La cirugía dental y la periodoncia son especialidades que buscan recuperar la salud y la estética de las encías y, por ende, de la sonrisa del paciente. Un procedimiento clave en este ámbito es el injerto de encía, que se realiza para corregir problemas de recesión gingival y restaurar la salud periodontal.

¿Qué es un Injerto de Encía?
Un injerto de encía es una cirugía dental que se realiza para tratar la retracción de las encías, una condición en la que el tejido de las encías se aleja de los dientes, exponiendo las raíces. Con esta cirugía, se cubre la raíz expuesta y se añade volumen a las encías, reemplazando el tejido perdido y mejorando la salud oral.
Durante un injerto de encía, se toma tejido gingival adicional de otra área (como el paladar) y se coloca sobre las áreas afectadas en las encías. Este nuevo tejido actúa como un "parche" natural, cubriendo la raíz del diente expuesta y restaurando su apariencia y función normal.
Tipos de Injertos de Encía
Los injertos de encía se clasifican en tres grupos principales:
- Injerto de tejido conectivo: Es el más común. Se realiza una incisión en el paladar y se extrae la capa de tejido conectivo debajo del epitelio palatino.
- Injerto gingival libre: Se toma tejido blando del paladar del propio paciente y se coloca en la zona donde se necesita corrección. A diferencia del injerto de tejido conectivo, este incluye epitelio y conectivo, lo que puede hacer que el postoperatorio sea un poco más molesto.
- Injerto pediculado: Se trata la recesión gingival de un diente tomando encía del diente contiguo, siempre que esta sea suficientemente gruesa y el diente donante no quede perjudicado.
¿Cuándo es Necesario un Injerto de Encía?
La indicación más común para un injerto de encía es la retracción de las encías, un síntoma de enfermedades de las encías. También puede ser causada por un cepillado agresivo o para mejorar la apariencia de la sonrisa.
Indicaciones Médicas
- Exposición de las raíces de los dientes, lo que puede causar caries, sensibilidad dental y abrasión.
- Daño al hueso debido a la exposición de la raíz.
- Riesgo de pérdida del diente si no se trata.
Factores de Riesgo
- Propensión genética a la retracción de las encías.
- Rechinar o apretar los dientes.
- Enfermedades periodontales.
- Fumar tabaco.
Preparación Previa al Procedimiento
Antes del injerto, el periodoncista evaluará la salud de las encías, medirá las bolsas alrededor de los dientes y determinará la severidad de la recesión. Si se requiere cirugía, se darán las siguientes instrucciones:
- Dejar de fumar al menos una semana antes de la cirugía.
- Suspender medicamentos como aspirina o ibuprofeno que aumenten el sangrado.
- Seguir cualquier otra instrucción proporcionada por el dentista.

Procedimiento Paso a Paso
El procedimiento generalmente implica los siguientes pasos:
- Aplicación de anestesia local para adormecer el área.
- Incisión y creación de una solapa en las encías para limpiar la raíz de los dientes.
- Extracción de tejido del paladar o uso de un sustituto de un banco de tejido.
- Colocación del injerto sobre la raíz expuesta.
- Cierre de las solapas con suturas.
¿Cómo se hace un INJERTO de ENCÍA para tratar las ENCÍAS RETRAÍDAS? | Dentalk! ©
Cuidados Postoperatorios Detallados
Los cuidados postoperatorios son cruciales para asegurar una recuperación exitosa. Aquí se detallan los pasos a seguir:
Inmediatamente Después de la Cirugía
- Colocar gasa en el lugar por unos 30 minutos.
- Aplicar hielo local sobre la zona envuelto en tela durante al menos 10 minutos, varias veces al día.
- No cepillar la zona ni enjuagarse con nada durante el primer día.
Primeros Días
- Dieta: Consumir alimentos líquidos/blandos y fríos durante 7 días. Evitar alimentos duros, calientes o que puedan irritar la zona.
- Higiene Bucal:
- Al día siguiente de la intervención, enjuagarse suavemente con colutorio de clorhexidina al 0,12% 3 veces al día durante 14 días.
- Dejar el colutorio en la zona del injerto durante 1-2 minutos y no beber agua ni enjuagarse con agua durante la siguiente hora.
- No usar cepillo de dientes ni hilo dental en la zona del injerto.
- Medicación: Tomar el analgésico (Enantyum 25mg) según lo prescrito para controlar el dolor.
- Actividad Física: Descansar el día de la cirugía y limitar la actividad física durante los primeros días.
- Sangrado: Aplicar una gasa limpia sobre la zona y presionar suavemente durante 20-30 minutos si hay sangrado en la zona del paladar.
- Hielo: Colocar una bolsa de hielo envuelta en un paño sobre la mejilla cercana al injerto durante intervalos de 10-15 minutos.
A Partir de las Dos Semanas
- Retirar la sutura a los 14 días.
- Higiene Bucal:
- Dejar de usar colutorio y pasar a usar GEL de clorhexidina en la zona del injerto y en la herida del paladar con ayuda de la férula.
- Seguir sin usar cepillo ni hilo dental.
A Partir de la Cuarta Semana
- Cepillado: Iniciar el cepillado con un cepillo dental ULTRA SUAVE en dirección encía diente.
- GEL de clorhexidina: Seguir usando gel de clorhexidina 2 veces al día (mañana y noche).
A Partir de la Séptima Semana
- Cepillado: Cambiar el cepillo a uno BLANDO.
- Hilo Interdental: Comenzar a usar el hilo interdental.
- GEL de clorhexidina: Seguir con el gel de clorhexidina 1 vez al día (noche).
Recomendaciones Adicionales
- No Fumar: El tabaco puede interferir con el proceso de cicatrización, por lo que se recomienda abstenerse de fumar durante al menos la primera semana después de la intervención.
- Enjuague Bucal: Usar enjuagues bucales con clorhexidina a partir de 24 horas para mantener la boca limpia y evitar infecciones.
- Revisiones: Asistir a todas las citas de seguimiento programadas con el especialista.
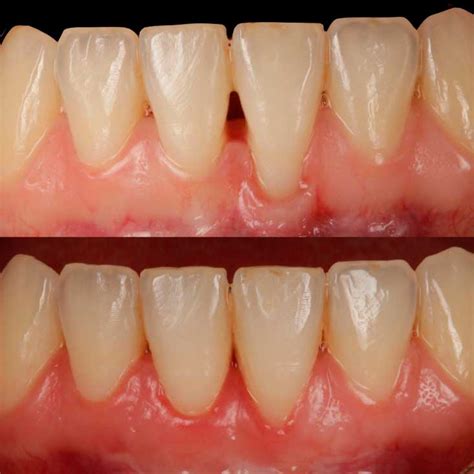
Resultados Esperados y Tiempo de Recuperación
Aunque el proceso de recuperación total dura más tiempo, podrás volver al trabajo uno o dos días después de la cirugía. La semana siguiente de la cirugía debes asistir a una consulta de seguimiento, así el especialista revisará que todo está sanando como debe y que el injerto fue exitoso.
La cicatrización completa del injerto de encía suele tomar alrededor de tres meses. Después de dos a tres meses, la nueva encía debería tener una consistencia normal, lo que indica que el proceso de regeneración de encía ha finalizado.

Posibles Complicaciones y Cómo Evitarlas
Aunque los injertos de encías son bastante seguros, existen algunas posibles complicaciones:
- Infecciones: Mantener una buena higiene bucal y seguir las indicaciones del dentista.
- Necrosis del tejido: Evitar fumar y asegurar un cuidado adecuado de la zona para evitar traumatismos.
- Rechazo del injerto: Seguir estrictamente las instrucciones postoperatorias para minimizar este riesgo.
- Inflamación excesiva: Aplicar hielo en la cara varias veces al día para ayudar a aliviar el dolor y la hinchazón.
Es importante contactar al odontólogo si se experimentan síntomas inusuales como sangrado que no se detiene, dolor, hinchazón que incrementa o supuración alrededor del sitio del injerto.
Precio del Injerto de Encía
El precio de un injerto de encía puede variar considerablemente dependiendo de factores como la complejidad del caso, los materiales necesarios, el tipo de injerto, la clínica, la ciudad y la experiencia del profesional. En general, el costo suele oscilar entre 300 y 1.000 euros por diente. Es recomendable consultar con un especialista para obtener una valoración específica del caso.
Conclusión
El injerto de encía es un procedimiento con muchos beneficios y un alto porcentaje de éxito, así como una recuperación relativamente rápida. Siguiendo los cuidados postoperatorios adecuados, se puede asegurar una recuperación exitosa y mantener una buena salud bucal a largo plazo.
En Clínica Curull y González y Casado, los profesionales están enfocados en que los pacientes tengan unas encías sanas, ofreciendo apoyo antes, durante y después del procedimiento. No dudes en contactar para cualquier pregunta o para programar una cita.