Siguiendo la tendencia de los implantes de pelo, el turismo dental se ha popularizado, especialmente en países como Turquía, donde se ofrecen arreglos bucales a precios atractivos. Sin embargo, esta práctica conlleva riesgos significativos.

El Atractivo del Turismo Dental
Muchos pacientes optan por paquetes turísticos que incluyen vuelos, alojamiento y tratamientos dentales. Estos paquetes prometen resultados rápidos y a bajo costo, lo que resulta tentador para quienes buscan mejorar su sonrisa.
Precios y Tiempos Récord
Los precios de procedimientos como las carillas pueden ser entre un 70 y un 80% más baratos en países como Marruecos, Turquía y Albania en comparación con Estados Unidos o Reino Unido. Además, las clínicas suelen destacar su capacidad para realizar tratamientos en pocos días.

¿Vale la pena arriesgar tu sonrisa por ahorrar? 😱 La verdad del turismo dental en Turquía
Riesgos y Complicaciones
El Consejo General de Dentistas (CGD) advierte sobre los riesgos de esta práctica. Los tratamientos rápidos pueden impedir una evaluación exhaustiva y una planificación personalizada, lo que puede llevar a problemas a corto y largo plazo.
Problemas Comunes
- Sensibilidad dental
- Problemas en las encías
- Pérdida dental
El doctor Ferrán Llansana, quien ha atendido a pacientes con complicaciones tras viajar a Turquía, señala que los daños ocasionados por tratamientos mal ejecutados pueden ser irreversibles y condicionar de por vida la supervivencia de los dientes. En algunos casos, estos dientes requieren endodoncias.

La Opinión de los Dentistas Españoles
Los dentistas españoles recomiendan cautela ante este tipo de publicidad y priorizar la seguridad y calidad asistencial. El presidente del CGD, el doctor Óscar Castro Reino, insiste en que muchos tratamientos se realizan en apenas unas horas, lo que impide un diagnóstico completo y una planificación personalizada.
Además, las clínicas en otros países no están sujetas a la misma regulación que en España, donde existe una estricta normativa, inspecciones sanitarias y la exigencia de que el dentista esté debidamente colegiado.
¿Qué pasa si surgen complicaciones?
Si un paciente sufre complicaciones después de regresar a España, no está claro quién responde ante esta situación. La falta de regulación y supervisión puede dejar a los pacientes desamparados.
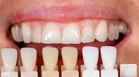
Carillas Dentales: Todo lo que Debes Saber
Las carillas son láminas finas de cerámica o plástico que se adhieren a la superficie del diente para disimular decoloraciones, irregularidades y ligeras desalineaciones. Son populares por su capacidad para transformar la sonrisa, pero su aplicación requiere cuidado y planificación.
Tipos de Carillas
- Convencionales: Requieren tallado del diente.
- Sin preparación (No-Prep): Más finas y no requieren tallado.
- A medida: Láminas prefabricadas en varios colores y tamaños.
- De composite: Moldeadas directamente en la boca por el dentista.
El costo de las carillas varía según el tipo y el número de dientes a cubrir. En Turquía, los costos pueden ser hasta un 60% más bajos que en Alemania.

Procedimiento de Colocación
- Limpieza dental profunda.
- Tallado del diente (en carillas convencionales).
- Toma de impresión para fabricar la carilla.
- Adhesión de la carilla al diente con un adhesivo especial.
- Endurecimiento con luz azul.
Riesgos de las Carillas
- Sensibilidad dental.
- Riesgo de caries si no se colocan correctamente.
- Daño al nervio del diente durante el tallado.
Alternativas y Recomendaciones
Si buscas una sonrisa más blanca y radiante, considera el blanqueamiento dental como una opción más suave. Para desalineaciones importantes, un tratamiento de ortodoncia con aparatos es necesario.
Recuerda que la obsesión por tener dientes perfectos puede llevar a decisiones imprudentes. Prioriza siempre la salud y la seguridad al buscar tratamientos dentales.
Turismo dental todo incluido
Cuando viajamos, muchos optamos por paquetes completos que guíen la experiencia. Estos paquetes incluyen vuelos, experiencias culturales y, para rematar, el tratamiento dental. Si alguna vez te has tenido que someter a algún tratamiento de la boca, sabrás que llevan su tiempo entre análisis previos, el propio procedimiento y las revisiones, pero estas clínicas destacan su capacidad para realizar el tratamiento en pocos días.