El stripping dental, también conocido como reducción interproximal del esmalte, es un procedimiento odontológico común en los tratamientos de ortodoncia. Como expertos en ortodoncia, es habitual encontrarnos con casos en los que es necesario reducir el ancho de algunas piezas dentales para solucionar problemas de espacio. Por ello, hoy hemos preparado un artículo en el que vamos a desmentir todos los falsos mitos sobre el stripping dental.
El stripping dental es una técnica utilizada en ortodoncia que se basa en la reducción interproximal del esmalte de los dientes. La más común, como ya hemos comentado, es la de conseguir algunos milímetros en casos en los que no es posible alinear todos los dientes correctamente por falta de espacio. También está indicado para mejorar la forma de algunos dientes.
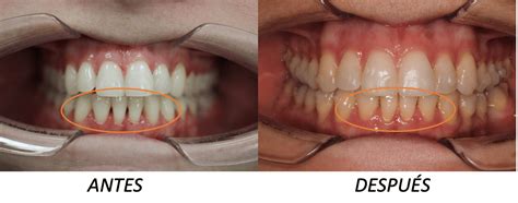
¿Por qué le están CORTANDO así los DIENTES? STRIPPING en ORTODONCIA
Dentro de un tratamiento de ortodoncia, el stripping puede solucionar distintos problemas concretos. En ocasiones, nos encontramos con que no hay bastante espacio en una o ambas arcadas para que todas las piezas dentales quepan en ellas correctamente alineadas, por lo que se apiñan.

El stripping dental se hace solamente en casos de apiñamiento dental leve o moderado. Esto se debe a que dicha técnica permite reducir el ancho del diente entre 0,1 y 0,5 milímetros.
¿Cuándo se recomienda el stripping dental?
- Reducir la anchura de los dientes para conseguir más espacio y corregir el apiñamiento dental: este es el uso más frecuente del stripping dental.
- Eliminar los espacios negros entre los dientes: esta situación se puede producir cuando los dientes tienen forma triangular.
- Corregir imperfecciones relacionadas con el índice de Bolton.
Con discrepancia de Bolton nos referimos a una relación desigual entre los dientes de la arcada superior y los de la arcada inferior. Las troneras son pequeños espacios triangulares que se crean entre la encía y dos dientes contiguos que no contactan en su parte superior (sí más abajo). Hay personas con dientes que, por lo que respecta a su tamaño, son muy diferentes entre ellos.
Otro ejemplo de uso del stripping en ortodoncia es la armonización de los tamaños de los dientes. Para que los dientes encajen correctamente entre ellos, el tamaño de los dientes superiores debe de estar en proporción con los inferiores.

Tipos de técnicas de stripping dental
Para hacer el stripping dental, el odontólogo cuenta con un instrumental específico para ello. La elección de una u otra técnica dependerá del nivel de afección y de la reducción que se requiera. Actualmente, tienes la opción de escoger otros métodos para incrementar este espacio interdental en las arcadas.
- Tiras de stripping: son los instrumentos más sencillos y son accionados manualmente. Son una especie de limas manuales que el ortodoncista pasa suavemente entre los dientes del paciente. Es el método más sencillo que existe. Se trata de unas tiras de limado las cuales se manipulan manualmente. Se utilizan en casos en los que solamente necesitamos romper el punto de contacto entre los dientes sin necesidad de conseguir mucha reducción. Las tiras de stripping son unas cintas con textura de lija que introducimos en el espacio interproximal de dos dientes.
- Limas de stripping: son similares a las tiras, y se usan prácticamente igual. La diferencia está en que las limas no son manuales. Este instrumental se monta sobre un aparato con un micromotor, que produce un movimiento mecánico, lo que ayuda al odontólogo a reducir ligeramente el esmalte. El mecanismo de acción es el mismo que el de las tiras, pero en este caso, las limas están activadas mecánicamente con un contra-ángulo, lo que hace que la técnica sea más delicada.
- Discos de stripping: se usan mediante un aparato rotatorio. Es una técnica mecánica. Al emitir un movimiento rápido, es necesario que esta técnica sea utilizada solamente por ortodoncistas muy experimentados.
- Fresas de stripping: las fresas se usan cuando el paciente necesita ganar una mayor cantidad de espacio. Son el método con el que más espacio se puede conseguir.
¿Cuándo no se recomienda el stripping dental?
La mayoría de las personas se acobardan cuando se les sugiere este método, por ello, se considera un tratamiento utilizado como último recurso.
- Tienes mucha sensibilidad en los dientes.
- Presentas desmineralización del esmalte.
- Tienes caries: antes de proceder con el stripping será necesario hacer un empaste o endodoncia para curar la caries.
- Tienes mala higiene dental.
- Sufres problemas en las encías (gingivitis o periodontitis): tanto en este caso como en el anterior (mala higiene) será necesario valorar si el paciente necesita una limpieza bucodental profesional o un curetaje dental.
¿Es doloroso el stripping dental?
El procedimiento de limar dientes para igualarlos es totalmente indoloro y no requiere de anestesia previa para llevarlo a cabo. La cantidad de material dentario que se reduce no suele superar los 0,5mm entre diente y diente, lo que hace que se limite solamente a esmalte. Durante el limado dental, se trabaja únicamente sobre el esmalte dental, que no tiene terminaciones nerviosas. Por lo tanto, los pacientes suelen experimentar solo una sensación mínima o nula durante el procedimiento. Sin embargo, sí debes saber que puede resultar incómoda en ocasiones, ya que la persona nota cómo le están limando el diente. No obstante, la sensación mientras se está llevando a cabo puede ser algo incómoda.
Tras la reducción, se aplicará un barniz de flúor que ayuda a la remineralización del esmalte. Es fundamental realizar varias sesiones hasta conseguir que dichos espacios ocluyan por completo o se haya logrado la alineación total de los mismos. Utiliza pastas dentales con flúor y evita comidas y bebidas frías.
Riesgos del stripping dental
Lo cierto es que, si se hace bien, el stripping dental no es malo para el diente. El único caso por el que el stripping dental podría salir mal es debido al desconocimiento o mala práctica del especialista a la hora de realizarlo.
Ante casos con falta de espacio, el ortodoncista deberá valorar cuál es el mejor procedimiento para la ganancia de espacio. Ante una importante falta de espacio, seguramente no será suficiente con limar los dientes. Por tanto, no se puede considerar el stripping como mejor o peor método para la ganancia de espacio.
Si estás considerando limar los dientes como parte de tu tratamiento ortodóntico, te invitamos a programar una consulta con nuestro equipo de especialistas. Recuerda que una sonrisa radiante no solo es estéticamente agradable, sino también una muestra de salud oral.