Unos dientes blancos y relucientes ya no son exclusivos de los famosos. Los tratamientos blanqueantes y las carillas son cada vez más populares entre la población general. La odontóloga y experta en estética dentofacial, Irene Esteve, aborda la pregunta sobre cuál de los dos tratamientos es mejor para la salud dental:
"No existe una respuesta única a la pregunta de si es mejor el blanqueamiento o las carillas sin tallado; cada opción tiene sus propias ventajas y desventajas."
Como experta en odontología estética, Irene Esteve se enfrenta con frecuencia a la pregunta de cuáles son las mejores opciones para alcanzar esa sonrisa deseada, especialmente en lo que a dientes blancos se refiere. A continuación, exploraremos las opiniones y recomendaciones de Irene Esteve sobre estos tratamientos.

Blanqueamiento Dental: Un Procedimiento para Aclarar el Color de los Dientes
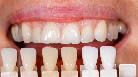
Tal y como explica la odontóloga, el blanqueamiento dental es un procedimiento diseñado para aclarar el color de los dientes. Tras este trabajo, se puede proponer el trabajo de carillas de porcelana sin tallado. Es importante tener en cuenta que no todos los dientes se blanquean igual.
Por ejemplo, un diente más grueso tiene más densidad de dentina, siendo más opaco. Al blanquearse, el resultado es más evidente. Dentro del blanqueamiento, existen varias técnicas:
- Blanqueamiento en clínica.
- Blanqueamiento en casa.
El tratamiento domiciliario se realiza durante un mes con unas férulas a medida y se aplica desde casa, vigilado por un profesional. El tratamiento en clínica se realiza también con peróxido de hidrógeno, pero aquí con altas dosis. Irene Esteve prefiere emplearlos solo en dientes no vitales porque, al ser un tratamiento más fuerte, en un diente vital es difícil de soportar la sensibilidad que producen estos productos, aunque estén previamente tratados con desensibilizantes.

Carillas de Porcelana sin Tallado: Personalización y Armonía
Por otro lado, la experta indica que un enfoque personalizado tiene que tener en cuenta la forma del rostro, la personalidad del paciente y la armonía con sus características naturales. Del mismo modo, en muchas ocasiones nos encontramos con pacientes con bocas sanas, pero con muchísimo apiñamiento o mordidas patológicas, que requieren primero tratamiento ortodóncico o incluso quirúrgico.
Las ventajas más marcadas de estas son que las carillas de porcelana sin tallado se pueden personalizar completamente para que tengan el color, forma y tamaño que desees.

🚩 Carillas dentales: ¿Negocio o Salud?
Irene Esteve Dental Aesthetic: Un Centro Odontológico de Confianza
Irene Esteve Dental Aesthetics es un centro odontológico liderado por la Dra. Irene Esteve, experta en carillas dentales de porcelana y estética dentofacial. Este centro se destaca por su trato cercano y profesionalismo, brindando a los pacientes una experiencia única en el cuidado dental. Con un equipo altamente capacitado, ha logrado transformar sonrisas y recuperar la confianza de sus clientes, quienes destacan su dedicación y calidad en los resultados.
Opiniones de los Usuarios
Entre las opiniones más positivas, los usuarios han comentado:
- Trato excepcional: Pacientes como Claudia y Rocio elogian el ambiente acogedor y el trato cálido por parte de Irene y su equipo.
- Resultados sorprendentes: Muchos han notado mejoras significativas en su sonrisa, como Alberto, quien agradece el cambio tras una mala experiencia en otra clínica.
- Profesionalismo y cercanía: La doctora Irene y su equipo son valorados por su atención al detalle y su dedicación en cada tratamiento.
Aunque la mayoría de las opiniones son positivas, algunas experiencias negativas han sido mencionadas. Algunos pacientes han sentido insatisfacción ante la falta de soluciones en situaciones específicas, como en el caso de tratamientos no finalizados o problemas con carillas. Sin embargo, la clínica se esfuerza por garantizar una alta satisfacción en todos sus servicios.
En resumen, Irene Esteve Dental Aesthetic es una opción recomendada para quienes buscan una atención dental de calidad, con un enfoque en la satisfacción del paciente y resultados efectivos.
Experiencias de Pacientes
A continuación, se presentan algunas experiencias de pacientes que han visitado Irene Esteve Dental Aesthetic:
- Berta: "La experiencia de tratar con Irene ha sido maravillosa. Todo su equipo es muy profesional. Y desde luego cumplen con todas tus expectativas. Gracias por ayudar tanto a los pacientes. Irene eres una artista, haces magia con las sonrisas!"
- Alberto: "En mi caso, decidí acudir a Irene para realizarme el tratamiento de carillas ya que venía de otra clínica donde me habían hecho una auténtica chapuza (pypclinic) , en tan solo 3 citas ha conseguido que mis dientes queden perfectos y mil veces mejor de lo que esperaba después de la mala experiencia que había tenido con la otra clínica."
- Claudia Bonet Llorens: "A mi Irene me cambió la vida. Me puse carillas hace casi 2 años, yo nunca sonreía y ahora no hago otra cosa. Desde el primer momento el trato recibido por Javi, Irene y todo el personal fue de 10, son muy profesionales y cercanos. Es la mejor inversión que he hecho en mi vida!"
Estas experiencias reflejan el alto nivel de satisfacción de los pacientes con los servicios de Irene Esteve Dental Aesthetic.
Trayectoria Profesional de Irene Esteve
Desde hace años, Irene Esteve recorre el camino de la excelencia profesional, continuamente formándose en los sectores que más ha admirado durante su carrera odontológica. Esta emprendedora se dedica especialmente a la estética dental, desde todos los ámbitos. Como fuerza primordial emplea la búsqueda de la excelencia en sus pacientes, buscando sin parar los mejores resultados.
"Yo siempre supe que iba a ayudar a la gente, lo tenía clarísimo."
En el colegio siempre quiso ser la mejor y llegó un momento en que no sabía qué iba a ser de su vida, pero sabía que tenía que subir el nivel para poder acceder a una educación privada que en su casa no se podían permitir. Todo el mundo le dijo que tenía que ser médico, porque funcionaba bien en todas las cosas que hacía. Sin embargo, ella quería ayudar a la gente lo más pronto posible, y la odontología le ofrecía esa oportunidad.

Su primer máster fue en endodoncia y restauradora de la Universidad de Valencia, que le mostró verdaderamente el sentido de la odontología. Tras esto, se dio cuenta de que la gente pedía un poquito más, ya les había ayudado a salvar sus dientes y ahora querían verse mejor consigo mismos. Para esto, necesitaba conocimientos en ortodoncia.
Ortodoncia Invisible: Una Alternativa a los Brackets
Los brackets siempre han sido la principal solución a los problemas odontológicos, pero una nueva corriente está invadiendo las consultas y las redes sociales: la ortodoncia invisible. Cuando hablamos de ortodoncia invisible hay que diferenciar entre alineadores y esta.
La ortodoncia invisible, como tratamiento ortodóncico completo, fue pensada para sustituir a los brackets. Los que han hecho un máster en ortodoncia y están formados en los cambios orofaciales -más allá de lo dental- entienden que la ortodoncia invisible debe solucionar los mismos problemas que la ortodoncia convencional. No se trata solo de alinear dientes, porque eso no garantiza una mordida correcta ni una estética adecuada.
Invisalign fue la primera en lanzar esta tecnología. Después llegaron otras marcas, invirtiendo muchísimo en publicidad, pero sin ofrecer una verdadera seguridad ortodóncica. Eso ha provocado que ahora nos encontremos con muchos pacientes que llegan a consulta con problemas derivados de tratamientos incompletos o mal realizados.
Muchas marcas hacen algo parecido, pero simplemente con el objetivo de dejar los dientes rectos. No analizan si hay que expandir, reducir espacio o hacer otros ajustes. Estas marcas tienden a expandir sin más, y eso puede hacer que los dientes se salgan del hueso.
La ortodoncia invisible es más rápida. Se activan movimientos cada semana y es muy predecible. Con los brackets se usan alambres, pero no se puede controlar la fuerza con tanta precisión. Aquí todo está digitalmente planificado. Eso protege el hueso y la encía.
Dependiendo del caso, si es algo leve, con apiñamiento moderado, puede resolverse en unas 14 semanas, es decir, en tres o cuatro meses. Casos intermedios pueden durar entre seis y nueve meses. Los más complejos, como en niños o con problemas severos, pueden requerir uno o dos años.
Irene Esteve: Influencer y Odontóloga de Celebridades
La Dra. Irene Esteve, CEO de Irene Esteve Dental Aesthetics, nacida en Elda, en 1991, se ha convertido en uno de los referentes en estética dentofacial y líder en carillas sin tallado. A su clínica Dental Aestetics (Madrid) han acudido celebridades como Blanca Suárez, Macarena Gómez, Violeta Mangriñán o Palomo Spain.
Como buena millenial, comparte su forma de entender la odontología estética en redes sociales, donde suma más de 144.000 seguidores. Esteve es toda una influencer en redes sociales y a la vez es la artífice del diseño de sonrisas de otros influencers y celebrities como Violeta Mangriñán, Fabio Colloricchio, Melodie Peñalver o la presentadora Elsa Anca.
Dentro de la estética dental, la especialidad de la doctora Esteve son las microcarillas de porcelana, de diseño propio creadas con una metodología única en España.

La Importancia de la Estética Dental en la Autoestima
La mascarilla ha sido la responsable de ocultar la sonrisa durante largos meses. Ahora, parece que cada vez se empieza a restringir más su uso y podemos volver a presumir de dientes de anuncio. Y es que dados los avances de la odontología y tal y como nos confirma Irene Esteve, especialista en estética dental, hoy en día, tener una sonrisa bonita está al alcance de cualquiera.
Es fundamental que, antes de realizar un tratamiento tan importante como es un blanqueamiento o unas carillas, tengamos una perfecta boca sana; es decir, que no haya enfermedad periodontal, que no haya caries… Por eso hay que hacer una revisión previa y tratar todos los problemas para poder continuar.
Para tener una sonrisa 10 no existen los tratamientos básicos. Hay gente que tiene mucha suerte y ya tiene una sonrisa bonita pero normalmente hay que pasar por varios procesos, que suelen comenzar por un tratamiento de ortodoncia, bien sean brackets o invisalign (yo siempre utilizo este último). Posteriormente, me gusta recomendar un blanqueamiento dental y lo que aporta ese top 10 a la sonrisa es la aplicación final de las microcarillas de porcelana.
Las carillas dentales tienen la ventaja frente al blanqueamiento de que aportan una luminosidad y un color que son imposibles de ver en la naturaleza. Digamos que también podemos hacer carillas con colores más naturales pero solo la porcelana nos permite verdaderamente conseguir blancos que, después de muchos tratamientos blanqueadores, sería imposible lograr en un diente normal.
Las carillas que Irene Esteve emplea son de fabricación propia, desarrolladas después de años de investigación. Son muy resistentes y muy muy finas. Esto aporta una translucidez que da una apariencia muy natural y permite no tocar en absoluto el diente.
Al terminar el tratamiento de carillas hay que seguir una serie de revisiones que voy pautando a mis pacientes, pero la verdad es que no hay mucha diferencia con el cuidado normal. Lo importante es el cepillado, el paso del hilo dental y el irrigador, como cualquier persona.
Cualquiera puede conseguir una sonrisa de anuncio. Con dedicación, tiempo y paciencia cualquier sonrisa puede llegar a niveles extraordinarios.
Cuando Irene Esteve va a diseñar una sonrisa necesita conocer a sus pacientes. Le gusta sentarse con ellos, hablar, entenderles, conocerles, que le cuenten un poco su historia, su vida, qué quieren y qué esperan. Ve sus rasgos faciales, la forma de sonreír, si son más tímidos o más agresivos, más divertidos o serios… Esto influye muchísimo a la hora de diseñar la sonrisa y elegir un color.
La diferencia entre blanqueamiento y carillas es muy grande. El color que se consigue con las carillas es imposible de alcanzar con el blanqueamiento. Digamos que el blanqueamiento es un paso anterior. Hay gente al que le gusta el resultado pero, quien quiere más, debe optar por las carillas.
Se calcula que la sonrisa influye en un 70 por ciento de la estética facial. Es decir, que una sonrisa lo cambia absolutamente todo.
Cuando hacen estos cambios, a los pacientes les sube muchísimo la autoestima. Ya no es que tengan una boca sana y bonita, que es algo evidente, sino que se aprecian cambios en ellos mismos. La gente sonríe de otra manera. Es muy gracioso que, en las fotos que hago antes y después, se ve que cambia la expresión de la sonrisa. No solo cambia lo que se ve, las sonrisas también cambian el interior.
Lo que más le repiten los pacientes a Irene Esteve es "¿pero de verdad no me vas a tocar el diente?". La mayor preocupación de sus pacientes es no perder su tejido dentario y que no les dañe el diente. Y esto es lo que ella les da, que no les toca el diente para nada y es totalmente cuidadosa con su sonrisa.
Carillas Dentales: La Clave para una Sonrisa Perfecta al Instante
La estética dental atraviesa su momento de gloria, y tras el extenso reino del blanqueamiento dental, las carillas dentales se erigen como el nuevo procedimiento en boga. Hablamos de las famosas microcarillas sin tallado

Desde Dental & Design, una clínica experta en carillas dentales con sedes en Marbella, Barcelona y Madrid, aseguran que esta tendencia procede de Colombia y Brasil, que se han consolidado como líderes en estética dental debido a una combinación de factores culturales, profesionales y tecnológicos.
Josep Ferret y Alejandro Bedoya, CEOs y fundadores de Dental & Design, defienden que “la principal tendencia en estética dental a nivel global es la personalización de tratamientos mediante tecnología avanzada. Los pacientes buscan soluciones estéticas que no solo mejoren la apariencia, sino que también se integren armoniosamente con sus rasgos faciales y personalidad. Herramientas como el Diseño de Sonrisa Digital (DSD) permiten planificar y visualizar los resultados de manera precisa antes de iniciar cualquier procedimiento”.
Ferret y Bedoya confirman que “las carillas pueden colocarse sin dañar los dientes siempre que se utilice una técnica mínimamente invasiva y materiales de alta calidad. En Dental & Design nos especializamos en preservar la estructura natural del diente, garantizando una sonrisa estética sin comprometer la salud bucal”. A tal fin, siguen estos principios:
- Diagnóstico preciso y planificación digital.
- Técnica de mínima o nula reducción.
- Uso de adhesivos de última generación.
- Selección del material adecuado.
- Mantenimiento adecuado.
Carillas Dentales de Composite o de Cerámica: ¿Qué es Mejor?
Estos expertos aseguran que “su diferencia principal radica en el tipo de material, pero al final ambas opciones son excelentes, y la elección depende de las necesidades y preferencias del paciente”. Para ver claramente las ventajas y desventajas, desde Dental & Design ofrecen este cuadro esclarecedor:
| Característica | Carillas de Composite | Carillas de Cerámica |
|---|---|---|
| Material | Resina compuesta | Porcelana |
| Durabilidad | Menor (5-7 años) | Mayor (10-15 años) |
| Estética | Buena, pero puede mancharse | Excelente, alta resistencia a manchas |
| Proceso | Directo, en una sola sesión | Indirecto, requiere varias sesiones |
| Precio | Más económico | Más costoso |
La Cuestión del Tallado de los Dientes
Ferret y Bedoya advierten de que “las carillas de cerámica requieren una preparación del diente que implica la eliminación de una pequeña cantidad de esmalte, lo que las convierte en un tratamiento irreversible. Sin embargo, las carillas de composite generalmente, requieren una mínima o nula preparación del diente, preservando la estructura dental original y permitiendo una reversibilidad del tratamiento si se desea”.
No obstante, la odontóloga Irene Esteve, fundadora de la clínica Irene Esteve Dental Aesthetics, afirma que “hay muchas clínicas dentales que dicen ‘vamos a pulir un poquito’, pero ahí ya hay una eliminación de tejido que no nos interesa. De hecho, el proceso de tallado es irreversible y puede darnos sensibilidad, afectar algunos nervios o incluso provocar pérdidas de piezas. Hay gente que hace tallados tan agresivos que acaban por dañar el soporte del hueso y la encía, sobre todo por el mal ajuste de este tipo de prótesis, que al ser más gruesas se ajustan muy mal”.
De ahí que ella haya desarrollado un proceso de carillas de porcelana en el que no existe el tallado del diente. “Las carillas que yo empleo son de fabricación propia. Es un producto que desarrollamos después de años de investigación. Son muy resistentes y muy muy finas. Esto nos aporta una translucidez que da una apariencia muy natural y nos permite no tocar en absoluto el diente. Podría quitarlas mañana y no habría ninguna diferencia entre el diente que tenías antes de colocarlas”, comenta esta experta en estética dentofacial.
En resumen, Irene Esteve se ha consolidado como una figura destacada en el campo de la estética dental, ofreciendo soluciones personalizadas y de alta calidad para lograr la sonrisa deseada por sus pacientes. Su enfoque innovador y su compromiso con la satisfacción del paciente la han convertido en una referencia en el sector.