Tener una sonrisa blanca y brillante es un deseo común. Afortunadamente, existen diversas estrategias para blanquear los dientes, desde medidas preventivas hasta tratamientos profesionales. Descubre cómo lograr una sonrisa deslumbrante de manera segura y efectiva.

Causas del Oscurecimiento Dental
El color amarillento de los dientes puede tener diversas causas, tanto intrínsecas como extrínsecas:
- Factores Intrínsecos: Alteraciones del color que se producen dentro del propio diente, como necrosis pulpar, caries profundas o traumatismos.
- Factores Extrínsecos: Manchas causadas por alimentos, bebidas (café, té, vino tinto), tabaco o acumulación de placa y sarro.
Mitos y Realidades del Blanqueamiento Dental Casero
No debemos caer en la tentación de usar técnicas caseras que nos cuentan amigos. También es mejor no buscar productos en Internet para blanquear los dientes. Estos pueden dañar nuestro esmalte dental y erosionarlo.
Entre las prácticas para conseguir unos dientes blancos, se encuentran algunos trucos caseros como utilizar la parte interna de la fresa o de la cáscara de plátano y frotarla diariamente sobre los dientes durante 1-2 minutos hasta conseguir el efecto deseado. Esta práctica funciona gracias al contenido de ácido salicílico y/o cítrico de las frutas, que ayuda a eliminar las manchas en los dientes.
Por otro lado, para conseguir blanquear los dientes se ha hecho común el uso de bicarbonato y agua oxigenada durante el cepillado. Esta práctica se desaconseja, ya que también provoca daños en el esmalte. Y más recientemente, se ha puesto de moda blanquear los dientes con enjuagues bucales de aceite vegetal orgánico (como el de coco).
Es importante evitar productos caseros agresivos para blanquear los dientes de forma segura. La mejor opción es acudir a una clínica dental donde el blanqueamiento es realizado con productos profesionales bajo supervisión.
Métodos Profesionales de Blanqueamiento Dental
Cuál es el MEJOR BLANQUEADOR DENTAL en 2023 🦷✌️
El blanqueamiento dental es un tratamiento estético, seguro y predecible, pero no todos los productos de blanqueamiento son iguales ni funcionan de la misma manera. Los que se hacen en una clínica dental bajo supervisión de un odontólogo.
El blanqueamiento dental profesional se hace con peróxido de hidrógeno o peróxido de carbamida, productos que no dañan el esmalte y que blanquean el diente desde su interior sin erosionarlo.
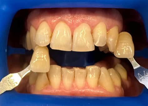
Blanqueamiento en Clínica
El blanqueamiento en clínica se realiza mediante la aplicación de un gel blanqueador en los dientes y una posterior activación del mismo con una lámpara o un láser. Las sesiones suelen durar 1 hora y los resultados son inmediatos. La satisfacción del paciente después de un blanqueamiento dental en la clínica es altísima, ya que los resultados cumplen con sus expectativas.

Blanqueamiento con Férulas Personalizadas
La aplicación en casa se realiza mediante unas placas a medida de los dientes (férulas), que se rellenan con el agente blanqueador y que posteriormente se colocan sobre los dientes en periodos de 4-6 horas/día, durante 7-10 días.
Para mayor efectividad se diseñan las férulas de manera digital, para un ajuste perfecto y una aplicación más precisa del gel, de modo que no afecte los tejidos circundantes. Este método resulta efectivo y seguro, con la ventaja que se realiza desde la comodidad del hogar pero con resultados profesionales.
Productos de Blanqueamiento de Venta Libre
En los supermercados podemos encontrar pastas dentales blanqueadoras, pero debemos tener cuidado de no abusar de ellas, ya que muchas blanquean los dientes y quitan las manchas a expensas de partículas de sílice. Los pacientes que compran kit de blanqueamiento de farmacia no suelen estar satisfechos con los resultados.
Pastas Dentales Blanqueadoras
Las pastas de dientes blanqueadoras pueden ayudar a reducir manchas superficiales, pero no modifican el color interno del diente. Además, algunas contienen partículas abrasivas que podrían generar sensibilidad si se usan de forma prolongada.
Las cremas dentales para blanquear los dientes, por lo general, utilizan agentes abrasivos para generar un efecto de micropulido, que permite eliminar de forma segura manchas superficiales y aclarar el tono. Es importante buscar una pasta dental certificada por el ente de salud.
Tiras Blanqueadoras
Las tiras blanqueadoras son un producto de venta libre que consiste en unas bandas plásticas delgadas y flexibles, que están recubiertas por agentes blanqueadores como el peróxido de hidrógeno o el peróxido de carbamida. Este tipo de productos son efectivos para tratar manchas dentales superficiales, aunque hay que considerar que tienen mayor contacto en la parte frontal de los dientes, por lo que las partes curvas pueden quedar amarillentas.
Geles y Kits Caseros
Los geles blanqueadores también contienen peróxido como agente blanqueador. A diferencia de las pastas dentales, estos pueden ser más efectivos debido a que el tiempo de exposición al peróxido es mayor, ya que no se retira de inmediato como ocurre al cepillarnos, y de esta forma actúan con mayor eficiencia. Por otra parte, los kits caseros de venta libre contienen geles blanqueadores y férulas genéricas, por lo que no están hechas a la medida y el contacto del gel con los dientes puede no ser uniforme. Además, el gel puede entrar en contacto con las encías o tejidos blandos de la boca, provocando dolor o daños.
Remedios Caseros y su Eficacia
Muchas personas utilizan remedios caseros que no siempre son eficaces contra los dientes amarillos, como el aceite de coco. Por eso siempre es mejor recurrir a remedios profesionales.
- Bicarbonato de Sodio: Puede eliminar manchas superficiales, pero su uso excesivo puede desgastar el esmalte. No se recomienda.
- Carbón Activado: Puede reducir la apariencia de pequeñas manchas, pero no modifica el color de los dientes y puede dañar el esmalte.
- Enjuagues con Aceite de Coco: Ayudan a eliminar bacterias, pero no blanquean drásticamente los dientes.
Riesgos y Consideraciones del Blanqueamiento Dental
Es importante estar al tanto de los posibles riesgos asociados con el blanqueamiento dental:
- Sensibilidad Dental: Temporal, causada por el acceso del gel al interior del diente.
- Daño al Esmalte: Posible con el uso de productos abrasivos.
- Irritación de Encías: Puede ocurrir si las encías quedan expuestas a los agentes blanqueadores.
- Resultados No Deseados: Las expectativas pueden no cumplirse o se pueden obtener resultados desiguales.
Mantenimiento de una Sonrisa Blanca
Para mantener los resultados del blanqueamiento dental, es crucial:
- Hábitos de Higiene Oral: Cepillado regular, uso de hilo dental y enjuague bucal.
- Alimentos y Bebidas a Evitar: Reducir el consumo de café, té, vino tinto y otros alimentos que manchan.
- Visitas Regulares al Dentista: Para chequeos y limpiezas profesionales.

Consejos Adicionales para Dientes Blancos
Además del blanqueamiento profesional y los trucos para blanquear los dientes, a lo largo de los años se han desarrollado diversos trucos sobre cómo mantener los dientes blancos en el tiempo.
Dieta Blanca
¿Quieres blanquear tus dientes de forma segura? Llevar una dieta blanca, siempre que se pueda y sin ser muy estricto. Es decir, hay que evitar o disminuir la ingesta de té, café, chocolate, vino tinto, salsa de soja, vinagre de Módena, alcachofas y bebidas carbonadas de colores.
Alimentos que Ayudan a Blanquear los Dientes
Una alimentación saludable es sin duda buena para la salud de las personas y sin duda también puede ser muy útil para la higiene bucal. Por ejemplo, si las nueces y las almendras son útiles para fortalecer los dientes gracias a sus altos niveles de calcio, fósforo, potasio, magnesio y zinc; por otro lado, las manzanas y el apio tienen la capacidad de blanquear los dientes eliminando las manchas superficiales.
En cambio, conviene evitar alimentos como las bayas oscuras, el vino tinto y el café. Eso sí, si realmente nos gustan estos dos últimos, quizá sea mejor reducir nuestro consumo y realizar una buena higiene bucodental y recordar enjuagar con agua la mayor cantidad posible.
Higiene Bucal Impecable
Independientemente del color de tus dientes, es fundamental cuidarlos y por ello, cuidar tu higiene desde ya. Para ello, en primer lugar, es necesario elegir el cepillo de dientes que mejor se adapte a tu arcada dental, el cual deberás cambiar cada 3 meses.
A la hora de cepillarte los dientes, debes recordar realizar siempre movimientos cortos y delicados, desde la encía hacia el borde del diente para no crear problemas a tus encías. Es necesario limpiar las superficies externas de los dientes superiores y luego las de los inferiores, limpiar las superficies internas de los dientes superiores y luego las de los inferiores.
Además de los puntos anteriores, es esencial que cuidemos y mantengamos la higiene de nuestra lengua. La utilización de colutorios o enjuagues bucales eliminará las bacterias restantes de tu boca tras el cepillado además de proporcionarte un aliento fresco y una sensación de limpieza.
Preparación Antes del Blanqueamiento Dental
Prepararte adecuadamente antes de un blanqueamiento dental no solo garantiza que obtengas los mejores resultados posibles, sino que también minimiza el riesgo de efectos secundarios como la sensibilidad dental.
- Evaluación Dental: Un dentista debe evaluar la salud de tus dientes y encías.
- Limpieza Profesional: Elimina la placa y el sarro.
- Expectativas Realistas: Habla con tu dentista sobre los resultados esperados.
- Evitar Alimentos y Bebidas que Manchan: Reduce el consumo de café, té y otros alimentos pigmentados.
- Dejar de Fumar: El tabaco es un factor importante de manchas dentales.
- Higiene Oral Adecuada: Cepillado y uso de hilo dental.
- Considerar Todas las Opciones: Discute las diferentes opciones de blanqueamiento con tu dentista.
- Sensibilidad Dental: Prepárate para una posible sensibilidad temporal.
- Seguir las Instrucciones: Cumple con todas las indicaciones de tu dentista.
- Consulta Previa: Realiza una consulta con tu dentista para discutir el plan de tratamiento.
Preguntas Frecuentes
- ¿Es seguro el blanqueamiento dental? Sí, cuando se realiza bajo la supervisión de un dentista.
- ¿Cuánto duran los resultados? Varía según el tipo de tratamiento, hábitos alimenticios y higiene oral.
- ¿Causa sensibilidad? Puede causar sensibilidad temporal en dientes y encías.
- ¿Afecta empastes, coronas o carillas? No afecta el color de estos materiales.