¿Quieres causar siempre una buena impresión? La sonrisa es una de tus mejores cartas de presentación en el trabajo, la familia e incluso las relaciones sociales y personales. Unos dientes bonitos y una boca sana ayudan siempre a causar una buena imagen. Mantener nuestros dientes y encías siempre sanos es fundamental para nuestra salud bucodental.
Las encías son las encargadas de cubrir la raíz del diente, protegiéndola y haciendo que permanezca firme, por lo que su limpieza también es importante. Cuidar de tus encías es esencial para disfrutar de una mejor salud bucodental, lo que a su vez beneficia a todo tu cuerpo. Si quieres que tu sonrisa siga siendo especial, debes seguir estos sencillos y prácticos consejos para mantener siempre unas encías sanas.
Las encías, a menudo pasadas por alto, son un pilar clave en la estructura de nuestra salud bucal. Más allá de ser el marco estético de nuestra sonrisa, cumplen una función muy importante en la preservación de la salud dental general.

Importancia de las Encías Saludables
Tener unas encías sanas es la base de una buena salud bucodental. Las encías saludables ayudan a que los dientes y los huesos de la mandíbula también estén saludables. Sirven para proteger a los dientes, porque los mantienen en su lugar, e impiden que se muevan.
Además, ayudan a evitar que la placa se acumule, reduciendo las probabilidades de tener caries o sufrir alguna enfermedad periodontal.
Funciones Clave de las Encías
- Estabilidad dental: Las encías desempeñan un papel crucial en la estabilidad de nuestros dientes. Actúan como un soporte para los mismos, manteniéndolos firmes en su lugar.
- Barrera natural: Las encías saludables actúan como una barrera natural contra las bacterias y las infecciones que podrían afectar la salud bucal.
- Salud general: La salud bucal está intrínsecamente conectada con la salud general. Problemas en las encías, como las enfermedades periodontales, se han vinculado a condiciones médicas más amplias, como enfermedades cardíacas y diabetes.
Las encías como guardianes de tu boca
Siempre he pensado que las encías son como los “guardianes silenciosos” de la boca. ¿Qué funciones cumplen exactamente?
- Protección y barrera contra bacterias: La encía forma un sello alrededor de cada diente, funcionando como una barrera natural que impide la entrada de bacterias y partículas hacia las raíces dentales y el hueso.
- Soporte y sujeción de los dientes: Una de las funciones principales de la encía es sostener los dientes en su posición. Junto con el hueso alveolar y los ligamentos periodontales, las encías forman parte del periodonto, que es el conjunto de tejidos que mantienen cada diente firme en su lugar.
- Amortiguación de fuerzas: Las encías actúan como un pequeño cojín. Al masticar alimentos o al morder, las encías absorben parte del impacto o la presión. Esto protege tanto a los dientes como al hueso de golpes directos.
- Suministro de sangre y nutrientes: Aunque no lo parezca, las encías están llenas de vasos sanguíneos diminutos. Estos vasos nutren a los dientes y al hueso cercano, ayudando a mantenerlos sanos.
- Función estética: No puedo olvidar mencionar la estética. Unas encías de color rosa pálido, firmes y bien contorneadas hacen que la sonrisa se vea saludable y armoniosa.
Conexión Entre las Encías y la Salud General
Las encías enfermas pueden tener un efecto directo sobre la salud general, porque cuando se agravan producen infección que se conoce como periodontitis, la cual puede afectar el tejido blando y el hueso de la mandíbula. La periodontitis está relacionada con otras enfermedades, como la diabetes y las infecciones respiratorias.
Además, las bacterias producto de la infección se cuelan en los vasos sanguíneos, aumentando el riesgo de padecer enfermedades cardíacas y accidentes cerebrovasculares. Para las mujeres embarazadas, las enfermedades de las encías también resultan peligrosas, porque pueden causar un parto prematuro.
Factores que Afectan la Salud Gingival
Existen diversos factores que pueden afectar el estado de salud de tus encías. Hay algunos que son modificables, y que están relacionados con los hábitos personales; y otros que no se pueden controlar o cambiar.
Factores Modificables
- Dieta y nutrición: Una alimentación poco balanceada, con un consumo alto en azúcares y alimentos ultraprocesados, afectará tus encías.
- Prácticas de higiene bucal: No tener una adecuada rutina de limpieza y cuidado de dientes y encías, es la principal razón por la que se producen las enfermedades periodontales.
- Fumar: Este mal hábito disminuye el flujo de la sangre hacia las encías, lo que provoca que los tejidos en esta zona no cicatricen o se reparen bien.
- Estrés: El estrés dificulta que el cuerpo pueda combatir las bacterias que dañan las encías.
Factores No Modificables
- Factores genéticos: Las personas con antecedentes familiares de enfermedades periodontales, tienen mayor riesgo de desarrollar estas condiciones.
- Factores hormonales: En especial en el caso de las mujeres embarazadas o en la etapa de la menopausia, los cambios hormonales pueden debilitar las encías y hacerlas más susceptibles a inflamación e infecciones.

Señales de Advertencia de Enfermedades de las Encías
Hay signos que nos pueden indicar que sufrimos alguna enfermedad en las encías, y que quizás hemos estado pasando por alto:
- Encías sangrantes: En condiciones normales, al cepillarse y utilizar hilo dental, las encías no deberían sangrar.
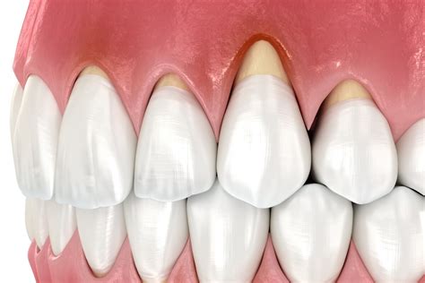
- Encías de color rojo, hinchadas o adoloridas: Las encías deben verse rosa claro y no presentar ningún tipo de inflamación, ni sensibilidad y tampoco provocar dolor.
- Mal aliento constante: Incluso luego de cepillarse los dientes o usar enjuague bucal.
- Dientes flojos: Sentir que los dientes están flojos o tener la sensación de que sus ya no están bien sujetos a las encías, así como, sentir dolor al masticar; son señales de que algo puede andar mal.
- Llagas en las encías: Indican una fuerte infección o altos niveles de bacterias en la zona.
Ignorar las señales que hemos mencionado puede provocar complicaciones, desde leves hasta graves. Empezado por dolores y molestias, pasando por la pérdida de piezas dentales, hasta los peores casos en los que se hacen presentes enfermedades y afecciones graves.
Problemas Comunes de las Encías
A lo largo de mi vida he experimentado o visto varios de estos problemas en las encías. Seguramente tú también has notado alguna vez las encías rojas o un poco de sangrado al cepillarte. Es importante reconocer estos signos a tiempo.
- Encías Inflamadas: Son quizás el problema más frecuente y suelen ser el primer aviso de que algo anda mal. Cuando hablo de encías inflamadas me refiero a encías enrojecidas, hinchadas e incluso un poco brillantes.
- Sangrado de Encías: El sangrado de encías no es normal (aunque muchos piensen que “un poco de sangre al cepillar es algo común”). Unas encías sanas no deben sangrar ni al cepillarse ni al usar el hilo dental.
- Encías Retraídas: Es cuando la encía “se echa para atrás” dejando expuesta una parte del diente que antes no veíamos. De pronto notas tus dientes más largos o ves la raíz de un diente asomando.
- Dolor de Encías: Las encías, cuando están sanas, no duelen así como así. El dolor en las encías nos está pidiendo atención. Nadie quiere estar con la encía adolorida mientras come o habla.
En mi experiencia, la causa número uno de los problemas de encías es la acumulación de placa bacteriana por una higiene deficiente. Pero no es la única.
Causas de Problemas en las Encías
- Placa bacteriana y sarro: Si no eliminas la placa a diario, esta se mineraliza formando sarro (tártaro) que se pega tenazmente al diente. El sarro es rugoso y facilita más acumulación de placa, creando un círculo vicioso de irritación.
- Técnica de higiene inadecuada: No solo importa cepillarse, sino cómo lo hacemos. Un mal cepillado (rápido, sin cubrir todas las zonas o muy superficial) deja placa en las encías. Por otro lado, un cepillado demasiado agresivo puede dañar físicamente el tejido.
- Tabaquismo: Fumar es pésimo para las encías. El tabaco reduce el flujo sanguíneo en la encía y altera la respuesta inmunitaria. Los fumadores tienen 2 a 5 veces más riesgo de periodontitis que los no fumadores.
- Cambios hormonales: Etapas como la pubertad, el embarazo o la menopausia pueden hacer que las encías se vuelvan más sensibles a la placa.
- Genética y predisposición: Hay personas que, por herencia, tienen mayor predisposición a las enfermedades de las encías.
- Enfermedades sistémicas: Diabetes es la más conocida en este punto. Una diabetes mal controlada aumenta el riesgo de enfermedad periodontal.
- Alimentación deficiente: Una dieta baja en nutrientes esenciales puede debilitar las defensas de la encía.
- Medicamentos: Algunos fármacos tienen efectos secundarios en las encías.
- Estrés: El estrés crónico se ha ligado con mayor riesgo de enfermedad periodontal.
Las causas inmediatas suelen ser bacterias por higiene deficiente, mientras que los factores de riesgo como el tabaco, la genética, enfermedades o cambios hormonales pueden agravar o acelerar los daños. La buena noticia es que muchos de estos factores los podemos controlar o manejar.
Prevención de Enfermedades de las Encías
Estas recomendaciones te servirán para cuidar de manera más efectiva tus dientes y tener encías sanas, y evitar así enfermedades bucales. Dicen que “más vale prevenir que curar”, y con las encías esto es totalmente cierto. Después de algunas malas experiencias, aprendí a cuidar mis encías con tanto esmero como cuido mis dientes.

Higiene Oral Impecable
Sigue una buena rutina de higiene bucodental cepillándote dientes y encías después de cada comida. Cepíllate los dientes al menos dos veces al día (por la mañana y antes de dormir) asegurándote de masajear suavemente la línea de la encía.
- Cepillo adecuado: Usa un cepillo de cerdas suaves o medio-suaves; así limpias sin lastimar. Los cepillos que tienen las cerdas demasiado duras pueden provocar daños en las encías. Los cepillos suave y extra suave son los más adecuados para evitar la inflamación y el sangrado de las encías durante el cepillado.
- Técnica: La técnica ideal es colocar el cepillo en un ángulo de 45° hacia la encía y hacer movimientos suaves circulares o verticales de la encía hacia el diente (nunca al revés).
- Tiempo: Tómate tu tiempo: unos 2-3 minutos de cepillado.
Limpieza Interdental Diaria
Yo antes era perezoso con el hilo dental, pero entendí que cepillar no es suficiente. Las bacterias se esconden entre los dientes donde el cepillo no llega. Así que cada noche, usa hilo dental o cepillos interdentales.
Pásalo con cuidado por el espacio entre cada diente, llegando justo debajo del borde de la encía para sacar restos de comida y placa. Al principio puede darte pereza (lo sé), pero una vez lo incorporas, es rápido y tus encías estarán mucho más sanas.
Alternativas: irrigador dental de agua si te resulta más cómodo.
Enjuague Bucal Antibacteriano (Opcional)
El enjuague bucal se encarga de eliminar cualquier bacteria que haya podido quedar. Algunos colutorios incluso tienen una composición adaptada para el cuidado concreto de las encías.
Un colutorio fluorurado o antiséptico puede ayudar a reducir bacterias. Por ejemplo, enjuagues con clorhexidina se usan temporalmente cuando hay gingivitis severa (siempre bajo indicación profesional porque su uso prolongado mancha los dientes). También enjuagarte con agua tibia salada ocasionalmente puede aliviar encías irritadas.
Dieta Equilibrada y Amigable con Tus Encías
Cuidar las encías por dentro es tan importante como hacerlo por fuera. Una dieta sana y equilibrada, evitando el consumo de azúcares, grasas saturadas y sustancias nocivas como el alcohol y el tabaco, son esenciales para una boca bonita.
Lo que comes influye. Reduce el consumo de azúcares y ultraprocesados, porque alimentan las bacterias que dañan encías. En cambio, lleva una dieta rica en frutas, verduras y alimentos con vitaminas C y K, que favorecen la salud de las encías (estas vitaminas ayudan a la cicatrización y fortaleza capilar). Los antioxidantes de frutas y verduras también combaten la inflamación. Incluye calcio y vitamina D (lácteos, almendras, etc.) para mantener huesos y dientes fuertes.
No Fumes (y Limita el Alcohol)
Ya te mencioné cómo el tabaco daña las encías. Si eres fumador, considera seriamente dejarlo, tus encías te lo van a agradecer con creces. El alcohol en exceso también irrita los tejidos bucales y contribuye a la sequedad bucal, así que mejor con moderación.
Cepillos y Productos Adecuados
Cambia tu cepillo de dientes cada 3 meses (o antes si las cerdas están abiertas). Un cepillo gastado no limpia bien y puede irritar. Si tienes encías sensibles, puedes probar cepillos eléctricos con sensor de presión (para no pasarte de fuerza) o cepillos ultrasuaves específicos.
Visitas Regulares al Dentista y Limpiezas Profesionales
La gran mayoría de problemas de encías se pueden detectar con antelación en la consulta del dentista. Visita a tu odontólogo al menos una vez al año para revisar el estado de tu boca. Aunque seas muy aplicado en casa, acude al dentista al menos una vez cada 6-12 meses para revisión y limpieza profesional. Yo programo mis limpiezas cada 6 meses sin falta.
Además, en estas visitas tempranas el dentista puede detectar si hay señales iniciales de gingivitis o periodontitis y darte recomendaciones o tratamientos antes de que empeore.
Alimentos y Hábitos Beneficiosos para las Encías
Ciertas prácticas que debemos tener en cuenta e incluir en nuestras rutinas, nos pueden ayudar a tener encías más sanas.
Alimentos que Fortalecen las Encías
Las frutas y verduras son alimentos que nos proveen vitaminas, minerales y fibras esenciales para estar sanos, y son perfectos para mantener las encías fuertes y saludables. Por otra parte, los productos lácteos son fuentes de calcio y fósforo, sirven para fortalecer los dientes y mantener sano el esmalte dental. Los alimentos que contienen probióticos ayudan al cuerpo a reducir la inflamación y la formación de bacterias, esto puede ser beneficioso para la salud oral.
Hábitos Diarios para Proteger las Encías
Como ya mencionamos, tener hábitos diarios saludables nos permite gozar de una mejor salud bucal. Entre estas costumbres no podemos olvidar:
- Cepillar los dientes por dos minutos, al menos dos veces al día, con una pasta dental con flúor.
- Utilizar hilo dental, aunque sea una vez al día, utilizando una técnica adecuada.
- Una dieta equilibrada, evitando consumir alimentos ultraprocesados y azucarados.
- Evitar fumar.
Aunque no es un hábito diario, es importante tener presente en nuestras agendas la visita semestral al dentista.
La GUÍA definitiva para CEPILLARTE los DIENTES como un profesional - Mejora tu higiene bucal ©
Tratamientos Disponibles para Enfermedades de las Encías
El tratamiento que indique el periodontista va a depender del estado y condición de cada paciente en particular. Las enfermedades de las encías pueden ir desde leves, hasta graves, y de acuerdo al nivel de gravedad el dentista indicará un tratamiento.
Procedimientos No Quirúrgicos
En casos más sencillos, un raspado puede ayudar a eliminar la placa y el sarro acumulado en la superficie de los dientes. El alisado radicular hace este mismo trabajo, pero en las raíces de los dientes. Los pacientes con inflamación e infecciones, podrían necesitar medicamentos, como antibióticos y antiinflamatorios.
Procedimientos Quirúrgicos
En casos más graves, es probable que se necesiten procedimientos quirúrgicos:
- Cirugía con colgajos: Se hacen cortes en las encías para eliminar el sarro y el tejido infectado.
- Injerto de tejido blando: Para pacientes en los que la línea de las encías ha retrocedido hasta exponer las raíces.
- Regeneración o injerto ósea: Se realiza cuando la enfermedad periodontal ha dañado el hueso.
Recuperación y Cuidado Post-Tratamiento
La recuperación y los cuidados van a estar directamente relacionados con el tipo de tratamiento que haya recibido el paciente. En los casos de tratamientos sencillos, no quirúrgicos, el médico podrá indicar medicamentos y el paciente sentirá algo de dolor y sensibilidad los primeros días. Cuando los tratamientos son más complicados, la sensibilidad puede estar presente por varias semanas, y los cuidados y la higiene dental posterior deben ser mayores, para evitar daños y también impedir la formación de nuevas bacterias.
Remedios Caseros para Aliviar las Encías Inflamadas
Las encías inflamadas pueden causar molestias y dolor, pero afortunadamente existen algunos remedios caseros que pueden ayudar a aliviar estos síntomas. A continuación, te presentamos algunos de los remedios más efectivos:
- Jugo de limón: Realizar gárgaras con jugo de limón diluido en agua puede ayudar a reducir la inflamación de las encías.
- Agua salada: Preparar una solución de agua tibia y sal y hacer enjuagues bucales puede proporcionar alivio y ayudar a reducir la hinchazón.
- Aceite de clavo: Aplicar aceite de clavo en las encías con un hisopo de algodón puede ayudar a reducir el dolor y la inflamación.
- Pasta de jengibre y sal: Mezclar jengibre en polvo con sal y aplicar la pasta resultante en las encías puede tener propiedades antiinflamatorias.
- Enjuague con agua y bicarbonato de sodio: Realizar enjuagues con una solución de agua tibia y bicarbonato de sodio puede ayudar a reducir la inflamación y aliviar la incomodidad.
- Pimienta de cayena: Aplicar una pequeña cantidad de pimienta de cayena en las encías inflamadas puede ayudar a reducir la inflamación y el dolor.
- Aceite de semilla de ricino y alcanfor: Realizar masajes suaves en las encías con una mezcla de aceite de semilla de ricino y alcanfor puede ayudar a aliviar los síntomas de la inflamación.
- Gárgaras con hojas de Lawsonia inermis: Hervir hojas de Lawsonia inermis en agua y realizar gárgaras con la solución resultante puede ayudar a reducir la inflamación de las encías.
- Gel de aloe vera: Frotar suavemente gel de aloe vera en las encías inflamadas puede proporcionar alivio y ayudar a reducir la inflamación.
- Enjuague con corteza de árbol de babul: Hervir corteza de árbol de babul en agua y realizar enjuagues bucales con la solución puede ayudar a reducir la inflamación y promover la salud de las encías.
Productos Recomendados para Tratar las Encías Inflamadas
Si estás buscando productos efectivos para tratar las encías inflamadas, aquí te presentamos algunas opciones recomendadas por profesionales de la salud bucal:
- Pasta dental especializada: Existen pastas dentales diseñadas específicamente para tratar las encías inflamadas. Estas pastas suelen contener ingredientes como clorhexidina, que ayuda a reducir la inflamación y combatir las bacterias que causan las enfermedades gingivales.
- Enjuague bucal antimicrobiano: Utilizar un enjuague bucal con propiedades antimicrobianas puede ser muy beneficioso para combatir la inflamación y prevenir la formación de placa bacteriana en las encías. Busca productos que contengan ingredientes como el triclosán o el gluconato de clorhexidina.
- Hilo dental con aceites naturales: El hilo dental impregnado con aceites naturales como el árbol de té o el aceite de menta puede ser una excelente opción para complementar tu rutina de higiene bucal. Estos aceites tienen propiedades antibacterianas y antiinflamatorias que ayudan a mantener las encías saludables.
- Cepillo de dientes de cerdas suaves: Es importante utilizar un cepillo de dientes de cerdas suaves para evitar la irritación adicional de las encías inflamadas. Las cerdas suaves proporcionan una limpieza efectiva sin dañar los tejidos gingivales sensibles.
- Coenzima Q10: Este suplemento nutricional se ha demostrado que tiene propiedades antiinflamatorias y antioxidantes, que pueden ayudar a reducir la inflamación de las encías. Consulta con tu médico o dentista antes de comenzar a tomar este suplemento.