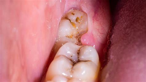
Si has notado un agujero en la encía del que sale pus, es normal que te preocupes. Un “agujero” en la encía con pus suele indicar la presencia de una infección dental que ha encontrado camino de salida. Generalmente corresponde a lo que llamamos una fístula dental o un absceso gingival.
Es importante destacar que las muelas infectadas pueden progresar y causar complicaciones graves, como la propagación de la infección a otras áreas del cuerpo. Por ello, cuando aparece dolor en las muelas o bien enrojecimiento o inflamación, es importante acudir al especialista.
¿Qué es un Absceso Gingival?
Imagínate que dentro de la encía hay una acumulación de pus (un absceso). Cuando la presión interna sube, el organismo a veces crea un canal de alivio (fístula) para expulsar ese pus. Esto se manifiesta como un bultito o orificio en la encía que puede supurar líquido amarillo o blanquecino (pus) y deja un mal sabor en la boca.
Importante: un agujero con pus no es normal y siempre indica una infección activa. Puede estar asociado a un diente con caries profunda infectada, a una periodontitis avanzada (infección de las encías) u otras causas que veremos enseguida. Aunque a veces no duela mucho en el momento (porque el pus al salir alivia presión), no debes ignorarlo.

Causas de la Infección en la Encía
Existen varias causas por las que puede aparecer una fístula o absceso en la encía. La principal causa de la infección de una muela del juicio es la acumulación de bacterias alrededor de los dientes y las encías.
- Caries Dental no Tratada: La caries dental no tratada es la causa número uno de abscesos. Cuando una caries avanza hasta el nervio del diente, las bacterias infectan la pulpa dental (la parte viva del diente). Esta infección puede propagarse hasta la raíz y el hueso, formando un absceso periapical.
- Enfermedad de las Encías (Periodontitis): La gingivitis no tratada puede progresar a periodontitis, que ocasiona destrucción del soporte del diente. En una periodontitis avanzada se forman bolsas periodontales (espacios profundos entre el diente y la encía) donde se acumulan bacterias. En estos casos el agujero en la encía con pus aparece cerca de la bolsa infectada.
- Muelas del Juicio Parcialmente Erupcionadas: Las muelas del juicio (terceros molares) parcialmente erupcionadas pueden dar problemas. Si una muela del juicio queda a medio salir y cubierta en parte por encía, es fácil que se acumulen restos de comida y bacterias bajo ese colgajo de encía. Esto provoca una infección llamada pericoronitis, que puede formar pus.
- Traumatismos y Factores Irritantes: Aunque menos común, un golpe o herida en la encía puede llevar a una infección si las bacterias aprovechan esa puerta de entrada. Por ejemplo, clavarte una espina o cepillarte muy fuerte causando una herida.
- Factores Sistémicos: Factores generales de salud pueden agravar la situación. Por ejemplo, pacientes diabéticos o inmunodeprimidos son más propensos a infecciones bucales más severas.
8 razones para quitarte las muelas del juicio
Síntomas de una Infección en la Encía
Reconocer los síntomas de un absceso o fístula en la encía es importante para actuar pronto. Ante los primeros síntomas de muelas del juicio infectadas, es muy común experimentar inflamación, enrojecimiento y sensibilidad al tacto en la zona.
- Supuración de Pus: Es el signo más evidente. Puedes ver salir un líquido amarillento, blanco o verdoso con mal sabor desde el agujero en la encía.
- Bulto en la Encía: Muchas veces se forma una pequeña protuberancia como un granito o flemón sobre la encía.
- Dolor o Sensibilidad: Un absceso dental suele causar dolor de muela intenso, punzante y constante.
- Enrojecimiento e Hinchazón: La encía alrededor estará inflamada, enrojecida y puede sangrar con facilidad.
- Mal Aliento y Mal Sabor: La presencia de pus e infección suele provocar halitosis (mal aliento) y un sabor desagradable en boca.
- Fiebre o Malestar General: En infecciones más avanzadas, el cuerpo puede responder con fiebre, ganglios inflamados en el cuello y sensación de decaimiento.

Complicaciones de una Infección no Tratada
Tener un agujero en la encía que supura pus siempre debe tomarse en serio. Implica que hay una infección bacteriana activa en tu boca. Si no se trata correctamente, esa infección puede expandirse o agravarse.
- Propagación de la Infección: Las bacterias pueden extenderse al diente adyacente, a otras partes de la encía e incluso a hueso maxilar.
- Daño al Hueso y Pérdida Dental: Un absceso crónico puede ir destruyendo el hueso que rodea al diente infectado. Con el tiempo, esto puede hacer que el diente quede suelto.
- Quiste Dental: En abscesos de larga evolución, el cuerpo a veces encapsula la infección formando un quiste en el hueso maxilar.
- Complicaciones Serias (raras pero posibles): En casos extremos, un absceso sin tratar podría derivar en un flemón difuso en cara/cuello, dificultando tragar o respirar, o incluso en una septicemia (infección generalizada).
Tratamiento de la Infección en la Encía
Ante un absceso o fístula en la encía, el manejo incluye aliviar los síntomas en casa temporalmente y, sobre todo, tratamiento profesional por el odontólogo. Como ves, pueden ser varias las maneras de tratar una muela del juicio infectada.
Remedios Caseros (Temporales)
- Enjuague con Agua Tibia y Sal: Mezcla media cucharadita de sal en un vaso de agua tibia y enjuaga suavemente la boca, haciendo énfasis en la zona afectada, durante 30 segundos. Repite esto unas 2-3 veces al día.
- Infusión de Manzanilla o Tomillo: Preparar una infusión (té) de manzanilla y usarla fría o tibia como colutorio también puede calmar la encía.
- Analgésicos de Venta Libre: Si tienes dolor, puedes tomar un analgésico como ibuprofeno o paracetamol siguiendo las dosis indicadas.
- Higiene Suave: Continúa cepillándote los dientes, pero con mucha suavidad en el área dolorida.
Tratamiento Profesional
- Examen y Radiografía: Primero identificaremos cuál es el diente o área infectada. Muchas veces la fístula nos indica el punto, pero con una radiografía confirmamos el origen del absceso.
- Drenaje del Absceso: La prioridad será drenar el pus acumulado. Si el absceso no ha drenado espontáneamente, el dentista realizará una pequeña incisión en la encía bajo anestesia local para abrirlo.
- Limpieza de la Zona Infectada: Si el origen es periodontal (encía), se hará una limpieza profunda de la bolsa periodontal afectada: se retira sarro y tejido infectado bajo la encía (curetaje o raspado).
- Tratamiento del Diente Causante: Cuando el problema viene de un diente con el nervio infectado, la solución suele ser una terapia de conducto radicular (endodoncia). Si el diente estuviera destruido sin posibilidad de salvarse, habría que extraerlo.
- Antibióticos Prescritos: Dependiendo de la gravedad de la infección, el dentista probablemente recetará un antibiótico.
Cuidados Posteriores al Tratamiento
Una vez superado el susto, querrás evitar que esto te vuelva a pasar. Una vez hecho esto, el agujero en la encía irá cerrando solo en los días o semanas siguientes, al desaparecer la infección que lo mantenía abierto.
- Mantén una excelente higiene oral: cepilla suavemente el área tratada según las recomendaciones de tu dentista.
- Alimentación adecuada: los primeros días, opta por alimentos blandos y fáciles de masticar del lado contrario si aún está sensible.
- No fumar ni beber alcohol: el tabaco y el alcohol dificultan la cicatrización de los tejidos y pueden empeorar la inflamación.
- Tomar los medicamentos completos: reitero la importancia de seguir tomando el antibiótico todos los días indicados, aunque ya no tengas síntomas, hasta terminarlo.
- Acudir a revisión: tu dentista seguramente programará una visita de control.
Prevención de Infecciones en la Encía
La mejor estrategia es la prevención, con buena higiene y revisiones periódicas. Siguiendo estos consejos, disminuyes muchísimo las probabilidades de volver a experimentar un absceso dental.
- Higiene oral rigurosa: cepíllate los dientes al menos dos veces al día con un cepillo de cerdas suaves y pasta dentífrica con flúor.
- Visitas periódicas al dentista: acude a tus revisiones odontológicas, idealmente cada 6 meses.
- Tratar a tiempo las caries y problemas gingivales: si notas un pequeño picor o molestia en un diente, o sangrado de encías frecuente, no lo dejes estar.
- Alimentación y hábitos saludables: reduce el consumo de azúcares y harinas refinadas, sobre todo entre comidas, ya que alimentan a las bacterias que causan caries.
- Protección contra traumatismos: si practicas deportes de contacto, utiliza protector bucal para evitar golpes que puedan lesionar dientes y encías.

Pericoronaritis: Una Infección Común en Muelas del Juicio
La pericoronaritis es una afección dental que afecta a la zona de las muelas del juicio. La pericoronaritis es una inflamación de los tejidos que rodean la muela del juicio parcialmente erupcionada. Se trata de un proceso inflamatorio que afecta a la encía que cubre parcialmente la superficie de una pieza dental que está saliendo, generando un entorno propenso a infecciones.
Causas de la Pericoronaritis
La causa más común de pericoronaritis es la erupción incompleta de una muela del juicio. Cuando la pieza no termina de salir completamente, parte de la corona queda cubierta por encía. El colgajo de encía que cubre la muela forma un espacio cerrado donde no llegan ni el cepillo de dientes ni el enjuague bucal.
Como veremos en el siguiente apartado, los fenómenos inflamatorios que subyacen a la pericoronaritis también pueden ser inducidos por la presión sobre el diente en erupción, los traumatismos mecánicos y la acumulación de residuos alimenticios en el hueco pericoronal o bajo el opérculo.
Las bacterias normalmente presentes en la cavidad oral pueden penetrar en el espacio entre el diente y la encía, colonizándolo y provocando la inflamación de los tejidos adyacentes.
Síntomas de la Pericoronaritis
Uno de los signos más evidentes de pericoronaritis es la inflamación de la encía en la parte posterior de la boca, justo donde se encuentra la muela del juicio en erupción. El tejido se muestra enrojecido, abultado y puede presentar dolor al contacto. La inflamación puede extenderse hacia la mejilla o el cuello, especialmente si la infección progresa.
Al mismo tiempo, la encía se enrojece y se hincha. A menudo, el dolor se extiende a toda la zona de la mandíbula y se hace especialmente intenso al masticar.
- Dolor y Sensibilidad
- Inflamación y Enrojecimiento
- Mal Sabor o Mal Aliento
- Dificultad para Abrir la Boca
En el lugar de la erupción del diente, es típico que se produzca dolor en la mandíbula, molestia que aumenta con la masticación. En el caso de la pericoronaritis, la encía aparece hinchada, enrojecida y dolorosa en el lugar afectado. A menudo, el dolor se extiende a toda la zona angular de la mandíbula y se hace especialmente intenso durante la masticación.
Tratamiento de la Pericoronaritis
El tratamiento depende del grado de infección. En casos leves, puede bastar con una limpieza profesional en la zona, uso de enjuagues antisépticos y analgésicos. Si la pericoronaritis se repite o la muela del juicio no tiene espacio para salir correctamente, puede ser necesario extraer la pieza dental.
Por lo tanto, la terapia dependerá en gran medida de la gravedad y la sintomatología e implicará diferentes opciones. Por lo general, se utilizan antibióticos y antiinflamatorios en la fase aguda, combinados también con técnicas específicas de cuidado bucal como enjuagues con colutorios a base de clorhexidina, limpieza con un cepillo, etc.
- Se pueden tomar analgésicos a base de ibuprofeno para tratar los síntomas y aliviar el dolor.
- Si la infección está localizada y no está extendida, el dentista suele realizar una limpieza dental completa de la zona con anestesia local.
- Cuando se quiere mantener el tercer molar en boca, se puede realizar una cirugía menor para eliminar el colgajo de carne superpuesto.