El stripping dental, también conocido como limado de dientes o reducción interproximal del esmalte (IPR), es una técnica odontológica utilizada en ortodoncia para crear espacio entre las piezas dentales. Este procedimiento consiste en eliminar una pequeña cantidad de esmalte dental entre los dientes con el objetivo de facilitar el movimiento de los mismos y lograr una correcta alineación dental. En este artículo, exploraremos en detalle qué es el stripping dental, sus aplicaciones, ventajas, desventajas y consideraciones importantes.

¿Qué es el Stripping Dental?
El stripping dental es un procedimiento que consiste en reducir o limar interproximalmente el esmalte de los dientes. Es una técnica selectiva y controlada que se utiliza para ganar espacio en los tratamientos de ortodoncia. El objetivo principal es crear el espacio necesario para alinear correctamente los dientes, especialmente en casos de apiñamiento dental.
El apiñamiento dental o dientes montados, constituye uno de los problemas bucales más habituales en la población. El apiñamiento dental es un problema en la posición de las piezas, cuando no existe espacio suficiente y los dientes empiezan a juntarse y amontonarse entre sí.
Según el origen del apiñamiento, distinguimos entre tres tipos:
- Apiñamiento secundario: los dientes montados se producen por malos hábitos dentales (como la succión del pulgar los primeros meses de vida) o debido a la caída prematura de los dientes de leche.
Como sucede en todas las maloclusiones dentales, no todas las personas presentan la misma severidad. Determinar el grado es el primer paso antes de comenzar a planificar el caso. Por último, si hacen falta más de 6 milímetros, estamos ante un caso de apiñamiento severo.
El tratamiento para alinear y nivelar los dientes varía en función del grado de apiñamiento, la edad del paciente y el origen. En este contexto, si el apiñamiento dental es consecuencia de un paladar estrecho, el ortodoncista puede corregir el problema a través de una ortodoncia interceptiva. Este tratamiento es exclusivo de la niñez.
De esta manera, se resuelven de una forma sencilla y rápida las maloclusiones de origen esquelético. En el caso de adolescentes o pacientes adultos, existe la posibilidad de corregir esta alteración mediante diversos tratamientos de ortodoncia. La elección de la opción adecuada dependerá de las preferencias del paciente en términos de estética y precio.
En situaciones de apiñamiento severo, el ortodoncista puede recomendar la extracción de un diente, generalmente las muelas del juicio, para crear espacio en la arcada dental.
¿Para qué se Utiliza el Stripping Dental?
El stripping dental tiene varias indicaciones en la ortodoncia. La más común es conseguir algunos milímetros en casos en los que no es posible alinear todos los dientes correctamente por falta de espacio. También está indicado para mejorar la forma de algunos dientes.
La reducción de esmalte interproximal o IPR, (interproximal reduction), tiene diferentes funciones dentro de la ortodoncia:
- Ampliación de la arcada: La función principal de la técnica de stripping en ortodoncia es ganar espacio dentro de las arcadas dentales. En casos en los que se requiere un espacio mínimo para posicionar correctamente un diente que se encuentra fuera de la línea dental, es cuando se usa el stripping dental. Para los pacientes que sufren de apiñamiento dental medio es una buena opción para encontrar el espacio necesario sin tener que deshacerse de alguna pieza dental.
- Protrusión de los incisivos: El IPR también es usado para reducir la protrusión de los incisivos, que es cuando los incisivos superiores, al cerrar la mandíbula, encajan por delante de los incisivos inferiores. La opción más recomendable es reducir el tamaño de los incisivos laterales superiores cuando se presenta una desproporción con los incisivos laterales inferiores con la técnica de stripping dental. Esta afección dental se conoce también como el problema en el índice de Bolton.
- Extracción de piezas dentales: Por último, el stripping dental se usa para evitar la extracción y pérdida de piezas dentales, ya que es otra forma usada para ganar el espacio necesario para alinear los dientes. Con reducir el tamaño de los dientes al menos unos 0,25 milímetros el ortodoncista puede ganar el espacio necesario para que la arcada se mueva hasta posicionar la pieza dental que se encuentra fuera de ella. La extracción de piezas dentales se usan en casos de ortodoncia más complejos con apiñamientos dentales bastante severos.
En resumen, la reducción interproximal se realiza cuando:
- Se presenta la discrepancia de Bolton, que es cuando el incisivo superior se posiciona fuera del incisivo inferior
- Se quiere simular el desgaste fisiológico de los dientes
- Se presenta alguna deformidad esquelética
- Se quiere obtener espacio para posicionar los dientes dentro de la línea dental estética
Stripping Dental: Todo lo que Necesitas Saber | Técnica Paso a Paso
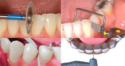
Tipos de Stripping Dental
Existen diferentes tipos de stripping dental, según la técnica utilizada y la zona del diente donde se realiza:
- Stripping dental interproximal: Se utiliza una lima dental para eliminar pequeñas cantidades de esmalte dental entre los dientes, en los espacios interproximales. Este es el tipo más común de stripping dental.
- Stripping dental oclusal: Implica la eliminación de pequeñas cantidades de esmalte dental en la superficie de los dientes.
Métodos para Realizar el Stripping Dental
Existen varios métodos para llevar a cabo el stripping dental, cada uno con sus propias características y aplicaciones:
- Tiras de Stripping: Se trata de unas tiras de limado las cuales se manipulan manualmente. Se utilizan en casos en los que solamente necesitamos romper el punto de contacto entre los dientes sin necesidad de conseguir mucha reducción. Es el método más sencillo que existe.
- Limas: El mecanismo de acción es el mismo que el de las tiras, pero en este caso, las limas están activadas mecánicamente con un contra-ángulo, lo que hace que la técnica sea más delicada.
- Fresas de Stripping: Son el método con el que más espacio se puede conseguir.
También se pueden utilizar:
- Tiras de pulir: son utilizadas para llevar a cabo la técnica de manera manual.
- Fresas de pulido: se usan para realizar el procedimiento de manera mecánica. Por ello, permiten ganar más espacio entre diente y diente.
- Discos de stripping. Es una técnica más compleja y requiere de una gran habilidad del profesional para conseguir el resultado adecuado.
Ventajas del Stripping Dental
El stripping dental ofrece varias ventajas en el tratamiento de ortodoncia:
- Alineación dental: Se utiliza a menudo como parte del tratamiento de ortodoncia para crear un espacio adicional entre los dientes y lograr una alineación dental adecuada.
- Espacio para la colocación de retenedores: Después de que se completa el tratamiento de ortodoncia, a menudo se coloca un retenedor dental para ayudar a mantener los dientes en su nueva posición.
- Mejora de la oclusión: La oclusión se refiere a la forma en que los dientes superiores e inferiores se ajustan al morder. Si los dientes no se ajustan correctamente, puede haber un desgaste excesivo en los dientes y la mandíbula, lo que puede conducir a problemas dentales a largo plazo.
Además, el principal beneficio de esta técnica es que hace más fácil el trabajo del dentista y contribuye a mejorar los resultados de otros tratamientos dentales. Como hemos visto, es un procedimiento conservador, sencillo y práctico que resuelve problemas de falta de espacio o apiñamiento. No es doloroso y se elimina una parte muy pequeña del espesor del esmalte dental, por lo que no hay motivo para preocuparse.
Desventajas y Riesgos del Stripping Dental
Aunque el stripping dental es un procedimiento seguro, existen algunas desventajas y riesgos que deben tenerse en cuenta:
- Pérdida de esmalte dental: El stripping dental implica la eliminación del esmalte dental, que es la capa protectora externa de los dientes.
- Sensibilidad dental: La eliminación del esmalte dental puede causar sensibilidad dental temporal en los dientes tratados.
- No es adecuado para todos los casos: El stripping dental puede no ser adecuado para todos los casos de ortodoncia o problemas de alineación dental.
Cuando hablamos de stripping dental, las desventajas más destacadas tienen que ver con las consecuencias de eliminar material dentario, ya que esto puede aumentar la sensibilidad en la zona. No obstante, para combatir este efecto, los especialistas suelen recomendar el uso de una pasta de dientes especial y evitar comidas o bebidas frías en los días posteriores al procedimiento.
Una de las consecuencias del stripping dental es el aumento de la sensibilidad en los dientes expuestos al tratamiento de reducción. Los pacientes también podrían sufrir la pérdida de capas sanas o eliminación de estructura dental durante la búsqueda del espacio para la reposición de los dientes.

Consideraciones Importantes Antes y Después del Stripping Dental
Antes de realizar un tratamiento de stripping dental para ortodoncia es necesario que el especialista tome algunas consideraciones y realice una serie de evaluaciones para conocer el estado de cada diente en particular, ya que no todos los dientes cuentan con la misma cantidad de esmalte. Es importante destacar que el stripping dental debe ser realizado por un profesional dental debidamente formado y experimentado. Además, el stripping dental no es una solución adecuada para todos los pacientes y cada caso debe evaluarse individualmente.
Después de realizar el stripping dental, el especialista debe pulir las áreas rugosas para evitar la acumulación de caries. Se debe tener en cuenta que después del tratamiento de stripping los dientes pueden aumentar su sensibilidad a los cambios de temperatura, es por ello que los dentistas recomiendan pastas dentales especiales y no consumir bebidas frías para evitar molestias.
Es importante seguir todas las instrucciones de cuidado posteriores proporcionadas por el dentista u ortodoncista para asegurarse de que los dientes se recuperen adecuadamente después del procedimiento.
El Stripping Dental Duele?
El stripping dental no duele. Este procedimiento es totalmente indoloro y resulta inocuo para el diente, ya que se trabaja sobre la capa externa del mismo, donde no hay terminaciones nerviosas. Además, la técnica puede realizarse incluso sin necesidad de anestesia, aunque algunos pacientes pueden sentir cierta incomodidad al notar que se le están ‘limando’ los dientes.
Alternativas al Stripping Dental
Como ya hemos adelantado, el stripping dental no es el único procedimiento que permite ganar espacio entre los dientes. Algunas alternativas incluyen:
- Expansión de la arcada: Permite aumentar la longitud de la arcada mediante la colocación de aparatos fijos o removibles.
- Protrusión de incisivos: Con esta técnica, el espacio se obtiene llevando los dientes incisivos ligeramente hacia adelante mediante el uso de aparatos fijos o removibles.
- Extracción de piezas dentales: La extracción de piezas dentales es, probablemente, la técnica más invasiva de todas las que existen. Sin embargo, es el método que permite ganar mayor espacio. Cuando el ortodoncista considera que la extracción de piezas dentales es necesaria, normalmente se decanta por los premolares, que son los dientes que menores perjuicios funcionales y estéticos ocasiona extraer.
En resumen, el stripping es una técnica de ganancia de espacio mucho más conservadora que las extracciones. Por ello, se realiza en los casos de apiñamiento leve, cuando la necesidad de espacio no es muy grande.
Apiñamiento Dental: Un Problema Común
El apiñamiento dental es un problema en la posición de las piezas, cuando no existe espacio suficiente y los dientes empiezan a juntarse y amontonarse entre sí. Tanto en niños como en adultos, el apiñamiento dificulta considerablemente la higiene bucodental adecuada. Esto crea un ambiente propicio para la proliferación de bacterias en la cavidad oral, lo que puede dar lugar a problemas como mal aliento, caries y acumulación de sarro.
El apiñamiento también puede ocasionar problemas de oclusión, ya que los dientes desalineados no encajan adecuadamente entre sí. Como consecuencia, se originan problemas en la masticación y tensiones en la articulación temporomandibular (ATM).
Cuando el factor genético es la causa del apiñamiento, no es posible prevenir los dientes amontonados. Sin embargo, sí que podemos actuar rápido para revertir la situación y conseguir que el paciente recupere la funcionalidad de su mordida. Para ello, es importante acudir a la primera visita con un ortodoncista a partir de los 6 años.
Por otro lado, sí es posible evitar el apiñamiento de los dientes cuando este se origina debido a determinados hábitos en la infancia. El apiñamiento dental no es solo una cuestión de armonía en la sonrisa, sino que afecta considerablemente a la salud de tu boca. Por eso, no lo dejes pasar más tiempo y mejora la higiene bucal, así como la mordida, mediante un tratamiento de ortodoncia.
tags: #limado #de #dientes #ortodoncia