Si últimamente tus dientes parecen más alargados que de costumbre, es posible que padezcas retracción de encías, también llamada recesión gingival. Es una patología vinculada a la enfermedad periodontal que puede afectar a la boca de pacientes de cualquier edad, a pesar de que erróneamente los que las padecen piensan que son un síntoma de vejez. Pero lo cierto es que las principales causas que la provocan nada tienen que ver con el paso del tiempo.
La encía es el tejido blando que rodea a los dientes y su principal función es protegerlos y sujetarlos. Cuando hablamos de encías retraídas, nos referimos a que este tejido se va perdiendo hasta que puede dejar al descubierto parte de la raíz de los dientes. Este proceso es gradual y va acompañado de síntomas como la inflamación, el sangrado o la sensibilidad dental, por lo que es aconsejable visitar a un profesional en cuanto se detecte cualquiera de ellos. De no tratarlo lo antes posible, irá a más.

¿Por qué se retraen las encías? Causas principales
El motivo de la retracción de las encías viene dado por diferentes causas aunque algunas de ellas están relacionadas entre sí:
- Higiene bucodental insuficiente: No existe una sola causa por la que las encías se retraigan, aunque una higiene bucodental insuficiente suele estar entre las principales. Una adecuada higiene bucodental es imprescindible para evitar que se acumule la placa bacteriana o que aparezcan y se desarrollen enfermedades como la gingivitis o la periodontitis. Para ello, es necesario que te pases el hilo o la seda dental al menos una vez al día, que te cepilles un par de veces y que utilices un enjuague bucal adaptado a tus necesidades.
- Cepillado agresivo: Si aprietas demasiado el cepillo contra los dientes, los tejidos de las encías pueden inflamarse y provocar retracción. Aunque pueda parecer lo contrario, cepillarse de manera agresiva no es bueno ni para los dientes ni para las encías. Un cepillado agresivo puede desgastar el esmalte de los dientes y provocar la retracción de las encías. Cepillarse los dientes con demasiada fuerza también puede hacer que las encías se retraigan, especialmente si se cepilla con movimientos de vaivén.
- Enfermedades de las encías (Gingivitis o Periodontitis): Las enfermedades de las encías son las principales causantes de las retracciones de encías. Obviamente las enfermedades de las encías provocan inflamación por la placa bacteriana acumulada. La enfermedad de las encías es una infección bacteriana que puede dañar las encías y el hueso que sostiene los dientes. La gingivitis es la primera etapa de la enfermedad de las encías, y puede hacer que las encías se enrojezcan, se hinchen y sangren con facilidad. Si no se trata, la enfermedad de las encías puede evolucionar a periodontitis, que puede hacer que las encías se retraigan y provocar la pérdida de dientes.
- Maloclusión: Los dientes desalineados o aquellos que no encajan correctamente la arcada superior con la inferior son otra causa común de retracción gingival. Cuando los dientes no están posicionados de forma correcta, pueden ejercer presión desigual sobre las encías, dificultar la higiene, provocar una mala oclusión y dar lugar al desgaste de ciertas áreas.
- Bruxismo: Los pacientes que son bruxistas de manera continuada, esta parte de la dentadura puede padecer que las encías se retraigan. El apretar o rechinar los dientes puede generar una presión anormalmente alta sobre los dientes y las estructuras de soporte, incluidas las encías.
- Ortodoncia: En Dobleese, en algunos casos (cuando es necesario) realizamos un tratamiento para la retracción de encías antes incluso de colocar la ortodoncia al paciente.
- Piercings: Según un estudio, más de un tercio de las personas con piercings en la boca experimientan recesión gingival. También, suelen darse casos de retracción de encías en pacientes que tienen un piercing en la boca.
- Factores genéticos: La genética puede influir en la retracción de las encías. Algunas personas son más susceptibles a las enfermedades de las encías debido a sus genes, lo que puede provocar que las encías se retraigan. Algunas personas están genéticamente predispuestas a tener encías sensibles y a sufrir retracción gingival. Esto significa que, aunque mantengan una buena higiene bucal y cuiden su salud dental, podrían desarrollar problemas en las encías debido a factores genéticos.
- Cambios hormonales: Los cambios hormonales, como los que se producen durante la pubertad, el embarazo y la menopausia, pueden hacer que las encías se vuelvan más sensibles y propensas a la recesión.
- Enfermedades sistémicas: Enfermedades como la diabetes, el SIDA o cualquier otra que afecte al sistema inmunitario, crean un mayor riesgo de desarrollar infecciones.
- Estrés: Es uno de esos factores invisibles que afectan a la salud de nuestras encías.
Consecuencias de la Retracción de Encías
La retracción de encías no suele ocurrir de un día para otro. Como se ha mencionado anteriormente, la recesión gingival no solo tiene un impacto estético, sino que también puede tener consecuencias significativas para la salud bucodental. Puede provocar:
- Sensibilidad dental.
- Riesgo de caries: La raíz de los dientes es una zona muy susceptible para que aparezcan caries.
- Problemas estéticos: Cuando las encías se retraen, el diente parece más largo ya que vemos su raíz. La recesión gingival es un problema común de salud bucodental que puede afectar negativamente a la calidad de vida de quienes lo padecen. “Cuando se produce en los dientes anteriores, además de suponer un problema estético por la sensación de alargamiento dentario, la recesión gingival constituye un problema clínico importante debido a la pérdida de inserción de la raíz en el hueso. Es más, muchas veces no solo se desplaza la encía, también lo hace el hueso que soporta al diente, provocando una movilidad anómala de éste y, en ocasiones, su pérdida”.
- Pérdida del diente: En los casos más severos, se pierde tanta encía y hueso que los dientes comienzan a aflojarse y pueden incluso soltarse del hueso soporte. A este extremo se llega cuando se ha hecho caso omiso durante mucho tiempo de las señales anteriores. Una encia retraida o la perdida de encia va mas alla de un simple problema estetico. La retraccion de encias puede afectar a la salud de tus dientes e incluso puede promover la perdida de una pieza dental.
- Infecciones dentales y caries: La encía es una barrera protectora contra las bacterias.
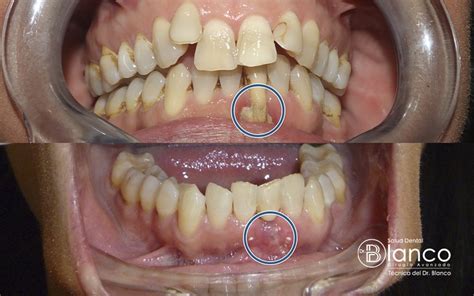
Así se solucionan las encías retraídas (recesión gingival)
Tratamientos para la Retracción de Encías
En cuanto al tratamiento, una vez que la encía se ha retraído es muy difícil que regrese a su posición original, salvo en casos muy leves e iniciales en los que se elimina rápidamente la causa que provocó el problema, como un mal cepillado. “En casos más avanzados será preciso recurrir a la llamada cirugía mucogingival para reparar y cubrir las áreas afectadas. Los procedimientos más habituales en estos casos son los injertos o los colgajos”, detalla el Dr.
Existen tratamientos que no tienen porqué conllevar una pequeña intervención quirúrgica:
- Raspado y alisado radicular: Es un procedimiento de limpieza profunda que elimina la placa y el sarro de los dientes y las raíces. Consulta más sobre nuestro tratamiento de Raspado y alisado radicular, también conocido como Curetaje Dental, donde conseguimos eliminar el sarro y las bacterias acumuladas bajo las encías, alrededor de las raíces de los dientes.
- Antibióticos y colutorios: Se pueden utilizar antibióticos y colutorios para tratar la enfermedad de las encías y prevenir daños mayores en las encías.
- Férula de descarga: En el caso de que tu retracción de encías esté relacionada con el bruxismo, es importante que utilices una férula de descarga adaptada a tus necesidades. Incluso bajo un cepillado normal tus encías pueden retraerse, caso en el cual se utiliza una placa de descarga que ayuda a detener este inconsciente acto de rechinar los dientes.
Si los tratamientos no quirúrgicos no son eficaces, puede ser necesario recurrir a tratamientos quirúrgicos:
- Cirugía de injerto gingival: Consiste en tomar tejido del paladar o de otra fuente donante y adherirse a la zona afectada. Un injerto de encía (o cirugía mucogingival) es un trasplante de tejido conectivo de una zona donde hay mucho (paladar) a una zona donde no hay o hay muy poco tejido (encías retraídas). Es una técnica que es sensible al operador, es decir, depende mucho de quien la realice el que se consigan mejores o peores resultados. Por eso es importante siempre acudir a un especialista en encías que esté acostumbrado a realizar este tipo de cirugías. En nuestras clínicas, utilizamos la técnica de microcirugía mínimamente invasiva, garantizando el mejor resultado sin dolor. El injerto de tejido se puede realizar de diferentes formas (diferentes tecnicas), depende de la tecnica la encia puede quedar con un tono de color ligeramente distinto. Ante un estado critico de tus encías retraídas, la cirugía estética periodontal se presenta como la única solución.
- Microinjerto de encía: Cuando el caso es extremo se utiliza esta opción en la cual una mínima fracción del tejido del paladar es removido y luego injertado para cubrir tu encía.
- Regeneración: Consiste en utilizar materiales especiales para regenerar el hueso y los tejidos que soportan los dientes.
- Cirugía de reducción de bolsas: Consiste en replegar el tejido gingival y eliminar las bacterias y la placa de la raíz del diente.
- Estiramiento de encía: En el cual el paciente se somete a una microcirugía en sus encías.

Después del tratamiento, es importante seguir las instrucciones de los profesionales para la correcta recuperación. Esto puede incluir evitar ciertos alimentos o actividades durante un período de tiempo.
Prevención de la Retracción de Encías
En la prevención está la clave. Por eso, es aconsejable que visites a tu dentista de forma periódica. El dentista utilizará un periodontograma, un instrumento mediante el cual registrará con precisión cuáles son los dientes afectados por una retracción gingival. Puede darse el caso de que se vean afectados uno, varios o todos. De todas formas, es primordial detectar y eliminar el factor causal, es decir, aquello que provoca la recesión de las encías.
No existe ningún remedio casero que detenga la retracción de encías, y menos aún alguno que las haga crecer de nuevo. No obstante, sí que existen ciertos hábitos saludables que pueden prevenir que esto ocurra:
- Mantener una buena higiene bucal: Para evitar una mayor recesión de las encías, es importante practicar una buena higiene bucal, que incluye cepillarse los dientes dos veces al día, usar hilo dental a diario y utilizar un enjuague bucal antiséptico. Una adecuada higiene bucodental es imprescindible para evitar que se acumule la placa bacteriana o que aparezcan y se desarrollen enfermedades como la gingivitis o la periodontitis. Para ello, es necesario que te pases el hilo o la seda dental al menos una vez al día, que te cepilles un par de veces y que utilices un enjuague bucal adaptado a tus necesidades.
- Visitar regularmente al dentista: Es imprescindible que acudas a tu dentista periódicamente. De nuevo, el presidente del Consejo General de Dentistas insiste en que es fundamental acudir regularmente a revisión odontológica para que el dentista pueda detectar a tiempo cualquier patología.
- Eliminar el cepillado traumático: Revisar y cambiar tu técnica de cepillado y tipo de cepillo puede ayudar a evitar que tus encias sigan retrayendo. El cepillado de nuestros dientes debe de ser suave sin hacer fuerza ni apretar. Usar un cepillo de dientes de cerdas suaves.
- Malos hábitos: Evitar el tabaco. Retirar los piercings.

La retracción de las encías puede ser un problema dental grave si no se trata. Conocer las causas y las opciones de tratamiento de las encías retraídas puede ayudarle a tomar el control de su salud dental y evitar daños mayores. Si notas algún signo o síntoma de encías retraídas, es importante que te pongas en contacto con un profesional lo antes posible.
| Causa | Consecuencia | Prevención | Tratamiento |
|---|---|---|---|
| Higiene bucal deficiente | Acumulación de placa, gingivitis, periodontitis | Cepillado regular, uso de hilo dental, enjuague bucal | Limpieza profesional, raspado y alisado radicular |
| Cepillado agresivo | Desgaste del esmalte, retracción gingival | Técnica de cepillado suave, cepillo de cerdas suaves | Instrucción de higiene oral |
| Enfermedad periodontal | Inflamación, pérdida de hueso, pérdida de dientes | Higiene bucal, visitas regulares al dentista | Raspado y alisado radicular, cirugía periodontal |
| Maloclusión | Presión desigual en las encías, dificultad para la higiene | Ortodoncia | Corrección de la mordida |
| Bruxismo | Presión excesiva en dientes y encías | Férula de descarga | Manejo del estrés |