El levante de mordida es un método esencial en la odontología moderna diseñado para mejorar diversas patologías de oclusión y mejorar notablemente la salud bucal. Este artículo profundizará en sus conceptos, ventajas y aplicaciones más comunes, desde los materiales utilizados hasta la duración del tratamiento. Comprenderemos cómo el levantamiento de mordida puede transformar la calidad de vida de los pacientes.

Conceptos y Beneficios del Levante de Mordida
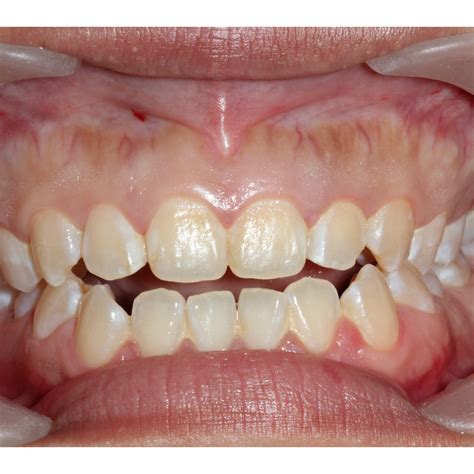
Definición
El levantamiento de mordida es un método esencial en ortodoncia utilizado para mejorar la oclusión dental. Su propósito principal es crear una separación entre los dientes de arriba y los de abajo. Frecuentemente conocida como topes oclusales, la elevación de mordida ayuda a desbloquear la oclusión dental, permitiendo que los dientes superiores no rocen contra los brackets inferiores.
- Región anterior: Levante efectuado en las caras palatinas de los incisivos centrales superiores.
- Región posterior: Levante realizado en la cara oclusal de los molares y premolares.
El ortodoncista determinará la ubicación más adecuada dependiendo del tipo de maloclusión. Esta técnica se aplica tanto en la parte anterior como en la posterior de la cavidad bucal, según la necesidad del paciente.
Beneficios Clave
El levante de mordida ofrece diversos beneficios esenciales para la salud dental y la calidad de vida del paciente:
- Mejora la estética dental: Al corregir la oclusión, se logra una alineación más adecuada de los dientes, dando como resultado una sonrisa más atractiva.
- Prevención de lesiones bucales: Al evitar el contacto entre los dientes superiores e inferiores, se disminuye el riesgo de heridas en labios, lengua y mejillas.
- Mejora la funcionalidad dental: Permite una masticación más efectiva y cómoda, crucial para la digestión y la salud general.
- Previene problemas futuros: Al corregir maloclusiones a tiempo, se evitan complicaciones más extremas que podrían requerir tratamientos más invasivos.
🌟 TOPES OCLUSALES! 🦷✨ LEVANTES DE MORDIDA EN ORTODONCIA /¡REVELO LOS SECRETOS OCULTOS!
Materiales Comúnmente Utilizados
La elección de materiales para el levante de mordida es clave para la efectividad del tratamiento. A continuación, se describen los materiales más utilizados:
- Composite: Es el material más comúnmente utilizado, conocido por su durabilidad y fácil manipulación. Se emplea para crear tanto levantes de mordida prefabricados como personalizados.
- Resina fotopolimerizable: Se usa particularmente en levantes posteriores y tiene la ventaja de liberar flúor, lo que brinda protección adicional a los dientes.
- Mini moldes de composite: Permiten una aplicación rápida y precisa, especialmente útil en la región anterior.
La elección del material adecuado es fundamental para garantizar un tratamiento exitoso y duradero.
Duración del Tratamiento
La duración puede variar según el caso individual de cada paciente. Usualmente, los levantes de mordida permanecen en la boca alrededor de 8 meses. Factores como el tipo de maloclusión y la respuesta del paciente al tratamiento son determinantes.
| Material | Ubicación | Duración |
|---|---|---|
| Composite | Anterior/Posterior | Aproximadamente 8 meses |
| Resina Fotopolimerizable | Posterior | Aproximadamente 8 meses |
Levante de Mordida Posterior: Procedimiento y Aplicaciones
El levante de mordida posterior es una técnica precisa recomendada por el ortodoncista para asegurar la alineación dental correcta y prevenir complicaciones antes de la colocación de los brackets. En pacientes con overjet aumentado, se sugiere colocar el ajuste en los caninos para brindar un mejor soporte. Para corregir mordidas irregulares, se puede aplicar el ajuste uniendo los dientes anteriores de canino a canino, lo que ayuda a prevenir la formación de espacios entre los dientes.
Indicaciones para Pacientes
Es esencial que los pacientes comprendan la importancia del ajuste de la mordida posterior y cómo cuidarlo correctamente, siguiendo las recomendaciones del ortodoncista. La higiene oral adecuada es crucial para prevenir la acumulación de placa y caries, por lo que se deben usar enjuagues bucales y cepillos interdentales según lo recomendado. Además, se debe evitar consumir alimentos duros y pegajosos que puedan dañar el ajuste.
Materiales Recomendados
El éxito del ajuste de la mordida posterior depende en gran medida de los materiales utilizados. Las resinas compuestas son las más comúnmente recomendadas por su capacidad de adaptación y resistencia. Otros materiales que pueden ser utilizados incluyen acrílico, ionómero de vidrio y cerámica, cada uno con sus propias ventajas y desventajas, que el ortodoncista evaluará y recomendará según las necesidades específicas del paciente.
Duración y Mantenimiento
La duración del ajuste de la mordida posterior puede variar de un paciente a otro y depende del material utilizado, pudiendo abarcar desde unos pocos meses hasta más de un año. Es crucial que los pacientes asistan a las citas de seguimiento programadas por el ortodoncista para evaluar la efectividad del tratamiento y llevar a cabo los ajustes necesarios.
Levante de Mordida Anterior: Técnica y Casos de Uso
El levante de mordida anterior se puede realizar mediante diversas técnicas. La elección del método depende de factores como el diagnóstico clínico, la preferencia del ortodoncista y las necesidades específicas del paciente.

Métodos de Confección
- Resina compuesta: Utilizada por su versatilidad y facilidad de aplicación, la resina compuesta es una opción popular para el levante de mordida anterior.
- Coronas temporales: En casos donde se requiere una solución temporal, las coronas pueden proporcionar una elevación de mordida efectiva.
- Dispositivos removibles: Estos aparatos permiten ajustes periódicos y son ideales para pacientes en crecimiento.
Indicaciones Clínicas
El levante de mordida anterior se utiliza principalmente para tratar ciertos problemas ortodónticos:
- Corrección de sobremordida
- Prevención de desgaste dental
- Tratamiento de maloclusiones
Materiales y Ventajas
- Resina compuesta: Popular por su adaptabilidad y estética, esta resina permite ajustes fáciles y rápidos.
- Acrílico: Utilizado en dispositivos removibles, proporciona una opción duradera y económica.
- Cerámica: En soluciones permanentes como coronas, la cerámica ofrece una excelente estética y resistencia.
Patologías Corregidas por el Levante de Mordida
El levante de mordida puede ser una solución eficaz para diversos problemas de oclusión, que a menudo se clasifican en tres categorías principales: Clase 1, Clase 2 y Clase 3. En la clase 1 existen problemas en la posición de los dientes y se caracteriza por las relaciones mesiodistales de los maxilares con los arcos dentales. La oclusión dental adecuada es esencial para la función y la estética bucal.
Problemas de Oclusión
El levante de mordida ayuda a redistribuir la presión dental, mejorando la alineación y la función de los dientes. Los pacientes y los profesionales dentales deben considerar esta técnica como una opción viable para tratar problemas de oclusión que afectan la calidad de vida.
Daños y Heridas Evitadas
Al corregir la maloclusión, el levante de mordida reduce el desgaste anormal de los dientes, protegiendo el esmalte y previniendo fracturas. Un tratamiento eficaz con levante de mordida puede mitigar estos síntomas, mejorando significativamente el bienestar general del paciente.
Mejora de la Salud Bucal
Además de corregir la maloclusión, el levante de mordida contribuye a la mejora general de la salud bucal. Una adecuada oclusión facilita una limpieza dental más eficaz. El alineamiento correcto de los dientes permite que la limpieza dental y el empleo de hilo dental sean más efectivos, reduciendo el riesgo de caries y enfermedades periodontales.
El tratamiento ortodóncico en los adolescentes suele obedecer a motivos de prevención oral general. Por su parte, las medidas profilácticas ortodóncicas en la primera infancia van encaminadas a evitar la aparición de anomalías morfológicas y funcionales secundarias a factores exógenos, como los malos hábitos.
En anomalías ya existentes que podrían empeorar o complicar el tratamiento posterior puede estar indicado un tratamiento ortodóncico interceptivo precoz antes de la segunda fase de la dentición mixta.
Desde la década de los noventa del siglo pasado se ha producido en Alemania un cambio de paradigma en la odontología desde una concepción predominantemente restauradora a una orientada hacia la prevención, lo que ha conllevado también una ampliación de conceptos en el ámbito de la prevención ortodóncica, aunque la idea de la prevención en la ortodoncia viene ya de lejos.
Además de fines estéticos, el tratamiento ortodóncico encaminado a la corrección de malformaciones dentarias y maxilares persigue casi siempre objetivos de prevención oral general.
La propia etiología multifuncional restringe muchas veces las alternativas disponibles para la prevención de las anomalías de la posición dentaria y de los trastornos de la mordida. Afortunadamente, la eliminación preventiva de influencias ambientales y de las asociadas a hábitos así como la instauración de un tratamiento precoz permite en muchos casos contrarrestar la plena expresión de la anomalía.
Por ello se puede afirmar que cuanto antes se inicie el tratamiento, más se acercará el sistema estomatognático al ideal terapéutico y cuanto más se retrase el tratamiento más se habrán de adaptar los objetivos terapéuticos al sistema estomatognático existente.
El tema del presente artículo comprende la prevención primaria y secundaria, de acuerdo con las definiciones de la Organización Mundial de la Salud (OMS), consistente en eliminar los factores predisponentes nocivos e instaurar un tratamiento precoz para garantizar el desarrollo normal de la dentición.
Por otro lado, la profilaxis terciaria, es decir, el tratamiento de malposiciones dentarias manifiestas y de anomalías de los maxilares en la dentición permanente, previene enfermedades dentales por caries y también defectos de carga del aparato periodontal y de las articulaciones temporomandibulares.
Por motivos didácticos se distingue entre la profilaxis ortodóncica precoz y la ortodoncia precoz. El objetivo de la profilaxis precoz es evitar las posibles causas que favorecen la aparición de anomalías maxilares mediante intervenciones conductuales y la supresión de los malos hábitos y disfunciones, con el uso de aparatología si fuera necesario, para reconducir el desarrollo normal por medio de la autocuración.
Las medidas profilácticas sin aparatos o asistidas por aparatos prefabricados se implantan paralelamente a las diferentes fases del desarrollo, pero preferentemente en la primera infancia y en la edad preescolar.
El tratamiento ortodóncico precoz que contempla el uso de aparatos confeccionados a medida no se suele iniciar hasta superado el cuarto año de vida o antes de la segunda fase del recambio dentario. Además, es un tratamiento limitado en el tiempo (tratamiento interceptivo). Está sujeto a indicaciones específicas como las anomalías morfológicas y funcionales definidas de tipo progresivo. En principio, en él encuentra aplicación todo el espectro terapéutico ortodóncico.
Las funciones primarias como la respiración, la succión, la deglución y el habla maduran y se desarrollan a través de la interacción del individuo con el entorno. Por esa razón entre la fase de la lactancia y la edad preescolar son esenciales sobre todo las medidas profilácticas encaminadas a establecer condiciones funcionales fisiológicas en la cavidad oral.
Entre estas medidas destacan las destinadas a evitar o suprimir hábitos de succión o chuparse el dedo así como las discinesias linguales, labiales o yugales. Las discinesias orofaciales, también denominadas trastornos miofuncionales, se refieren a la función muscular, al tono muscular o a la armonía de las secuencias de movimiento correspondientes, y pueden dar lugar a un descontrol de las funciones primarias.
La lactancia materna crea las mejores condiciones para conseguir que la motricidad oral se desarrolle de forma fisiológica. Durante la fase de la deglución visceral, la lengua del lactante se interpone entre las arcadas dentarias con la mandíbula abierta.
La posición de la mandíbula se estabiliza por la contracción de los músculos orofaciales y por el contacto entre la lengua y los labios. En la etapa de la erupción de los dientes temporales, que tiene lugar entre el segundo y cuarto año de vida, la deglución visceral da paso de forma fisiológica a la deglución somática. Con la mandíbula cerrada se establece el contacto entre los dientes y la lengua queda recluida por las arcadas dentarias en la cavidad oral.
La lactancia materna o el uso de una tetina fisiológica es la mejor manera de contrarrestar la persistencia de un patrón de deglución visceral que se asocia a una mordida abierta anterior y a defectos de fonación.
Los chupetes y las tetinas con efecto tranquilizador y de diseño adecuado también son aptos para niños con gran avidez de succión, dado que es más fácil deshabituar o limitar el uso del chupete que suprimir el hábito de chuparse el pulgar o los dedos. En la primera infancia debe utilizarse el chupete únicamente para ayudar al niño a conciliar el sueño y retirarlo una vez el niño se ha relajado. La permanencia excesiva del chupete en la cavidad oral puede llegar a impedir la transición de la función lingual del tipo visceral al tipo somático, dificultando que la lengua interiorice los puntos de contacto correctos en el paladar al tragar y al hablar.
Se recomienda iniciar el proceso de supresión del hábito de succión hacia los dos años de edad, cuando se produce el primer levante fisiológico de la mordida coincidiendo con la erupción de los primeros molares temporales. Esto comporta un aumento del espacio intraoral que permite a la lengua adaptar sus movimientos a la ingesta de alimentos progresivamente más sólidos y a la adquisición del habla.
Son sobradamente conocidos los efectos perjudiciales de los hábitos de succión que persisten en el tiempo. El resultado es el mismo para la succión del pulgar o de los dedos que para el uso prolongado de chupetes. Además, se trata de hábitos muy extendidos.
Los hábitos de succión se asocian con frecuencia a otras disfunciones orofaciales y además las favorecen. Estas incluyen un cierre labial incompetente (con tensiones) que favorece la respiración bucal habitual y también disfunciones linguales que se pueden manifestar en forma de succión lingual, empuje lingual o una malposición con pérdida de orientación en el paladar y en los dientes anteriores.
La interposición de la lengua entre los dientes puede perpetuar el patrón de deglución visceral y favorecer la aparición de una fonación defectuosa con sigmatismos. Otras discinesias afectan a los labios (interposición del labio inferior, succión, mordedura y empuje labial) y a las mejillas (succión y mordedura de la mejilla).
En un estudio realizado en niños de educación infantil, en hasta un 50% se constató la existencia de indicaciones para una intervención con aparatos o sin aparatos para el tratamiento de trastornos miofuncionales. Un estudio sobre la prevalencia de disfunciones linguales llevado a cabo en niños pequeños obtuvo resultados parecidos. El 74% de los individuos estudiados mostró alteraciones orofaciales del desarrollo del habla, de la función deglutoria, la posición de la lengua o la función labial con una oclusión bucal insuficiente.
En el 40% de los casos estas alteraciones se asociaban a malformaciones de los maxilares, sobre todo a mordida cruzada, a mordida abierta o a una mandíbula o maxilar estrecho. Los datos de prevalencia permiten confirmar la relación existente entre las anomalías morfológicas y las anomalías funcionales en comparación con la oclusión correcta.
El hábito de succión persistente es el factor causal relacionado con la conducta más frecuente no sólo de las anomalías funcionales, sino también de las anomalías morfológicas. La mordida abierta anterior con ausencia de contacto entre los dientes anteriores e interposición lingual es la secuela morfológica clínicamente más significativa del hábito de succión y de otras disfunciones activas o pasivas, junto con una protrusión de los incisivos superiores y una retrusión de los incisivos inferiores, además de una sobremordida horizontal y distoclusión marcadas.
Otra causa puede ser de tipo estructural, como una estructura facial vertical o un patrón de crecimiento vertical condicionados genéticamente. Se puede hacer el diagnóstico diferencial en base a una telerradiografía lateral.
La mordida abierta anterior se asocia a:
- Pronunciación defectuosa de los sonidos «s» y «z».
- Hábitos deglutorios incorrectos.
- Respiración bucal habitual con arcadas dentarias estrechas.
Para la corrección de las disfunciones subyacentes, preferentemente entre los 3 y 4 años de edad, pero siempre antes del recambio de los incisivos, hay que tener en cuenta que las anomalías morfológicas secundarias a hábitos de succión tienen una tendencia marcada a la autorresolución.
El ortodoncista dispone de distintas opciones con aparatología y sin aparatología para la prevención secundaria de las disfunciones orofaciales. En esta situación, la logopedia puede desempeñar un papel esencial.
Las pantallas orales son un dispositivo estándar que sirve para:
- La supresión del hábito de succión.
- La eliminación de disfunciones linguales y labiales.
- El cambio de respiración bucal a respiración nasal.
- El cierre labial consciente.
- El avance de la mandíbula como preparación para el tratamiento posterior de una clase II.
Las pantallas orales se confeccionan a medida en el laboratorio o están disponibles prefabricadas con un material blando (según Sander) o un material duro (según Hinz), como modelo base o con rejilla lingual.
tags: #levante #de #mordida #ortodoncia