el material se toman las impresiones. Esta estructura es la que aguanta la fuerza y la que se apoya en los implantes. Verificamos que el contacto con los dientes antagonista es correcto y la masticación es buena. Dejaremos al paciente que se maneje durante unos días para acostumbrarse a las nuevas muelas y pasados unos días volveremos a comprobar que todo funciona bien.