Estamos acostumbrados a ver que muchas personas mediáticas, cuya imagen es muy importante, tienen en una bonita sonrisa su mejor tarjeta de presentación. Y no siempre es posible tenerla de nacimiento. Por eso, muchas de estas "celebrities" encuentran en las carillas dentales su mejor arma secreta. ¿Sabes cuál es el secreto estético mejor guardado de los famosos? ¡Que no te engañen! Es una trampa. La respuesta son: las carillas de porcelana o dentales.
Desde hace muchos años somos conocedores del canon de belleza de la sonrisa 10. Sabemos que es un estado de equilibrio y armonía entre labios, encías y dientes. Además, sabemos que las encías son parte fundamental de la sonrisa y una vez que estas están en un estado de salud y equilibrio en sus formas, abordamos la estética blanca en sí, es decir, los dientes.
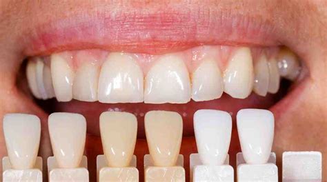
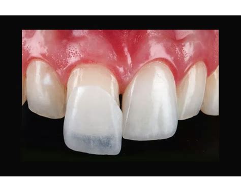
Según el Dr. Fernando Soria, maestro en odontología reparadora y estética, una sonrisa perfecta tiene como característica que los dientes presentan una correcta alineación tridimensional, una proporción correcta entre su altura y ancho, unas formas anatómicas adecuadas, un tamaño acorde a su rostro-labios y, finalmente, un color que le dé luminosidad al rostro. Una sonrisa perfecta no tiene separación entre los dientes (diastemas) o apiñamiento de los mismos. A los pacientes que carecen de este canon, se les ponen carillas dentales -láminas extrafinas de cerámica que van adheridas a la superficie frontal del diente- como es el caso de las celebrities.

Estas permiten modificar forma, tamaño, proporción y color de los dientes de manera definitiva, como así también cerrar diastemas o un apiñamiento dental menor, haciendo la sonrisa perfecta.
¿Como hacen los ⭐️𝗙𝗔𝗠𝗢𝗦𝗢𝗦 para tener 𝗗𝗜𝗘𝗡𝗧𝗘𝗦 𝗣𝗘𝗥𝗙𝗘𝗖𝗧𝗢𝗦? ¡Famosos con dientes FEOS ANTES y DESPUÉS 👄!
Famosos que Optaron por las Carillas Dentales
A través de la odontología cosmética, cada uno de los problemas mencionados son tratables.
Karol G
La cantante ha estado últimamente en el punto de mira por su sonrisa, ya que recientemente dio a conocer que decidió modificar su dentadura con un lujoso procedimiento: diamantes en los dientes. Pero, sin lugar a duda, su sonrisa perfecta y magnética tiene las carillas.

Cristiano Ronaldo
No solo las mujeres se someten a este tratamiento dental, muchísimos hombres famosos (más de lo que te piensas) tienen estas carillas. El claro ejemplo, por eso, es Cristiano Ronaldo. Las fotografías más antiguas de la superestrella del fútbol muestran cómo ocurrió la transformación de su apariencia. Lo más notable es su sonrisa. Los dientes de Ronaldo tenían algunos problemas, pero después de diferentes arreglos, tiene una de las mejores sonrisas.
Taylor Swift
¿Taylor Swift tiene carillas? Todo apunta que sí, según el Dr. Fernando Soria. Para poner las cosas en perspectiva, sus dientes se han vuelto perfectamente rectos y más blancos luego de que eran desiguales y estaban desalineados. Los dientes de Taylor exhiben el tipo de consistencia que solo viene con las carillas.
Miley Cyrus
Una de las sonrisas más bonitas de todo Hollywood, también ha sido transformada. Ella presenta una sonrisa con unos dientes perfectamente alineados y con una apariencia luminosa, que atrapa a quien la ve. No nos cabe duda de que a nuestra conocida por su papel en Hannah Montana, le encanta su sonrisa y por eso toda oportunidad es buena para mostrarla al mundo.
Otros Famosos y sus Transformaciones Dentales
- Zac Efron: Al inicio de su fama presentó un diastema interincisivo en la línea media superior. En el caso de Zac Efron se decidió por las carillas Lumineers.
- Penélope Cruz: Para lograr una simetría y un equilibrio ideal en el rostro, el tamaño y color de los dientes juega un papel fundamental. En el caso de Penélope, este tratamiento estético cumple ambas funciones.
- Demi Lovato: Luego de someterse a un tratamiento de ortodoncia invisalign, terminó el tratamiento con la colocación de carillas de porcelana.
- Lindsay Lohan: Lohan escogió el procedimiento con carillas de porcelana, con ello obtuvo una dentadura de mayor tamaño que armoniza su rostro.
- Becky G: El tratamiento al que se sometió Becky G fue un diseño de sonrisa o smile design como también se conoce.
- George Clooney: George Clooney se vale de los tratamientos con carillas de porcelana para ajustar el tamaño de sus dientes desgastados y proveerlos de un bonito color blanco.
- Morgan Freeman: En el caso de Freeman, aunque no hay datos disponibles, es muy probable que haya recurrido a un diseño de sonrisa.
- Nicolas Cage: El actor optó por varios tratamientos estéticos, entre los que se cuenta ortodoncia, coronas de porcelana y un tratamiento con carillas fabricadas con material cerámico.
- Matthew Lewis: Finalmente, mantiene su bonita sonrisa a través de las carillas de composite.
- David Beckham: Y finalmente, optó por un tratamiento con carillas de porcelana, para dar un color blanco a su dentadura.
- 50 Cent: Lo hizo a través de carillas de porcelana.
- Cardi B: Llevó a cabo varios tratamientos de restauración estética, usando materiales cerámicos, principalmente. En los que se incluía carillas y refuerzos en coronas de porcelana.
- Jamie Foxx: A parte de la ortodoncia, Jamie usa carillas de porcelana para dar un acabado natural a sus dientes actuales.
- Jennifer Aniston: Seguidamente potenció la simetría de sus dientes con el uso de carillas de porcelana.
El Proceso de Diseño de Sonrisa con Carillas
Siempre digo a mis pacientes que diseñar una sonrisa es igual que diseñar una casa. Me refiero a que debemos escuchar las expectativas y deseos del paciente para que posteriormente podamos llevar esa interpretación personal e individual de cada persona a nuestro diseño y restauración definitiva, siempre dentro de un marco ético y médico clínico.
Existen dos protocolos habituales, el tradicional y el avanzado, además de una tercera opción llamada One Day Teeth que se realiza en un solo día. Una primera sesión de recopilación de datos clínicos, fotos, vídeos y escaneado digital de la boca en 3D. Trabajamos con todo un proceso digital. En la segunda sesión, haremos una maqueta en boca del paciente de nuestro estudio y diseño de su sonrisa y le enseñamos para que pueda observar y tomar decisiones si nuestra propuesta satisface sus expectativas estéticas.
Si al paciente le gusta la propuesta de su futura sonrisa, inmediatamente comenzamos con la micropreparación dental y los moldes digitales de sus dientes. Finalizamos esta sesión con colocación de carillas provisionales. En la tercera sesión, el paciente regresa a la clínica en donde desmontamos la carillas provisionales y procedemos a comentar las carillas definitivas, que serán una réplica exacta a las provisionales.
Tipos de Cerámica Utilizadas
Tenemos que identificar cada caso en particular para saber qué tipo de cerámica es adecuada para el paciente, en base a su dureza, resistencia y propiedades ópticas y estéticas. Existen cerámicas de disilicato de litio y cerámicas feldespáticas.

La clave para que un trabajo sea natural es el ceramista. Es muy importante la destreza artística del ceramista. Me gusta definir que existen ceramistas que trabajan en 'serie' y otros que trabajan en 'serio' como en la Clínica Fernando Soria.
Duración y Mantenimiento
Es un tratamiento que en una boca que mantiene una higiene adecuada, y que está supervisada anualmente por la clínica dental, con sus correspondientes mantenimientos, que son claves, puede llegar a durar entre 15-20 años.
Carillas de Composite: ¿Una Alternativa Viable?
Podemos alcanzar un resultado estético muy satisfactorio con carillas de composite. Es un tratamiento que tiene unos beneficios notables para los pacientes. La clave es saber seleccionar el tipo del perfil del paciente si es candidato o no para este tipo de tratamiento. Este cambio de color, se ve incrementado frente a pacientes fumadores, con pobre higiene bucodental, que consumen mucho café, té, bebidas cola o vino tinto, para estos la recomendación serán carillas de cerámica.
El Impacto del Envejecimiento en la Sonrisa
La esperanza de vida ha aumentado. Cada vez se vive más, pero se debe intentar vivir ese tiempo añadido con la mayor salud posible. Los cuidados alimenticios y del organismo deben ser mayores si se quiere seguir disfrutando de longevidad, vivir más y vivir mejor.
En la cara el paso del tiempo se nota en los tejidos blandos, la pérdida de elasticidad e hidratación de la piel y anejos provocan la aparición de arrugas y la flacidez. En la boca en el labio superior aparecen esos surcos comúnmente llamados código de barras y su caída por la flacidez hace que se oculten los dientes superiores. El labio inferior sufre también con lo que deja al descubierto los dientes de la arcada inferior.
Los dientes también notan el paso del tiempo, pues pierden brillo porque el esmalte se estropea, se agrieta, se amarillea o se rompe por el uso, la ingesta de ciertos alimentos, la bruxomanía o el apretamiento mandibular. Muchas veces no es sólo el aspecto del diente el que cambia, sino que aparecen apiñamientos, debido a que el espacio dentario se ve alterado con la edad, esto es lo que se denomina compresión de arcada y disminución del diámetro bicanino (la arruga de los dientes).
La encía (el periodonto) sufre en muchas personas pérdida de inserción, recesiones y enfermedad periodontal. Esto hace que se vean los cuellos de los dientes, conocido como dientes de caballo, y troneras, que son los espacios vacíos en la parte alta de las coronas debido a la pérdida de la encía y del festoneado gingival.
Buscando solucionar estos problemas han aparecido en el campo de la ortodoncia y la odontología nuevas técnicas antienvejecimiento con las que se podrán corregir estos problemas y recuperar el aspecto de los dientes, de la sonrisa y, con ello, de la autoestima.
Las carillas Lumineers hacen posible que se pueda recuperar el brillo, el color, la forma y el tamaño de los dientes, sobre todo, en el frente anterior de un modo rápido, seguro e indoloro.