Dicen que el mejor maquillaje es una sonrisa bonita. Los famosos son conscientes de la importancia de sus dientes en su imagen y recurren a diversos tratamientos, desde blanqueamientos dentales hasta carillas de porcelana. A continuación, exploraremos la transformación dental de Jim Carrey y otros famosos que han mejorado su sonrisa.
De Dormir En Una Camioneta a Ser Actor Millonario | La Historia de Jim Carrey 💰
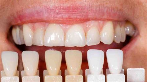
El Impacto de las Carillas Dentales en la Sonrisa de los Famosos
Las carillas dentales son una terapia de estética dental transformadora que puede cambiar completamente tu sonrisa. Las carillas de porcelana crean un aspecto tan hermoso que muchas celebridades han optado por este tratamiento de última generación.

Famosos con Carillas Dentales: Antes y Después
- Miley Cyrus: Conocida por su papel en Hannah Montana, Miley Cyrus se puso carillas alrededor de los 17 años para enmascarar problemas de alineación, alargar sus dientes e iluminarlos.
- Cristiano Ronaldo: El futbolista portugués, además de ortodoncia, mejoró su sonrisa con carillas dentales.
- Tom Cruise: Antes de las carillas, sus dientes estaban manchados y mal colocados. Ahora, Tom luce una sonrisa brillante en la pantalla grande.
- Nicolas Cage: En sus inicios, Nicolas Cage tenía una sonrisa amarilla y torcida. Las carillas de porcelana mejoraron su apariencia y confianza.
- Morgan Freeman: A medida que envejecía, notó decoloración y espacios en sus dientes. Las carillas de porcelana corrigieron estos defectos y lo hicieron lucir más joven.
- Jim Carrey: Las carillas de porcelana transformaron su sonrisa amarilla y la falta de dientes frontales, dándole confianza para sus papeles cómicos.
Famosos Españoles con Carillas Dentales
- Penélope Cruz: Tiene una de las sonrisas más brillantes de la industria cinematográfica, caracterizada por piezas perfectamente alineadas y un toque nacarado.
- Paula Echevarría: La actriz asturiana ha tenido varios tratamientos de embellecimiento, incluyendo blanqueamiento dental y carillas.
- David Bustamante: El cantante es conocido por su sonrisa blanca e impecable, gracias a carillas dentales.
- Patricia Conde: La estrella de televisión tiene una sonrisa atractiva gracias a la ortodoncia y carillas de porcelana.
- Julián López: El actor cómico español es otro ejemplo claro del antes y después de los implantes de carillas dentales.
El Caso de Jim Carrey: De Sonrisa Imperfecta a Estrella de Hollywood
Jim Carrey es un comediante conocido por sus papeles en películas como La Máscara y Ace Ventura. En sus inicios, su sonrisa no era perfecta, pero las carillas de porcelana transformaron su apariencia, dándole la confianza necesaria para triunfar en Hollywood.

Otros Actores que Fueron Lejos para Preparar un Papel
Ser actor no es fácil. Algunos actores llevan el método de actuación a un nivel superior, realizando cambios radicales para dar vida a personajes memorables.
- Jim Carrey - Man on the Moon: Se metió tanto en el papel de Andy Kaufman que no salía del personaje ni detrás de las cámaras.
- Robert De Niro - El Cabo del Miedo: Se talló los dientes en lugar de usar prótesis para preparar su papel de exconvicto.
- Christian Bale - El Maquinista: Sufrió un cambio radical de peso, alcanzando un peso extremadamente bajo de 54 kilos.
Las Carillas Dentales: Una Inversión en Tu Sonrisa
Si crees que unas carillas dentales te serían de utilidad para mejorar tu sonrisa al igual que estas celebridades, no dudes en ponerte en contacto con una clínica dental. Las carillas dentales pueden corregir imperfecciones y restaurar tu salud y apariencia dental.
Tabla Comparativa de Tratamientos Dentales de Famosos
| Famoso | Problema Dental | Tratamiento |
|---|---|---|
| Miley Cyrus | Problemas de alineación | Carillas dentales |
| Cristiano Ronaldo | Espacios irregulares | Ortodoncia y carillas |
| Tom Cruise | Dientes manchados y mal colocados | Blanqueamiento y carillas |
| Nicolas Cage | Sonrisa amarilla y torcida | Carillas de porcelana |
| Jim Carrey | Sonrisa amarilla y falta de dientes frontales | Carillas de porcelana |