La sonrisa es nuestra carta de presentación ante el mundo, capaz de abrir puertas y forjar fuertes conexiones entre las personas. No es sorprendente que muchos pacientes busquen mejorar su apariencia dental para sentirse más seguros y atractivos. Aquí es donde entran en juego las carillas dentales, una solución estética revolucionaria que puede corregir desde pequeñas imperfecciones hasta problemas más significativos de forma y color de los dientes.
Las carillas dentales se han convertido en una solución popular para quienes desean mejorar la estética de su sonrisa, ya sea por dientes desgastados, manchas, malformaciones o espacios entre ellos. Las carillas ofrecen una solución rápida y duradera para diversos problemas dentales, como dientes manchados, desgastados, rotos, desalineados o con espacios interdentales. Existen varias opciones en el mercado, y elegir el tipo correcto puede marcar la diferencia en términos de estética, durabilidad y comodidad.
En esta guía completa, exploraremos los diferentes tipos de carillas dentales disponibles, sus ventajas y desventajas, y cómo elegir la mejor opción para ti, con el objetivo de conseguir una sonrisa deslumbrante.
¿Conoces los TIPOS de CARILLAS DENTALES? ✨ El mejor tratamiento ESTÉTICO para tu sonrisa👄
¿Qué son las carillas dentales?
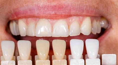
Las carillas dentales son finas láminas de material que se colocan en la parte frontal de los dientes para mejorar su apariencia. Estas carillas son personalizadas para cada paciente y pueden corregir una variedad de problemas estéticos, como dientes manchados, rotos o desalineados. Existen diferentes tipos de carillas, cada una con características propias, que se adaptan a las necesidades de cada paciente.

Tipos de carillas dentales: ¿Cuál es la mejor opción?
La ortodoncia profesional clasifica las carillas por el material con el que se fabrican. A la hora de escoger las carillas dentales más adecuadas, se debe prestar atención a una serie de factores. Generalmente, la calidad suele ser superior en los modelos más caros, aunque siempre es recomendable recibir asesoramiento por profesionales especializados. Dependiendo de la gama de productos a los que accedamos, podemos encontrar soluciones más o menos estéticas. El material del que estén hechas las carillas es muy relevante en este sentido. No todas las carillas presentan una misma durabilidad. Generalmente, las carillas suelen ser cómodas pero no todas al mismo nivel. Existen tratamientos que son más invasivos y otros que lo son menos.
A continuación, exploraremos los diferentes tipos de carillas dentales disponibles en el mercado:
1- Carillas de porcelana
Las carillas de porcelana son las más populares debido a su durabilidad, resistencia y apariencia natural. Están hechas de un material cerámico de alta calidad que imita el aspecto de los dientes naturales, reflejando la luz de manera similar al esmalte dental. Las carillas de porcelana son ampliamente reconocidas por su capacidad para imitar el aspecto natural de los dientes. Su durabilidad y resistencia a las manchas las convierten en una opción popular para aquellos que buscan resultados a largo plazo. Por estética, gana la porcelana.
Existen diferentes tipos de carillas de porcelana, que serán colocadas según la recomendación directa de tu dentista. Las carillas de porcelana, zirconio y disilicato son conocidas por su durabilidad y capacidad para imitar el aspecto natural de los dientes. Aunque su instalación requiere más tiempo y es más costosa, su larga vida útil y su resistencia a manchas las convierten en una inversión valiosa. Elegir entre porcelana, disilicato, zirconio y composite implica considerar la durabilidad deseada y el efecto estético. Mientras que las de porcelana, zirconio y disilicato ofrecen un acabado más duradero y natural, las de composite permiten ajustes y reparaciones más sencillos.
Ventajas:
- Alta resistencia y durabilidad (pueden durar más de 10 años si se cuidan bien).
- Resistencia a las manchas.
- Estética natural y apariencia similar al esmalte dental.
Desventajas:
- El proceso de colocación suele ser más largo y requiere más visitas al dentista.
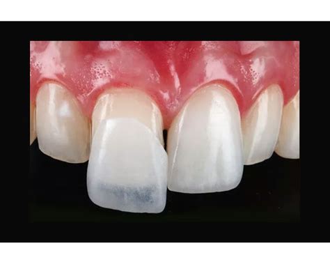
- Es necesario retirar una capa del diente natural para colocarlas.

2- Carillas de composite
Las carillas de composite están hechas de resinas compuestas que se aplican directamente sobre el diente. A menudo son una opción más económica en comparación con las carillas de porcelana, aunque tienen algunas diferencias notables. Las carillas de composite estético ofrecen una alternativa económicamente más accesible a los pacientes, con la ventaja de ser aplicadas en una sola visita al dentista.
Ventajas:
- Son más asequibles que las carillas de porcelana.
- El proceso es menos invasivo: se requieren menos visitas y no es necesario retirar tanta parte del diente original.
- Se pueden reparar fácilmente si se dañan.
Desventajas:
- No son tan duraderas como las de porcelana, y pueden durar entre 5 y 7 años.
- Son más susceptibles a las manchas con el tiempo.
- La apariencia puede no ser tan natural como la de la porcelana, aunque con una buena técnica se pueden lograr resultados muy estéticos.

3- Carillas de resina híbrida
Las carillas de resina híbrida son una combinación de materiales cerámicos y de composite. Combinan lo mejor de ambos materiales, ofreciendo una mayor resistencia y estética.
Ventajas:
- Buen equilibrio entre estética, durabilidad y precio.
- Son más resistentes que las carillas de composite y menos susceptibles a las manchas.
Desventajas:
- Aunque son mejores que las de composite, aún no alcanzan la durabilidad de las de porcelana.
- Requieren cuidados específicos para evitar el desgaste.
4- Carillas Lumineers
Las carillas Lumineers son una marca de carillas ultrafinas hechas de porcelana que no requieren retirar esmalte dental. Son una opción popular para quienes buscan una solución menos invasiva.
Ventajas:
- No requieren desgaste del diente natural.
- Son ultradelgadas, lo que las hace ideales para personas con dientes sensibles.
- Son muy estéticas y proporcionan un resultado natural.
Desventajas:
- En algunos casos, no son adecuadas para dientes muy desalineados o con problemas severos.
- Aunque son resistentes, pueden ser un poco más frágiles que las carillas de porcelana tradicionales.
5- Carillas Lumineers 2
Las carillas Lumineers 2 están fabricadas a base de Cerinate 2. Este material es porcelana de feldespato comprimido que además cuenta con nano-cristales de leucita. El resultado es un elemento muy atractivo a la vista y capaz de superar a cualquier carilla del mercado. Debido a su resistencia, las carillas LUMINEERS pueden fabricarse tan delgadas como unas lentes de contacto, lo que permite la colocación de las carillas con un mínimo contorneado del esmalte y sin el tallado de la dentina. Por este motivo, las carillas LUMINEERS se enmarcan dentro de una técnica mínimamente invasiva. Es la alternativa a las carillas de porcelana tradicionales, y han cambiado fundamentalmente la manera de practicar odontología.
La opción Lumineers no sólo proporciona una alternativa mucho menos invasiva para el paciente, sino que además no renuncia a la alta resistencia. Además, gracias al material del que están hechas pueden ser fabricadas en todo tipo de variantes, incluyendo las soluciones más delgadas.
Sin embargo, a pesar de que estas carillas presentan una alta calidad, hay otros factores que el paciente no debe pasar por alto. Uno de ellos es el papel que ocupa el profesional así como la planificación de su implantación. El asesoramiento cobra especial importancia antes de iniciar cualquier tratamiento odontológico. De cara al tratamiento, es necesario que se desarrolle un estudio personalizado para conseguir la solución que el paciente busca. El objetivo es obtener un resultado que resulte natural, atractivo, aunque también funcional. Los estudios demuestran que la durabilidad de las carillas Lumineers 2 pueden alcanzar los 20 años.
Tabla Comparativa de Tipos de Carillas Dentales
| Tipo de Carilla | Material | Durabilidad | Estética | Precio | Invasividad |
|---|---|---|---|---|---|
| Porcelana | Cerámica de alta calidad | 10+ años | Excelente (aspecto natural) | Alto | Requiere tallado del diente |
| Composite | Resina compuesta | 5-7 años | Aceptable (menos natural) | Bajo | Mínima o ninguna preparación |
| Resina Híbrida | Combinación de cerámica y composite | 7-10 años | Buena | Medio | Requiere tallado del diente |
| Lumineers | Porcelana ultrafina | 5-10 años | Excelente (aspecto natural) | Medio-Alto | No requiere tallado del diente |
¿Qué tipo de carilla dental elegir?
La elección del tipo de carilla depende de varios factores, como el presupuesto, las expectativas estéticas y las necesidades funcionales de cada paciente. Aquí hay algunas recomendaciones para ayudarte a decidir:
- Si buscas durabilidad y estética natural: Las carillas de porcelana son la mejor opción. Son más caras, pero ofrecen una apariencia realista y una larga vida útil.
- Si tienes un presupuesto ajustado: Las carillas de composite pueden ser una alternativa más económica. Aunque son menos duraderas, ofrecen buenos resultados y una estética aceptable.
- Si necesitas una opción menos invasiva: Las carillas Lumineers pueden ser la mejor opción, ya que no requieren la eliminación de esmalte dental.
- Si buscas un equilibrio entre precio y durabilidad: Las carillas híbridas pueden ser una opción intermedia entre porcelana y composite, ofreciendo una mayor durabilidad que las de composite a un precio más accesible que las de porcelana.

Pero aunque las carillas Lumineers 2 tienen una calidad contrastada, la destreza del profesional, el enfoque estético y el asesoramiento del paciente son imprescindibles para conseguir una sonrisa natural y personalizada con la que el paciente se sienta identificado desde el primer día. Siempre es necesario la elaboración de un estudio o Diseño de la Sonrisa previos para poder proporcionar al paciente exactamente lo que busca, una sonrisa bonita pero también funcional. Siempre repetiremos que forma y función van unidas, y la boca debe funcionar correctamente ya que de lo contrario, las carillas se pueden fracturar.
La forma de los dientes puede ser muy variada. Podemos observar la misma sonrisa con diferentes dientes. Guía rápida para elegir bien: Encuentra la opción perfecta para tu sonrisa comparando carillas de porcelana, composite y otras
El Proceso de Colocación de Carillas Dentales
El proceso de colocación de carillas dentales, tanto de composite como de porcelana y derivados, es un procedimiento estético diseñado para mejorar la apariencia de tu sonrisa.
Carillas de Composite
Las carillas de composite se fabrican a partir de una resina compuesta que se moldea y se endurece sobre los dientes. El proceso de colocación es relativamente sencillo y puede completarse, en muchos casos, en una sola visita al dentista.
- Preparación del diente: A diferencia de las carillas de porcelana, las carillas de composite requieren una mínima preparación del diente.
- Aplicación del composite: La resina compuesta se aplica directamente sobre la superficie del diente en capas.
- Pulido y ajustes finales: Finalmente, el dentista pule las carillas de composite para darles un acabado natural y suave.
Carillas de Porcelana, Zirconio y Disilicato
Las carillas de porcelana, zirconio y disilicato, por otro lado, requieren un proceso más complejo y generalmente varias visitas al dentista.
- Consulta inicial: Se discuten las expectativas y se planifica el resultado deseado. Esto puede incluir la toma de impresiones de tus dientes para crear un modelo 3D de diseño de sonrisa digital.
- Prueba de las carillas: Una vez que las carillas de porcelana, zirconio o disilicato están listas y fabricadas, se prueban en tus dientes para asegurar un ajuste perfecto y el color deseado.
- Adhesión: Cuando tanto tú como nuestra experta en estética dental están satisfechos con la apariencia de las carillas, se limpian los dientes y se graban ligeramente para prepararlos para la adhesión.
Mitos y Realidades sobre las Carillas Dentales
Es fundamental aclarar algunas dudas comunes sobre las carillas dentales:
- ¿Las carillas dentales dañan tus dientes? No, cuando se aplican correctamente, las carillas no dañan tus dientes.
- ¿Cuánto tiempo tarda el proceso de hacer carillas dentales? El tiempo varía según el tipo de carilla y la complejidad del caso.
- ¿Son permanentes las carillas dentales? Depende del material, pero generalmente son un tratamiento a largo plazo.
- ¿Puedo elegir el color de mis carillas? Sí, puedes elegir el color de tus carillas.
- ¿Las carillas se sienten diferentes a los dientes naturales? Inicialmente, puede haber una ligera diferencia, pero te acostumbrarás rápidamente.
- ¿Las carillas requieren algún cuidado especial? Sí, una buena higiene bucal es esencial.
- ¿Cuánto tiempo duran las carillas dentales? Ya hemos hablado de que se trata de un tratamiento a largo plazo.
- ¿Es doloroso o molesto el proceso de colocación de carillas dentales? La mayoría de los pacientes no experimentan dolor durante el procedimiento de instalación o colocación de carillas.
- ¿Puedo comer normalmente con carillas? Sí, una vez que las carillas están colocadas y el adhesivo se ha fijado completamente, puedes comer y beber con normalidad.
Consideraciones Finales
La elección de la mejor opción de carillas dentales depende de varios factores, incluyendo tus objetivos estéticos, el estado de tu salud bucal, y tu presupuesto. Es crucial considerar la durabilidad de las carillas, el mantenimiento requerido, y cómo se integran con tu sonrisa natural.
Para asegurar la longevidad de tus carillas, es esencial adoptar una rutina de higiene bucal adecuada, que incluya cepillado, uso de hilo dental y visitas regulares al dentista para chequeos y limpiezas profesionales.
El costo de las carillas varía según el tipo, el número de dientes a tratar y la complejidad del caso. Aunque pueden ser una inversión significativa, ofrecemos opciones de financiación sin intereses y planes de pago que las hacen mucho más accesibles.
Siempre te recomendaremos que consideres los testimonios de los pacientes que ya se han realizado un tratamiento de carillas, pero recuerda: cada paciente es distinto y tiene unas necesidades específicas. Por eso, lo mejor es tener un diagnóstico por parte de un especialista en la materia y considerar toda la información previamente a un tratamiento de estas características.
Con el cuidado adecuado, las carillas pueden proporcionarte una sonrisa que no solo luzca fantástica, sino que también te haga sentir mucho más seguro y feliz. La inversión en tu sonrisa a través de las carillas dentales es una decisión importante que puede tener un impacto duradero en tu apariencia y autoestima. Al informarte adecuadamente y tomar decisiones basadas en tus necesidades individuales y consejo profesional, puedes asegurarte de que tu inversión en carillas dentales sea beneficiosa a largo plazo.
Recuerda, cada sonrisa es única y merece ser celebrada. Las carillas dentales son simplemente una herramienta para ayudarte a alcanzar la sonrisa con la que siempre has soñado. Sea cual sea la opción que elijas, asegúrate de cuidar tus carillas con el mismo amor y atención que le dedicas al resto de tu salud bucal.